Un chat Européen mâle non castré de 3 ans est présenté à la consultation de dermatologie pour des lésions cutanées apparues 1 mois auparavant.
Arnaud MULLER* – Eric GUAGUERE* – Thibault BURNOUF**
Clinique Vétérinaire Saint-Bernard. 598, avenue de Dunkerque F-59160 Lomme
*Spécialiste en Dermatologie, Dip ECVD, CES Dermatologie Vétérinaire
**Résident du Collège Européen de Dermatologie Vétérinaire
Mai 2024
EXAMEN CLINIQUE
Il montre un chat en état général altéré, avec notamment des signes de discordance respiratoire majeure, et présentant effectivement des lésions cutanées localisées sur les extrémités podales des 4 membres, caractérisées par un aspect soit ulcératif voire fistulisé, soit en relief (granulomateux). Aucun écoulement n’est observé. Le prurit est également absent.
Photos 1 à 4 : Lésions visibles sur les faces dorsales, latérales et ventrales des extrémités podales.
Compte tenu de l’aspect et de la localisation des lésions, les hypothèses diagnostiques principales sont une pyodermite profonde, une mycose profonde et un processus tumoral (mastocytome, lymphome).
L’apparition de lésions cutanées sévères chez un jeune chat non castré conduisent à la réalisation de tests viraux, qui révèlent une positivité pour le FIV.
La difficulté respiratoire amène à réaliser en premier lieu des radiographies thoraciques, qui mettent en évidence un épanchement pleural massif.
Photo 5 : Visualisation radiographique de l’épanchement pleural
Compte tenu de cet épanchement, du statut FIV positif et de l’étendue des lésions cutanées, le pronostic est assez sombre et les propriétaires demandent l’euthanasie de leur animal, tout en autorisant des prélèvements cutanés.
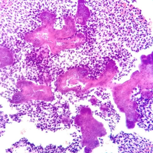
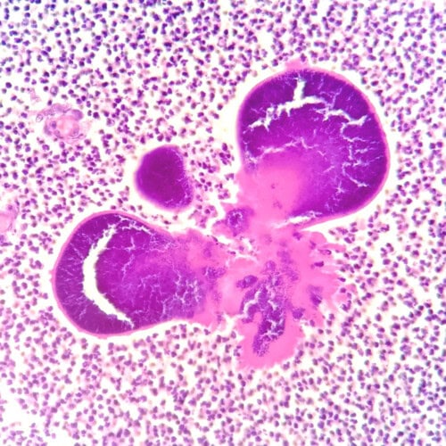
Les biopsies cutanées (LAPVSO) montrent un tissu de granulation dans lequel aucune structure épithéliale n’est visible. Ce tissu est infiltré de nombreux granulocytes neutrophiles plus ou moins altérés associés à une population inconstante de lymphocytes, plasmocytes et histiocytes. Au sein de cette lésion on observe plusieurs colonies bactériennes géantes constituée de coques et entourées d’un matériel éosinophile hyalin (phénomène de Splendore-Hoëppli).
Photos 6 et 7 : Examen histopathologique montrant principalement des granulocytes neutrophiles entourant des colonies bactériennes enveloppées dans un matériel éosinophile hyalin (JC Husson, LAPVSO, HE)
Le diagnostic définitif est donc celui d’une botryomycose féline.
DISCUSSION
La dénomination de botryomycose (ou botriomycose) prête évidemment à confusion, puisqu’il ne s’agit absolument pas d’une infection par un champignon (ce qui a été pensé de façon erronée au départ en 1884 par Rivolta), mais bien par une bactérie (prouvé dès 1919). Le début de ce terme de botryomycosenfait quant à lui référence au mot grec « botryo » , qui signifie « grappe de raisin » et correspond à l’aspect lésionnel du pus en grains. Certains auteurs préfèrent parler de granulome staphylococcique ou de pseudomycétome bactérien.
Par définition, la botryomycose est une infection profonde, pyogranulomateuse, associée à des colonies géantes de bactéries non filamenteuses, dont l’espèce varie d’un cas à l’autre.
Le genre bactérien le plus fréquemment impliqué chez l’homme comme chez le chat est Staphylococcus (ce qui est probablement le cas pour notre chat, compte tenu de l’aspect des bactéries, mais aurait pu être confirmé par une culture bactériologique, malheureusement non réalisée), plus particulièrement S. aureus. De nombreux genres ont en fait été rapportés lors de botryomycose : Streptococcus, Streptomyces, Truperella, Actinobacillus, Corynebacterium, Yersinia, Proteus, Pseudomonas…
Toutefois, seule une culture bactériologique permet de déterminer l’espèce bactérienne impliquée, en prenant soin d’indiquer au laboratoire le contexte clinique, car les bactéries concernées forment des colonies géantes qui peuvent être difficiles à cultiver en raison de leur capacité à s’organiser en biofilm.
Cliniquement, la prolifération bactérienne est responsable de suppurations chroniques cutanées, plus rarement viscérales, nodulaires, pseudokystiques, souvent fistulisées et émettant des grains souvent blanchâtres (grains = zooglées = bactéries assemblées en amas et englobées dans une gangue gélatineuse commune).
Cette infection survient en général après une morsure ou un traumatisme avec inoculation de corps étrangers. Une immunodépression est parfois constatée (infection par le FIV déjà décrite chez un chat dans un article japonais de 2010 avec atteinte cutanée caractérisée par une lésion ulcéro-croûteuse prurigineuse en regard de l’épaule).
L’examen cytologique (non réalisé ici) révèle parfois une inflammation suppurée contenant des granules composés de colonies bactériennes denses
Histopathologiquement, l’une des caractéristiques de la botryomycose, outre la présence d’une cellulite pyogranulomateuse, est la mise en évidence du phénomène de Splendore-Hoeppli, correspondant à la visualisation, autour des colonies bactériennes Gram positives, de dépôts éosinophiles rayonnants ou annulaires (possible aussi avec des champignons ou des parasites).
Le pronostic est réservé du fait de la grande résistance à l’antibiothérapie, notamment à cause de l’organisation des bactéries en biofilm, nécessitant une approche combinée médicale (antibiothérapie prolongée (béta-lactamines), anti-inflammatoires) et chirurgicale quasi-obligatoire (parage chirurgical, lambeaux cutanés). L’antibiothérapie seule ne suffit généralement pas.
Quelques éléments de pathologie comparée :
La botryomycose humaine est relativement rare. Le principal agent en cause est Staphylococcus aureus, mais d’autres bactéries comme Proteus, Pseudomonas ou Corynebacterium sont régulièrement rapportées. Les facteurs prédisposants chez l’adulte sont le diabète, le HIV, une cirrhose hépatique, un traumatisme et la prise de corticoïdes.
La forme cutanée est majoritaire, alors que la forme viscérale est plus rare (observée dans un tiers des cas) et dominée par l’atteinte pulmonaire, comme pour notre chat. Le pronostic est bon avec une antibiothérapie adaptée et rpolongée.
REFERENCES
- McClintock DE, Banovic F et coll. Pathology in Practice: botryomycosis. JAVMA, 2021, 259, https://doi.org/10.2460/javma.19.03.0137.
- Murai T, Yasuno K, Shirota K. Bacterial pseudomycetoma (botryomycosis) in an FIV-positive cat. Jpn J Vet Dermatol 2010;16:61–5.
- Sheikh-Omar AR, Abdullah AS. Perforated gastric ulcer associated with disseminated staphylococcal granuloma (botryomycosis) in a cat. Vet Rec. 1985;117(6):131.
- Turner M. Cutaneous staphylococcal granuloma in a cat. Can Vet J 2021;62:1225–7.







