Auteur : Christian Collinot – Mai 2009
Clinique vétérinaire du ROC
117, avenue du maréchal LECLERC
86100 CHATELLERAULT
Commémoratifs
Palou est une chienne Braque de Weimar de 7 ans vivant dans une maison avec jardin. Elle est nourrie par une alimentation industrielle, dort à la maison. Elle ne va pas à la chasse, mais se promène avec son maître à la campagne. Elle est parfaitement suivie d’un point de vue médical et reçoit régulièrement vaccination, APE et API.
Anamnèse
Il y a 3 ans, en juin, une «floraison de kystes» qui suintent principalement sur le dos et l’arrière main, conduit à une première consultation chez le vétérinaire traitant. Différents traitements ont été effectués entraînant des rémissions, principalement antibiotiques (antirobe ND…) et topiques antiseptiques (paxcutol ND). Les corticoïdes ont aussi été essayés (chlorderma ND) car si un assèchement était obtenu chaque fois, le problème réapparaissait de manière récurrente. Depuis quatre mois, un régime hypoallergénique a été mis en place et est parfaitement suivi par le propriétaire.
Examen clinique
L’état général ne semble pas affecté sauf au moment des grosses poussées inflammatoires où un état apathique avec baisse dans la prise de nourriture est signalé. L’embonpoint est normal ainsi que l’activité.
Examen dermatologique
Le prurit est peu voire pas présent sauf lors des récurrences de pyodermite et il suit la réapparition des lésions.
Photo 1 DF : Vue générale
On note l’atteinte principale du tronc avec des lésions qui descendent sur les flancs, le thorax et l’arrière main.
Photo 2 DF : Vue rapprochée dos
Le poil est «laineux», clairsemé par endroits. Des plages alopéciques sont présentes découvrant une peau de structure plissée ou cicatricielle. Des papules souvent coalescentes sont ulcérées ou recouvertes de croûtes ou de grandes squames. On repère aussi des comédons. L’aspect de plaques hyperpimentées vues de loin est dû à l’hyperpigmentation de la peau et non à celle du poil.
Photo 3 DF : zones épidermiques hyperpigmentées
donnant l’aspect de taches
Photo 4 DF : furonculose
Une pression sur les zones alopéciques épaissies permet de faire sourdre du pus affirmant la présence d’une furonculose voire d’une cellulite.
Photo 5 DF : lésions de cellulite sur le haut de la cuisse G
entraînant des placards cicatriciels
On note enfin la présence de macules hypomélaniques notamment sur le tronc sous les membres.
Photo 6 DF : macules hypomélaniques
La tête et les membres ne sont pas touchés par les lésions.
Photo 7 DF : pas de lésions sur la tête
Diagnostic différentiel
=> Diagnostic différentiel des folliculites, furonculoses, cellulites.
Les agents causaux en sont, les bactéries, les dermatophytes, les démodex ou stériles.
=> Diagnostic différentiel des causes de récurrence de pyodermite
Les endocrinopathies (dont hypothyroïdie et syndrome de cushing), l’atopie ou autres allergies, les séborrhées et les dysplasies folliculaires au sens large dont l’alopécie des robes diluées et les dysplasies folliculaires non liées à la robe.
Examens complémentaires
Les calques effectués à partir de prélèvements de pus montrent principalement des neutrophiles plus ou moins dégénérés, des cellules macrophagiques, on peut trouver quelques coccis intracellulaires principalement à partir des pustules.
- Les raclages sont négatifs pour les parasites.
- Les analyses endocrinologiques sont normales pour les surrénales et la thyroïde,
- Dosage T4: 22/22/23 nmol/l
- Stimulation ACTH: cortisol:49/279 (après stim) nmol/l
- Biopsies cutanées: (LAPVSO)
‘’Elles sont avant tout caractérisées par de sévères lésions de pyodermite profonde plus ou moins cicatricielles, stabilisées ou en évolution à type furonculose et d’hydrosadénite rétrograde. On note aussi une dermatose alopéciante avec hyperplasie des structures épithéliales épidermiques et folliculaires, troubles du cycle folliculaire et présence d’anomalies de répartition du pigment mélanique. Présence en outre d’un kyste folliculaire hébergeant des levures du genre malassezia .‘’
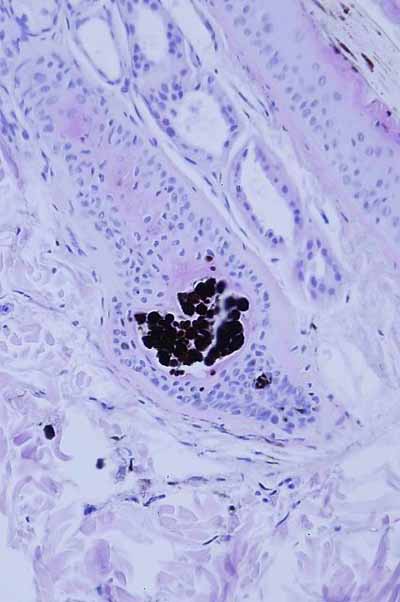
Photo 8 DF : anomalie de répartition du pigment mélanique (Photo F. Degorce )
Photo 9 DF : Gaine épithéliale externe du follicule pileux hyperplasique (Photo F. Degorce )
5/ Le trichogramme montre des poils crochus, tordus, de circonférence irrégulière le long de la tige et des ruptures de la cuticule.
Photo 10 DF : Poil, circonférence irrégulière
Photo 11 DF : Poils, rupture cuticule et corticale
On trouve une anomalie de répartition de la mélanine à la base du poil ainsi que des mégamélanosomes (macromélanosomes) dans le poil en position sous cuticulaire fragilisant le poil comme dans l’alopécie des robes diluées.
Photo 12 DF : amas de mélanine à la base du poil
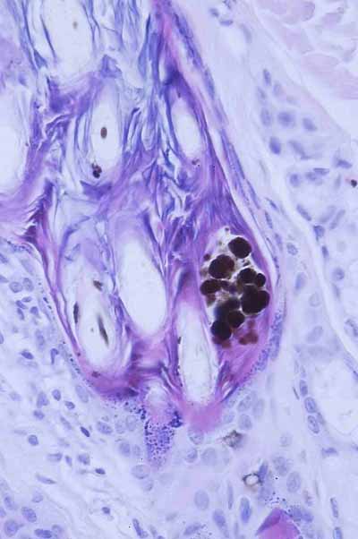
Photo 13 DF : mégamélanosome dans une tige pilaire
Diagnostic
(fait l’objet de la discussion)
Le diagnostic de pyodermite profonde ne pose pas de problème mais sa gestion sera double à cause de la concomitance d’un problème bactérien et d’une mycose (malassezias retrouvés dans un premier temps puis filaments mycéliens sur une deuxième série de biopsies).
La cause de récurrence ne semble pas être d’origine endocrinologique et une atopie est exclue par l’absence de critères cliniques concordants (Prélaud et coll), l’allergie alimentaire par le test d’éviction et la DHPP par l’efficacité du traitement APE et le manque de prurit. Beaucoup d’éléments sont en faveur d’une dysplasie folliculaire et la robe diluée ainsi que la présence de mégamélanosomes et les anomalies de répartition de la mélanine font penser à une alopécie des robes diluées.
Photo 14 DF : mégamélanosome fragilisant la cuticule
Photo 15 DF : microscopie électronique, trou dans la cuticule dû
à un macromélanosome (Photo C. Laffort)
Photo 16 DF : follicule pileux, anomalie répartition mélanique (Photo F. Degorce)
Il semble cependant que, par rapport à d’autres cas répertoriés d’alopécie des robes diluées, les anomalies pigmentaires soient ici beaucoup moins importantes alors qu’au contraire, les anomalies de la tige pilaire sont beaucoup plus représentées. Elles ne semblent pas en rapport avec la présence de mégamélanosomes.
Photo 17 DF : anomalies de la tige pilaire
On note des fractures:
Photo 18 DF : fracture tige pilaire
Photo 19 DF : accident sur tige pilaire
Plus que les anomalies pigmentaires, c’est la sinuosité de la médullaire du poil et ses irrégularités qui sont remarquables.
Photo 20 DF : irrégularités de la médullaire du poil
Photo 21 DF : médullaire qui longe la cuticule puis se recentre
Phot 22 DF : médullaire décentrée le long de la cuticule
Il semble que cette médullaire tourmentée ne soit pas étrangère aux accidents des poils.
Photo 23 DF : médullaire décentrée et rupture de la cuticule du même côté
Photo 24 DF : microscopie électronique:
fracture cuticulaire (Photo C. Laffort)
Mais on ne retrouve pas toujours la coïncidence des deux de manière aussi évidente.
Nous conclurons sur le diagnostic posé de Dysplasie folliculaire du Braque de Weimar. Les études à venir sur cette entité permettront de vérifier l’identité de cette affection ou de la resituer dans un cadre plus vaste atteignant d’autres races voire de la rapprocher d’autres pathologies déjà décrites.
























