Un cas de dermatose lichénoïde idiopathique canine

Un chien Berger Belge Malinois femelle stérilisée de 2,5 ans est présentée en consultation spécialisée pour des lésions cutanées évoluant depuis 3 mois, répondant modérément à des traitements à base d’antibiotiques (molécule non renseignée) et anti-inflammatoires (prednisolone 0.15mg/kg).

Thomas Brement

DMV, Dip.ECVD , Vet’Dermathome, Clinique Vétérinaire TouraineVet

Octobre 2023

Commémoratif/Anamnèse

Les lésions sont apparues initialement sur les pavillons auriculaires et le chanfrein avec une extension progressive sur le pourtour des yeux puis le reste du corps et les membres, en particulier les coudes. La chienne vit en maison avec jardin avec accès libre à l’extérieur, mange une alimentation sèche à base de protéines de saumon ou agneau et est par ailleurs traitée contre les parasites externes avec une spécialité de fluralaner et vermifugée tous les 6 mois (molécule non renseignée).

Examen clinique et diagnostic différentiel

L’examen clinique général ne révèle aucune anomalie. Le bilan de l’examen dermatologique est une dermatose chronique non à très modérément prurigineuse symétrique et multifocale intéressant les pavillons auriculaires (face interne et bords), le chanfrein, le pourtour des yeux, les faces latérales des coudes et jarrets caractérisée par des papules et plaques érythémateuses, squameuses voire croûteuses exophytiques (hyperkératose). (cf. photo 1 à 3).

Un cas de dermatose lichénoïde idiopathique canine

Un cas de dermatose lichénoïde idiopathique canine

Un cas de dermatose lichénoïde idiopathique canine

Photos 1 à 3 : état clinique lors de la consultation initiale : notez la présence de papules et plaques érythémateuses, squameuses et hyperkératotiques sur les pavillons auriculaires, chanfrein et pourtour des yeux.

Le diagnostic différentiel inclut en priorité une dermatose lichénoïde (psoriasiforme), une dermatose à médiation immune (pemphigus foliacé, érythème polymorphe hyperkératotique), une papillomatose ou un trouble de la kératinisation primaire. Une dermatophytose est à exclure.

Examens complémentaires et diagnostic

Aucun élément figuré n’est observé aux raclages cutanés. La cytologie cutanée montre la présence de très nombreux polynucléaires neutrophiles sains et dégénérés, macrophages dont mélanophages en quantité modérée, très rares bactéries de type cocci sans image de phagocytose et une parakératose sévère des cornéocytes.

La culture fongique est négative. Des biopsies cutanées pour analyse histopathologique sont donc réalisées et examinées en coloration standard et APS.

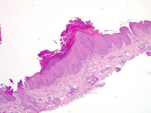
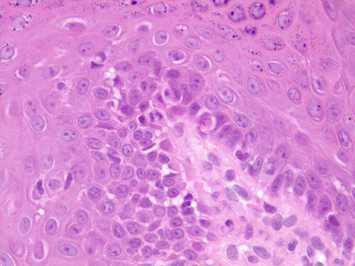
Cette dernière montre de multiples foyers de dermatite hyperplasique parakératotique lichénoïde mixte (à base de lymphocytes, de plasmocytes, d’histiocytes et de quelques granulocytes neutrophiles et mastocytes) discrètement d’interface (exocytose lymphocytaire discrète à modérée dans les couches basales de l’épiderme associée à quelques images de dégénérescence hydropique, plus rarement d’apoptose) recouverts de croûtes adhérentes en plaques ou en colonnes. L’aspect histopathologique est compatible avec l’hypothèse d’une dermatite lichénoïde idiopathique / kératose lichénoïde, moins probablement d’une dermatite lichénoïde psoriasiforme (cf. photos 4 et 5).

Un cas de dermatose lichénoïde idiopathique canine
LEAD Technologies Inc. V1.01
Un cas de dermatose lichénoïde idiopathique canine
LEAD Technologies Inc. V1.01

Photos 4 et 5 : aspect histopathologique des lésions : notez l’hyperplasie épidermique sévère recouverte de croûtes adhérentes en plaques ou en colonnes (photo 4) et la discrète dermatite d’interface (apoptose focale des kératinocytes de la couche basale de l’épiderme ; photo 5)

SI VOUS ETES VETERINAIRE : Pour lire la suite de cet article, veuillez vous enregistrer en haut à droite. Merci

Références bibliographiques

[1] SULA (MJM), « Tumors and Tumorlike Lesions of Dog and Cat Ears » Vet Clin Small Anim, n°42, 2012, pages 1161–1178

[2] MILLER (WH), GRIFFIN (CE), CAMPBELL (KL), « Muller and kirk’s Small Animal Dermatology, Chapitre Miscellaneous Skin Diseases », 2013, pages 700-701

[3] ANDERSON (WI), SCOTT (DW) et LUTHER (PB), « Idiopathic benign lichenoid keratosis on the pinna of the ear in four dogs », Cornell Vet, n°79, 1989, pages 179-184

[4] KANNO (M) et coll., « Lichenoid keratosis in three toy poodles », Japanese Journal of Veterinary Dermatology, n°2 (23), 2017, pages 63-67

[5] GROS (TL], IHRKE (PJ), WALDER (EJ), AFFOLTER (VK), « Skin diseases of dogs and cats, Clinical and histopathologic diagnosis, 2nd edition, Chapitre Hyperplastic diseases of the epidermis », 2005, pages 154-155.

[6] MORGAN (MB) et coll., « Benign Lichenoid Keratosis : A Clinical and Pathologic Reappraisal of 1040 cases », Am J Dermatopathol, n°27, 2005 pages 387–392

[7] MILLER (WH), GRIFFIN (CE), CAMPBELL (KL), « Muller and kirk’s Small Animal Dermatology, Chapitre Congenital and Hereditary defects », 2013, pages 581

[8] VERNER (AH), « Psoriasiform-lichenoid-like dermatosis in three dogs treated with microemulsified cyclosporine A », J Am Vet Med Assoc, n°223(7), 2003, pages 1013-6.

[9] CARLOTTI (DN) et coll., « Three cases of canine lichenoid dermatitis of bacterial origin », Prat Méd Chir Anim Comp, n°41, 2006, pages 79-83

[10] YOON (JH) et coll., « Comparative study of treatment methods for benign lichenoid keratosis of the face », Dermatologic Therapy, n°35 (5), 2022, e15419. doi:10.1111/dth.15419

 

Crédits photos :

  • Photos cliniques : Thomas Brément
  • Photos histopathologiques : LAPVSO

Laisser un commentaire

Votre adresse e-mail ne sera pas publiée. Les champs obligatoires sont indiqués avec *

Retour en haut