Un cas de toxidermie chez un Bichon


eric-florantAuteurs : Jean-Loup MATHET
Clinique vétérinaire des glycines
45100 Orléans

Et

Frédérique Degorce Rubiales 
Laboratoire d’Anatomie Pathologique
Vétérinaire du Sud Ouest (L.A.P.V.S.O.)


Un chien bichon âgé de 14 ans, de 8kg, est présenté pour des lésions partiellement circulaires, érythémateuses, au niveau abdominal, apparues pendant le traitement d’une folliculite bactérienne. Il est vacciné annuellement contre la maladie de Carré, l’hépatite de Rubarth, la parvovirose, la leptospirose, la toux de chenil et la rage. Les traitements antiparasitaires internes et externes sont effectués régulièrement (fipronil spot-on FRONTLINE®, et milbémycine MILBEMAX®). Il vit en milieu urbain, sans congénères, et reçoit un aliment industriel sec de qualité.

Les principaux antécédents non dermatologiques sont chirurgicaux: une hernie périnéale opérée et réduite 3 ans auparavant, et une luxation de rotule traitée par trochéoplastie et transposition tibiale. Les antibiopréventions et les antibiothérapies post-chirugicales ont été réalisées avec une céfalexine, sans réactions indésirables rapportées. Les seuls commémoratifs dermatologiques sont, à 5 ans, un épisode d’otite infectieuse à Malassezia traité avec un nettoyant et un topique auriculaire et à l’âge de 6 ans, une blépharite infectieuse bilatérale, sans cause sous-jacente, ayant répondu à une antibiothérapie topique (pommade à la néomycine). Aucun autre trouble cutané n’est décrit depuis.

Trois semaines auparavant, le chien est présenté à un vétérinaire de la clinique pour une éruption papulo-pustuleuse centré sur les follicules pileux, répartie sur l’abdomen et les plis inguinaux, d’apparition récente, sans autre atteinte lésionnelle. Les raclages et le trichogramme ne montrent aucune anomalie. Un examen cytologique du contenu d’une pustule met en évidence de nombreuses images de phagocytose bactérienne (cocci) et des neutrophiles dégénérés. Il s’agit d’une folliculite bactérienne. Le traitement comporte une antibiothérapie orale de trois semaines initialement (céfalexine, 15mg/kg/j, en 2 prises quotidiennes) et une antisepsie topique par lingettes à la chlorhexidine.

Après 15 jours, les papules et les pustules cicatrisent correctement, par contre de nouvelles lésions érythémateuses annulaires, apparaissent au niveau abdominal. L’extension est rapide, ce qui conduit la propriétaire à devancer le contrôle et à remontrer en urgence son animal. Le confrère interrompt alors l’antibiothérapie orale et ne maintient que la désinfection locale dans l’attente d’un avis complémentaire dermatologique.

Lorsque nous voyons le chien en suivi quelques jours après, la propriétaire rapporte une amélioration partielle. A distance, aucune lésion n’est observable excepté lorsque l’animal est tenu en position levée sur ses postérieurs. On distingue des plages arciformes, érosives ou ulcératives, réparties sur l’abdomen et manifestement en-cours de cicatrisation (photo 1). L’examen rapproché met en évidence des macules coalescentes, et des lésions marginées, bien délimitées, évoquant parfois des cibles ou cocardes, érythémateuses, à bords un peu surélevés (Photo 2 et 3). Aucun prurit ni signe de douleur (léchage) ne sont rapportés.

cas-de-toxidermie-chez-bichon1Photo 1 : Lésions érythémateuses, érosives ou ulcératives,
arciformes ou parfois annulaires, abdominales

cas-de-toxidermie-chez-bichon2

cas-de-toxidermie-chez-bichon3Photos 2 et 3 : Vue rapprochée, la périphérie de certaines lésions est marginée,
à bords légèrement surélevés, persistance de papulo-croûtes
et de collerettes épidermiques

La distribution des lésions est focale, groupés sur les zones glabres de l’abdomen, alors que quelques papulo-croûtes et des collerettes épidermiques sont encore visibles vers le thorax ventral et les plis inguinaux. Les jonctions cutanéo-muqueuses ne sont pas atteintes.

Aucune atteinte de l’état général n’est notée, il n’y a pas de syndrome fébrile, et l’animal est en bonne forme sur les dernières semaines.

Le bilan clinique est donc une dermatose aiguë inflammatoire, non prurigineuse, caractérisée par des éléments érythémateux polycycliques, coalescents, érosifs ou ulcératifs, à répartition serpigineuse, localisés en région abdominale glabre, sans atteinte muqueuse et sans signes systémiques. Des séquelles papuleuses et croûteuses d’une folliculite bactérienne persistent également sur l’abdomen.

Le diagnostic différentiel, vu l’anamnèse, évoque en priorité une réaction médicamenteuse suite à l’antibiothérapie (céfalexine) mais une complication de la pyodermite superficielle initiale à présentation clinique atypique ne peut être exclue, voire une dermatophytie.

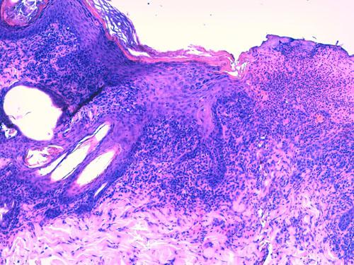
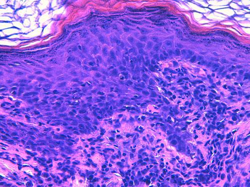
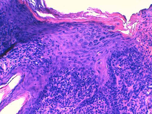
Des biopsies cutanées sont réalisées, et aucune autre antibiothérapie complémentaire n’est débutée dans l’attente des résultats. L’examen histopathologique révèle, des corps apoptotiques (kératinocytes nécrosés) sont observés au sein des couches épidermiques et dans la gaine folliculaire externe pilaire (photos 4 et 5). Des images de satellitose lymphocytaire sont présentes autour d’eux ainsi qu’une vacuolisation hydropique sous-épidermique multifocale (Photo 6). Par ailleurs, il est observé une dermatite d’interface lichénoïde marquée avec lymphocytes, de plus rares plasmocytes, des cellules présentatrices d’antigènes et des mélanophages (discrète incontinence pigmentaire) (Photo 7). Cet infiltrat lichénoïde forme également des manchons péri-annexiels. Le cycle pilaire est normal, et aucun élément figuré parasitaire ou fongique n’est noté.

cas-de-toxidermie-chez-bichon4
cas-de-toxidermie-chez-bichon5Photo 4 et 5 : (HE*400, vue rapprochée) : 3 corps apoptotiques (kératinocytes nécrosés)
au sein des couches épidermiques, image de satellitose, infiltrat lichénoïde marqué

cas-de-toxidermie-chez-bichon6Photo 6 : (HE*200) : vacuolisation hydropique sous-épidermique
multifocale (fléche), infiltrat lymphocytaire

cas-de-toxidermie-chez-bichon7Photo 7 : (HE*100) : infiltrat lichénoïde marqué
formant des manchons péri-annexiels

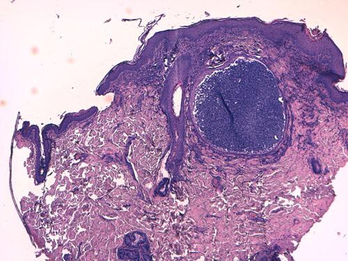
Une autre biopsie montre une folliculite luminale avec des polynucléaires neutrophiles altérés mais là-encore sans éléments figurés : il s’agit ici de lésions de pyodermite multifocale superficielle (Photo 8).

cas-de-toxidermie-chez-bichon8

Photo 8 : Foyer de pyodermite (folliculite luminale)

En conclusion, l’histopathologie met en évidence un patron réactionnel associant apoptose kératinocytaire avec satellitose lymphocytaire, dermatite d’interface à infiltrat lichénoïde, et séquelles de folliculite luminale. Un processus à médiation immune est probable, lié en particulier à réponse immune cellulaire dirigée contre des antigènes de surface des kératinocytes. Une toxidermie médicamenteuse est l’hypothèse la plus probable mais doit être discutée au regard de la sémiologie, de l’évolution clinique et de l’état général de l’animal au moment des prélèvements.

SI VOUS ETES VETERINAIRE : Pour lire la suite de cet article, veuillez vous enregistrer en haut à droite. Merci
Retour en haut