Un chien mâle Bouledogue français de 6 ans est référé en consultation de dermatologie pour une plaque entre les épaules, évoluant depuis 2 mois et ne répondant pas aux traitement antiprurigineux, antibiotiques, antiseptiques et cicatrisants (à base de miel et huiles essentielles).
Thomas Brément
*DV, Dip.ECVD , Vet’Dermathome, 85300 Challans
tél. : 06 16 36 50 98
vetdermathome(at)yahoo.com
Le chien est par ailleurs suivi pour une maladie de Cushing d’origine hypophysaire diagnostiquée 4 mois avant la consultation de dermatologie grâce à un test de freinage faible à la dexaméthasone couplé à une échographie abdominale ayant révélé une hyperplasie surrénalienne bilatérale. Un traitement à base de trilostane à 2mg/kg/j est en cours au moment de la consultation et a permis de stabiliser l’état clinique ainsi que les paramètres biochimiques sanguins. Les traitements antiparasitaires externes et internes ont été arrêtés depuis le diagnostic de la maladie de Cushing.
Examen clinique et diagnostic différentiel :
L’examen clinique général révèle un amaigrissement marqué (NEC : 3/9) et un retour du syndrome polyuro-polydipsique soulignant un échappement au traitement trilostane. Le bilan de l’examen dermatologique est une dermatose chronique non prurigineuse multifocale caractérisée par une plaque épaisse, blanchâtre, croûteuse et modérément suintante de 20cm par 15cm en région interscapulaire ainsi que de multiples collerettes épidermiques et lésions alopéciques, érythémateuses suintantes nummulaires réparties sur le corps (cf. figure 1).
Figure 1 : Aspect clinique lors de la première visite ; noter la présence d’une plaque épaisse en région interscapulaire.
Le diagnostic différentiel inclut une calcinose cutanée, une dermatite pyotraumatique, une pyodermite superficielle bactérienne, une dermatophytose et une démodécie.
Examens complémentaires :
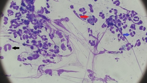
Des raclages et une culture fongique sont réalisés et permettent d’exclure une démodécie et une dermatophytose. La cytologie (calques cutanés sur les collerettes épidermiques) révèle la présence de très nombreux polynucléaires neutrophiles majoritairement dégénérés, de nombreuses bactéries de type cocci en position extra et intracellulaire (phagocytose) et de rares macrophages confirmant l’hypothèse d’une pyodermite superficielle bactérienne (cf. figure 2), par ailleurs modérée sur le plan clinique. Un « crissement » a été ressenti lors de la cytoponction effectuée dans l’épaisseur de la plaque. Le prélèvement ainsi obtenu est paucicellulaire et montre de rares amas de matériel amorphe n’ayant pas capté la coloration, compatible avec un dépôt minéral. Une biopsie est réalisée et l’analyse histopathologique met en évidence des dépôts minéralisés, dermiques et épidermo-folliculaires (calcinosis cutis) et des plages de métaplasie osseuse (osteoma cutis) dermiques, en accord avec l’hypothèse clinique de calcinose cutanée (cf. figure 3). Le contrôle du traitement au trilostane et l’analyse des paramètres biochimiques ne montre aucune anomalie. L’utilité d’une IRM de l’encéphale est évoquée afin de tenter de faire la distinction entre un macro-adénome ou des micro-adénomes hypophysaires sécrétant de l’ACTH, et d’évaluer la faisabilité d’une éventuelle intervention chirurgicale (hypophysectomie). Cependant, cette dernière option est refusée par les propriétaires.
Figure 2 : Cytologie (coloration rapide par le kit RAL 555) des collerettes épidermiques révélant de très nombreux polynucléaires neutrophiles majoritairement dégénérés (flèche bleue), de nombreuses bactéries de type cocci en position extra et intracellulaire (phagocytose-flèche rouge) et de rares macrophages (flèche noire). Grossissement X1000
Figure 3 : Aspect histopathologique de la lésion le jour de la première consultation ; la flèche rouge montre les lésions minéralisées correspondant aux dépôts de calcium (calcinosis cutis) – Coloration HES, Grossissement X 40
Diagnostic, pronostic et traitement :
Le diagnostic est une calcinose cutanée (dystrophique) évoluant sur fond de maladie de Cushing d’origine hypophysaire en cours d’échappement au traitement associée à une folliculite bactérienne de présentation clinique modérée. Le pronostic est réservé à sombre à moyen terme.
Du fait de l’amaigrissement progressif du patient, de l’origine hypophysaire de la maladie de Cushing et du refus de la chirurgie, un traitement médical est mis en place. L’objectif du traitement est d’apporter un confort de vie optimal au patient.



