Lili est une chienne Boxer femelle stérilisée de 5 ans présentée en consultation pour une masse cutanée en regard de l’épaule évoluant depuis plusieurs années et ayant grossit dernièrement. Absence d’autre anomalie significative à l’examen clinique.
Laetitia Piane
Cytopathologiste vétérinaire au LAPVSO,
Dip. ECVCP (European College of Veterinary Clinical Pathology)
1/ Examen cytologique en première intention
Une cytoponction à l’aiguille fine de la masse a été réalisée.
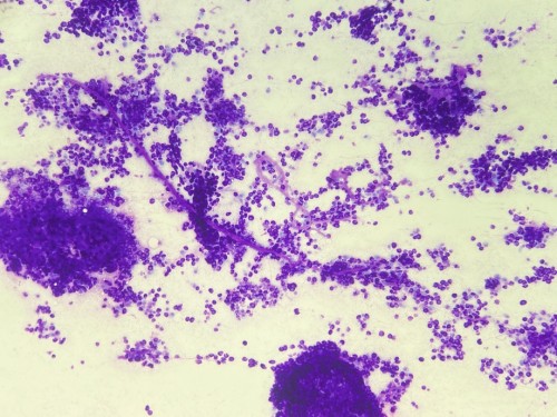
Photo 1 : Cytologie de la masse à faible grossissement (x100)
Observation à faible grossissement
- Qualité technique: bonne
- Cellularité : assez élevée
- Fond de frottis : granuleux
- Population cellulaire d’intérêt :
- Prédominante
- Monomorphe
- Organisation : cellules isolées ou en tapis denses associées à des fibres collagéniques (flèche rouge)
- Forme ronde
- RNP moyen à relativement élevé
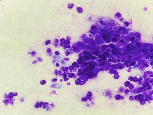
Photo 2 et 3 : Cytologie de la masse à moyen grossissement (x200)
Observation à moyen grossissement
- Qualité technique: bonne
- Cellularité : assez élevée
- Fond de frottis : granuleux, quelques noyaux nus
- Population cellulaire d’intérêt :
- Prédominante
- Monomorphe
- Organisation : cellules isolées ou en tapis denses
- Forme ronde
- RNP moyen à relativement élevé
- Cytoplasme : basophile clair riche en granulations violettes
- Noyau : rond central difficilement visible
- Atypies : anisocytose et anisocaryose légères à modérées
- Autres cellules :
- Quelques cellules fusiformes (flèches rouges)
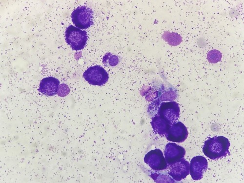
Photo 4 et 5 : Cytologie de la masse à fort grossissement (x1000)
Observation à fort grossissement
- Qualité technique: bonne
- Cellularité : assez élevée
- Fond de frottis : granuleux, quelques noyaux nus
- Population cellulaire d’intérêt :
- Prédominante
- Monomorphe
- Organisation : cellules isolées ou en tapis denses
- Forme ronde
- RNP moyen à relativement élevé
- Cytoplasme : basophile clair riche en granulations violettes
- Noyau : rond central difficilement visible
- Atypies : anisocytose et anisocayose légères à modérées (flèches noires), granulosité variable (cercle)
- Autres cellules :
- Quelques éosinophiles (tête de flèche)
- Quelques cellules fusiformes (flèche rouge)
Les prélèvements cytologiques obtenus sont de bonne qualité technique : les lames sont suffisamment riches en cellules intactes et suffisamment étalées. Les caractéristiques cytonucléaires sont ainsi aisées à évaluer.
La cytologie met en évidence une population abondante de cellules rondes isolées ou en paquets parfois associées à une substance fibrillaire rosée. Ces cellules sont de taille moyenne à grande, avec un rapport nucléocytoplasmique moyen à assez élevé.
A fort grossissement, ces cellules présentent un cytoplasme riche en granulations violettes et un noyau rond central souvent difficilement visible recouvert de granulations. L’ensemble de ces caractéristiques permet de reconnaître des mastocytes bien différenciés. Ces cellules présentent une anisocytose et anisocaryose légères à modérées.
Un infiltrat inflammatoire modérément abondant composé principalement d’éosinophiles est noté, de même que quelques cellules fusiformes.
3/ Suspicion diagnostique :
En faveur d’un mastocytome sans critères francs de malignité.
4/ Suivi clinique :
La décision d’une exérèse chirurgicale a été prise afin de confirmer le diagnostic cytologique, et déterminer le grade de malignité de la tumeur.
5/ Examen anatomopathologique de la lésion :
L’analyse histologique confirme la suspicion de mastocytome. Il s’agit dans le cas présent d’un mastocytome cutané de bas grade (Kiupel) et de grade 2 (Patnaik).
6/ Discussion
Le mastocytome représente la tumeur cutanée la plus fréquente chez le chien (entre 16 et 21% de toutes les tumeurs cutanées). Les mastocytes sont le plus souvent observés chez les chiens âgés mais ont également été décrits chez des chiens jeunes. Certaines races sont reconnues à risque comme les Boxers, les Boston terriers, les Bouledogues Anglais, les Carlins, les Labrador et Golden Retrievers, les Cocker Spaniels, les Schnauzers, les Staffordshire terriers, Beagles, Rhodesian Ridgebacks, Shar Peis… Les Bouledogues et les Carlins présentent le plus souvent des formes bénignes, tandis que les Shar Peis ont tendance à faire des formes plus agressives.1 Les tumeurs qui surviennent au niveau du périnée, du scrotum du prépuce et des doigts apparaissent plus agressives.2
Le diagnostic de mastocytome est le plus souvent aisé à la cytologie, les mastocytes étant des cellules granuleuses facilement reconnaissables. Il est toutefois à noter qu’avec les colorations rapides de type RAL 555, les granulations métachromatiques caractéristiques des mastocytes apparaissent très peu voire non colorées (ces granulations se voyant toutefois très bien avec une coloration de type MGG). Par ailleurs, lorsque le mastocytome est faiblement granuleux voire agranuleux, il peut être délicat d’établir un diagnostic de certitude à la cytologie. La présence d’éosinophiles peut aider au diagnostic (les éosinophiles étant plus souvent observés chez le chien que chez le chat) mais dans ce cas une analyse histologique s’avère nécessaire pour établir un diagnostic de certitude et écarter une autre tumeur à cellules rondes (ex : histiocytome cutané canin, lymphome, plasmocytome…).
Le comportement biologique de la tumeur va dépendre en partie du grade de malignité. La cytologie peut permettre de déterminer le grade du mastocytome, lorsque les prélèvements sont de qualité technique satisfaisante. Un mastocytome est considéré comme de haut grade s’il est faiblement granuleux ou si au moins 2 des 4 critères suivants sont observés : présence de figure de mitoses, binucléations ou plurinucléations, noyaux pléomorphes, ou anisocaryose > 50%.3 Dans le cas de Lili, en se basant sur cet algorithme, un mastocytome de bas grade de malignité serait suspecté, ce qui est en accord avec l’examen histologique.
L’utilisation de cet algorythme conduit toutefois à sur-grader cytologiquement (faux positifs) environ 32% des mastocytomes (haut grade cytologique mais bas grade histologique), tandis que seulement 1.6% des mastocytomes sont sous-gradés (faux négatifs) à la cytologie (bas grade cytologique mais haut grade histologique). Bien que le fait de sur-grader un mastocytome à la cytologie ne soit pas idéal (chirurgie invasive non nécessaire,…), il reste préférable d’avoir peu de faux négatifs pour ne pas laisser passer un mastocytome de haut grade qui nécessiterait un traitement plus aggressif. C’est pourquoi il est difficile, en l’absence d’atypies cytonucléaires, d’écarter totalement un mastocytome de haut grade à la cytologie. Ainsi, le grading cytologique ne peut pas se substituer au grading histologique qui reste incontournable, mais peut permettre d’adapter plus rapidement la prise en charge thérapeutique et chirurgicale.3
La cytologie est donc un outil pertinent pour l’investigation des masses cutanées, en particulier dans le cas des mastocytomes, tant par sa simplicité de réalisation que par les informations diagnostiques qu’elle peut apporter. Elle permet souvent d’établir un diagnostic de certitude, et d’orienter sur le grade de malignité quand les atypies sont marquées. Une analyse histologique associée à d’autres examens complémentaires (recherche de la mutation c-kit, marqueur Ki-67…) et un bilan d’extension au(x) NL(s) sentinelle(s) sont toujours nécessaires afin de préciser le comportement biologique du mastocytome et adapter la prise en charge.
- Withrow S, Vail D, Page R : Small animal clinical oncology, 5th edition, Saunders, Saint Louis, Missouri; 2012 : pp335-355
- Gross TL, Ihrke PJ, Walder EJ, et al: Skin diseases of the dog and cat. Clinical and histopathologic diagnosis, 2nd edition, Blackwell Science, Oxford, UK; 2005 : pp853-865.
- Camus MS, Priest HL, Koehler JW. Cytologic criteria for mast cell tumor grading in dogs with evaluation of clinical outcome. Veterinary Pathology, 2016 ; 53(6) : 1117-1123.





