Une chienne femelle stérilisée Drahtaar de 2 ans et 4 mois est présentée en consultation pour l’évaluation dermatologique de lésions croûteuses et suppuratives d’apparition aiguë au niveau de la région dorsale.
Caroline Léonard
Catherine Laffort
Clinique Vétérinaire Alliance, Bordeaux
Décembre 2018
Anamnèse et commémoratifs
Un abattement sévère ainsi qu’une anorexie sont rapportés depuis le début des signes cliniques. Ceux-ci sont apparus dans les heures suivant le toilettage/épilation du chien réalisé par un professionnel. Le soir même, avant l’apparition des lésions, le propriétaire a observé une modification du comportement, caractérisée par de l’agressivité, déclenchée par le toucher de la zone dorsale de l’animal.
Examen clinique
L’animal est abattu et douloureux. La température rectale est de 40,5°C. La fréquence cardiaque est de 120 battements par minute sans souffle cardiaque. Les muqueuses sont roses et le temps de remplissage capillaire inférieur à 2 secondes. La fréquence respiratoire est de 24 respirations par minute. La palpation abdominale est souple et non douloureuse. Aucune adénomégalie n’est présente. Son statut corporel est de 3/5.
L’examen dermatologique met en évidence sur toute la région dorsale érythème, papules, pustules/furoncles ainsi que des ulcérations punctiformes surmontées de croûtes (photo 1). On observe également des lésions érosives suintantes circulaires de quelques millimètres de diamètre.
Photo 1 : Rachis cervical montrant des nodules, des papules, des pustules et des croûtes.
Hypothèses diagnostiques :
- Pyodermite profonde (post toilettage)
- Dermatophytose
- Démodécie, Straelensiose, Cheyletiellose
- Dermatose auto-immune
Examens complémentaires :
Examens dermatologiques
L’examen en lumière de Wood est négatif.
Des raclages cutanés au niveau des lésions en région cervicales sont réalisés et ne montrent ni parasites, ni poils teigneux.
La culture mycologique est négative.
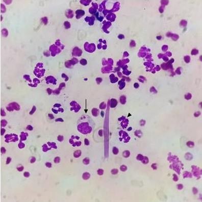
La réalisation d’un calque cutané réalisé par impression du pus d’une pustule met en évidence lors de l’examen cytologique, des cellules inflammatoires mixtes de type polynucléaires neutrophiles, lymphocytes et macrophages. Des images de phagocytose de cocci et de polynucléaires neutrophiles sont observées (photos 2 et 3).
Photo 2 : examen cytologique du calque cutané réalisé par impression sur le pus d’un furoncle montrant une population mixte de cellules inflammatoires avec des neutrophiles, de macrophages et lymphocytes.
Figure 3 : Examen cytologique du calque cutané réalisé par impression sur le pus d’une pustule mettant en évidence une image de phagocytose d’un polynucléaire neutrophile par un macrophage (flèche). Des images de phagocytose de cocci par les polynucléaires sont aussi visibles (tête de flèche).
La mise en culture bactérienne d’un échantillon de pus cutané prélevé à partir d’un furoncle intact permet d’identifier un Pseudomonas aeruginosa et un Staphylococcus xylosus. Sur l’antibiogramme, Pseudomonas aeruginosa est sensible uniquement à la Gentamicine, la Marbofloxacine et la Ciprofloxacine et Staphylococcus xylosus quant à lui est sensible à la Gentamicine, le Chloramphénicol, aux Fluoroquinolones (Enrofloxacine, Marbofloxacine et Pradofloxacine), la Tétracycline et l’association Triméthoprime/Sulfamides.
Apres hiérarchisation des hypothèses diagnostiques et selon le souhait des propriétaires en regard du cout des examens, la réalisation des biopsies cutanées est différée.
Examens sanguins :
La numération formule montre une leucocytose à 17150/µL (réf : 5050-16760) neutrophilique à 14280/µL (réf : 2950-11640) et une thrombopénie légère à 142000/µL (réf : 148-484). Le frottis sanguin confirme la leucocytose neutrophilique mais infirme la thrombopénie. La biochimie montre des paramètres dans les limites de la normalité à l’exception d’une urémie basse à 0,103g/L (réf : 0,147-0,567).
Diagnostic :
Une furonculose aiguë à Pseudomonas aeruginosa et Staphylococcus xylosus est présente.
Vu le contexte anamnestique, la source de contamination pourrait être le shampooing utilisé lors du toilettage ou le matériel lors de l’épilation.



