Harold est un chien Boxer mâle de 11 ans, présenté en consultation pour une masse sur le thorax droit, molle et non adhérente avec une partie profonde plus indurée, de 5 cm de diamètre évoluant depuis au moins 15 jours. Absence d’autre anomalie significative à l’examen clinique.
Laetitia Piane,
Février 2024
Examen cytologique en première intention
Une cytoponction à l’aiguille fine de la masse a été réalisée.
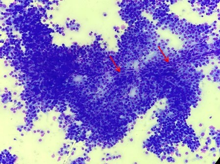
Photo 1 : Cytologie de la masse à faible grossissement (x100)
Observation à faible grossissement
- Qualité technique: bonne
- Cellularité : élevée
- Fond de frottis : peu hémorragique
- Population cellulaire d’intérêt :
- Prédominante
- Monomorphe
- Organisation : cellules isolées ou en paquets désorganisés
- Forme ovoïde à fusiforme
- RNP moyen
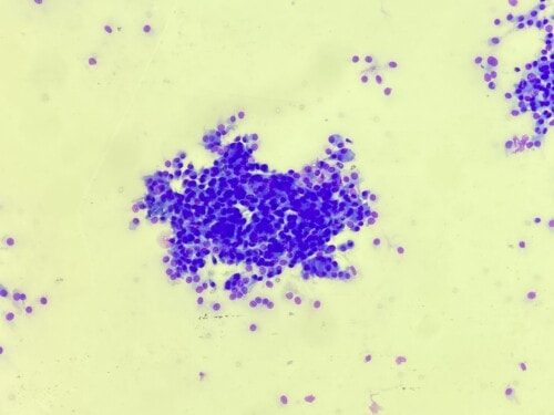
Photo 2 et 3 : Cytologie de la masse à moyen grossissement (x200)
Observation à moyen grossissement
- Qualité technique: bonne
- Cellularité : élevée
- Fond de frottis : peu hémorragique
- Population cellulaire d’intérêt :
- Prédominante
- Monomorphe
- Organisation : cellules isolées ou en paquets désorganisés parfois associés à des capillaires (flèches rouges)
- Forme ovoïde à fusiforme
- RNP moyen
- Cytoplasme : basophile moyen, contours mal délimités
- Noyau : ovoïde
- Atypies : anisocytose et anisocaryose modérées à parfois plus marquées
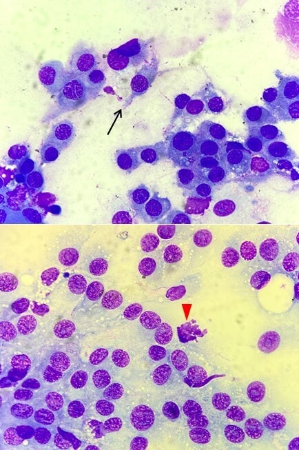
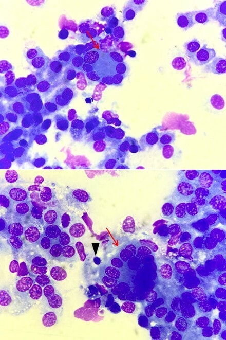
Photo 4 à 7 : Cytologie de la masse à fort grossissement (x1000)
Observation à fort grossissement
- Qualité technique: bonne
- Cellularité : élevée
- Fond de frottis : propre
- Population cellulaire d’intérêt :
- Prédominante
- Monomorphe
- Organisation : cellules isolées ou en paquets désorganisés
- Forme ovoïde à fusiforme (flèche noire)
- RNP moyen
- Cytoplasme : basophile moyen, contours mal délimités, parfois vacuolisé
- Noyau : ovoïde à la chromatine grossièrement réticulée dévoilant un à deux petits/moyens nucléoles
- Atypies : anisocytose et anisocaryose modérées à parfois plus marquées
- Quelques cellules géantes plurinucléées avec des noyaux s’organisant parfois en couronne (« crown cells ») (flèche rouge)
- Rares mitoses (tête de flèche rouge
- Autres cellules :
- Rares lymphocytes matures (tête flèche noire)
Les prélèvements cytologiques obtenus sont de bonne qualité technique : les lames sont suffisamment riches en cellules intactes et suffisamment étalées. Les caractéristiques cytonucléaires sont ainsi aisées à évaluer.
La cytologie met en évidence une population abondante de cellules rondes isolées ou en paquets désorganisés ayant parfois tendance à s’enrouler sur elles-mêmes et parfois associés à de fins capillaires. Ces cellules sont de taille moyenne à parfois grande, d’allure fusiforme, avec un RNP moyen.
A fort grossissement, ces cellules présentent un noyau rond à ovoïde à la chromatine grossièrement réticulée dévoilant un ou deux petits à moyens nucléoles. Leur cytoplasme est basophile moyen mal délimité et parfois microvacuolisé. Ces cellules présentent une anisocytose et anisocaryose modérées à parfois assez marquées. On note également la présence de quelques cellules géantes plurinucléées avec des noyaux s’organisant en couronne typiques (« crown cells »).
Un discret infiltrat lymphoïde est noté.
Suspicion diagnostique
En faveur d’un sarcome des tissus mous dont les critères morphologiques orientent en première intention vers une tumeur des gaines vasculaires (ou nerveuses).
Suivi clinique
La décision d’exérèse chirurgicale a été prise afin de confirmer le diagnostic cytologique, et déterminer le grade de malignité de la tumeur.
Examen anatomopathologique de la lésion
L’analyse histologique confirme la suspicion de sarcome des tissus mous. Il s’agit dans le cas présent d’une tumeur des gaines vasculaires de grade I.
Discussion
Les sarcomes des tissus mous, sont un ensemble de tumeurs qui présentent des caractéristiques morphologiques et biologiques semblables, comprenant les fibrosarcomes, les myxosarcomes, les tumeurs des graines périvasculaires, les tumeurs des gaines nerveuses, les sarcomes pléomorphe et s à cellules géantes, les liposarcomes, etc.
Ils représentent entre 8 et 15% des tumeurs cutanées et sous-cutanées du chien et sont particulièrement observés chez les chiens adultes à âgés, de race moyenne à grande.
Des cellules plurinucléées avec des noyaux en couronne, appelées « crown cells » peuvent être observées et sont caractéristiques des tumeurs des gaines vasculaires et nerveuses. Toutefois la présence de ces cellules plurinucléées ne constitue pas un critère de malignité ; le nombre de figures de mitose (≥ 3) pour 200 cellules étant le seul paramètre cytologique significativement mais faiblement corrélé au grading histologique. Ainsi, la cytologie seule est insuffisante pour déterminer le grade de malignité de la tumeur. Un contingent lymphoïde est noté dans 10% des cas.
Le comportement biologique de la tumeur dépendant en partie du grade de malignité, l’analyse histologique est donc indispensable pour déterminer ce grade et en conséquence le pronostic de la lésion. Les tumeurs de grade I récidivent peu après exérèse et ont un plus faible de risque de métastase à la différence des tumeurs de grade III. Les marges
Les principaux sites de métastases étant les poumons et plus rarement les nœuds lymphatiques de drainage, le bilan d’extension devra comprendre a minima des radiographies thoraciques et une cytoponction des nœuds lymphatiques de drainage.
Dennis MM, McSporran KD, Bacon NJ, Schulman FY, Foster RA, Powers BE. Prognostic factors for cutaneous and subcutaneous soft tissue sarcomas in dogs. Vet Pathol. 2011, 48(1):73-84.
Raskin RE. Skin and Subcutaneous Tissues. In: Raskin RE. Canine and feline cytology: a color atlas and interpretation guide, 3th edition. Saint Louis, Missouri, Elsevier. 2016:34-90.
Sanchez-Redondo S, Hare CHZ, Constantino-Casas F, Williams TL. Correlation between cytologic features and histologic grades in cutaneous and subcutaneous soft tissue sarcomas in dogs—A pilot study. Vet Clin Pathol. 2021;50:236–239.





