Un chien husky mâle de 6.5 ans est présenté en consultation spécialisée de dermatologie pour des lésions croûteuses intéressant la face, les oreilles et le corps, évoluant depuis 1 an. Les antécédant médicaux du patient ne sont pas connus. Le chien a été récupéré dans la cour d’un particulier, en très mauvais état général (maltraitance) 1 mois avant la consultation.
Thomas Brément
*DMV, Dip.ECVD , Vet’Dermathome
Clinique Vétérinaire TouraineVet
mail : vetdermathome@yahoo.com
Examen clinique et diagnostic différentiel
L’examen clinique général ne révèle aucune anomalie à l’exception d’une note d’état corporelle de 3/9. Le chien est progressivement en train de reprendre du poids. Le bilan de l’examen dermatologique est une dermatose chronique intensément et secondairement prurigineuse symétrique intéressant la face, les pavillons auriculaires, les conduits auditifs, les membres (reliefs osseux), les grands plis, et les marges anales avec érythème, squames-croûtes, suintement, ainsi qu’une hyperkératose importante des coussinets associée à des antécédents de malnutrition sévère. (cf. photo 1, 2 et 3).
Le diagnostic de certitude est un état kératoséborrhéique généralisé. Le diagnostic différentiel inclut un trouble de la cornéogénèse acquis d’origine alimentaire (dermatose répondant à l’administration de Zinc, Generic dog food dermatosis, dermatose répondant à la Vitamine A), un pemphigus foliacé, une dermatite nécrolytique superficielle (syndrome hépato-cutané), une intoxication au Thallium, une dermatite atopique canine, une pyodermite superficielle bactérienne. Une dermatophytose et une démodécie sont à exclure. Pour l’atteinte des conduits auditifs, le différentiel inclut également une otite bactérienne, fongique voire parasitaire (otacariose).
Examens complémentaires et diagnostic
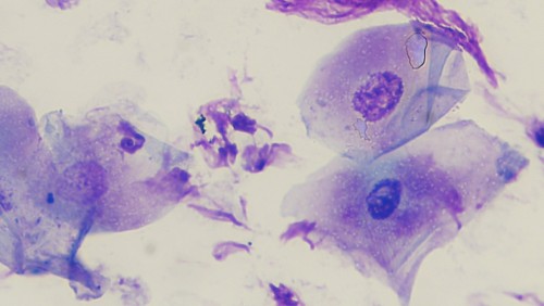
Aucun élément figuré n’est observé aux raclages cutanés ni aux curettages auriculaires. La cytologie cutanée montre la présence de rares polynucléaires neutrophiles dégénérés et de rares bactéries de type cocci en position intracellulaires (phagocytose), de très nombreux cornéocytes parakératotiques (cf. photo 4). Aucun kératinocytes acantholytique n’est observé. La cytologie auriculaire montre de très nombreuses bactéries de type cocci et des polynucléaires neutrophiles en quantité modérée sans images de phagocytose. La culture fongique est négative.
L’hypothèse d’une dermatose répondant au zinc, compliquée d’une pyodermite superficielle et d’une otite bactérienne devient alors majoritaire. Ne pouvant clairement faire la différence avec une carence acquise (malnutrition) ou un dysmétabolisme d’origine génétique, l’objectif du traitement prescrit lors de la première consultation est de prendre en charge les surinfections cutanées et auriculaires tout en laissant le temps à un régime alimentaire adapté d’avoir un potentiel effet bénéfique. Une antibiothérapie à base de céfalexine (17mg/kg BID), des soins antiseptiques (shampooing à base de chlorhexidine et ophytrium), une alimentation de renforcement de la fonction cutanée, un traitement antiparasitaire à base d’afoxolaner et des soins auriculaires (associant nettoyant céruminolytique et spécialité à base de miconazole, acéponate d’hydrocortisone et gentamycine) sont mis en place. Il est demandé à la personne en charge du patient de ne pas réaliser de soins topiques cutanés 1 semaine avant la consultation de contrôle prévue 1 mois après.
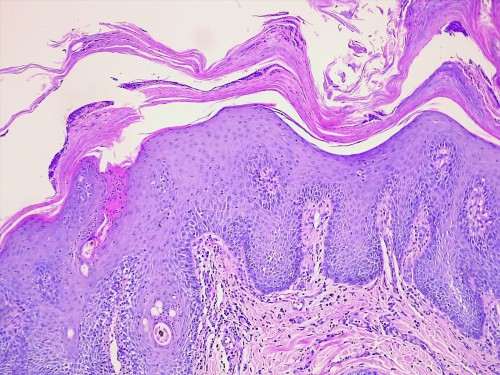
Lors de la consultation de contrôle, les lésions sont toujours présentes mais les examens cliniques et microscopique montrent une nette amélioration des surinfections. Des biopsies sont réalisées. L’analyse histopathologique montre une dermatite hyperplasique spongiotique périvasculaire caractérisée par une parakératose épidermique et folliculaire diffuse accompagnée d’une hypogranulose et compliquée de lésions de pyodermite superficielle. L’aspect histologique conforte la suspicion clinique de dermatose répondant à l’administration de Zinc de type 1. (cf. photos 5)
Références bibliographiques
[1] MILLER (WH), GRIFFIN (CE), CAMPBELL (KL), « Muller and kirk’s Small Animal Dermatology, Chapitre Nutrition and skin diseases », 2013, pages 689-691
[2] BAUER (A) et coll., « MKLN1 splicing defect in dogs with lethal Acrodermatitis » PLoS Genetics, n°14, 2018.
[3] LEE (FF) et coll., « Localized parakeratotic hyperkeratosis in sixteen Boston terrier dogs », Veterinary Dermatology, n°27, 2016, pages 84–e96
[4] GROSS (TL), IHRKE (PJ), WALDER (EJ), AFFOLTER (VK), « Skin Diseases of the dog and cat, Clinical and Histopathologic Diagnosis, 2nd Edition, Chapitre Diseases with abnormal cornification, 2005, pages 188-191
[5] VOLMER (PA) et coll., « Thallium toxiciosis in a pit bull terrier », Journal of Veterinary Diagnosis and Investigation, n°18, 2006, pages 134-137
[6] White (SD) et coll., « Zinc-responsive dermatosis in dogs : 41 cases and littérature review », Veterinary Dermatology, n°12, 2001, pages 101-109
[7] SHMALBERG (J), « Diets and the Dermis: Nutritional Considerations in Dermatology », Today’s Veterinary Practice, n°mars-avril, 2017, pages 33-42
[8] BURTON (G) et coll., « The possible role of prednisolone in “zinc-responsive dermatosis” in the Siberian husky », Australian Veterinary Practice, n°28, 1998, pages 20-24.
[9] MCFADDEN (MA) et coll., « A double-blinded, randomized, controlled, crossover evaluation of a zinc methionine supplement as an adjunctive treatment for canine atopic dermatitis », Veterinary Dermatology, n°28, 2017, pages 569–e138
Crédits photos :
- Photo 1, 2, 3, 4, 6, 7, 8 : Thomas Brément
- Photo 5 : F. Degorce-Rubiales, LAPVSO





