Pyodermite bactérienne à Staphylococcus pseudintermedius résistant à la méticilline

Les pyodermites superficielles sont des infections bactériennes de l’épiderme et de l’épithélium folliculaire. Elles sont très fréquentes chez le chien, beaucoup moins chez le chat. Elles sont la première cause d’utilisation d’antibiotiques systémiques en médecine des carnivores domestiques (Baker, Van-Balen et al. 2012) . 

 

Lecru Line-Alice1, Cadiergues Marie-Christine1,2

 

1 Université de Toulouse, ENVT, CHUV, service de dermatologie – 23, chemin des Capelles 31076 Toulouse cedex3, France

2 UDEAR, Université de Toulouse, INSERM, ENVT, 23, chemin des Capelles 31076 Toulouse cedex3, France

Décembre 2018

 

Introduction

L’émergence des résistances bactériennes est devenue une problématique majeure en médecine vétérinaire en particulier lorsque ces bactéries sont communes à l’homme et à l’animal. Ces résistances constituent un enjeu médical thérapeutique et sanitaire majeurs, c’est pourquoi, les rechercher et les traiter de façon raisonnée est indispensable. Les pyodermites superficielles sont la première cause d’utilisation d’antibiotiques par voie systémique en médecine vétérinaire (Baker, Van-Balen et al. 2012) La résistance à la méticilline des staphylocoques (encore appelé méti-résistance ou staphylocoques méti-R) est une des résistances auxquelles le praticien est potentiellement confronté. Elle se traduit par une résistance de la souche de staphylocoque à l’ensemble des molécules de la famille des bétalactamines. Avec l’émergence de germes résistants tant en médecine humain que vétérinaire, l’utilisation raisonnée des antibiotiques est devenue une obligation pour les praticiens (Décret, mars 2016).

 

Anamnèse

Un bull terrier mâle stérilisé de 3 ans est admis pour une pyodermite superficielle récidivante généralisée. Il vit sans congénère en Haute Garonne, dans une maison avec accès libre à un jardin. Il est nourri avec une alimentation industrielle sèche de gamme vétérinaire et reçoit de temps en temps des restes de table. Il ne voyage pas et il est traité mensuellement contre les parasites externes avec un spot-on de fipronil. Le protocole de vaccination est à jour.

Depuis un an et demi, le chien est atteint d’une dermatose prurigineuse généralisée. De nombreux traitements antibiotiques par voie générale (amoxicilline-acide clavulanique, céfalexine, fluoroquinolones) ont apporté une amélioration partielle sans contrôler totalement l’infection. Des shampooings antiseptiques (présentations inconnues) ont été réalisés tous les 15 jours.

 

Examen clinique

Le chien est légèrement abattu. Ses muqueuses sont rosées et humides. Les auscultations, cardiaque et pulmonaire ne montrent pas d’anomalie. Une adénomégalie des nœuds lymphatiques préscapulaires et poplités est présente. L’animal est normotherme à 38.9°C.

 

Examen cutané

A l’examen à distance, une multitude de surélévations du pelage, punctiformes, intéressant les faces externes des membres pelviens et les flancs sont observées (photo 1). A l’examen rapproché, de nombreuses lésions folliculaires : pustules, collerettes épidermiques associées à une alopécie en moucheture par endroits sont présentes (photos 2 et 3). Les faces concaves des pavillons auriculaires sont érythémateuses et légèrement lichénifiées. Une pododermatite quadripodale modérée caractérisée par une alopécie, un érythème et un enduit séborrhéique est présente. Les ars et la région inguinale sont légèrement inflammatoires.

Pyodermite bactérienne à Staphylococcus pseudintermedius résistant à la méticilline

Photo 1. Pustules folliculaires surélevant le poil.

 

Pyodermite bactérienne à Staphylococcus pseudintermedius résistant à la méticilline

Photo 2. Vue rapprochée montrant les papules folliculaires et les pustules.

 

Pyodermite bactérienne à Staphylococcus pseudintermedius résistant à la méticilline

Photo 3. Vue rapprochée montrant collerette épidermique et macule érythémateuse.

 

Examens complémentaires

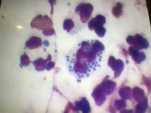
De multiples raclages cutanés et trichoscopies permettent d’exclure une démodécie. Les calques par apposition des lésions folliculaires révèlent un infiltrat de granulocytes neutrophiles associé à une composante bactérienne coccoïde importante (photo 4). Compte-tenu des antibiothérapies précédentes,  un prélèvement pour un examen bactériologique est réalisé en consultation.

Pyodermite bactérienne à Staphylococcus pseudintermedius résistant à la méticilline

 Photo 4. Calque par apposition (coloration RAL® 555) : granulocytes neutrophiles et bactéries coccoïdes en position intra-cytoplasmique (X1000).

 

L’examen du produit de brossage montre la présence de déjections de puces récentes. Un test à la cellophane adhésive interdigital met en évidence des cellules inflammatoires dégénérées ainsi que quelques bactéries coccoïdes.

Le laboratoire de bactériologie isole une souche de Staphylococcus pseudintermedius résistant à la méticilline et multi-résistant (figure 1). Ce germe garde une sensibilité pour les sulfamides potentialisés, l’acide fusidique ainsi que les fluoroquinolones.

 

Pyodermite bactérienne à Staphylococcus pseudintermedius résistant à la méticilline

Figure 1. Antibiogramme. Prélèvement réalisé sur une pustule folliculaire intacte.

SI VOUS ETES VETERINAIRE : Pour lire la suite de cet article, veuillez vous enregistrer en haut à droite. Merci

 

Retour en haut