Septembre 2013
Auteurs :
Frédérique Degorce-Rubiales1 – CES de Dermatologie Vétérinaire, DESV d’Anatomie Pathologique Vétérinaire, Spécialiste en Anatomie Pathologique Vétérinaire
Pascal Prélaud2 – DMV, CES de Dermatologie Vétérinaire, DESV de Dermatologie vétérinaire, CES d’Immunologie Animale et Comparée, dU de statistiques appliquées à la recherche clinique, ECVD Diplomate
Thierry Rabot1 – DMV
1LAPVSO – 129 Route de Blagnac – 31201 Toulouse cedex 2 – www.lapvso.com
2Clinique vétérinaire Advetia – 5, Rue Dubrunfaut – 75012 Paris www.advetia.fr
3Clinique vétérinaire – 60, Rue Claude Decaen – 75012 Paris
Avertissement
Le cas clinique présenté est un cas de dermatopathologie, aussi l’anamnèse, l’examen clinique, l’examen dermatologique, les examens complémentaires réalisés et les données sur le traitement entrepris, se limiteront en grande partie,aux données présentes sur la feuille de commémoratifs reçue avec les prélèvements histologiques.
Commémoratifs
Une chienne, femelle castrée, Jack Russel Terrier, âgée de 5 ans est présentée à la consultation pour une dermatite péri-labiale croûteuse avec présence de fissures et de lésions squameuses de certains coussinets.

Photos 1 : Atteinte du pourtour labial, des coussinets carpiens
et des espaces interdigités des membres postérieurs.
Photo 2 : présence de squamo-croûtes épaisses et adhérentes
au pourtour labial
®Photo Dr P. Prélaud.
Photo 3 : aspect érythémateux, érosif et squamo-croûteux du pourtour labial
®Photo Dr P. Prélaud.
Photo 4 : plaque érythémato-croûteuse érosive à la jonction entre
la peau velue et le coussinet carpien d’un membre antérieur
®Photo Dr P. Prélaud.
Photo 5 : aspect érythémateux et squamo-croûteux des espaces interdigités
et du pourtour de certains coussinets digités d’un membre postérieur
®Photo Dr P. Prélaud.
Hypothèses diagnostiques
- Troubles de la cornéogenèse d’origine alimentaire (carence en zinc, generic dog food dermatosis)
- Pemphigus foliacé
- Erythème nécrolytique migrant
- Pyodermite
Examens complémentaires
- Non rapportés
- Biopsies cutanées sur pourtour labial, en zone interdigitée et à la jonction d’un coussinet carpien.
Examen histologique
Trois biopsies cutanées sont réalisées et examinées selon différents niveaux de section et après réaction au PAS. L’épiderme est le siège d’une d’une acanthose irrégulière d’intensité marquée intéressant également les infundibula folliculaires (Photo 6).
Les couches profondes de ces structures épithéliales sont spongiotiques (Photo 7). Les couches superficielles montrent une hyperkératose parakératosique diffuse souvent associée à une agranulose (Photo 7 & 8) et la formation de vésiculo-pustules stratifiées obstruant les pourtours ou les abouchements des follicules pileux (Photo 11).
On observe quelques cellules épithéliales isolées dyskératosiques sous-cornées (Photo 8).
Certaines lésions sont ulcérées ou excoriées. La gaine épithéliale externe des follicules pileux est nettement parakératosique (Photo 9 & 10). Dans le derme sous-jacent, on observe un infiltrat inflammatoire périvasculaire exsudatif polymorphe associant mastocytes, plasmocytes, lymphocytes et éosinophiles (Photo 6,7 &9). Absence d’élément figuré.
Conclusion de l’examen histologique : dermatite hyperplasique spongiotique caractérisée par une parakératose épidermique et folliculaire diffuse accompagnée d’une agranulose, d’une dermatite périvasculaire et compliquée de lésions de pyodermite superficielle.
Cet aspect lésionnel conduit en premier lieu à suspecter un trouble acquis de la cornéogenèse d’origine nutritionnelle : en priorité une dermatose répondant à l’administration de zinc.
Photo 6 (Hémalun Eosine X 40) : l’épiderme et les infundibula folliculaires sont
hyperplasiques et hyperkératosiques. L’épiderme apparaît focalement ulcéré et
parsemé de vésiculo-pustules neutrophiliques. Le derme montre une inflammation péri-vasculaire.
Légendes de la Photo 6 :
- Double flèche pointillée verte : couche cornée hyperkératosique
- Double flèche bleue : épiderme (portion non kératinisée)
- Double flèche noire : épiderme et infundibula folliculaires hyperplasiques
- Double flèche turquoise : derme
- Ronds marrons : tiges pilaires
- Flèches jaunes : croûtes séro-cellulaires comblant des ulcérations et exculcérations de l’épiderme
- Flèche orange : ulcération focale de l’épiderme
- Étoiles rouges vides : infiltrat inflammatoire dermique périvasculaire
- triangles turquoises : glandes sébacées
Photo 7 (Hémalun Eosine X 100) : l’épiderme et les infundibula folliculaires sont
hyperplasiques, montrent une spongiose et une parakératose diffuse. L’épiderme apparaît focalement
exulcéré et parsemé de vésiculo-pustules séro-cellulaires. Le derme montre une inflammation péri-vasculaire à infiltrat mixte.
Légendes de la Photo 7 :
- Double flèche bleue: épiderme
- Double flèche turquoise : derme
- Double flèche pointillée verte : parakératose épidermique diffuse
- Fléches zones : elles indiquent l’endroit où devrait se trouver la couche granuleuse, absente (agranulose épidermique)
- Ovales jaunes : zones de spongiose de l’épiderme (œdème interkératinocytaire)
- Étoiles rouges vides : infiltrat inflammatoire dermique périvasculaire mixte à prédominance mononucléée
Photo 8 (Hémalun-Eosine X200): l’épiderme est hyperplasique, spongiotique,
montre une parakératose diffuse sans couche granuleuse visible (agranulose).
Notez la présence d’un kératinocyte dyskératosique en position superficielle sous-cornée.
Légendes de la Photo 8 :
- Étoiles vertes : noyau des cornéocytes dans la couche cornée parakératosique
- Ovales jaunes : ils indiquent l’endroit où devrait se trouver la couche granuleuse, absente (agranulose épidermique) et soulignent le caractère continu de la parakératose épidermique
- Double flèche verte pointillée : épiderme (portion kératinisée parakératosique)
- Double flèche bleue : épiderme
- Têtes de flèches turquoises : spongiose épidermique (odème intercellulaire)
- Étoile rouge : kératinocyte dyskératosique en position sous-cornée
- Double flèche orange : derme
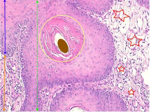
Photo 9 (Hémalun-Eosine X100) : les infundibula folliculaires présentent une
acanthose irrégulière marquée et une parakératose avec une couche granuleuse soit
absente soit peu visible. Le derme montre une inflammation péri-vasculaire exsudative à infiltrat mixte.
Légendes de la Photo 9 :
- Rond jaune : parakératose diffuse de la gaine épithéliale externe au niveau infundibulaire d’un follicule pileux
- Rond marron: tige pilaire
- Double flèche pointillée verte : gaine épithéliale externe folliculaire hyperplasique
- Double flèche bleue : épiderme
- Double flèche orange : derme
- Etroiles rouges : vaisseaux capillaires du derme dans une zone d’œdème et d’infiltrat inflammatoire mixte périvasculaire
Photo 10 (Hémalun-Eosine X200): la couche cornée de la gaine épithéliale externe
des follicules pileux est le siège d’une parakératose diffuse avec agranulose
et parfois discrète pâleur des kératinocytes sous-cornés.
Légendes de la Photo 10 :
- Flèches jaunes : elles indiquent l’endroit où devrait se trouver la couche granuleuse, absente (agranulose infundibulaire) et soulignent le caractère continu de la parakératose folliculaire
- Double flèche noire pointillée : parakératose folliculaire au niveau infundibulaire
- Double flèche pointillée rouge : zone de pâleur des kératinocytes sous-cornés de la gaine épithéliale folliculaire externe
- Rond marron : tige pilaire
Photo 11 (Hémalun Eosine X 200): l’épiderme est multifocalement
exulcéré et parsemé de vésiculo-pustules neutrophiliques.
Légendes de la Photo 11 :
- Ovales jaunes : vésiculo-pustules neutrophiliques pluriloculaires dans la couche cornée de l’épiderme
- Ovale rouge : zone de parakératose épidermique
- Triangles turquoises : ils indiquent l’endroit où devrait se trouver la couche granuleuse, absente (agranulose épidermique) et soulignent le caractère continu de la parakératose épidermique
- Double flèche violette : zone d’aspect vésiculeux séro-cellullaire de la couche cornée de l’épiderme
- Double flèche turquoise : épiderme (portion non kératinisée)
Discussion
- Les dermatoses répondant à l’administration de zinc ou répondant à un changement d’alimentation sont divisées en trois grands syndromes. Le syndrome I atteint les races nordiques Siberian Husky et Alaskan Malamute d’âge adulte, le syndrome II atteint des chiots à croissance rapide de toutes races et le syndrome III atteint des chiens de toutes races, jeunes ou adultes, qui consomment des aliments de mauvaise qualité (syndrome des aliments génériques ou Generic DogFood Disease). Certains auteurs (5) ne distinguent plus ce troisième syndrome et le regroupent avec le syndrome II.
- Pourtant histologiquement, il semble que les lésions puissent se répartir en deux tableaux lésionnels disctincts :
- Le tableau lésionnel microscopique du syndrome I, classique des races nordiques, dominé par une parakératose diffuse de l’épiderme et des infundibula folliculaires, une spongiose épidermique et infundibulaire, de rares kératinocytes dyskératosiques isolés dans les couches superficielles de l’épiderme et une dermatite périvasculaire. Ces lésions peuvent également s’observer chez des sujets d’autres races que nordiques, principalement chez les jeunes individus (probablement syndrome II). C’est ce tableau lésionnel qui vient d’être illustré ci-dessus.
- Le deuxième tableau lésionnel a été illustré précédemment (cas histopath précédent : un cas de trouble de la cornéogenèse acquis d’origine alimentaire chez un chien I) les lésions regroupent une papillomatose multifocale de l’épiderme avec une parakératose au sommet des papilles et un infiltrat lymphocytaire d’interface. Ce tableau lésionnel semble plutôt correspondre au syndrome III, s’observant chez des sujets de toutes races, jeunes ou adultes. Parfois chez certains individus, le tableau lésionnel semblent intermédiaire entre ces deux tableaux lésionnels.
- Le calcium, le phosphore et le magnésium peuvent interférer avec l’absorption du zinc. Les aliments riches en céréales ou en leurs dérivés peuvent contenir des quantités excessives de phytates susceptibles de former avec le zinc des complexes, empêchant son absorption. Ce risque augmenterait avec la richesse en calcium de l’aliment.
- Il existe aussi une interaction entre le métabolisme du zinc et celui des acides gras essentiels. Aussi, les aliments riches en minéraux ou un aliment équilibré mais supplémenté par un apport excessif de minéraux, les aliments riches en phytates, de faible digestibilité, et/ou pauvres en graisses totales et en acides gras essentiels constituent des facteurs de risque significatifs de développement de ces dermatoses améliorées par un changement d’alimentation (syndrome II et Generic Dog Food Disease). En revanche, dans le syndrome I, les animaux présentent un défaut d’absorption intestinale du zinc et reçoivent le plus souvent une ration équilibrée. La dermatose répond alors en général à une administration de zinc et/ou à une thérapeutique visant à augmenter son absorption intestinale ou sa biodisponibilité.
Bibliographie
- Sousa, C.A., Stannard, A.A., Ihrke, P.J., Reinke, S.I., Schmeitzel, L.P. Dermatosis associated with feeding generic dog food: 13 cases (1981-82). Journal of the American Veterinary Medical Association 1988; 192: 676-80.
- Willemse, T. Zinc-related cutaneous disorders of dogs. In: Kirk, R.W., Bonagura, J.D. eds. Kirk’s Current Veterinary Therapy XI, Philadelphia: W.B. Saunders, 1992: 532-4.
- Gross, T.L., Ihrke, P.J., Walder, E.L. Veterinary Dermatopathology. St. Louis: Mosby Yearbook, 1992:102 -8.
- White S.D., Bourdeau P., Rosychuk R.A.W., Cohen B., Bonenberger T., Fieseler K.V., Ihrke P., Chapman P.L., Schultheiss P., Zur G., Cannon A. and Outerbridge C.: Zinc-responsive dermatosis in dogs: 41 cases and literature review (pages 101–109) Veterinary Dermatology 2001, 12, 101-109
- Muller and Kirk’s Small Animal Dermatology, 7th edition, WH Miller, CE Griffin & KL Campbell, Elsevier Inc, 2013, 685-694.
- Delaunay O. : Rôle de l’alimentation dans l’apparition ou l’amélioratiion de dermatoses chez le chien. Thèse pour le Doctorat vétérinaire, ENVA, Faculté de Médecine de Créteil, 2012, 52-54.
















