Un cas d’histiocytose cutanée


Auteur : Catherine LAFFORT – Janvier 2016
Clinique vétérinaire Alliance
Bordeaux


Commémoratifs

Marguerite est une chienne stérilisée de race bouledogue Français âgée de trois ans. Elle vit en appartement à Bordeaux, sans congénères et n’a jamais quitté la région bordelaise. Elle reçoit une alimentation industrielle de bonne qualité. Elle est régulièrement vaccinée contre la maladie de Carré, l’hépatite de Rubarth, la parvovirose, la leptospirose et la rage. Elle est vermifugée tous les six mois et traitée contre les parasites externes mensuellement avec un spot-on de fipronil (Frontline®).
Les propriétaires signalent un épisode de prurit associé à de la toux et des ronflements 6 mois plutôt. Un traitement associant un antibiotique et un corticoïde per os sur une dizaine de jours avait permis de faire régresser les lésions.

Anamnèse

Les signes cliniques ont débuté il y a deux mois sous forme de nodules qui ont tendance à s’ulcérer, disséminés sur le tronc. Une réponse partielle a été obtenue à l’aide de différents traitements associant antibiotiques et anti-inflammatoires, de courte durée.

Examen clinique

Marguerite est en bon état d’entretien, quoique apathique. Son poids est de 10 kg, sa température corporelle de 39,5 °C. Les nœuds lymphatiques superficiels sont modérément hypertrophiés.
L’examen clinique à distance montre une atteinte préférentielle du tronc sur lequel se répartissent des nodules alopéciques ainsi que de larges ulcérations surmontées de croûtes jaunâtres épaisses (photo 1 et 2).

histiocytose-cutanee1

photo 1 : nombreuses lésions alopéciques fréquemment ulcérées et coûteuses sur la face latérale D du tronc

histiocytose-cutanee2

Photo 2 : ulcères à l’emporte-pièce et nodules surmontés de croûtes jaunâtres sur le périnée

L’examen clinique dermatologique rapproché montre une nécrose cutanée, des lésions ulcératives surmontées de croûtes fortement adhérentes qui laisse sourdre du pus à la pression (photo 3).

histiocytose-cutanee3
photo 3 : vue rapprochée des lésions de la photo 1

Hypothèses diagnostiques

Les hypothèses à envisager sont une pyodermite bactérienne éventuellement secondaire à une démodécie, une dermatophytose ou une leishmaniose ; une réaction cutanée médicamenteuse ; une histiocytose réactionnelle ; une néoplasie.

Examens complémentaires

L’examen en lumière de Wood, le trichogramme et la culture fongique se sont révélés négatifs. Différents raclages ont été réalisés en périphérie des lésions et sont restés négatifs.
Plusieurs biopsies cutanées en cote de melon ont été réalisées au scalpel sous anesthésie générale.
Certaines ont permis d’ensemencer une culture bactériologique après trituration : un Staphylococcus pseudintermedius meticilline et multi-résistant a été isolé, les seuls antibiotiques donnés comme « sensible » étaient la doxycyline, le chloramphénicol et l’acide fusidique.
D’autres ont permis de réaliser des PCR leishmaniose et mycobactéries qui se sont avérées négatives.
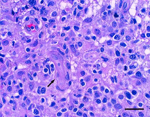
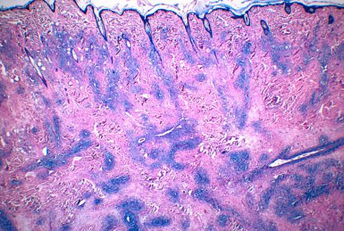
Enfin, un examen histopathologique des lésions a été demandé sur les derniers prélèvements. Les images observées étaient compatibles, dans la mesure ou le caractère stérile était démontré, avec un histiocytose réactionnelle (photo 4 et 5).

histiocytose-cutanee4

Photo 4 : lésions nodulaires à diffuses de tropisme vasculaire
présentes à tous les niveaux du derme (HE, x 40)

histiocytose-cutanee5

Photo 5 : vue rapprochée de la photo 4, infiltrat inflammatoire granulomateux
centré au tour d’un vaisseau sanguin (flèche) (HE, x 1000)

Une radiographie du thorax et une échographie abdominale n’ont pas révélé d’anomalie.

Diagnostic

La présence d’une culture bactérienne positive ne permet pas d’affirmer le caractère stérile des lésions.
Il s’agit probablement d’une histiocytose réactionnelle cutanée avec des surinfections bactériennes secondaires dues au caractère ulcéré des lésions

SI VOUS ETES VETERINAIRE : Pour lire la suite de cet article, veuillez vous enregistrer en haut à droite. Merci

 

Retour en haut