À la une

Cortotic (Acéponate d’hydrocortisone) : Monographie 2026
L’otite externe représente l’un des principaux motifs de consultation en dermatologie canine et elle résulte le plus souvent d’une dermatite allergique. Dans ce contexte, l’arrivée récente de nouveaux traitements uniquement corticoïdes a permis une nouvelle approche thérapeutique. Dans cet article nous vous présentons donc un point complet sur Cortotic (Laboratoire Virbac), du mécanisme pharmacologique aux données de tolérance à long terme, en passant par les dernières études publiées.

Mise à jour de la Bibliographie en Dermatologie Vétérinaire [Mars 2026]
Pour lire les 31 nouveaux articles publiés en Mars 2026 cliquez sur l’onglet Bibliographie puis Actualités. Ils s’ajoutent à tous les articles référencés depuis 1990 !

Utilisation de Nexgard et Nexgard Spectra en Dermatologie Canine
En dermatologie vétérinaire, l’afoxolaner, isoxazoline administrée par voie orale chez le chien, a transformé la prise en charge de la démodécie, de la gale sarcoptique et des infestations par les puces et les tiques notamment. Cet article fait une mise au point complète allant de la pharmacologie aux dernières publications, que ce soit avec Nexgard ou Nexgard Spectra.

L’intérêt des AMM en Allergologie Vétérinaire
L’immunothérapie allergénique reste un des piliers du traitement de la dermatite atopique canine. Pourtant, la qualité et la sécurité des extraits allergéniques restent extrêmement dépendantes du cadre réglementaire dans lequel ils sont produits.

Les Anticorps Monoclonaux en Dermatologie Vétérinaire et Humaine
L’avènement des anticorps monoclonaux caninisés a modifié la prise en charge de la dermatite atopique, ouvrant la voie à une médecine ciblée dans une discipline longtemps limitée aux corticoïdes et aux immunosuppresseurs non spécifiques. En parallèle, la dermatologie humaine a également connu une accélération sans précédent du nombre de biothérapies autorisées. Cet article fait une synthèse complète de nos connaissances sur les anticorps monoclonaux employés en dermatologie vétérinaire et humaine ainsi que les perspectives d’avenir.

Gestion nutritionnelle d’un cas d’hypersensibilité alimentaire
TSUKI est suivie depuis 2022 pour une dermatose prurigineuse chronique avec lichénification sur les extrémités postérieures, sécrétions et érythème des conduits auditifs. Découvrez comment l’éviction alimentaire a permis de poser le diagnostic et de stabiliser la patiente sans nécessiter un traitement au long cours.

L’intérêt des AMM en Allergologie Vétérinaire
L’immunothérapie allergénique reste un des piliers du traitement de la dermatite atopique canine. Pourtant, la qualité et la sécurité des extraits allergéniques restent extrêmement dépendantes du cadre réglementaire dans lequel ils sont produits.

Les Anticorps Monoclonaux en Dermatologie Vétérinaire et Humaine
L’avènement des anticorps monoclonaux caninisés a modifié la prise en charge de la dermatite atopique, ouvrant la voie à une médecine ciblée dans une discipline longtemps limitée aux corticoïdes et aux immunosuppresseurs non spécifiques. En parallèle, la dermatologie humaine a également connu une accélération sans précédent du nombre de biothérapies autorisées. Cet article fait une synthèse complète de nos connaissances sur les anticorps monoclonaux employés en dermatologie vétérinaire et humaine ainsi que les perspectives d’avenir.

Former aujourd’hui pour soigner demain
Elanco France concrétise son engagement auprès des vétérinaires avec un programme national de formations en dermatologie. Fidèle à sa mission d’accompagner les vétérinaires et d’améliorer la santé et le bien-être des animaux, Elanco France a déployé entre octobre et décembre 2025 un programme national de formations dédiées à la dermatologie vétérinaire : « Les soirées qui font peau neuve ».

Les Régimes Hypoallergéniques chez le Chien et le Chat : Mise au Point 2026
L’allergie alimentaire touche jusqu’à 33 % des chiens atopiques et 22 % des chats prurigineux. Le régime d’élimination demeure en 2026 le seul outil diagnostique validé pour confirmer une allergie alimentaire car aucun test sérologique ou salivaire ne permet de la confirmer. Découvrez dans cet article complet les mécanismes immunopathologiques et les stratégies diagnostiques actuelles, du choix de l’aliment hypoallergénique à la gestion au long cours. Régime sans céréales ou aux insectes, particularités de ces régimes chez le chat, rôle du test de provocation, etc. On vous dit tout.

Numelvi (Atinvicitinib) chez le Chien : Monographie 2026
La dermatite atopique canine (DAC) affecte 3 à 15 % de la population canine. L’arrivée de l’atinvicitinib (NUMELVI, Laboratoire MSD), inhibiteur sélectif de JAK1 de seconde génération autorisé en Europe en juillet 2025, a modifié le paysage thérapeutique de cette affection. Cette mise au point détaille les données actualisées, du mécanisme moléculaire aux stratégies de prise en charge.

Zenrelia (Ilunocitinib) chez le Chien : Monographie 2026
La dermatite atopique canine affecte 10 à 15 % de la population canine mondiale et constitue l’un des premiers motifs de consultation en dermatologie vétérinaire. Face à ce fléau, de nouveaux traitements émergent avec un excellent rapport bénéfice/risque. Tour d’horizon complet sur Zenrelia (ilunocitinib) qui est le premier des nouveaux inhibiteurs des Janus Kinase à avoir été commercialisé après l’oclacitinib (Apoquel).

La pododermatite plasmocytaire féline : Guide complet 2026
La pododermatite plasmocytaire est une dermatose féline rare et mal comprise, mais qui ne doit pas être négligée en consultation, notamment du fait de la douleur et donc de la boiterie qu’elle peut occasionner. Tour d’horizon sur les dernières connaissances, tant en termes d’étiopathogénie, que du diagnostic et des derniers traitements et protocoles publiés.

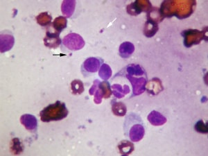
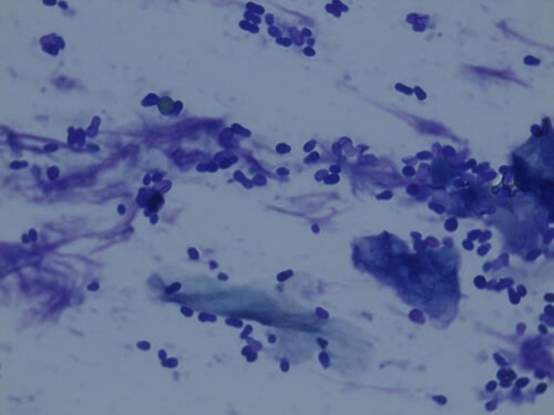
Mise à jour complète sur Malassezia chez le chien et le chat
Les levures du genre Malassezia constituent des agents fongiques lipophiles ayant évolué comme commensaux cutanés et pathogènes opportunistes chez diverses espèces de mammifères et d’oiseaux. Leur implication dans les affections dermatologiques et otologiques canines et félines représente un défi clinique quotidien pour les praticiens vétérinaires à l’échelle mondiale. Lors du dernier congrès NAVDF à Orlando, notre confrère Ross Bond, spécialiste mondial sur le sujet, a eu l’occasion de faire un point complet, tant pathogénique que diagnostique et thérapeutique.
Espaces partenaires

Gestion nutritionnelle d’un cas d’hypersensibilité alimentaire
TSUKI est suivie depuis 2022 pour une dermatose prurigineuse chronique avec lichénification sur les extrémités postérieures, sécrétions et érythème des conduits auditifs. Découvrez comment l’éviction alimentaire a permis de poser le diagnostic et de stabiliser la patiente sans nécessiter un traitement au long cours.

Cortotic (Acéponate d’hydrocortisone) : Monographie 2026
L’otite externe représente l’un des principaux motifs de consultation en dermatologie canine et elle résulte le plus souvent d’une dermatite allergique. Dans ce contexte, l’arrivée récente de nouveaux traitements uniquement corticoïdes a permis une nouvelle approche thérapeutique. Dans cet article nous vous présentons donc un point complet sur Cortotic (Laboratoire Virbac), du mécanisme pharmacologique aux données de tolérance à long terme, en passant par les dernières études publiées.

Les Anticorps Monoclonaux en Dermatologie Vétérinaire et Humaine
L’avènement des anticorps monoclonaux caninisés a modifié la prise en charge de la dermatite atopique, ouvrant la voie à une médecine ciblée dans une discipline longtemps limitée aux corticoïdes et aux immunosuppresseurs non spécifiques. En parallèle, la dermatologie humaine a également connu une accélération sans précédent du nombre de biothérapies autorisées. Cet article fait une synthèse complète de nos connaissances sur les anticorps monoclonaux employés en dermatologie vétérinaire et humaine ainsi que les perspectives d’avenir.

Utilisation de Nexgard et Nexgard Spectra en Dermatologie Canine
En dermatologie vétérinaire, l’afoxolaner, isoxazoline administrée par voie orale chez le chien, a transformé la prise en charge de la démodécie, de la gale sarcoptique et des infestations par les puces et les tiques notamment. Cet article fait une mise au point complète allant de la pharmacologie aux dernières publications, que ce soit avec Nexgard ou Nexgard Spectra.

Les Régimes Hypoallergéniques chez le Chien et le Chat : Mise au Point 2026
L’allergie alimentaire touche jusqu’à 33 % des chiens atopiques et 22 % des chats prurigineux. Le régime d’élimination demeure en 2026 le seul outil diagnostique validé pour confirmer une allergie alimentaire car aucun test sérologique ou salivaire ne permet de la confirmer. Découvrez dans cet article complet les mécanismes immunopathologiques et les stratégies diagnostiques actuelles, du choix de l’aliment hypoallergénique à la gestion au long cours. Régime sans céréales ou aux insectes, particularités de ces régimes chez le chat, rôle du test de provocation, etc. On vous dit tout.
Fiches

Prurit cervico facial chat : causes, symptômes et solutions efficaces
Le prurit cervico facial du chat représente un syndrome clinique fréquent en pratique vétérinaire, affectant les chats de divers âges et races. Il est caractérisé par des démangeaisons intenses, localisées principalement au niveau de la tête, du cou et de la nuque, mais peut s’étendre à la face.

Comprendre le chat allergique aux puces et ses traitements
Votre chat souffre d’allergies aux puces ? Découvrez comment reconnaître les symptômes et soulager son inconfort. Lisez notre article pour en savoir plus.

Un chat qui se gratte et se lèche tout le temps, normal ou pas ?
Découvrez les causes fréquentes du comportement de grattage et de léchage chez votre chat, ainsi que des solutions pratiques pour l’aider. Lisez l’article !

Poux sur les chats : guide complet pour les identifier et les traiter
Découvrez comment identifier et traiter les poux sur les chats. Protégez votre compagnon à quatre pattes en suivant notre guide complet. Lisez l’article !

Comprendre la teigne du lapin : Eviter les erreurs courantes
La teigne du lapin est une dermatophytose causée par des champignons kératinophiles provoquant des plaques alopéciques érythémateuses avec squames et prurit, diagnostiquée par culture fongique et traitée par antifongiques topiques et systémiques selon les modalités précisées dans cette expertise clinique.

Tumeur mammaire chez la chatte : Diagnostic et Traitements
Découvrez les symptômes, les méthodes de prévention et les traitements essentiels pour la tumeur mammaire chez le chat. Informez-vous dès maintenant !

Dernières avancées sur les tumeurs mammaires chez la chienne
Découvrez comment identifier et traiter efficacement les tumeurs mammaires chez le chien pour assurer sa santé. Lisez notre article pour en savoir plus.

Quelles sont les causes des démangeaisons chez le chien ?
Les démangeaisons chez le chien constituent un problème fréquent qui peut rapidement altérer la qualité de vie de l’animal. Ce symptôme, appelé prurit, se manifeste par des grattages, des léchages, des mordillements ou l’apparition de rougeurs sur la peau. Les causes des démangeaisons chez le chien sont multiples : allergies, parasites, infections ou encore troubles comportementaux.
Cas cliniques


Un cas de vasculopathie familiale du Jack Russel Terrier
Omer est un Jack Russel terrier de 1 an qui pèse 6,2kg. Il a été castré à l’âge de six mois. Il est vacciné et régulièrement déparasité


Un cas de pemphigus érythémateux sur un chien.
Une femelle Colley de 5 ans est adressée en consultation référée de dermatologie pour la présence de croûtes et de zones dépigmentées sur la truffe, qui s’aggravent

Prise en charge de kystes folliculaires interdigités bilatéraux par vaporisation au LASER diode chez un chien
Les kystes folliculaires interdigités constituent une cause fréquente de pododermatite chronique chez le chien, notamment lorsqu’ils s’inscrivent dans un contexte de furonculose récidivante. Leur gestion demeure complexe

Un cas de syndrome de Stevens Johnson chez un chat
Un chat européen est consulté pour une dermatite ulcéreuse sévère.

Un cas de pemphigus foliacé chez un Akita inu
Un Akita Inu de bientôt 9 ans nous est présenté pour une dermatose du chanfrein et des bourses évoluant depuis 7 mois
Articles de synthèse

La pododermatite plasmocytaire féline : Guide complet 2026
La pododermatite plasmocytaire est une dermatose féline rare et mal comprise, mais qui ne doit pas être négligée en consultation, notamment du fait de la douleur et donc de la boiterie qu’elle peut occasionner. Tour d’horizon sur les dernières connaissances, tant en termes d’étiopathogénie, que du diagnostic et des derniers traitements et protocoles publiés.

Dermatologie du Bouledogue Français : Principales Dermatoses et Actualités
L’essor démographique spectaculaire du Bouledogue Français au cours de la dernière décennie a, par un effet de goulot d’étranglement génétique et de sélection phénotypique extrême, exacerbé la prévalence de troubles dermatologiques complexes. Tour d’horizon des principales dermatoses les affectant et leur prise en charge.

Mise au point sur le carcinome épidermoide chez le chat
Découvrez les symptômes du carcinome épidermoïde chez le chat, ainsi que les soins et moyens de prévention. Lisez l’article pour en savoir plus.

Hypothyroïdie du chien : Approche diagnostique et thérapeutique
L’hypothyroïdie est considérée, avec l’hyperadrénocorticisme, comme l’une des endocrinopathies les plus courantes chez le chien. Il s’agit d’une condition systémique caractérisée par un ralentissement général du métabolisme consécutif à une insuffisance dans la production ou la sécrétion des hormones thyroïdiennes.

Un cas de calcinose cutanee associee a un syndrome de cushing iatrogene et traitee a la colchicine
Un Boxer mâle de 7,5 mois nous est présenté pour une dermatose sévère, évoluant depuis un mois environ et ne répondant pas à différents traitements

Leishmaniose du chat : symptômes, traitements et prévention essentiels
Découvrez les symptômes, traitements et conseils de prévention pour la leishmaniose chez le chat. Protégez votre compagnon félin dès maintenant !

Comprendre le gène mdr1 : Impacts et enjeux pour la santé canine
La maladie génétique liée au gène MDR1 représente un défi diagnostique majeur en médecine vétérinaire, révélant la complexité des interactions entre la toxicité médicamenteuse et la susceptibilité individuelle des animaux.

La dermatite à Malassezia chez le Chien et Le Chat
Malassezia est une levure naturellement présente sur la peau et les muqueuses des chiens et des chats. En cas de maladie sous-jacente, elle peut proliférer et causer des problèmes cutanés (dermatite, otite, paronychie). Le diagnostic est simple via cytologie, mais le traitement nécessite une approche globale, incluant l’identification et le traitement de la cause sous-jacente.

Cas d’Acné Mentonnière chez un Chat (Acné du Chat)
Un chat européen, mâle castré, âgé de 9 ans, est présenté à la consultation de dermatologie pour un prurit facial, associé à des lésions mentonnières chroniques et récidivantes, modérément prurigineuses. L’acné féline est une affection cutanée fréquente chez les chats.

Accident cutane medicamenteux (vascularite urticarienne) chez un Akita Inu
Un chien Akita Inu, mâle castré de 3 ans, est présenté en urgence à la consultation de dermatologie pour une dermatose peu prurigineuse apparue 10 jours auparavant et s’étant aggravée ces cinq derniers jours.