Un chien bullmastiff de 7 ans est présenté pour une masse sur l’épaule G
Laetitia Piane,
Novembre 2024
Examen cytologique en première intention
Une cytoponction à l’aiguille fine de la lésion a été réalisée.
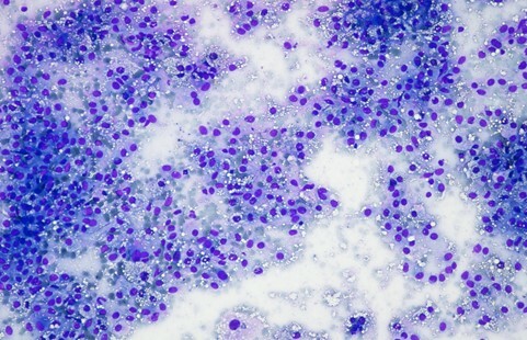
Photo 1 : Cytologie de la masse à faible grossissement (x100)
Observation à faible grossissement
- Qualité technique: bonne
- Cellularité : élevée
- Fond de frottis : hémorragique
- Population cellulaire d’intérêt :
- Prédominante
- Monomorphe
- Organisation : isolées ou en paquets parfois organisés autour de structures vasculaires (flèche rouge)

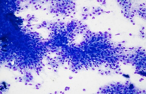
Photo 2 et 3 : Cytologie de la masse à moyen grossissement (x200)
Observation à moyen grossissement
- Qualité technique: bonne
- Cellularité : élevée
- Fond de frottis : hémorragique et microvacuolisé
- Population cellulaire d’intérêt :
- Prédominante
- Monomorphe
- Organisation : isolées, en paquets parfois organisés autour de structures vasculaires
- Forme ronde à fusiforme
- RNP moyen
- Cytoplasme : basophile moyen aux contours plus ou moins bien délimités, richement microvacuolisé (vacuoles optiquement vides à contours nets)
- Noyau : ovoïde
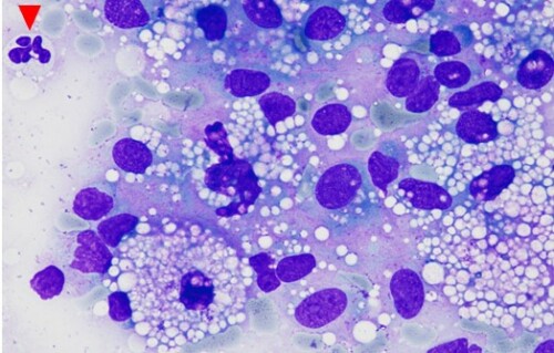
Photo 4 à 6 : Cytologie de la masse à fort grossissement (x500 et 1000)
Observation à fort grossissement
- Qualité technique: bonne
- Cellularité : élevée
- Fond de frottis : hémorragique et microvacuolisé
- Population cellulaire d’intérêt :
- Prédominante
- Monomorphe
- Organisation : isolées, en paquets désorganisés
- Forme ronde à fusiforme (flèche noire)
- RNP moyen
- Cytoplasme : basophile moyen aux contours plus ou moins bien délimité et richement microvacuolisé (vacuoles optiquement vides à contours nets)
- Noyau : ovoïde à la chromatine grossière, discrètement nucléolé
- Atypies : anisocytose et anisocaryose modérées à assez marquées, binucléations (flèche noire).
- Quelques cellules géantes plurinucléées (flèche rouge)
- Autres cellules :
- Rares neutrophiles (tête de flèche rouge)
Les prélèvements cytologiques obtenus sont de très bonne qualité technique : les lames sont très riches en cellules intactes et suffisamment étalées. Les caractéristiques cytonucléaires sont ainsi aisées à évaluer.
La cytologie met en évidence, sur un fond de frottis hémorragique et microvacuolisé, associé à une trame rosée finement ponctuée, une population abondante de cellules isolées ou en paquets parfois organisés autour de structures vasculaires. Ces cellules sont de taille moyenne à grande, de forme ovoïde à fusiforme avec un rapport nucléocytoplasmique moyen. Leur noyau est ovoïde à la chromatine grossièrement réticulée et discrètement nucléolée. Leur cytoplasme est basophile moyen plus ou moins bien délimité, et le plus souvent richement microvacuolisé. Ces cellules présentent une anisocytose et anisocaryose modérées à parfois marquées, quelques binucléations.
De rares cellules géantes plurinucléées sont observées, évoquant des macrophages géants.
Suspicion diagnostique
La cytologie met en évidence une prolifération de cellules d’allure fibro-histiocytaire richement microvacuolisées. Les hypothèses diagnostiques envisagées sont :
– Un sarcome des tissus mous (ex : liposarcome, tumeur périvasculaire murale, tumeur des gaines nerveuses…).
– Une lésion inflammatoire granulomateuse à composante lipidique (ex : xanthogranulome, panniculite).
Examen anatomopathologique de la lésion
Une exérèse chirurgicale est pratiquée et une analyse anatomopathologique est réalisée. Le diagnostic histologique est celui d’un xanthogranulome.
Discussion
Il s’agit d’une néoformation pseudotumorale, inflammatoire, lipoprotéique, rare chez le chat et très rare chez le chien.
Cytologiquement, les étalements sont généralement caractérisés par la présence de macrophages ronds et très spumeux, qui peuvent être isolés ou en paquets denses. Des cristaux de cholestérol sont parfois notés. Dans le cas présent cette organisation périvasculaire, de même que l’aspect fusiforme des cellules, a pu conduire au diagnostic cytologique erroné de sarcome des tissus mous. Ce cas rappelle un cas décrit par Russel en 2019. Ce pattern particulier, rarement observé chez le chien, est rapporté chez l’homme dans les xanthomes plans diffus normolipémiques, un type de xanthome secondaire au dépôt autour des vaisseaux d’immunoglobulines dans certaines hémopathies malignes (myélome multiple, lymphome, leucémie, paraprotéinémie monoclonale…).
Une analyse anatomopathologique est généralement requise pour un diagnostic définitif.
L’apparition d’une lésion unique ou de lésions multiples, est souvent associée à un trouble du métabolisme lipidique (hypercholestérolémie, hypertriglycéridémie…) ou une dysendocrinie (diabète sucré, hypothyroïdie, hyperadrénocorticisme). Plus rarement, elle est d’origine idiopathique, sans trouble métabolique associé. Des traumatismes peuvent également jouer un rôle dans la pathogénie de ces lésions.
Ainsi, face à une suspicion de xanthogranulome, un bilan biologique est conseillé, avec en particulier un dosage des triglycérides et du cholestérol à jeun, et un bilan endocrinologique.
————————————————————————————————————————————–
Gross TL and all. Skin Diseases of the Dog and Cat: Clinical and Histopathologic Diagnosis, 2nd edition. Chapter 13, Blackwell Science, Ames, Iowa, 2005, Chapter 13, pp:330-333.
Y Jung and al. Cutaneous Xanthoma in a Dog. J Vet Clin, 2023:382-386
Russel EB, Courtman NF. Unique cytologic and histologic features of a suspected cutaneous xanthoma in a dog. Vet Clin Pathol, 2019:1–5
Banajee KH, et al. Idiopathic solitary cutaneous xanthoma in a dog. Vet Clin Pathol, 2011:95–98





