Auteur : Christian Collinot
Clinique vétérinaire du ROC
117, avenue du maréchal LECLERC
86100 CHATELLERAULT
Commémoratifs
Gab est une chienne de race Labrador de 13 ans. Elle vit en ville et est le seul animal de la maison. Elle est régulièrement vaccinée et déparasitée (APE et API). Elle est nourrie par une alimentation industrielle (croquettes) de bonne qualité. Elle n’est pas stérilisée et n’a pas d’antécédent pathologique remarquable. Pour une chienne de cet âge, la mobilité et l’état général ne sont pas particulièrement altérés. L’appétit est conservé avec des phases plus boulimiques de temps à autres. Une polyuropolydypsie modérée est constatée depuis quelques temps sans qu’une date précise ne puisse être retenue.
Anamnèse
Des lésions cutanées croûteuses sont apparues et différents traitements antibiotiques n’ont pas apporté d’amélioration.
Examen général
L’état général de Gab se dégrade aux dires des propriétaires depuis l’apparition des lésions. Une baisse de l’appétit est notée et elle rechigne à se déplacer (« marche sur des œufs »). Une prise de sang ne révèle pas d’anomalie importante si ce n’est une baisse des albumines sériques. L’analyse d’urine ne montre pas la présence d’une protéinurie.
Photo 1 : vue générale Gab
Examen dermatologique
Le tableau est dominé par des lésions érythémateuses suintantes ulcérées et croûteuses qui se retrouvent autour de la bouche et sous le menton,
Photo 2 : Lésions érythémateuses et érosives péribuccales
Photo 3 : Lésions érythémateuses et suintantes sous le menton (profil)
Photo 4 : lésions sous le menton (face) mais aussi autour de la vulve et de l’anus.
Photo 5 : lésions érosives et croûteuses de l’anus
Les lésions les plus importantes et dramatiques se trouvent sur les coussinets et expliquent la répugnance de Gab à se déplacer.
On trouve une hyperkératose des coussinets
Photo 6 : Hyperkératose des coussinets
et des lésions ulcératives très profondes créant de véritables crevasses ;
Photo 7 : Lésions ulcératives et croûteuses de coussinets
Photo 8 : Crevasses dans les coussinets
La partie podale entre les coussinets n’est pas épargnée, elle est le siège de lésions érythémateuses ou suintantes présentant au contraire une décoloration.
Photo 9 : inflammation cutanée entre les coussinets
Synthèse clinique et hypothèses diagnostiques
Les lésions sont principalement érythémateuses, érosives, ulcératives et croûteuses. Elles concernent la face, l’anus et la vulve ainsi que les pieds. Le diagnostic différentiel envisage les dermatites de la face, celles des jonctions cutanéo-muqueuses et les pododermatites. Les lésions sont profondes (ulcératives).
Il faut envisager :
Compte tenu de son âge, l’absence de traitement préalable, sa sédentarité dans le centre de la France, son alimentation de bonne qualité, on envisagera d’abord un syndrôme nécrolytique superficiel (syndrôme hépatocutané), une maladie autoimmune et un mycosis fongoïdes.
Examens complémentaires
Des calques montrent la présence de coques et de polynucléaires.
Cinq biopsies cutanées pratiquées sous anesthésie générale montrent le même aspect.
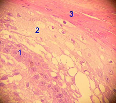
- Un épiderme hyperplasique avec une couche basale hyperbasophile (1)
- un œdème et une vacuolisation des kératinocytes dans la couche sous cornée (2)
- et une hyperkératose parakératosique (3).
Photo 10 : histologie de l’épiderme
Une exocytose transépidermique de cellules variées (lymphocytes, neutrophiles) est notée. Cet examen confirme l’hypothèse d’érythème nécrolytique migrant.
Diagnostic
Érythème nécrolytique migrant (ENM).
Mots Recherchés
érythème migrant, maladie de lyme, borréliose de lyme, borrelia burgdorferi, érythème migrant, tiques, sociétés savantes, mise à jour










