Leishmaniose nodulaire chez un jeune Boxer


Auteur : Marie-Christine Cadiergues
Maître de conférences en Dermatologie
École Nationale Vétérinaire
23, chemin des Capelles
F – 31076 Toulouse cedex


Identification 

Schieffild est un chien mâle, non castré, de race boxer âgé de 7 mois. 

Motif de la consultation

Il est présenté fin novembre en consultation pour de multiples nodules cutanés qualifiés par le propriétaire de « verrues ».

Commémoratifs

Schieffild a été acheté à l’âge de 2 mois chez un éleveur de la région toulousaine. Depuis, il vit dans une villa avec jardin à une vingtaine de kilomètres au nord de Toulouse en compagnie d’un chat. Il loge dans une niche extérieure dont le sol est recouvert de moquette ; la fraction de temps passé à l’extérieur est estimée à 90%. Son maître possède également une villa en Espagne (Costa Brava) dans laquelle il effectue des séjours réguliers (dix jours toutes les cinq semaines) en compagnie du chien.

Son alimentation est strictement industrielle, à base de croquettes Hill’s Canine Growth distribuées selon les recommandations du fabricant en deux repas quotidiens.

Le chien est correctement vacciné contre la maladie de Carré, l’hépatite de Rubarth, la parvovirose, la leptospirose et la rage. Une application de Frontline® Spot-on est effectuée tous les mois depuis l’acquisition. L’otectomie a été pratiquée courant octobre. Aucune affection particulière n’est signalée.

Anamnèse

Un mois après l’achat (soit fin juillet), le propriétaire constate l’apparition de lésions nodulaires sur le ventre et sur la face interne des cuisses. Aucun prurit n’est signalé. Au bout de quelques jours, les lésions semblent « sécher » et sont alors surmontées d’une croûte ; cependant, elles n’ont aucune tendance à disparaître. Début septembre, les babines sont également atteintes. Un confrère, consulté à ce stade, évoque la possibilité d’un impétigo et ne prescrit aucun traitement.

Examen clinique général

L’animal, très calme lors de la consultation, est en bon état d’entretien, son poids est de 25 kg, sa température rectale est de 38°8. L’examen général ne révèle aucune anomalie hormis un épiphora bilatéral ainsi qu’une adénomégalie rétromandibulaire bilatérale. La rate n’est pas palpable.

Examen clinique dermatologique

Examen à distance

À distance, trois nodules sont visibles sur la babine droite, ainsi qu’un autre sur le menton (photographie 1). Sur la face ventrale du chien, on distingue des nodules sur le fourreau, à la face interne des deux membres postérieurs ainsi qu’en région inguinale droite (photographies 2 & 3).

leishmaniose-nodulaire-chez-jeune-boxer1

Photographie 1 : Vue des lèvres et du menton.

Nous notons la présence de 3 nodules sur la lèvre droite et un nodule sur le menton.

leishmaniose-nodulaire-chez-jeune-boxer2

Photographie 2 : Vue de la zone inguinale droite et du fourreau.

Nous notons la présence de plusieurs nodules en région inguinale (deux nodules de plus petite taille sont indiqués par la flèche de gauche). Les lésions situées sur le fourreau sont nodulaires et croûteuses (flèche blanche).

leishmaniose-nodulaire-chez-jeune-boxer3

Photographie 3 : Vue de la face interne du postérieur gauche.

Nous notons la présence de plusieurs nodules sur la face interne des deux membres postérieurs (ici le postérieur gauche).

Examen dermatologique rapproché

Lors de l’examen rapproché, on observe la présence de nodules de 0.7 cm de diamètre environ, bien délimités, dépassant la surface cutanée de 2 à 3 mm ; leur consistance est ferme, ils sont non adhérents aux plans sous-jacents. Ils présentent des squames-croûtes en leur centre, entouré par une zone très claire ; la périphérie est érythémateuse (photographie 4). Les nodules présents sur le fourreau sont également recouverts de squames-croûtes, leur périphérie est moins érythémateuse. Sous celles-ci, la peau n’est pas ulcérée.

leishmaniose-nodulaire-chez-jeune-boxer4

Photographie 4 : Vue rapprochée de deux nodules.

Les nodules ont un centre croûteux, autour duquel est présente une zone très claire. La périphérie est érythémateuse.

Synthèse clinique

  • Jeune chien boxer de 7 mois, en bon état d’entretien, effectuant régulièrement des séjours en Espagne et présentant depuis 4 mois une dermatose peu évolutive, non prurigineuse, multifocale caractérisée par des lésions nodulaires.
  • Les lésions sont situées sur la babine droite, sur le menton, sur le fourreau, à la face interne des deux membres postérieurs ainsi qu’en région inguinale droite.
  • Les nodules mesurent en moyenne 7 mm, ils sont érythémateux en périphérie et surmontés de squamo-croûtes.

 Hypothèses diagnostiques

Hypothèses Arguments en faveur Arguments contre  Examens complémentaires
à envisager 

Leishmaniose

  • Séjours fréquents en Espagne
  • Saison d’apparition
  • Adénomégalie
  • Animal « calme »
  • Absence de prurit
  • Lésions nodulaires
  • Lésions multiples
  • Quasi-absence de signes généraux
  • Absence de lésions sur la face interne des pavillons auriculaires
  • Cytologie
  • Histopathologie
  • Sérologie
  • Hémogramme
  • Biochimie plasmatique
  • Analyse d’urine

Papillomavirose cutanée

  • Âge,
  • Lésions nodulaires de faible diamètre
  • Lésions multiples
  • Aspect squamo – croûteux.
  • Pas d’aspect papillomateux
  • Absence d’hyperpigmentation
  • Pas de lésions sur la muqueuse buccale
  • Histopathologie

Histiocytome cutané juvenile

 
  • Âge
  • Race
  • Lésions nodulaires de faible diamètre
 
  • Lésions multiples,
  • Localisation (le plus souvent : tête, oreilles, membres)
  • Absence d’évolution depuis 4 mois
  • Absence d’ulcération
 
  • Cytologie
  • Histopathologie

Dermatite par piqures d’insectes

 
  • Saison,
  • Localisation
  • Lésions multiples
  • Lésions nodulaires de faible diamètre
 
  • Absence d’évolution depuis 4 mois
  • Absence d’ulcération
 
  • Cytologie
  • Histopathologie

Néoplasme cutané

 
  • Race
  • Lésions nodulaires
  • Lésions multiples
 
  • Âge
  • Absence d’évolution depuis 4 mois
  • Absence d’ulcération.
 
  • Cytologie
  • Histopathologie
 

Examens complémentaires réalisés

Cytologie d’un nodule

À l’aide de ciseaux courbes très tranchants (de type à iridectomie), la partie superficielle d’un nodule est ôtée puis ce fragment cutané est appliqué à plusieurs reprises sur une lame de verre dégraissée. Une autre lame est appliquée sur le lieu d’incision. Les lames sont ensuite colorées à l’aide du kit RAL® 555 en respectant les temps de coloration indiqués pour la mise en évidence des leishmanies. L’observation est réalisée à l’immersion au grossissement 1000. Elle permet la visualisation de nombreuses leishmanies en position intra-cellulaire (au sein de macrophages) mais également en position extra cellulaire (photographie 5).

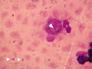
leishmaniose-nodulaire-chez-jeune-boxer5

Photographie 5 : Aspect cytologique d’un nodule.

Notons la présence de nombreuses leishmanies en position intra-cellulaire (au sein de macrophages) mais également en position extra cellulaire (flèches).

Analyse histopathologique d’un nodule (photographies 6 et 7)

La biopsie-exérèse d’un nodule est pratiquée à l’aide d’un biopsy punch® de 8 mm de diamètre. L’analyse histopathologique révèle une dermatite nodulaire avec :

  • Hyperkératose orthokératosique superficielle et infundibulaire, d’intensité moyenne,
  • Infiltration nodulaire à diffuse du derme superficiel et moyen par une population inflammatoire de nature hétérogène, histiocytaire, lymphoplasmocytaire, voire neutrophilique sur certaines plages,
  • Présence dans le cytoplasme de certains histiocytes d’éléments exogènes de petite taille (de l’ordre de quelques microns), arrondis ou ovalaires, unicellulaires, avec un noyau basophile excentré,
  • Absence d’autres agents pathogènes figurés, même après observation après réaction au P.A.S.

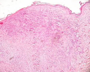
leishmaniose-nodulaire-chez-jeune-boxer6

Photographie 6 : Aspect histopathologique d’un nodule (HE, X40).

Hyperkératose orthokératosique superficielle et infundibulaire, d’intensité moyenne, infiltration nodulaire à diffuse du derme superficiel et moyen.

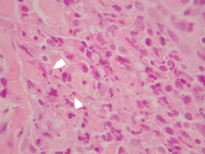
leishmaniose-nodulaire-chez-jeune-boxer7

Photographie 7 : Aspect histopathologique d’un nodule (HE, X1000).

Présence dans le cytoplasme de certains histiocytes d’éléments exogènes de petite taille (de l’ordre de quelques microns), arrondis ou ovalaires, unicellulaires, avec un noyau basophile excentré (flèches).

Le diagnostic lésionnel est celui d’une dermatite nodulaire avec présence d’agents pathogènes intracellulaires de type protozoaires.

L’hypothèse étiologique est celle d’une leishmaniose cutanée.

Des contingences de fonctionnement ne nous ont pas permis d’effectuer la lecture des lames de cytologie immédiatement, c’est la raison pour laquelle la biopsie a été réalisée en même temps afin de ne pas obliger le propriétaire à une nouvelle visite. Nous aurions pu nous en dispenser étant donné la certitude du diagnostic par la mise en évidence directe des parasites à l’examen des lames de cytologie

Les quatre examens complémentaires qui suivent sont destinés à mettre en évidence les conséquences de la présence des leishmanies dans l’organisme du chien et par là même contribuent à établir le pronostic.

Sérologie

Le dosage des anticorps anti-leishmanies a été réalisé par la méthode d’immunofluorescence indirecte (IFI). Le sérum du chien est positif au 1 /640 (seuil du laboratoire : 1/160). Nous considérons ce taux comme fortement positif.

Hémogramme

L’hémogramme ne révèle aucune anomalie.

Analyse d’urine

Les urines, collectées lors de la miction, sont de couleur jaune et ont une densité mesurée au réfractomètre de 1.039. La bandelette indique un ph de 7 et l’absence d’éléments anormaux. La réaction de Heller révèle la présence d’indican en quantité moyenne ainsi que des pigments biliaires en faible quantité.

Bilan biochimique plasmatique

Parmi les paramètres biochimiques plasmatiques analysés (protéines, urée, créatinine, alanine amino-transférase, phosphatases alcalines et glucose), les concentrations en alanine amino-transférase et en phosphatases alcalines sont légèrement au-delà des valeurs usuelles de l’adulte : respectivement 53 et 183 U/l – limites supérieures des valeurs usuelles respectives de 50 et 155 U/l (les autres résultats figurent en annexe). Cependant, les valeurs physiologiques des phosphatases alcalines chez le jeune sont plus élevées, ce paramètre reflétant la croissance du tissu osseux ; par conséquent nous considérons ce bilan biochimique comme normal.

Diagnostic

Il s’agit d’une forme cutanée nodulaire de Leishmaniose sans expression générale conjointe. Les lésions observées peuvent éventuellement correspondre aux sites d’inoculation des leishmanies par les phlébotomes lors des piqûres.

SI VOUS ETES VETERINAIRE : Pour lire la suite de cet article, veuillez vous enregistrer en haut à droite. Merci
Retour en haut