Auteur : Christian Collinot
Clinique vétérinaire du ROC
117, avenue du maréchal LECLERC
86100 CHATELLERAULT
Anamnèse
Tam est un caniche femelle de 9 ans noire. Elle n’a pas présenté de problème particulier ces dernières années et a seulement été ovario-hystérectomisée pour des raisons de convenances. Il y a quatre mois, elle a été soignée pour une crise de ‘rhumatismes’. Par la suite, un appétit capricieux et une dégradation de l’état général ont nécessité d’autres soins.
Commémoratifs
Suite aux précédents problèmes, des lésions prurigineuses sont apparues sur le ventre entraînant un léchage forcené. Suite à l’échec de diverses thérapeutiques à visée ‘anti-eczémateuse’, elle nous est confiée par son vétérinaire actuel. Nous n’avons malheureusement pratiquement aucun renseignement sur les différents traitements entrepris ces derniers mois.
Examen général
Tam est très fatiguée, mange peu, plus du tout depuis deux jours. Elle présente une ptose abdominale et une fonte musculaire importantes. Une polyuro-polydypsie est constatée. L’analyse d’urine révèle une glycosurie.
Examen dermatologique
Seule la face ventrale du corps présente des lésions.
Partout ailleurs, la peau et les poils ont conservé un aspect et une texture tout à fait normaux.
Il s’agit d’une plaque jaune indurée avec un érythème très important, siège d’un léchage forcené qui colle les poils, centrée sur les dernières mamelles inguinales, qui s’étend de façon relativement symétrique vers les cuisses, atteignant la face ventrale de la vulve et remontant le long des mamelles les plus proches.
Des lésions similaires, de plus petite taille, existent au niveau des aisselles.
Ces plaques sont alopéciques et par endroits on note la présence de papules, de pustules folliculaires, d’exulcérations et de croûtes.
Ces plaques sont épaisses et rigides, mobilisables entre les doigts et fortement évocatrices de plaques de calcinose.
Nous sommes donc en présence d’une chienne de 9 ans ovario-hystérectomisée, polyuro-polydypsique avec glycosurie, présentant une ptose abdominale, une fonte musculaire et des lésions cutanées dont certaines évoquent des lésions de calcinose.
Hypothèses diagnostiques
Reconnaissons que notre première envie est de penser Cushing, mais ces lésions peuvent évoquer un phénomène néoplasique type lymphome cutané par exemple et le diagnostic différentiel des papules et pustules doit être fait (pyodermite superficielle, dermatophytie voir démodécie versus MAI).
Examens complémentaires
- Un calque cutané d’une pustule intacte montre des coccis intra et extra leucocytaires et des polynucléaires neutrophiles plus ou moins dégénérés.
- Une glycémie rapide au glucometer supérieure à 5g/l confirme le diabète sucré et sa prise en charge ainsi qu’un bilan biochimique nécessaire compte tenu du mauvais état de l’animal sont confiés au vétérinaire traitant.
Avant cette prise en charge, nous décidons d’effectuer des biopsies cutanées et un test de stimulation à l’ACTH.
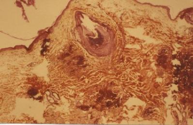
Les biopsies cutanées nous montrent :
- un épiderme et un derme atrophiques.
- la présence de dépôts calciques importants dans le derme et les follicules pileux.
L’histologiste conclue : ” image observée quasi-pathognomonique d’un syndrome de Cushing “
Résultat du dosage du cortisol :
- basal : 15 nmoles/l
- après stimulation par l’ACTH (dosage 1h1/2 après injection IM de 0,25mg de synacthène immédiat ND) : 98 nmoles/l [Normes laboratoire : basale x 2 ou 3 et < 5OOnmol/l]
Conclusion du biochimiste : “valeurs normales.”
Discussion
Nous allons maintenant discuter les éléments qui vont nous permettre d’essayer d’établir le diagnostic.
- La clinique et l’histologie sont en faveur d’un syndrome de Cushing :
- PUPD, ptose abdominale, race, âge.
- atrophie épidermique, calcinose cutanée.
- L’hyperglycémie importante (>5g/l) ne peut pas être rattachée chez cette chienne à un hypersomatotropisme lié à une hyperprogestéronémie car elle est ovario-hystérectomisée ni à un diabète primaire ni à un diabète ‘gras’, il pourrait donc être une conséquence directe du syndrome de Cushing.
- Le passé clinique récent de Tam compte tenu des habitudes thérapeutiques, notamment de l’époque, est en faveur de l’utilisation à plusieurs reprises de corticoïdes et l’on a vu son état général se dégrader à chaque fois. On peut même penser que sa crise de ‘rhumatisme’ qui n’a pas rétrocédé aux traitements ressemble aux pseudomyotonies accompagnant le syndrome de Cushing, en particulier chez le caniche.
- Les résultats des tests hormonaux nous interpellent :
- La multiplication par 7 du taux de cortisol après stimulation à l’ACTH et atteignant 97nmoles/l n’est pas en faveur d’un hypocorticisme témoignant d’une mise au repos des surrénales par la présence d’un hypercorticisme extrinsèque iatrogène qui se traduit en général par un lissage de la réaction entre 10 et 20nmol/l voire en dessous, parfois en dessous de 60 pour les formes débutantes.
- Le dosage après stimulation par l’ACTH en dessous de 500 nmoles/l n’est pas en faveur d’un hypercorticisme spontané.
- Le diagnostic de syndrome de Cushing parait plus que probable, alors est-il spontané ou iatrogène > Doit-on conclure à un faux négatif inhérent à la technique ou avons nous une explication à ce cas de figure
- Pour levez ce doute, il faudrait essayer d’équilibrer le diabète, faire une échographie des surrénales et refaire des tests plus tard, donc après un temps de sevrage en corticoïdes
- Devant l’aggravation de son état, les propriétaires de Tam ont demandé son euthanasie, nous ne pourrons donc faire aucun autre examen, aboutir à un diagnostic est donc un exercice d’école pour que je puisse boucler cet article.







