Mars 2011
Auteurs :
Frédérique Degorce-Rubiales1 – CES de Dermatologie Vétérinaire, DESV d’Anatomie Pathologique Vétérinaire, Spécialiste en Anatomie Pathologique Vétérinaire
Agnès Poujade1 – DESV d’Anatomie Pathologique Vétérinaire, Spécialiste en Anatomie Pathologique Vétérinaire
1LAPVSO – 129 Route de Blagnac – 31201 Toulouse cedex 2 – www.lapvso.com
Avertissement
Le cas clinique présenté est un cas de dermatopathologie, aussi l’anamnèse, l’examen clinique, l’examen dermatologique et les examens complémentaires réalisés, se limiteront aux données présentes sur la fiche de commémoratifs reçue avec les prélèvements histologiques. Aucune photo clinique n’a été réalisée lors de la consultation initiale. Les clichés les plus précoces ont été pris, rétrospectivement au diagnostic histologique.
Commémoratifs
Un chien Shi Tzu, castré, âgé de 9 ans présente depuis 9 mois, un prurit, une lichénification, une alopécie et des lésions de pyodermite tronculaires dorso-lombaires et ventrales récidivantes ainsi qu’un aspect huileux de la peau et du pelage (Photos 1 & 2). Deux mois auparavant, il a subi une castration pour ablation d’un sertolinome testiculaire, à la suite de laquelle, une repousse complète du pelage, une diminution des surfaces lichénifiées et une disparition du prurit ont été constatées, pour réapparaître un mois plus tard. L’animal reçoit une corticothérapie orale ininterrompue depuis 3-4 ans, parfois associée à une corticothérapie locale sous forme de topiques.

Photo 1 : Le tégument ventral est érythémateux, alopécique, lichénifié et hyperpigmenté
(photo prise après la biopsie rétrospectivement au diagnostic histologique) Photo Olivier Hennequin.

Photo 2 : Le tégument dorsal est érythémateux, présente une discrète hypotrichose.
On Remarque un aspect gras et huileux de la peau et du pelage
(photo prise après la biopsie rétrospectivement au diagnostic histologique) Photo Olivier Hennequin.
Hypothèses cliniques
- Démodécie
- Syndrome prolifération bactérienne et/ou dermatite à Malassezia dans un contexte allergique
- Séborrhée primaire
- Endocrinopathie
Examens complémentaires
Cinq biopsies cutanées sont réalisées au trépan de 6 mm de diamètre.
Examen histologique
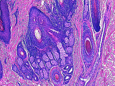
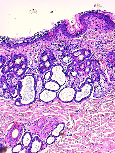
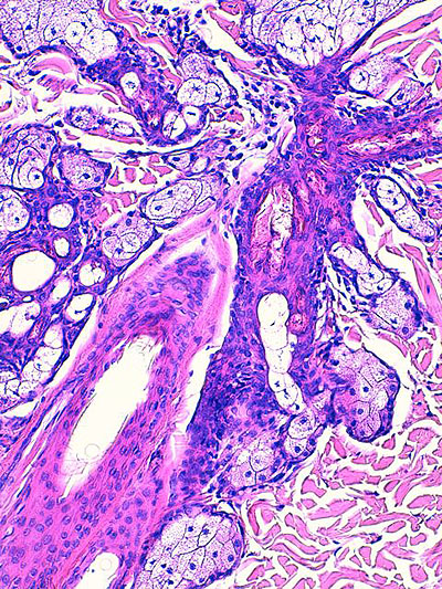
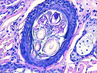
A l’examen histologique, on note une hyperplasie des glandes sébacées qui apparaissent nettement plurilobulées avec un aspect médusoïde très ramifié des lobules d’une même glande, une hyperplasie de la paroi épithéliale des canaux sébacés et de la gaine épithéliale folliculaire externe en région infundibulaire et isthmique ainsi qu’une dilatation kystique des glandes sudorales épitrichiales.
La gaine épithéliale folliculaire externe en zone isthmique et infundibulaire, de même que le canal sébacé, apparaissent hyperkératosiques (orthokératose)(Photos 3,4,5,6). Le pourtour isthmique des annexes est le siège d’un infiltrat inflammatoire lympho-plasmocytaire avec des lésions plus discrètes focales de folliculite murale lymphocytaire (Photos 6, 7). Le reste du derme n’est pas inflammatoire.
Au sein des unités folliculo-sébacées, le cycle folliculaire apparaît normal avec une nette prédominance des follicules pileux en phase anagène.
Un examen rapproché et attentif de toutes les lumières folliculaires, en région isthmique et infundibulaire ainsi que des canaux sébacés, permet de repérer la présence de rares silhouettes parasitaires le plus souvent isolées, évoquant des Demodex (Photos 7,8).
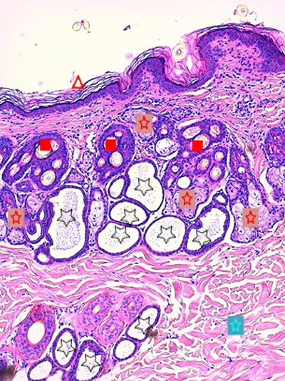
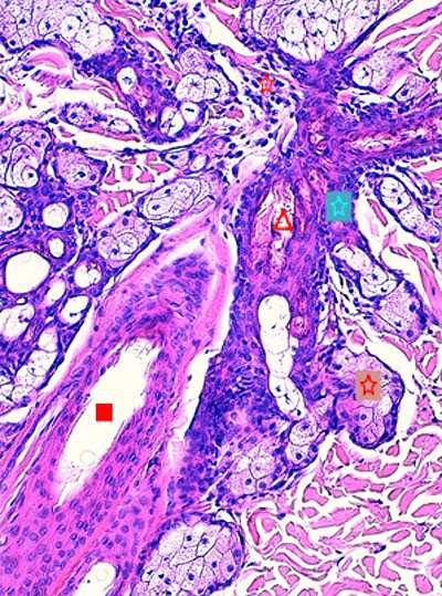
Photo 3 : (Hémalun Eosine X 100) : L’épiderme et les infundibula folliculaires montrent
une hyperkératose orthokératosique discrète à modérée, les canaux sébacés et les glandes sébacées
sont hyperplasiques, les glandes sudorales épitrichiales sont rétentionnelles et kystiques.
Légendes de la Photo 3 :
- Pointe de flèche rouge = hyperkératose orthokératosique de l’épiderme
- Étoile turquoise = derme périannexiel non inflammatoire hormis en zone péri-isthmique
- Étoile rouge = glandes sébacées plurilobulées hyperplasiques
- Carré rouge = portions infundibulaires et isthmiques des follicules pileux : la gaine épithéliale folliculaire externe est hyperplasique
- Étoile noire = lumière kystique des glandes sudorales épitrichiales

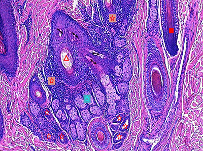
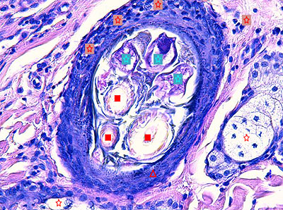
Photo 4 : (Hémalun Eosine X 200) : Hyperplasie des infundibula et isthmes folliculaires,
des canaux et des glandes sébacés; inflammation mononucléée du pourtour isthmique
des follicules pileux et des glandes sébacées; le cycle folliculaire est normal.
Légendes de la Photo 4 :
- Pointe de flèche rouge = tige pilaire dans isthme folliculaire
- Étoile rouge = fundus de glande sudorale épitrichiale
- Étoile turquoise = lobules de glande sébacée hyperplasique
- Flèche double noire = canal sébacé hyperplasique et hyperkératosique (orthokératose)
- Carré rouge = follicule pileux en phase anagène
- Étoile rouge = infiltrat inflammatoire lympho-plasmocytaire péri-isthmique
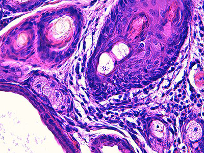
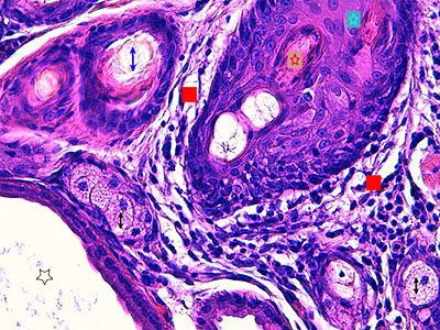
Photo 5 : (Hémalun-Eosine – X400) : Vue rapprochée d’un isthme folliculaire,
permettant de visualiser la plurilobulation “médusoïde” d’une glande sébacée,
l’hyperplasie et l’hyperkératose orthokératosique de son canal excréteur et
l’inflammation péri-isthmique lympho-plasmocytaire.
Légendes de la Photo 5 :
- Pointe de flèche rouge = lumière du canal sébacé hyperkératosique
- Étoile turquoise = paroi épithéliale hyperplasique du canal sébacé
- Carré rouge = lumière del’isthme follicualire
- Étoile rouge = lobules d’une glande sébacée hyperplasique
- Étoile rouge = infiltrat inflammatoire lympho-plasmocytaire péri-isthmique, le reste du derme n’est pas inflammatoire
Photo 6 : (Hémalun-Eosine – X400) : Vue rapprochée d’un canal sébacé
permettant de visualiser son hyperplasie et son hyperkératose orthokératosique,
la distension kystique de la glande sudorale épitrichiale et l’inflammation péri-isthmique
lympho-plasmocytaire et discrètement mural au sein de la paroi du canal sébacé.
Légendes de la Photo 6 :
- Étoile turquoise = paroi du canal sébacé hyperplasique
- Flèche double noire = lobules de glande sébacée
- Flèche double bleue = tige pilaire dans un isthme folliculaire
- Carré rouge = infiltrat inflammatoire lympho-plasmocytaire péri-isthmique pénétrant discrètement la paroi épithéliale du canal sébacé
- Étoile rouge = lumière du canal sébacé siège d’une hyperkératose orthokératosique
- Étoile noire = lumière kystique d’une glande sudorale épitrichiale (portion fundique)
Photo 7 : (Hémalun-Eosine – X400) : Vue rapprochée d’un isthme folliculaire permettant
de visualiser une inflammation murale lymphocytaire et la lumière folliculaire contenant
trois silhouettes parasitaires démodéciques.
Légendes de la Photo 7 :
- Étoile turquoise = trois silhouettes parasitaires démodéciques dans la lumière folliculaire
- Carré rouge = tiges pilaires
- Étoile rouge = infiltrat inflammatoire lymphocytaire mural dans la paroi de la gaine épithéliale folliculaire externe et plasmocytaire au pourtour de l’isthme folliculaire
- Étoile rouge = lobules de glande sébacée hyperplasique
- Pointe de flèche rouge = gaine épithéliale folliculaire externe d’un follicule pileux
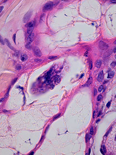
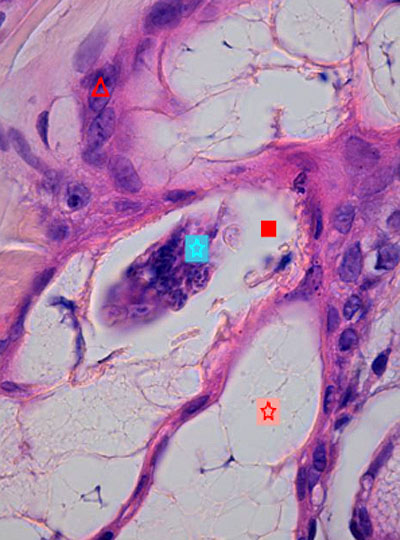
Photo 8 : (Hémalun-Eosine – X1000, huile à immersion) :
Vue au fort grossissement d’un canal sébacé contenant une silhouette de Demodex.
Légendes de la Photo 8 :
- Étoile turquoise = silhouette parasitaire démodécique dans la lumière du canal sébacé
- Carré rouge = lumière du canal sébacé
- Étoile rouge = sébocytes matures
- Pointe de flèche rouge = cellules de réserve (blastème) d’un lobule de glande sébacée hyperplasique
Diagnostic histologique
L’examen histologique est en faveur de lésions de démodécie pauci-parasitaire (démodécie à Demodex injai suspectée, à confirmer par l’examen de raclages cutanés).
Nous ne connaissons pas le traitement qu’a reçu l’animal ni le résultat des racalges ni des autres éventuels examens complémentaires.
Discussion
L’observation conjointe :
- d’une hyperplasie et d’une plurilobulation des glandes sébacées
- d’une hyperplasie et d’une hyperkératose orthokératosique des canaux sébacés et de la gaine épithéliale folliculaire externe en zones infundibulaire et isthmique
- d’une inflammation mononucléée chronique, même discrète, du pourtour isthmique des annexes cutanées
dans un contexte de séborhée grasse clinique, est très fréquemment associée à cette forme de démodécie, notamment chez les races predisposées comme les Terriers (West highland White Terrier, Scottish Terrier, Welsh Terrier, Yorkshire Terrier, Fox Terrier, Lakeland Terrier, Jack Russel Terrier, Border Terrier, Terrier Tibétain), le Lhassa Apso, les Teckels, le Shi Tzu…
Que ce tryptique lésionnel, relevé à l’histologie, constitue des lésions cutanées secondaires à une démodécie à Demodex injai ou que ces lésions soient primitives idiopathiques favorisant une infestation secondaire par Demodex injai est toujours en Discussion.
Quoiqu’il en soit, d’un point de vue strictement histologique, la présence des ces lésions à l’examen microscopique, doit inciter le dermatopathologiste à rechercher minutieusement les silhouettes parasitaires ou le plus souvent des fragments de silhouettes, dans les lumières folliculaires, mais également dans les lumières des canaux sébacées, ou, en leur absence, à conseiller au clinicien de les rechercher par des raclages insistants, tout comme à rechercher l’existence chez l’animal concerné d’un contexte débilitant favorisant (corticothérapie excessive, chimiothérapie, endocrinopathie – hypothyroïdie, hypercorticisme -, néoplasie, leishmaniose…).
Remerciements
Nos plus sincères et vifs Remerciements au Docteur vétérinaire Olivier Hennequin, Clinique vétérinaire de Tivoli, 77 Rue de Tivoli 57070 Metz, pour ses clichés photographiques, sa confiance et sa permission d’exploiter ce cas sur Dermavet section histopathologie.
Pour en savoir plus
À consulter sur Dermavet
Un cas de Démodécie à Demodex injai chez un Scottish Terrier par Éric Florant avril 2009
Un cas de Démodécie à Demodex injai chez une Fox Terrier par Xavier Langon janvier 2011
Bibliographie
- Mueller RS, Bettenay SV. An unusual presentation of canine demodecosis caused by a long-bodied Demodex mite in a Lakeland Terrier. Austr Vet Pract 1999, 29, 128-131.
- Scott DW, Miller WM, Griffin CE. Miscellaneous skin diseases. In: Muller and Kirk’s Small Animal Dermatology, 6th edn. Philadelphia: W.B. Saunders Company 2001, 1125-1184.
- Hillier A, Desch C.E. large bodied Demodex mite infestation in 4 dogs J. Amer. Vet. Med. Assoc. 2002, 200(5): 623-627
- Desch C.E., Hillier A Demodex injai: a new species of hair follicle mite from the domestic dog J Med Entomol, 2003, 40(2): 146-149.
- Robson DC, Burton GG, Bassett R et al. Eight cases of demodicosis caused by long-bodied Demodex species (1997-2002). Austr Vet Pract 2003, 33, 64-74.
- Mueller R.S. treatment protocols for demodicosis: an evidence based review, Veterinary Dermatology, 2004, vol15, iss2 75- 89
- Gross TL, Ihrke P, Walder E, Affolter VK. Dysplastic diseases of the adnexa. In: Skin Diseases of the Dog and Cat. Clinical and Histipathologic Diagnosis, 2nd edn. Oxford: Blackwell Science Ltd 2005, 518-536.
- Carlotti D.N. Demodex injai, demodex cati, and demodex gatoi: diagnosis and treatment, Proceedings of the 21st annual congress of the ESVD-ECVD, sept 2006, Lisbon 194-195
- Ordeix L, Bardagi M, Scarampella F et al. Demodex injai infestation and dorsal greasy skin and hair in eight wirehaired fox terrier dogs. Vet Dermatol 2009, 20, 267-272.
- Shipstone M. A review of canine and feline demodicosis, J of Small Animal dermatology for Practicionners 2009 (2) 1-11.











