Avril 2012
Auteurs :
Frédérique Degorce-Rubiales1 – CES de Dermatologie Vétérinaire, DESV d’Anatomie Pathologique Vétérinaire, Spécialiste en Anatomie Pathologique Vétérinaire
Agnès Poujade1 – DESV d’Anatomie Pathologique Vétérinaire, Spécialiste en Anatomie Pathologique Vétérinaire
Catherine André – CNRS, UMR 6061, Institut de Génétique et Développement de Rennes, Rennes, France.
Université Rennes 1, UEB, IFR 140, Faculté de Médecine, Rennes, France.
Eric Guaguère – Clinique vétérinaire Saint Bernard, Lomme, France.
1LAPVSO – 129 Route de Blagnac – 31201 Toulouse cedex 2 – www.lapvso.com
Avertissement
Le cas clinique présenté est un cas de dermatopathologie, aussi l’anamnèse, l’examen clinique, l’examen dermatologique et les examens complémentaires réalisés, se limiteront aux données présentes sur la fiche de commémoratifs reçue avec les prélèvements histologiques.
Commémoratifs
Un chien Golden retriever, âgée de 8 mois est présenté à la consultation pour une peau sèche, squameuse et hyperpigmentée sur l’ensemble du corps avec un aspect particulièrement sale du tégument en région abdominale. Ces lésions dermatologiques sont présentes depuis l’achat de l’animal à l’âge de 2 mois. L’état général de l’animal est très bon (Photo 1).
Photo 1 : Atteinte généralisée du corps : aspect sec, squameux et
hyperpigmentée de la peau, depuis le jeune âge, sans atteinte de l’état général.
Hypothèses cliniques
- Ichtyose du Golden retriever
- Dermatophytie
Examen histologique
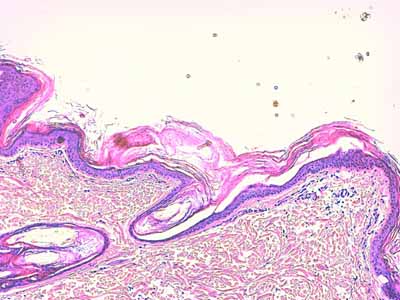
À l’examen histologique, on observe un épiderme d’épaisseur normale à discrètement hyperplasique avec un très fin bourgeonnement à peine ébauché des couches basales donnant à l’épiderme un aspect plicaturé ou festonné (Photo 2). Il apparaît souvent hyperpigmenté. Les couches les plus basales de l’épiderme apparaissent surpeuplées avec une surabondance d’images nucléaires (aspect en faveur d’une rétention cellulaire)(Photo 4).
La couche granuleuse est visible de façon continue et diffuse, au lieu d’apparaître multifocale (Photos 4, 5, 6).
L’épiderme présente une hyperkératose orthokératosique compactée qui reste alvéolaire et laminée (Photo 2).
Cette hyperkératose compactée ponte souvent l’abouchement de follicules pileux (Photo 3). Au sein des couches épineuse et granuleuse, les kératinocytes apparaissent régulièrement vacuolisés, sous la forme d’une vacuole cytoplasmique unique en couronne péri-nucléaire, donnant l’impression que le noyau de ces kératinocytes est contenu dans une petite logette optiquement vide (Photo 7).
Les annexes épidermiques sont normalement représentées, le cycle folliculaire est normal. Le derme n’apparaît pas particulièrement inflammatoire (Photo 1). Aucun élément figuré n’est visible, ni parasitaire, ni fongique.
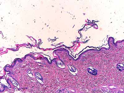
Photo 2 (Hémalun Eosine X 40) : L’épiderme est le siège d’une hyperkératose orthokératosique
laminée parfois compactée, intéressant également les ostia folliculaires. Le derme semble silencieux.
Légendes de la Photo 2 :
- Pointe de flèche turquoise : hyperkératose orthokératosique
- Ovales jaunes : ostia folliculaires hyperkératosiques
- Étoiles rouges : unités annexielles folliculo-sébacées
- Double pointe de flèche verte : épaisseur épidermique
- Double flèche pointillée verte : épaisseur dermique
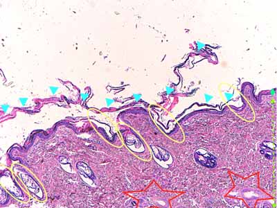
Photo 3 (Hémalun Eosine X 100) : l’hyperkératose orthokératosique de
l’épiderme “ponte” l’abouchement des ostia folliculaires. Le derme est silencieux.
Légendes de la Photo 3 :
- Pointe de flèche turquoise : hyperkératose orthokératosique
- Ovale jaune : ostium folliculaire hyperkératosique
- Double flèche pointillée rouge : des lamelles de kératine orthokératosique parallèles à l’épiderme, pontent l’abouchement d’un ostium folliculaire
- Double flèche verte : épaisseur épidermique
- Double flèche pointillée noire : épaisseur dermique
Photo 4 (Hémalun-Eosine X200) : L’hyperkératose de l’épiderme est orthokératosique,
diffuse, souvent compactée à la surface du tégument. La couche granuleuse de l’épiderme
est diffuse et continue. La couche basale de l’épiderme prend un aspect “hyperpeuplé”
avec des noyaux qui semblent s’entrechoquer, réalisant un aspect discrètement
irrégulier et festonné de cette couche basale et de la membrane basale de l’épiderme.
Légendes de la Photo 4 :
- Pointe de flèche turquoise : hyperkératose orthokératosique épidermique
- Double flèche verte : épaisseur épidermique
- Double flèche pointillée noire : épaisseur dermique
- Flèches jaunes : couche granuleuse épidermique continue (Stratum granulosum)
- Flèches oranges : aspect “hyperpeuplé” de la couche basale de l’épiderme avec entrechoquement des noyaux des cellules basales
Photo 5 (Hémalun-Eosine X400) : L’hyperkératose orthokératosique
de l’épiderme est diffuse, compacte et souvent pigmentée. La couche granuleuse
de l’épiderme est diffuse et continue. La couche basale de l’épiderme prend un
aspect “hyperpeuplé”, réalisant un aspect dicrètement irrégulier et bourgeonnant
de cette couche basale et de la membrane basale de l’épiderme. Le derme est silencieux.
Légendes de la Photo 5 :
- Double flèche orange : couche cornée siège d’une hyperkératose orthokératosique souvent pigmentée
- Double flèche verte : épaisseur épidermique
- Double flèche bleue : épaisseur dermique
- Flèches jaunes : couche granuleuse épidermique continue (Stratum granulosum)
- Flèches oranges : aspect “hyperpeuplé” de la couche basale de l’épiderme avec émission de discrètes crêtes épithéliales
- Point marron : zones hyperpigmentés de l’épiderme
- Étoile rouge : vaisseaux capillaires
Photo 6 (Hémalun-Eosine X1000 objectif à immersion) : Vue rapprochée
des couches superficielles de l’épiderme (couche cornée, couche granuleuse et couche épineuse) :
L’hyperkératose orthokératosique de l’épiderme est laminée et souvent pigmentée.
La couche granuleuse de l’épiderme est diffuse et continue.
Légendes de la Photo 6 :
- Double flèche pointillée verte : couche cornée, Stratum corneum
- Double flèche pointillée bleue : épaisseur épidermique
- Flèches oranges : grains de pigment mélanique dans la kératine orthokératosique laminée
- Flèches jaunes : couche granuleuse épidermique continue (Stratum granulosum)
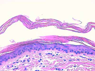
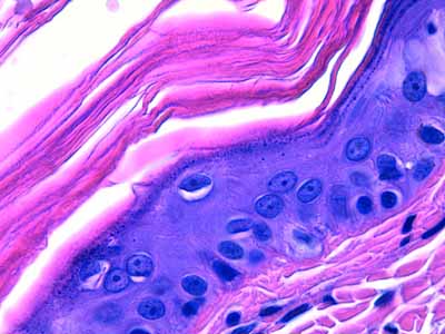
Photo 7 (Hémalun-Eosine X1000 objectif à immersion) : Vue de l’épiderme :
dans la couche superficielle du stratum spinosum, juste sous le stratum granulosum,
on distingue des acanthocytes dont le noyau est entouré d’un halo vacuolaire clair,
en couronne péri-nucléaire, donnant l’impression que le noyau de ces acanthocytes
est contenu dans une petite logette optiquement vide.
Légendes de la Photo 7 :
- Double flèche pointillée verte : couche cornée de l’épiderme, Stratum corneum
- Double flèche pointillée bleue : couche granuleuse de l’épiderme, Stratum granulosum
- Double flèche orange : couche épineuse de l’épiderme, Stratum spinosum
- Double flèche rose : couche basale de l’épiderme, Stratum basale
- Double flèche bleue : derme
- Étoile rouge : acanthocyte vacuolisé dont le noyau est entouré d’un halo clair, en couronne péri-nucléaire optiquement vide.
Diagnostic histologique
Le tableau lésionnel est dominé par une hyperkératose orthokératosique épidermique et folliculaire, souvent compactée marquée, associée à une couche granuleuse épidermique continue et diffuse. sans remaniements inflammatoires dermiques notables. Cet aspect lésionnel est tout à fait compatible avec l’hypothèse clinique d’un trouble primitif de la kératinisation tel qu’une ichtyose.
Le diagnostic est basé sur des éléments épidémiologiques (âge à l’apparition des lésions, race), l’aspect histologique et le dépistage génétique disponible en France chez Antagène (test ICT-A, renseignements auprès de www.antagene.com).
Traitement et évolution
Pour améliorer l’état du pelage, le propriétaire devra réaliser des shampooings (hebdomadaires ou bi-hebdomadaires) kérato-modulateurs et émollients; la pulvérisation d’émollients non gras de façon quotidienne est très utile.
Un régime riche en acides gras oméga
- à longue chaîne semble également présenter un intérêt. La contrainte du traitement au long cours est parfois difficile à accepter par les propriétaires. Pour en savoir plus : Un cas d’ichtyose cutanée chez un Golden retriever par le Dr Éric Florant.
Discussion
Actualités sur l’ichtyose du golden retriever
C’est grâce à des golden retrievers que des chercheurs français ont réussi à remonter la piste d’une maladie de peau congénitale rare qui affecte certains bébés dès la naissance (Grall et coll. (7)).
Les ichtyoses (du grec ichtyus qui signifie poisson) regroupent un ensemble hétérogène de dermatoses génétiques, caractérisées par une cornéogenèse (ou kératinisation) anormale se traduisant par une accumulation anormale de squames à la surface de la peau (squames prenant la forme d’écailles de poisson). Les ichtyoses sont des dermatoses distinctes qui se caractérisent par leur diversité clinique, leur gravité différente et leur réponse thérapeutique variable. Elles résultent des conséquences d’un défaut d’une ou de plusieurs étapes intervenant dans la différenciation de la couche cornée et sont pour la plupart monogéniques chez l’Homme. Elles apparaissent généralement dans les premières semaines ou mois après la naissance et vont persister tout au long de la vie.
Tandis que l’ichtyose vulgaire autosomique est une maladie fréquente de gravité modérée chez l’Homme, d’autres formes sont plus rares et plus graves, telles les Ichtyoses Congénitales Récessives Autosomiques (ARCI en anglais ICRA, en français) comme l’ichtyose arlequin. Chez l’Homme, une quarantaine de gènes ont déjà été identifiés jusqu’à ce jour, dont 7 gènes impliqués chez 80 % des individus atteints d’ ARCI. La découverte de nouveaux gènes chez le chien, représente une opportunité pour identifier de nouveaux gènes dans les ichtyoses humaines. Compte-tenu de la difficulté à rassembler suffisamment de familles humaines affectées par une même entité clinique, les équipes de Catherine André (CNRS-Université de Rennes, France) et de Judith Fischer (CEA d’Evry, en France, et Université Clinique de Fribourg, en Allemagne)(7) se sont intéressées au Golden retriever. Comme toute race canine pure, le Golden retriver, représente un groupe d’animaux génétiquement semblables, descendant seulement de quelques ancêtres communs. Les croisements consanguins permettent d’obtenir les caractéristiques et qualités voulues chez les chiens, mais ils peuvent aboutir à la sélection involontaire de maladies génétiques.
C’est ainsi que le Golden retriever est affectée d’une ichtyose lamellaire ressemblant aux ichtyoses congénitales récessives autosomiques humaines (1, 2, 3, 4, 5). Le premier cas d’ichthyose congénitale a été diagnostiqué en 2007. Comme cette affection n’est pas mortelle, les éleveurs n’ont pas cherché à l’éliminer par sélection des reproducteurs et elle s’est rapidement transmise à leurs descendants. Chez 40 Golden retriever (20 chiens affectés et 20 chiens témoins), Grall et coll. (7) ont identifié une mutation causale dans le gène PNPLA1, gène qui n’avait encore jamais été mis en cause dans une maladie. L’analyse génétique de plus de 300 Golden retrievers et de 300 chiens d’autres races a montré que cette mutation est spécifique des Golden retriever atteints (5, 6).
Les chercheurs ont ensuite séquencé ce gène dans 10 familles consanguines atteintes d’ICRA présentant une homozygotie de la région 6p21 contenant le gène PNPLA1. Des mutations du gène ont été découvertes dans deux familles, chez 6 membres affectés d’ICRA. Ces 6 individus étaient des « bébés collodion », c’est-à-dire sévèrement affectés depuis leur naissance. Cent patients supplémentaires atteints par la maladie vont être testés pour vérifier s’ils présentent la mutation identifiée. Ces équipes se sont ensuite intéressées à la fonction de la protéine PNPLA1, qui était jusqu’alors inconnue et ont montré qu’elle s’exprime exclusivement dans la peau en jouant notamment un rôle important dans le métabolisme des lipides de la barrière cutanée et dans la formation des membranes cellulaires (7).
Ce travail est l’aboutissement d’une collaboration étroite entre les chercheurs, les éleveurs, les propriétaires de chiens, les vétérinaires traitants et les vétérinaires spécialisés en dermatologie (2, 5, 6, 7).
La découverte du gène PNPLA1 chez le Golden retriever a donné lieu à un dépôt de brevet au nom du CNRS et de l’université de Rennes 1. Une licence internationale a été octroyée à Antagène pour la commercialisation d’un test génétique pour le diagnostic et le dépistage de l’ichtyose du Golden retriever, afin d’aider les éleveurs à mieux gérer leur élevage en choisissant en connaissance de cause les accouplements à réaliser ou à éviter. Cette maladie s’est rapidement répandue dans la race dans les années 1980, suite à l’utilisation de chiens atteints pour la reproduction. La fréquence de la mutation dans cette race est estimée à 50 %, avec 40 % de chiens porteurs, 30 % de chiens atteints et 30 % de chiens sains. Les chiens atteints développent dès leur plus jeune âge des symptômes dermatologiques qui persisteront leur vie durant : squamosis blanchâtre ou pigmenté, sur le tronc et le ventre, donnant à la peau un aspect sale, écailleux, sec et rugueux, comme du “papier de verre”. Le pelage, qui peut masquer ces squames, est terne et d’aspect sale. La dermatose qui se transmet selon un mode autosomique récessif, évolue de façon variable : certains chiens présentent des formes mineures, alors que dans d’autres cas, la maladie a tendance à s’aggraver pendant la croissance. Des complications bactériennes, fongiques ou parasitaires peuvent survenir.
Photo 8 : Aspect squameux de la peau avec présence de squames blanchâtres
adhérentes à la peau, le squamosis étant souvent occulté par la densité du pelage
©Photo Dr Éric Guaguère.
Photo 9 : Le pelage qui masque le squamosis parfois pigmenté, prend un aspect sale,
lorsque ces squames s’exfolient et se trouvent emprisonnées dans les poils.
©Photo Dr Éric Guaguère.
Cette dermatose est actuellement sous-diagnostiquée et reste difficile à repérer par les éleveurs tout particulièrement chez les chiens atteints d’une forme discrète. Le test génétique, facile à mettre en œuvre, permet un dépistage précoce de la maladie et la mise en oeuvre précoce de soins dermatologiques réguliers afin d’éviter les complications infectieuses. Ce test permet également de préciser le diagnostic différentiel, notamment par rapport à la dermatite atopique et permet à l’éleveur d’adapter les accouplements entre ses reproducteurs afin d’éviter de faire naître des chiots atteints et de diminuer l’incidence de cette maladie dans la race qu’ils élèvent.
Ce travail est remarquable à plus d’un titre :
- Il illustre combien peut être fructueuse et importante la collaboration :
- Entre éleveurs, propriétaires de chiens et vétérinaires qu’ils soient praticiens, dermatologues ou anatomopathologistes
- Entre la médecine vétérinaire et la médecine humaine
- Il montre comment l’étude d’une maladie spontanée du chien peut autant servir à l’homme qu’au chien lui-même en permettant pour le premier la découverte de nouvelles causes génétiques de maladies humaines et pour le second un dépistage génétique salvateur pour une meilleure gestion de leur élévage.
- En permettant la découverte d’un nouveau gène impliqué dans une maladie génétique humaine et canine, ce travail ouvre la voie non seulement vers une meilleure compréhension de la maladie elle-même, mais également vers une meilleure connaissance du rôle de cette enzyme et du fonctionnement de la barrière cutanée.
Le chien est vraiment, à plus d’un titre, le meilleur ami de l’homme !
L’équipe de Catherine André poursuit actuellement ses recherches sur d’autres maladies canines qui pourraient conduire à une recherche génétique profitable pour l’Homme.
D’autres mutations identifiées chez les chiens ont déjà conduit à des thérapies géniques pour les maladies oculaires telles que des troubles génétiques de la rétine. Cette équipe s’intéresse notamment à l’ichtyose dans d’autres races canines cavalier King Charles, Jack Russel terrier, terrier du Norfolk… Ainsi, si vous connaissez ou suspectez d’autres races atteintes, n’hésitez pas à les en informer et à leur faire parvenir :
- des prélèvements sanguins (5 ml sur tube EDTA) de chiens atteints d’ichtyose, ainsi que des chiens âgés non atteints des mêmes races (qui servent de témoins)
- la photocopie du pedigree (si disponible)
- la photocopie des résultats cliniques ou de l’analyse histologique
- si possible une biopsie de peau, dans des milieux spécifiques pour des analyses complémentaires (tubes fournis par nos soins, sur demande : tel 02 23 23 45 09 ou http://canidna.univ-rennes1.fr/index2.php). Envoyer les prélèvements à température ambiante.
Pour plus d’informations, vous pouvez écrire à cani-DNA@univ-rennes1.fr. ou vous rendre sur Canine genetics ou contacter Antagène www.antagene.com.
Bibliographie
- EA Maudlin, KM Credille, DW Dunstan, ML Casal Clinical, histopathological, ultrastructural analysis of Golden retriever ichthyosis Veterinary Dermatology 2007, 18, 187 (Abstract).
- E Guaguère, E Bensignor, A Muller, F Degorce-Rubiales, C André Epidemiological, clinical, histopathological and ultrastructural aspects of ichthyosis in golden retrievers ; a report of 50 cases Veterinary Dermatology 2007, 18, 182-383 (Abstract)
- EA Maudlin, KM Credille, DW Dunstan, ML Casal Clinical, histopathological, ultrastructural analysis of Golden retriever ichthyosis. Veterinary Pathology 2008, 19, 120-129
- MC Cadiergues, A Patel, DH Shearer, R Fermor, M. Suthel, A Hendricks Cornification defect in the golden retriever : clinical, histopathological, ultrastructural and genetic characterisation. Veterinary Dermatology 2008, 19, 120-129
- E Guaguère, E Bensignor, S Küry, F Degorce-Rubiales, A Muller, L Herbin, J Fontaine, C André Clinical, histological and genetic data of ichthyosis in the Golden retriever : a prospective study Journal of Small Animal Practice 2009, 50, 227-235
- Grall, E. Guaguère, S. Planchais, M. Le Gallo, C. Hitte, L. Lagoutte, F. Degorce-Rubiales, E. Bensignor, C. Derbois, A. Thomas, J. Fontaine, G. Queney, F. Galibert, J. Fischer, C. André A new human ichthyosis gene revealed by the identification of a mutation in the golden retriever canine breed Proceedings of the 5th International Canine and Feline Genomics Conference and Inherited Diseases, Baltimore, 2010.
- A. Grall, E. Guaguère, S. Planchais, S. Grond, E.Bourrat, I. Hausser, C. Hitte, M. Le Gallo, C. Derbois, G-J. Kim8, L. Lagoutte, F. Degorce-Rubiales, F.P.W. Radner, A. Thomas, S. Küry1, E. Bensignor, J. Fontaine, D. Pin, R. Zimmermann, R. Zechner, M. Lathrop, F. Galibert, C. André and J. Fischer: PNPLA1 mutations cause autosomal recessive congenital ichthyosis in golden retriever dogs and humans, Nature & Genetics, 2012, In press, doi:10.1038/ng.1056, Published online 15 January 2012 : http://www.nature.com/ng/journal/v44/n2/abs/ng.1056.html













