Un chien Braque Allemand à la robe marron, âgé de 18 mois nous est adressé pour avis sur le développement récent de tâches dépigmentées blanches sur la face. Il vit en maison, en milieu semi-urbain, avec un accès fréquent à l’extérieur, et pratique la chasse.
Jean-Loup Mathet
Commémoratifs et Anamnèse
Il reçoit une alimentation de qualité, et ses traitements antiparasitaires internes et externes sont réguliers.
Les premières tâches blanches sont apparues deux mois auparavant, peut-être suite au traitement topique d’une otite externe par un topique contenant un mélange d’antibiotiques et de corticoïdes suppose le propriétaire. Aucune autre anomalie dermatologique ou systémique n’est rapportée, et l’animal ne reçoit aucun traitement.
Examen clinique
A distance, de multiples macules blanches sont réparties uniquement sur le côté gauche de la tête, en particulier sur la face externe du pavillon auriculaire et plus discrètement sur la face latérale gauche du chanfrein. (photos 1,2 et 3)
L’examen rapproché montre que ces macules non pigmentées sont en fait des petites zones de poils exclusivement blanches, apparaissant très distinctement sur le fond marron foncé du pelage. Elles ne concernent que la zone velue du pavillon gauche et beaucoup plus discrètement le chanfrein gauche. Des zones cutanées hypopigmentées, moins bien délimitées, sont également présentes sur l’intérieur du pavillon gauche. Les deux conduits auditifs sont sains et propres.
L’examen dermatologique ne révèle pas d’autres zones achromiques, tant sur le côté droit facial, l’ensemble des muqueuses, que sur la truffe, les griffes ou le pelage. L’animal est par ailleurs en très bon état général, et aucune autre lésion dermatologique ni atteinte systémique, en particulier ophtalmologique ne sont constatées. Le prurit est totalement absent.
C’est donc une dermatose d’apparition récente, non prurigineuse, caractérisée par des macules de poils blancs, réparties en mouchetures, uniquement sur le côté gauche de la face et du pavillon, et des plages achromiques diffuses de la face interne non velue du pavillon gauche.
Les examens complémentaires immédiats comprennent des raclages des zones dépigmentées et des trichogrammes en zone saine et décolorée. Aucun parasite n’est mis en évidence, et l’examen microscopique de poils sains et achromiques est non discriminant.
Le diagnostic différentiel clinique comprend les causes non inflammatoires à déterminisme racial et héréditaire d’hypopigmentation (vitiligo, piedbaldisme, syndrome de Waardenburg), les causes post-inflammatoires cicatricielles (pyodermite muco-cutanée, lupus érythémateux, pemphigus superficiels), le syndrome uvéo-dermatologique dit de Vogt-Koyanagi-Harada, ou enfin une réaction cutanée médicamenteuse au topique auriculaire.
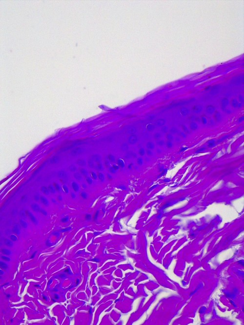
Dans le cas présent, étant donné l’absence de toute dermatose inflammatoire préalable, un trouble exclusif de la pigmentation d’origine génétique comme un vitiligo est très probable. Afin de le confirmer, des biopsies sont pratiquées sur le pavillon auriculaire atteint, tant au niveau des macules achromiques en zone velue qu’en zone glabre.
Les résultats mettent en évidence une exocytose lymphocytaire, plutôt discrète au niveau de l’épiderme et de la gaine épithéliale folliculaire externe des infundibula, mais plus intense dans la portion profonde pigmentée bulbaire des follicules pileux. Le nombre de mélanocytes est diminué dans ces zones d’exocytose. Une exocytose lymphocytaire folliculaire murale, d’intensité modérée est également observée à l’interface des annexes cutanées, associée à un manchon inflammatoire également discret, regroupant des mélanophages, des plasmocytes et quelques lymphocytes (photos histo).
Par ordre hiérarchique, l’histopathologie envisage en premier lieu un vitiligo, une pelade ou alopecia aerata, une dermatite de contact, et moins probablement une lésion pré-néoplasique précédant un lymphome épithéliotrope.






