Elfie est une chienne Cocker Spaniel femelle non stérilisée de 12 ans présentée en consultation pour une masse cutanée sur le carpe non adhérente, de 1 cm de diamètre ayant récemment augmenté de taille.
Laetitia PIANE
LAPVSO, Toulouse
1/ Examen cytologique en première intention
Une cytoponction à l’aiguille fine de la masse a été réalisée.
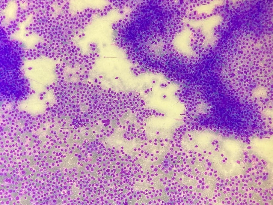
Photo 1 : Cytologie de la masse à faible grossissement (x200)
Observation à faible grossissement
- Qualité technique: bonne
- Cellularité : élevée
- Fond de frottis : hémorragique
- Population cellulaire d’intérêt :
- Prédominante
- Monomorphe
- Organisation : cellules isolées ou en tapis denses
- Forme ronde
- RNP moyen à relativement élevé
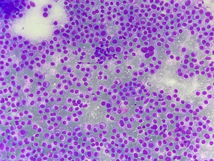
Photo 2 et 3 : Cytologie de la masse à moyen grossissement (x400)
Observation à moyen grossissement
- Qualité technique: bonne
- Cellularité : élevée
- Fond de frottis : hémorragique, quelques noyaux nus
- Population cellulaire d’intérêt :
- Prédominante
- Monomorphe
- Organisation : cellules isolées ou en tapis denses
- Forme ronde
- RNP moyen à relativement élevé
- Cytoplasme : basophile moyen avec une zone archoplasmique claire, et une « couronne » rosée (aspect flamme)
- Noyau : ovoïde, souvent excentré, à la chromatine grossièrement réticulée à mottée
- Atypies : anisocytose et anisocaryose modérées à marquées, binucléations/plurinucléations, gigantisme.
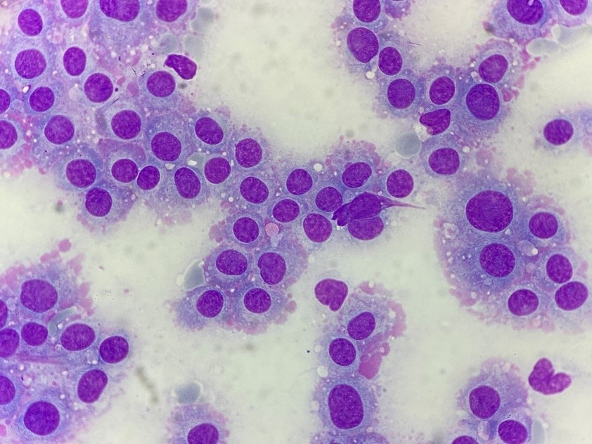
Photo 4 et 5 : Cytologie de la masse à fort grossissement (x1000)
Observation à fort grossissement
- Qualité technique: bonne
- Cellularité : élevée
- Fond de frottis : hémorragique
- Population cellulaire d’intérêt :
- Prédominante
- Monomorphe
- Organisation : cellules isolées ou en tapis denses
- Forme ronde
- RNP moyen à relativement élevé
- Cytoplasme : basophile moyen avec une zone archoplasmique claire, et une « couronne » rosée (aspect flamme)
- Noyau : ovoïde, souvent excentré, à la chromatine grossièrement réticulée à mottée
- Atypies : anisocytose et anisocaryose modérées à marquées, plurinucléations, gigantisme.
Les prélèvements cytologiques obtenus sont de bonne qualité technique : les lames sont suffisamment riches en cellules intactes et suffisamment étalées. Les caractéristiques cytonucléaires sont ainsi aisées à évaluer.
La cytologie met en évidence une population abondante de cellules rondes isolées ou en tapis denses. Ces cellules sont de taille moyenne à grande, avec un rapport nucléocytoplasmique moyen à relativement élevé.
A fort grossissement, ces cellules présentent un noyau ovoïde, souvent excentré à la chromatine grossièrement réticulée à mottée, et un cytoplasme basophile moyen présentant une zone archoplasmique plus claire sous le noyau, aux contours assez bien délimités avec une “couronne” rosée (aspect flamme). Ces cellules d’allure plasmocytoïde présentent une anisocytose et anisocaryose modérées à parfois marquées, quelques binucléations et plurinucléations, et de plus rares images de mitose.
2/ Suspicion diagnostique :
En faveur d’un plasmocytome extra-médullaire.
3/ Suivi clinique :
La décision d’une exérèse chirurgicale a été prise afin de confirmer le diagnostic cytologique.
4/ Examen anatomopathologique de la lésion :
L’analyse histologique confirme la suspicion de plasmocytome extra-médullaire.
5/ Discussion
Le plasmocytome extra-médullaire (PEM) est une tumeur relativement fréquente chez le chien, touchant le chien d’âge mûr (10 ans en moyenne). Les localisations préférentielles sont cutanées (86% des cas) avec principalement les membres et les oreilles, la cavité orale et les lèvres (9% des cas) et le tractus digestif (4% des cas)1.
Certaines races (ex : Cocker Américain, Cocker Anglais, West Highland White Terrier, Airedale terrier…) sont parfois rapportées comme pouvant être à risque accru de développer des PEM.
Les PEM cutanés se présentent généralement sous la forme d’une masse unique d’environ 1 à 2 cm de diamètre, lisse, rose, surélevée, et éventuellement alopécique. Plus de 95% sont des masses isolées et moins de 1 % évoluent concomitamment ou précédent un myélome multiple1.
Le diagnostic de plasmocytome est souvent aisé à la cytologie. Les prélèvements sont généralement modérément à très cellulaires. Les cellules sont rondes et isolées. Des agrégats de cellules peuvent être observés mais ces dernières ne sont pas cohésives. Le noyau est généralement excentré. Le cytoplasme est basophile, modérément à assez abondant et on peut y observer une zone claire archoplasmique (correspondant à l’appareil de Golgi). Parfois les cellules peuvent présenter une couronne rosée (« aspect flamme ») comme dans le cas de Elfie. Les atypies sont souvent modérées à assez marquées (anisocytose et anisocaryose). Des binucléations (avec des noyaux dits en « œil de mouche ») et plurinucléations sont typiquement rencontrées. En dépit de ces atypies, ces tumeurs sont généralement bénignes2.
Dans un faible pourcentage de cas, un matériel rose fibrillaire, globulaire à spiculé peut être observé, correspondant à de la substance amyloïde (on parle alors de tumeur amyloïde)2.
Dans certains cas, une analyse histologique et des immunomarquages peuvent s’avérer nécessaires afin d’établir un diagnostic de certitude et écarter une autre tumeur à cellules rondes (ex : histiocytome cutané canin, mastocytome agranuleux…).
Les PEM de forme cutanée ou orale ont un comportement clinique généralement bénin et répondent bien au traitement local (exérèse chirurgicale large et complète). Mais il existe une forme peu fréquente de plamocytomes cutanés multiples (« plasmocytose cutanée ») chez le chien, évoluant en l’absence de myélome multiple, avec un comportement biologique plus aggressif1. Dans de rares cas, cette plasmocytose cutanée peut évoluer en leucémie à plasmocytes3.
Une étude récente confirme le comportement favorable de ce type tumoral : sur 99 chiens dont le suivi était disponible, un seul cas de récidive locale (après exérèse incomplète) et trois cas d’éclosion à distance ont été rapportés. Aucune métastase n’a été rapportée malgré la présence d’emboles (16% des plasmocytomes examinés)4. Il a toutefois été rapporté que certaines formes de plasmocytome peu différencié ou anaplasique seraient plus agressives localement avec un risque plus élevé de métastase, mais les données actuelles restent controversées1,2.
Un bilan d’extension restera de rigueur (cytoponction du NL de drainage, dosage des protéines totales et de l’albumine a minima +/- électrophorèse des protéines sériques afin d’écarter une gammapathie monoclonale, analyses d’urines et électrophorèse des protéines urinaires afin d’écarter une protéinurie de Bence Jones, évaluation du squelette, myélogramme…), ainsi qu’une surveillance de l’évolution post-opératoire et de l’apparition d’autres nodules sur l’ensemble du corps.
- Withrow & MacEwen’s Small Animal Clinical Oncology, 6Th edition, 2020, St Louis, Elsevier.
- Cowell and Tyler’s. Diagnostic cytology and Hematology of the dog and cat, 5Th edition, 2020 St Louis Elsevier.
- Rout ED, Shank AM, Waite AH, et al. Progression of cutaneous plasmacytoma to plasma cell leukemia in a dog. Vet Clin Pathol.2017;46(1):77-84.
- Ehrensing G, Craig LE. Intravascular neoplastic cells in canine cutaneous plasmacytomas. J Vet Diagn Invest. 2018;30(2):329-332.





