Première consultation : un chat mâle castré de 4 ans vivant en appartement est présenté en consultation pour une dermatose ventrale associée à un léchage. Elle se présente sous la forme d’une alopécie, d’un érythème et de « cloques ».
Jean-Charles HUSSON
LAPVSO
Avril 2024
Avertissement
Le cas clinique présenté est un cas de dermatopathologie, aussi l’anamnèse, l’examen clinique, l’examen dermatologique et les examens complémentaires réalisés, se limiteront à une retranscription et un résumé des données fournies par le vétérinaire ayant pris en charge l’animal.
Commémoratifs
Première consultation : un chat mâle castré de 4 ans vivant en appartement est présenté en consultation pour une dermatose ventrale associée à un léchage. Elle se présente sous la forme d’une alopécie, d’un érythème et de « cloques ». La présence d’une pelouse synthétique chez les propriétaires motive une suspicion de dermatite de contact allergique ou par irritation. L’animal reçoit alors une injection de corticoïde avec une prescription de dermocorticoïdes pendant une semaine. L’animal est ensuite perdu de vue pendant 2 mois.
Deuxième consultation : la dermatose n’a montré aucune amélioration suite à l’administration de corticoïde par voie parentérale et topique. Lors de la seconde consultation l’examen clinique montre une peau alopécique, érythémateuse, fine, flétrie et inélastique au niveau du ventre et d’un postérieur et surtout un tissu sous-cutané se comportant comme s’il était gélifié avec une ponction d’eau de roche pouvant suinter au travers des « cloques ». Le « liquide » tend à s’accumuler caudalement lorsque l’animal est dressé sur ses postérieurs. L’état général de l’animal est conservé bien qu’il ait perdu du poids (800 g) depuis la première consultation.
Abdomen ventral : alopécie, érythème, érosions
Crédit photo : Dr Vet Amandine Lecoq
Abdomen ventral : alopécie, érythème, peau plissée et inélastique
Crédit photo : Dr Vet Amandine Lecoq
Diagnostic différentiel
Si la première consultation pouvait effectivement faire penser à une dermatose irritative ou par hypersensibilité au sens large, les informations anamnestiques et cliniques qui sont relevées lors de la seconde consultation sont en défaveur de ces hypothèses. Le différentiel inclut une maladie de dépôt (groupe des myxoedèmes et des scléromyxoedèmes par exemple) ou une néoplasie (lymphangiosarcome abdominal ventral).
Examens complémentaires
Une prise de sang ne permet pas de détecter d’anomalie avec un panel 10 paramètres.
Les biopsies cutanées apparaissent d’emblée indiquées dans cette situation manifestement inhabituelle.
Examen histologique
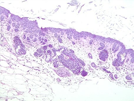
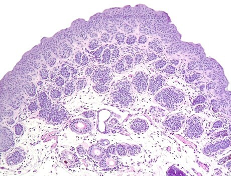
L’aspect histologique est tout à fait particulier, dominé par la présence de myriades de bourgeonnements ronds à amiboïdes de kératinocytes en provenance de la couche basale de l’épiderme et des infundibula. Au sein de ces bourgeonnements les kératinocytes montrent un rapport nucléo-cytoplasmique élevé avec un cytoplasme peu abondant et pâle et un noyau proéminent : aspect de cellules dites « basaloïdes ». Pour autant on n’observe ni atypies, ni perte de polarité, ni apoptose des kératinocytes. Le derme quant à lui est pâle, « myxoïde » avec la présence régulière de fibroblastes fusiformes sans atypies. Les glandes sébacées sont présentes et d’aspect normal. On n’observe enfin pas d’inflammation ou d’agents pathogènes figurés.
Aspect histologique de la peau. Notez les multiples bourgeonnements de cellules « basaloïdes » dans le derme superficiel et moyen. Notez également l’aspect pâle, cellulaire et « myxoïde » du derme
Aspect histologique de la peau. Notez les multiples bourgeonnements de cellules « basaloïdes » dans le derme superficiel et moyen. Notez également l’aspect pâle, cellulaire et « myxoïde » du derme
Le différentiel histologique est assez réduit. Chez un patient félin avec une telle dermatose multicentrique à extensive il faut évoquer théoriquement l’hypothèse d’une maladie de Bowen (carcinomes épidermoïdes in situ induits par un papillomavirus félin) en raison de cette prolifération de cellules basaloïdes en provenance de l’épiderme et de la partie haute des follicules pileux. Toutefois l’aspect global, l’absence d’atypie des kératinocytes et l’aspect du derme sont en défaveur de cette hypothèse. L’aspect histologique pourra donc être considéré comme caractéristique d’une entité rare récemment publiée : l’hamartome folliculaire basaloïde diffus.
Traitement
Aucun traitement n’est mis en place suite à la deuxième consultation, en attente du résultat des biopsies.
Évolution
L’animal devient inconfortable et son état général finit par se dégrader rapidement. Il est euthanasié le jour où les biopsies sont examinées. Les propriétaires récupèrent le corps, ne permettant pas de réaliser une autopsie.
Discussion
L’hamartome folliculaire basaloïde diffus (HFBD) est une dermatose rare récemment décrite et publiée en 2022 grâce à un travail conjoint de l’Ecole Nationale Vétérinaire de Toulouse et du LAPVSO. Les données concernant cette dermatose restent parcellaires en raison du faible nombre de cas récoltés.
L’étiologie de cette maladie est encore inconnue. Dans le cas publié la recherche d’un papillomavirus s’est révélée infructueuse. Aucun facteur prédisposant ou déclenchant n’émerge encore à ce jour.
Dans le rapport de cas publié, le chat présentait dermatose prurigineuse caractérisée par une alopécie de l’abdomen ventral, du thorax et des membres, associée à un discret érythème. Le prurit, la localisation à l’abdomen ventral et l’érythème sont cohérents avec le cas décrit ici. Dans la publication l’aspect clinique le plus caractéristique, absent dans le cas décrit ici, était un épaississement marqué et une perte d’élasticité cutanée au niveau de la face et autour des coussinets, conduisant à une exagération des plis cutanés et une fermeture des paupières (fermeture mécanique mimant un blépharospasme).
L’aspect histologique est homogène d’un cas à l’autre et ne ressemble à aucune autre entité pathologique. La connaissance de cette entité par le pathologiste est donc nécessaire pour poser le diagnostic.
Le pronostic semble mauvais. Les quelques chats qui ont pu être détectés et suivis sont inconfortables et finissent par montrer une dégradation de leur état général, motivant alors l’euthanasie.
Dans le cas publié l’autopsie a révélé un épaississement marqué des fascias et des capsules articulaires des épaules et des hanches. Pour un autre cas (non publié) l’autopsie a quant à elle révélé des dépôts de matrice extracellulaire myxoïde à la surface de certains viscères thoraciques et abdominaux.
L’HFBD est donc plus vraisemblablement un syndrome dermatologique associant des anomalies cutanées à une maladie de dépôt ou une maladie des tissus conjonctifs qu’une stricte maladie cutanée.
Chez l’humain l’HFBD peut être héréditaire ou non héréditaire, associé à des kystes, des comédons, une alopécie et une hypotrichose. Il peut être associé à une maladie auto-immune, comme la myasthénie grave. A notre connaissance, à part l’alopécie, aucune de ces anomalies n’a été détectée chez les quelques chats atteints.
Réunir de nouveaux cas permettrait de mieux comprendre cette maladie. Avis donc aux lecteurs : si vous êtes confronté à cette dermatose dans votre exercice, merci de prendre contact avec le LAPVSO et/ou le service de dermatologie de l’ENVT afin de réaliser des examens complémentaires et faire progresser les connaissances sur cette maladie encore très largement incomprise.
Références bibliographiques
Moog F, Demorieux V, Gaide N, Semin MO, Abadie J, Zacharopoulou M, Marinovic L, Delverdier M, Degorce-Rubiales F, Cadiergues MC. Multiple follicular abnormalities in a 1-year old cat consistent with basaloid follicular hamartomas. Vet Dermatol. 2022 Jun;33(3):247-e66.




