Falco est un Bulldog anglais mâle de 10 ans parfaitement suivi par son propriétaire et son vétérinaire, APE, API, vaccinations et alimentation. Il a été traité chirurgicalement pour un ulcère cornéen il y a 5 ans, une luxation de la glande accessoire il y a 3 ans et il y a un an pour otite externe et pyodermite des plis. Il n’a pas présenté de problème de peau particulier si l’on considère sa race (plis…).
Un cas de pemphigus foliacé chez un chien à tropisme podal // Cas clinique Septembre
Christian Collinot
Marc Blanc
Clinique du Roc 86100 Châtellerault
Clinique de la Voie romaine 86180 Buxerolles
Anamnèse :
Depuis 3 mois (mois de janvier), il présente une dermatose inflammatoire ne rétrocédant pas aux antibiotiques avec pododermatite, intertrigo des plis du nez et de la queue.
Photo 1 : Falco, Bulldog anglais de 10 ans
Examen clinique :
Général :
RAS
Dermatologique :
Il n’est repéré de lésions ni sur le ventre, sauf une zone érythémato-croûteuse au niveau de l’ombilic, ni sur le dos.
Photo 2 : absence de lésions sur le ventre sauf ombilic
Photo 3 : zone de l’ombilic érythémato-croûteuse
Photo 4 : absence de lésions sur le dos
On note un érythème, une inflammation des croûtes de tous les plis et des zones périorificielles (tour des yeux, plis labiaux, périnée, sous la queue, prépuce, pavillons des oreilles), une hyperkératose de la truffe ainsi qu’une pododermatite quadripodale avec érythème, suintement, croûtes et ulcérations au niveau de la peau et des coussinets avec décollement de la couche cornée, fissures.
Photo 5 : lésions péri oculaires et pli labial
Photo 6 : lésions sous la queue
Photo 7 : prépuce
Photo 8 : pavillon des oreilles (noter les croûtes)
Photo 9 : pododermatite, noter l’érythème
Photo 10 : pododermatite, lésions des coussinets
Photo 11 : pododermatite, érosions, ulcérations de la peau
Photo 12 : pododermatite, défaut de la kératine avec fissurations, clivage et érythème marginal
Photo 13 : atteinte du coussinet accessoire
Diagnostic différentiel :
Il comprend une MAI, un syndrome nécrolytique migrant, une toxidermie, malgré les essais thérapeutiques, une pyodermite.
Examens complémentaires :
Compte tenu, des hypothèses, des biopsies sont effectuées d‘emblée ainsi qu’un prélèvement bactériologique des oreilles et de la peau
Deux biopsies sont effectuées en bordure et dans les coussinets, une troisième face palmaire des doigts et la quatrième au niveau du périnée.
Résultats :
@ Bactériologie (vébio) : on retrouve le même germe sur la peau et dans les conduits auditifs externes, Proteus mirabilis. L’antibiogramme montre des résistances importantes avec une sensibilité au chloramphénicol, Céfovéxine, et fluoroquinolones.
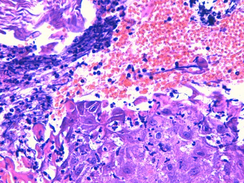
@ Biopsies (LAPVSO) : « Quatre biopsies cutanées sont examinées selon différents niveaux de section et après réaction au PAS.
L’épiderme apparaît multifocalement creusé de vésiculo-pustules relativement étendues. Elles peuvent se développer sous la couche cornée ou dans la couche granuleuse ou ponter plusieurs abouchements folliculaires contigus. Les squamo-croûtes ou les vésiculo-pustules contiennent des cellules épithéliales acidophiles, acantholysées, mêlées à des granulocytes neutrophiles ou éosinophiles et à des lamelles de kératine. Sur le plancher des vésiculo-pustules, constitué de l’épiderme et des infundibula folliculaires, on observe nettement un détachement, par plages, d’acanthocytes qui s’arrondissent, deviennent acidophiles, bombés, présentant encore un noyau viable. Le siège de ces pustules acantholytiques réside le plus souvent dans la couche granuleuse de l’épiderme ou au dessus dans la couche cornée. Le derme sous-jacent est paradoxalement peu inflammatoire. On y observe un infiltrat périvasculaire à diffus, exsudatif, relativement riche en cellules mastocytaires et en granulocytes éosinophiles, accompagnés de quelques lymphocytes. »
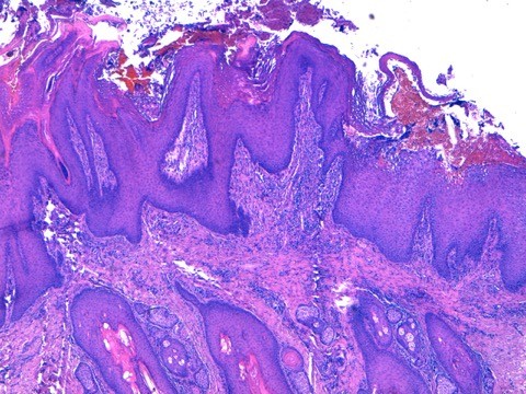
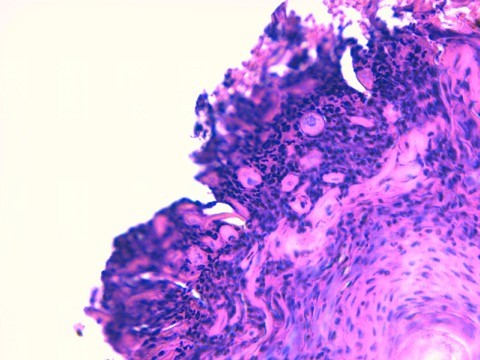
Photo 14 : histologie bord du coussinet, pustulose sous cornée
Photo 15 : histologie, présence de cellules acantholytiques dans la croûte
Photo 16 : histologie, détachement de cellules acantholytiques acidophiles du plancher de la pustule
Absence de mise en évidence d’élément figuré pathogène ni parasitaire ni fongique.
Aspect histologique d’une pustulose sous cornée granulocytaire acantholytique amicrobienne sans détection d’éléments figurés pathogènes ni parasitaires ni fongiques.
Absence d’éléments lésionnels décisifs en faveur d’un érythème nécrolytique migrant ni en faveur d’une toxidermie.
Aspect histologique orientant vers un pemphigus superficiel auto-immun ou éventuellement une éruption médicamenteuse mimant un pemphigus superficiel.
Diagnostic :
Pemphigus superficiel (foliacé)
Traitement :
Le premier traitement entrepris a été celui du proteus relativement résistant mais sensible aux quinolones. Il n’a pas entrainé de changement sur les lésions plus spécifiques du pemphigus et un traitement immunosuppresseur a été ensuite mis en place, prednisolone 2mg/kg/j qui a amené une bonne régression mais 4 mois plus tard, les essais de diminution importante de la dose de prednisolone ont amené une récidive rapide.
Discussion :
@ Cliniquement :
Le Pemphigus foliacé (et le pemphigus érythémateux) est décrit dans les dermatoses papuleuses et pustuleuses alors que les MAI dites bulleuses (pemphigus vulgaris, paranéoplasique, pemphigoïde bulleuse, dermatite linéaire à IgA) ainsi que les lupus, plus profondes seront plus dans les dermatoses ulcératives accompagnées par les éruptions médicamenteuses ou toxidermies et l’épidermolyse bulleuse qui ne pourra qu’être acquise si l’âge d’apparition est tardif.
Le diagnostic différentiel classique inclura, la démodécie, les pyodermites superficielles et les dermatophytoses surtout si une atteinte folliculaire est constatée ou suspectée, une dermatose répondant au Zinc (type II avec alimentation à contrôler suivant âge d’apparition), une dermatose actinique, un lupus érythémateux si il y a une atteinte faciale importante, un mycosis fongoïdes, une toxidermie et dans le cas, comme ici, d’atteinte importante des coussinets, un érythème nécrolytique migrant (si âge tardif d’apparition).
@ Si l’on considère les maladies auto-immunes par leur site d’attaque des anticorps, on a des plus superficielles :
Pemphigus de plus superficiel à profond
- pemphigus foliacé le plus fréquent
- pemphigus érythémateux (en plus atteinte d’interface comme dans le lupus)
- pemphigus pustuleux panépidermique (vegetans)
- pemphigus paranéoplasique (dénomination utilisée pour des cas très rares (2 ?) où a été associé une non-réponse au traitement classique à la présence d’un néoplasme (thymome et sarcome de la rate)
- pemphigus vulgaris (clivage au niveau de la membrane basale de l’épiderme)
si l’on passe en zone subépidermique (dont membrane basale)
- pemphigoïde bulleuse
- pemphigoïde muco-membraneuse
- épidermolyse bulleuse acquise
- dermatite linéaire à IgA
et les dermatites d’interface
– les lupus (et le pemphigus érythémateux)
@ Etiologie :
Dans le cadre de l’étiologie des pustuloses sous cornées granulocytaires acantholytiques amicrobiennes, nous sommes loin d’être systématiquement sûrs de nous. Je rappellerai ici le commentaire du Dr Degorce-Rubiales :
« On rappellera que le diagnostic de pemphigus superficiel repose toutefois sur les données cliniques, évolutives et thérapeutiques et que pour l’établir, il faut exclure toute autre pathologie cutanée pouvant s’accompagner d’une acantholyse (certaines infections cutanées bactériennes, certaines dermatophyties cornéolytiques, leishmaniose pustuleuse, plus exceptionnellement des génodermatoses rares). On conseillera de les éliminer par des examens complémentaires appropriés ou des tests thérapeutiques. »
En dehors du pemphigus superficiel sensu stricto
On retrouve les « pemphigus »
- associés à une dermatophytie
- paranéoplasique (rares)
- médicamenteux
- associés à une leishmaniose
@ Traitements :
Ils ont déjà longuement été développés dans les différents cas cliniques sur le même sujet sur ce même site.
@ pour le cas de Falco, il faut noter ce tropisme important pour les coussinets qui peuvent même être pratiquement la seule cible comme dans le cas du Dr Bensignor sur ce même site . Cela obligera à un diagnostic différentiel un peu différent de l’habituel et surtout d’inclure (de penser à un) le pemphigus foliacé dans un cadre de diagnostic différentiel moins habituel.
















