Auteurs :
Jean-Loup MATHET – Avril 2015
Clinique vétérinaire des glycines
45100 Orléans
Frédérique DEGORCE-RUBIALES* – Avril 2015
LAPVSO
129 Route de Blagnac
31201 Toulouse cedex 2
www.lapvso.com
Commémoratifs et anamnèse
Kassy, chienne stérilisée de 11 ans suivie pour insuffisance hépatique chronique est présentée à la consultation pour une apathie et perte de poids récentes, associées à des lésions croûteuses et des suintements des coussinets ainsi qu’un léchage important. Ses vaccinations sont à jour, les traitements antiparasitaires interne et externe sont correctement effectués. Par ailleurs elle a subi l’ablation d’un nodule fibro-hystiocytaire splénique et d’adénomes mammaires quelques années auparavant. Elle est également traitée pour maladie valvulaire dégénérative non décompensée.
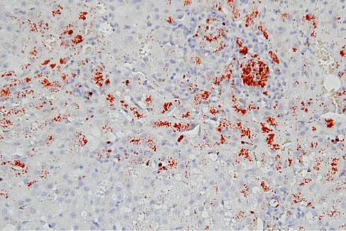
La pathologie hépatique a été diagnostiquée deux ans plus tôt (janvier 2011) lors d’un bilan d’exploration d’une polyuro-polydipsie. L’échographie ayant mis en évidence une hétérogénéité du parenchyme hépatique sans critères diagnostiques spécifiques, une laparotomie avait été réalisée en vue de biopsies. L’examen histologique avait alors montré une hépatite chronique active légérement fibrosante, associée à une surcharge cuprique modérée des zones centro-lobulaires (après coloration à la rhodanine) (photo).
La thérapeutique mise en place comportait une antibiothérapie (métronidazole 15 mg/kg 2 fois/jour FLAGYL®), de la D-penicillamine 15/mg/kg/j (TROLOVOL® 300mg), et de la S-adénosyl-L-méthionine et silymarine (ZENTONIL Advanced® 400mg). La pénicillamine était utilisée ici comme chélateur du cuivre, ainsi que pour ses effets anti-inflammatoire et anti-fibrotique (inhibition de la synthèse du collagène et induction de l’activité collagénase chez l’homme). Une alimentation protéique spécifique est également prescrite (L/D® HILL’S).
De janvier 2011 à juillet 2013 l’amélioration est sensible et l’état général est satisfaisant, les constantes biochimiques hépatiques sont modérément élevées. La chienne est maintenue avec le TROLOVOL®, le ZENTONIL® et l’aliment L/D® pendant ces 30 mois. En juillet 2013, elle nous est donc présentée pour léchage et inflammation podales.
Examen clinique
Kassy est un peu amaigrie, apathique et hyperthermique (40°C) ; la locomotion est difficile. A distance on observe une alopécie et des dépigmentations labiales, ainsi que des lésions érythémateuses suintantes quadripodales. L’examen rapproché montre une atteinte crouteuse, érosive et hyperkératosique concernant l’ensemble des coussinets, de la zone péri-anale, de la truffe, de certains points de pression (coudes) et des saillies osseuses. L’hyperkératose des coussinets est prononcée, laissant apparaître fissures et ulcérations. Une atteinte unguéale est présente, avec un périonyxis marqué par la présence de squames agglomérées masquant un pus épais. La manipulation des pieds est douloureuse, à l’origine de réactions de défense.
Une chéilite bilatérale suintante associée à des zones dépigmentées est également observée, ainsi que diverses zones focales serpigineuses ou annulaires croûteuses avec halo érythémateux. Elles sont réparties sur l’ensemble du pelage, en particulier sur l’abdomen.
Le bilan clinique est donc une dermatose subaiguë multifocale intéressant en particulier les quatre pieds, les jonctions cutanéo-muqueuses et les saillies osseuses, squamo-croûteuse, érosive, parfois ulcérative avec hyperkératose et fissuration des coussinets. Une atteinte sévère de l’état général est présente et s’accompagne de léchage et de douleur sévère des lésions podales.
Photo 1 : Lésions de l’anus
Photo 2 : Lésions labiales
Photos 3 à 6 : Lésions podales avec érosions, ulcères et croutes
Photo 7 : Lésions crouteuses sur le corps
Hypothèses diagnostiques
Dans le cas présent, l’origine hépatique est assez évidente puisque la chienne souffre d’une hépatite chronique cuprique. Néanmoins, une pyodermite profonde, une toxidermie, une dermatose répondant au zinc et un pemphigus foliacé doivent être envisagés, moins probablement une leishmaniose ou un lymphome cutané.
Examens complémentaires
Ils comportent un bilan hémato-biochimique, des raclages et cytologies, une sérologie quantitative leishmaniose par test rapide, de multiples biopsies cutanées pour histopathologie et une nouvelle échographie hépatique.
Le bilan hémato-biochimique révèle une anémie régénérative modérée associée à une thrombocytose ainsi qu’une augmentation des phosphatases alcalines (PAL) et des transaminases (ALAT). Les autres paramètres sont dans les valeurs usuelles.
Valeurs biochimiques
|
Paramètre |
Valeurs chez la chienne |
Valeurs usuelles |
|
Glycémie |
1,08 g/l |
0,6-1.1 g/l |
|
Urée |
0,209 g/l |
0,2-0.6 g/l |
|
Créatinine |
5,1 mg/l |
<15 mg/l |
|
TP |
61 g/l |
60-80 g/l |
|
Albumine |
29 g/l |
>27 g/l et > PT/2 |
|
Globulines |
32 g/l |
< albumine |
|
ALAT |
735 UI/l |
<100 |
|
PAL |
358 UI/l |
< 200 |
|
Calcémie |
94 mg/l |
90-110 mg/l |
Les raclages sont négatifs, ainsi que la sérologie quantitative leishmaniose. Les examens cytologiques montrent de rares images de phagocytose de cocci signant une infection bactérienne concomitante. L’échographie hépatique est toujours peu spécifique, avec hétérogénéité du parenchyme associant plages hypoéchogènes et hyperéchogènes, à un stade évolutif plus avancé mais sans l’aspect caractéristique en « nid d’abeille ».
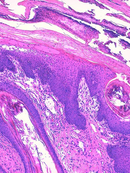
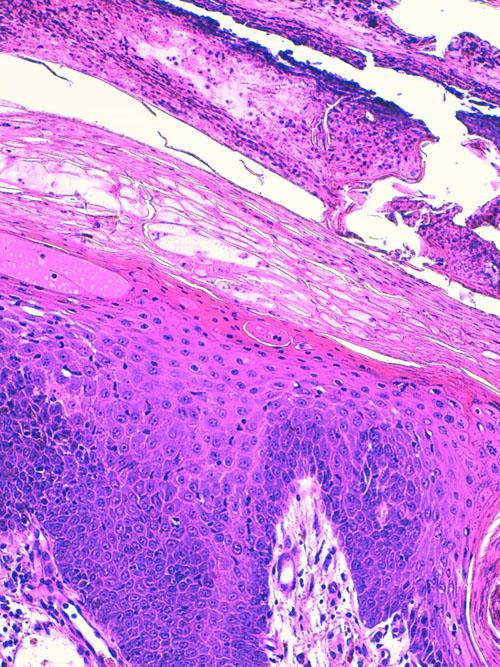
L’examen histologique (LAPVSO, Frédérique DEGORCE) décrit une hyperkératose parakératosique intense constituant une couche cornée épaisse et compacte. Des foyers d’acanthocytes vacuolisés et oedémateux sont présents avec scission de l’épiderme à leur niveau. Une exocytose transépidermique modérée de lymphocytes et neutrophiles est présente, sans images de satelllitose. Le derme est peu inflammatoire, oedémateux et congestionné. Sur certaines biopsies, les lésions ulcérées et vésico-pustuleuses prédominent au sein de la couche cornée. L’examen confirme l’hypothèse d’érythème nécrolytique migrant avec complication de pyodermite supeficielle impétiginée. (photos)
Photo 8 : Lésions histologiques hépatiques
Photos 9 et 10 : Lésions cutanées










