Sonny est un chien Berger Allemand mâle entier de 6 mois, présenté en consultation pour une masse cutanée ferme, irrégulière d’environ 2 cm sur la cuisse G apparue récemment.
Laetitia Piane
Mars 2023
1/ Examen cytologique en première intention
Une cytoponction à l’aiguille fine de la masse a été réalisée

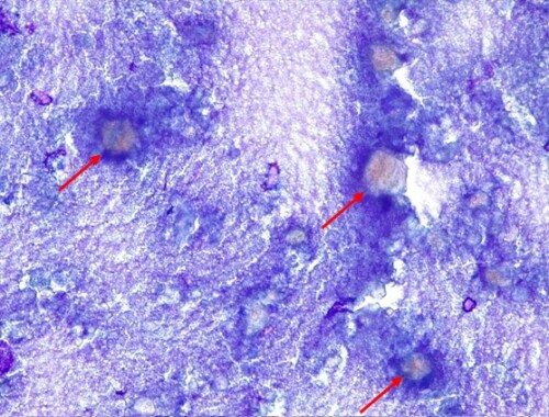
Photo 1 et 2 : Cytologie de la masse à faible grossissement (x100)
Observation à faible grossissement
– Qualité technique : bonne
– Cellularité : faible
– Fond de frottis : basophile granuleux
– Population cellulaire d’intérêt :
o Population de cellules en paquets basophiles denses difficilement observables dans le détail (flèche rouge)
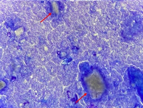
Photo 3 et 4 : Cytologie de la masse à moyen grossissement (x400)
Observation à moyen grossissement
– Qualité technique : bonne
– Cellularité : faible
– Fond de frottis :
o Basophile granuleux
o Présence de quelques éléments brunâtres de grande taille réfringents (flèches rouges)
– Population cellulaire d’intérêt :
o Absence de cellules d’intérêt sur les champs observés
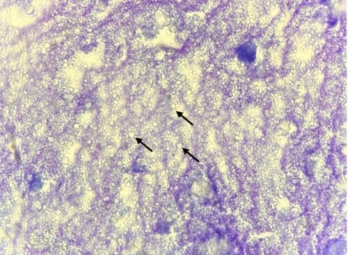
Photo 5 et 6 : Cytologie de la masse à fort grossissement (x1000)
Observation à fort grossissement
– Qualité technique : bonne
– Cellularité : faible
– Fond de frottis :
o Basophile granuleux
o Présence de quelques éléments brunâtres de grande taille réfringents
o Présence de très nombreux petits éléments réfringents, de forme relativement ronde et de taille variable (flèches noires)
– Population cellulaire d’intérêt :
o Présence de rares cellules isolées difficilement visibles, de grande taille avec un RNP moyen, un noyau ovoïde et un cytoplasme basophile soutenu un peu vacuolisé évoquant des macrophages en première intention (flèches rouges).
Les prélèvements cytologiques obtenus sont de bonne qualité technique.
La cytologie met en évidence de très nombreux cristaux ronds à irrégulier, de taille variable et réfringents, ainsi que de quelques éléments brunâtres de grande taille réfringents également.
A fort grossissement, on note également la présence de quelques macrophages isolés ou en paquets denses, difficilement observables dans le detail.
2/ Suspicion diagnostique :
En faveur d’une calcinose circonscrite.
3/ Suivi clinique :
Une exérèse chirurgicale a été pratiquée avec succès. Six mois après l’exérèse, on note une absence de récidive.
4/ Discussion
Il s’agit d’une lésion pseudo-tumorale bénigne le plus souvent isolée, bien circonscrite, dans le derme profond et le tissu sous-cutané, formée par minéralisation dystrophique. Elle est principalement observée chez les jeunes chiens (< 2 ans) de grande race, en particulier chez le Berger Allemand. On l’observe le plus souvent au niveau des points de pression ou au niveau des articulations, sur d’anciens sites de traumatisme, ou sous la langue.
La cytologie met en évidence un matériel granuleux dans le fond de frottis. Le matériel granuleux apparait parfois sous la forme d’éléments brunâtres de taille et forme variable. Une inflammation granulomateuse peut être observée. Le calcium peut être mis en evidence par une coloration spécifique de type Von Kossa ou rouge d’Alizarine S.
L’apparition de nouvelles lésions similaires et donc de calcifications multiples hétérotopiques ou l’apparition de telles lésions chez des animaux plus âgés, devrait faire envisager la possibilité d’un dysmétabolisme phosphocalcique, en particulier dans un contexte d’insuffisance rénale chronique, de Cushing, d’hypercalcémie systémique ou locale. Des examens complémentaires (dosage de la calcémie et de la phosphatémie, test de stimulation à l’ACTH) seraient alors à envisager.
Raskin RE. Skin and Subcutaneous tissues. In: Raskin RE. Canine and feline cytology: a color atlas and interpretation guide. Saint Louis, Missouri, Elsevier. 2016:34-89.
Lee EM, Kim AY, Lee EJ, Jeong KS. Pathomorphological features of calcinosis circumscripta in a dog. Lab Anim Res. 2016 Mar;32(1):74-7.





