Ce cas illustre une présentation atypique du syndrome « poumon-doigt » félin, caractérisée par le diagnostic d’une métastase digitée alors que la tumeur pulmonaire primitive demeurait initialement indécelable à la radiographie.
Arnaud MULLER
Dip ECVD, Spécialiste en Dermatologie Vétérinaire, CES Derm
Clinique Vétérinaire Saint Bernard
598 avenue de Dunkerque F-59160 Lomme
www.clinvetsaintbernard.com
Motif de consultation
Une chatte Européenne stérilisée de 12 ans nous est présentée pour une boiterie apparue récemment (15 jours).
Examen clinique
L’examen clinique montre une chatte en bon état général, mais présentant effectivement une boiterie du membre postérieur droit, associée à un gonflement d’un seul doigt (doigt III), qui apparait sensible à la manipulation et la pression.


Photos 1 et 2 : gonflement isolé d’un doigt
Hypothèse diagnostique
Cet aspect et cette localisation évoque un processus infectieux ou tumoral.
Examens complémentaires
Divers examens complémentaires sont alors réalisés :
– l’examen cytologique d’une ponction à l’aiguille fine est non concluante (ponction paucicellulaire)
– la radiographie de l’extrémité podale met en évidence un gonflement des tissus mous et une ostéolyse de la dernière phalange, évoquant préférentiellement un envahissement tumoral (primitif ou métastatique)
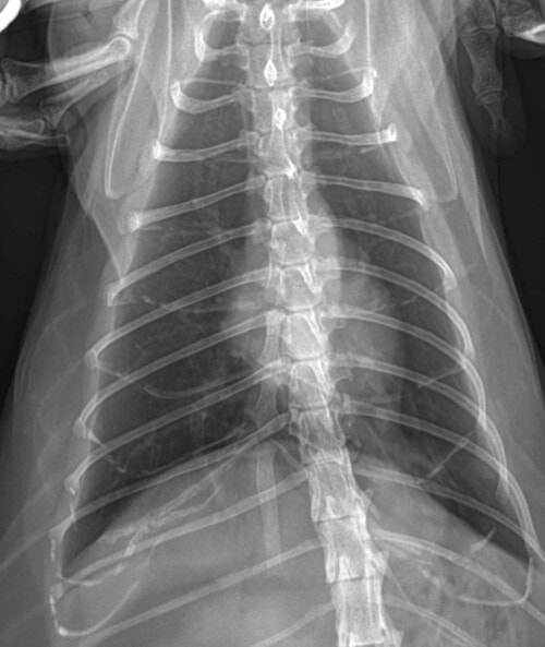
– de ce fait, des radiographies thoraciques sont décidées et ne montrent pas d’anomalie notable.

Photo 3: Ostéolyse de la dernière phalange du doigt III


Photos 4 et 5: Radiographies thoraciques (profil et face dorso-ventrale)
Diagnostic
A ce stade, l’aspect clinique et les résultats des examens complémentaires conduisent à une forte suspicion de tumeur du doigt (une ostéomyélite ne peut être totalement exclue), amenant à proposer et réaliser une amputation du doigt concerné.
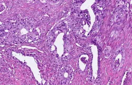
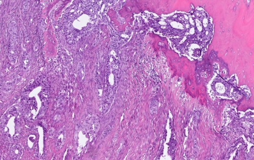
L’examen histopathologique sur la pièce d’exérèse conclut à l’envahissement de l’extrémité digitée par un carcinome peu différencié, avec activité mitotique élevée, absence d’emboles visibles et de caractéristiques morphologiques amenant à privilégier une métastase digitée de carcinome bronchique.



Photos 6 à 8 : Examen histopathologique du doigt.
Prolifération tumorale de nature épithéliale, nettement carcinomateuse, peu différenciée. Elle revêt une architecture lobulaire et plus rarement tubuleuse. Elle est associée à un stroma fibroplasique
abondant. Les cellules néoplasiques sont de grande taille, arrondies à polyédriques, à cytoplasme éosinophile étendu. Les noyaux sont arrondis, volumineux, plutôt vésiculeux, fortement mono ou ou plurinucléolés. L’anisocaryose est nette. L’activité mitotique est élevée. Absence d’images nettes d’embolisation vasculaire. La prolifération tumorale infiltre largement les tissu mous le long des phalanges (Photos Antech LAPVSO)
Suivi
La récupération post-opératoire est bonne et la chatte remarche normalement. Une nouvelle radiographie thoracique au retrait des fils ne met toujours pas en évidence de lésion pulmonaire primitive.
Toutefois, 4 semaines après le retrait des fils, la chatte présente à nouveau une boiterie, cette fois-ci de l’antérieur droit. L’examen clinique montre un gonflement similaire et isolé du doigt III, douloureux.
De nouvelles radiographies révèlent alors des lésions ostéolytiques identiques de la dernière phalange de ce doigt III de l’antérieur droit, mais surtout la présence d’une masse tissulaire dans les lobes caudaux, compatible avec une tumeur pulmonaire. Aucun signe respiratoire n’est présent.

Photo 9 : Ostéolyse de la dernière phalange du doigt III

Photo 10 : Radiographie thoracique de profil droit.
Présence d’une masse pulmonaire dans les lobes caudaux
Compte tenu du diagnostic de carcinome bronchique métastasé, la chirurgie du doigt n’est pas proposée et un traitement antalgique et anti-inflammatoire (tramadol, meloxicam) est prescrit. Une dégradation rapide est malheureusement observée (boiterie sans appui, difficultés respiratoires), amenant à une décision d’euthanasie, environ 2,5 mois après les premiers signes de boiterie
Discussion
Les métastases digitées de carcinome pulmonaire, parfois désigné par les auteurs anglo-saxons comme le lung-digit syndrome (syndrome poumon-doigt) sont particulièrement intéressantes à reconnaître puisque, bien souvent, elles amènent à la découverte d’une tumeur pulmonaire asymptomatique (Cf cas clinique publié en 2014 sur ce même site).
Le cas rapporté ici présente plusieurs particularités intéressantes :
– la boiterie, motif de consultation classique dans cette maladie (18/20 dans une étude). L’examen clinique rapproché révèle toujours des gonflement douloureux (tuméfaction du doigt et / ou du coussinet), mais aussi avec régulièrement une ulcération et un déplacement voire une chute de la griffe, ce qui n’est pas le cas pour notre chatte.
– Dans bon nombre de cas, l’atteinte digitée est multicentrique (9/11 dans l’étude d’ESTRADA et LAGADIC), les doigts porteurs étant plus souvent concernés. Pour le cas rapporté ici, un seul doigt était concerné initialement (pas d’éclosion multicentrique initiale), mais si un 2e doigt a été atteint par la suite.
– l’animal présente très rarement des signes respiratoires lors de la première consultation et que peu de chats en développent au cours de l’évolution de la maladie (moins de 30 %), même en fin d’évolution. Notre chatte n’avait effectivement pas de gêne respiratoire lors du diagnostic, mais ce fut le motif de consultation lors de la dernière visite.
– La radiographie thoracique permet presque toujours (plus de 90 % des cas) de mettre en évidence une ou plusieurs masses pulmonaires révélatrices de la tumeur primitive, avant même la survenue de signes respiratoires. Dans notre expérience, avant le cas présenté ici, tous les chats diagnostiqués avec des métastases digitées de métastases pulmonaires présentaient une masse volumineuse dans les lobes caudaux, dès l’apparition des signes liés aux métastases (boiterie, gonflement du doigt, chute de la griffe …). Par son seuil de détection beaucoup plus bas que la radiographie, un examen tomodensitométrique thoracique aurait peut-être permis de détecter cette tumeur pulmonaire.
Remerciements
Dr DALLY du LAPVSO pour le diagnostic et les photos histopathologiques
Clinique du Square (Paris 18e) pour la réalisation des premières radiographies
