Auteur : Marie-Christine Cadiergues
The RoyalVeterinaryCollege, Queen MotherHospital,
Hatfield AL97TA, United Kingdom.
École Nationale Vétérinaire
31076 Toulouse cedex 3
France.
Identification
Dingo est un chien mâle, non castré, de race type labrit âgé de 13 ans.
2. Motif de consultation
Il est référé mi-février 2002 à la consultation de dermatologie de l’Ecole Nationale Vétérinaire de Toulouse en raison d’une alopécie extensive non prurigineuse sévissant depuis près de 2 ans.
Commémoratifs
Dingo a été adopté à l’âge de 3-4 ans. Depuis, il vit dans une villa avec jardin à une dizaine de kilomètres à l’est de Gaillac (81–Tarn) en compagnie de deux chats ainsi que des poules. Il couche à l’intérieur, dans le salon sur une couverture ; la fraction de temps passé à l’extérieur est estimée à 50%. Son alimentation est strictement industrielle, composée d’un mélange d’aliment sec et d’aliment humide distribués selon les recommandations du fabricant en deux repas quotidiens.
Le chien est correctement vacciné contre la maladie de Carré, l’hépatite de Rubarth, la parvovirose, la leptospirose et la rage. La lutte contre les puces est effectuée de façon irrégulière, le dernier traitement a été réalisé en septembre (Frontline® spray pompe). Aucune affection particulière n’est signalée.
Anamnèse
Début 2000, des dépilations apparaissent sur les flancs et le dos. Aucun prurit n’est signalé. En janvier 2001, le taux basal de thyroxine totale est de 22 nmol/l (valeurs usuelles : 25-50 nmol/l) ; un complément alimentaire à base d’acides gras essentiels et de vitamine E (Viacutan®) est alors prescrit et un nouveau contrôle est proposé 6 mois plus tard. En mars 2001, un prélèvement cutané est effectué en vue d’un examen histopathologique qui montre :
- Un épiderme faiblement hyperplasique avec une hyperkératose orthokératosique des follicules pileux primaires et parfois des secondaires avec une allure dysplasique de l’infundibulum folliculaire et ébauche de « pieds de sorcière »
- Des follicules pileux primaires et secondaires en majorité en phase télogène et catagène, parfois de taille réduite
- Des glandes sudorales apocrines dilatées, rétentionnelles
- Des glandes sébacées normalement représentées
- Un derme non inflammatoire
Cet examen histo-pathologique était compatible en première intention avec une alopécie récurrente des flancs.
En septembre 2001, une exploration cortico-surrénalienne montre des valeurs normales, tandis que l’exploration thyroïdienne montre des valeurs faibles (T4 libre : basale : 10 pmol/l, valeur la plus forte : 18 pmol/l). Une supplémentation en hormones thyroïdiennes est alors prescrite. L’absence de résultats après deux mois de traitement amène le confrère à référer ce cas.
Examen clinique général
L’animal, très calme lors de la consultation, est en bon état d’entretien, son poids est de 23 kg, sa température rectale est de 37°2, sa fréquence cardiaque de 100 battements par minute. L’examen général ne révèle aucune anomalie hormis une adénomégalie préscapulaire bilatérale et une induration du testicule gauche sans variation de volume. On note également une ptose du pénis ainsi qu’une gynécomastie modérée. La propriétaire signale une incontinence passagère ainsi qu’un changement de comportement : depuis quelques mois, le chien semble attirer d’autres mâles.
Examen clinique dermatologique
A distance, le chien présente une alopécie extensive sur le tronc et l’abdomen (photo 1). Des macules hyperpigmentées sont visibles sur une peau érythémateuse.
Photo 1
L’examen rapproché montre une peau lisse, érythèmateuse avec présence de macules hyperpigmentées et de macules dépigmentées (photos 2 & 3). Lors de l’examen de la zone abdominale, nous notons la présence d’une dermatite linéaire prépuciale (photo 4). Des macules hyperpigmentées sont également visibles, notamment sur le scrotum.
Photo 2
Photo 3
Photo 4
Synthèse clinique
Chien mâle non castré, croisé B. des Pyrénées de 13 ans, en bon état d’entretien, présentant depuis 2 ans une dermatose peu évolutive, non prurigineuse, alopécique n’ayant pas répondu à l’administration durant 2 mois d’hormones thyroïdiennes. Depuis quelques mois, le chien semble attirer les chiens mâles.
L’examen clinique général révèle une induration du testicule gauche associée à une gynécomastie modérée.
La répartition des lésions est tronculaire. Les lésions sont alopéciques, érythémateuses avec présence de macules hyperpigmentées et dépigmentées ainsi qu’une dermatite linéaire prépuciale érythémateuse. L’épaisseur de la peau n’est pas modifiée.
Hypothèses diagnostiques
Les éléments recueillis lors de l’interrogatoire du propriétaire et de l’examen clinique (âge, induration testiculaire, attirance des mâles, gynécomastie, répartition lésionnelle, dermatite linéaire prépuciale, macules hyperpigmentées) nous conduisent à suspecter un syndrôme de féminisation provoqué par le développement d’une tumeur testiculaire. Le diagnostic différentiel comporte une hypothyroïdie et l’alopécie X.
Examens complémentaires
Les analyses biochimiques plasmatiques révèlent des concentrations de progestérone de 2,5 nmol/l (v.u. inférieures au seuil de détection), d’œstradiol de 28 pmol/l (v.u. inférieures au seuil de détection) et de testostérone inférieure à 0,3 nmol/l (v.u. : 10-30 nmol/l).
L’hémogramme est normal, l’analyse urinaire montre une légère protéinurie.
L’examen échographique des testicules montre une zone hyper-échogène de 2 cm de diamètre environ au niveau du testicule gauche, aucune anomalie n’est détectée à droite ni dans la zone lombo-aortique.
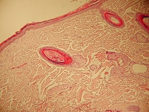
Les biopsies cutanées effectuées à l’aide d’un biopsy-punch au niveau des lésions du thorax et de l’abdomen, (photo 5) montrent une dermatose atrophique avec :
Une hypermélanose épidermique, avec un épiderme d’épaisseur normale, voire parfois discrètement acanthosique,
Une kératose infundibulaire,
Une atrophie sévère de la partie profonde des follicules, avec sclérohyalinose de la gaine pilaire,
Des glandes sébacées de taille normale,
Absence d’atrophie notable du derme, dans son ensemble,
Absence d’éléments pathogènes figurés, y compris après examen au PAS.
Photo 5
Le diagnostic lésionnel est donc celui d’une dermatose atrophique avec hypermélanose épidermique, atrophie sévère de la partie profonde des follicules et épaisseur relativement normale de l’épiderme et du derme. Ce tableau histopathologique est compatible avec une dysendocrinie et, en premier lieu, avec un dysmétabolisme des hormones sexuelles.
Diagnostic
Les examens complémentaires confirment l’hypothèse clinique de syndrome de féminisation probablement en relation avec une tumeur sécrétante des cellules de Sertoli.
Traitement
La castration bilatérale est proposée et réalisée sans délai.
Évolution
L’examen histopathologique des deux testicules révèle :
- Testicule droit : architecture testiculaire d’ensemble conservée mais hypoplasie germinale importante avec déshabitation de nombreux tubes. Hypoplasie leydigienne marquée.
- Testicule gauche: néoformation testiculaire intratubaire, multifocale à cohalescente, dense en cellules. L’anisocaryose est moyenne à marquée, les figures de mitoses sont rares. Absence d’images d’embolisation ou d’effraction vasculaire sur les plans de sections observés.
La conclusion est donc un sertolinome intratubaire unilatéral.
L’animal est revu un an plus tard. La repousse pilaire est totale.
Photo 6
Discussion
Le syndrome de féminisation du mâle représente la dysendocrinie d’origine sexuelle la plus fréquente chez le chien. Ce syndrome résulte soit de l’augmentation de production œstrogénique par les cellules testiculaires néoplasiques, soit par une augmentation de la conversion de la testostérone et de l’androstènedione en œstrogène par les cellules testiculaires ou des tissus périphériques ou enfin d’un déséquilibre hormonal provenant de la diminution de production de testostérone alors que la production œstrogénique est normale. L’augmentation de la concentration plasmatique en œstrogènes n’est pas toujours détectable y compris dans certains cas de tumeurs des cellules de Sertoli.
Les sertolinomes sont les tumeurs les plus fréquemment associées au syndrome de féminisation du mâle bien que des séminomes ou des tumeurs des cellules interstitielles puissent également en être à l’origine. Selon les auteurs, de 25 à 40 % des chiens atteints d’un sertolinome développent un syndrome de féminisation. Lorsque la tumeur se développe au sein d’un testicule en position extra-scrotale, ce pourcentage augmente nettement : ainsi 70% des tumeurs des testicules intra-abdominaux sont associées à un syndrome de féminisation alors que ce pourcentage est de 50% pour des testicules en position inguinale et seulement 20% pour des testicules en position scrotale.
Les chiens de race Boxer, Shetland, Braque de Weimar, Cairn Terrier, Pékinois et Colley semblent prédisposées.
Les symptômes génitaux sont caractérisés par une gynécomastie, une éventuelle galactorrhée, une modification du comportement sexuel avec attirance des mâles, miction en position accroupie. D’autres signes généraux, parfois graves, peuvent être relevés, ils sont en relation avec la sécrétion excessive d’œstrogènes à l’origine d’une aplasie médullaire et sont la traduction d’une anémie, d’une trombocytopénie ou éventuellement d’une pancytopénie : apathie, fatigabilité, dysorexie, pâleur des muqueuses, hémorragies, vomissements.
L’atteinte cutanée n’est pas toujours présente, elle n’est pas nécessairement précoce. Cliniquement, le chien peut présenter une dermatose alopécique, symétrique, non prurigineuse, débutant à la face postérieure des cuisses, au niveau du périnée et s’étendant ensuite sur les flancs, l’abdomen et le thorax. L’alopécie est soit complète soit diffuse avec un pelage sec, cassant parfois décoloré. Une dermatose linéaire prépuciale caractérisée par une ligne érythémateuse allant depuis le scrotum jusqu’à l’entrée du fourreau doit être systématiquement recherchée : elle est rarement présente mais elle est très évocatrice de ce syndrome. Des macules hyperpigmentées sont fréquemment décrites.
Le diagnostic du syndrome de féminisation du mâle est basé sur les signes cliniques en présence d’un testicule tumoral, le plus souvent cryptorchide.
Le diagnostic différentiel doit être effectué avec les autres dysendocrinies.
La suspicion est confortée par le dosage des hormones sexuelles qui montre souvent une augmentation des concentrations plasmatiques d’œstradiol et de progestérone associées à une hypotestostéronémie. L’hémogramme est indispensable pour évaluer l’atteinte médullaire et doit être complété par un myélogramme s’il révèle des anomalies.
Le bilan d’extension doit être réalisé de manière systématique en recherchant d’éventuelles métastases (environ 10% des cas) dans les nœuds lymphatiques lombo-aortiques. L’examen histopathologique cutané n’apporte pas de renseignements utiles au diagnostic.
Le pronostic est bon en l’absence d’aplasie médullaire et de métastases, sinon il doit être réservé.
Le traitement repose sur la castration bilatérale par exérèse chirurgicale des testicules. Lors d’aplasie médullaire, la conduite thérapeutique doit permettre en priorité de lutter contre l’anémie, les hémorragies et les infections. La castration n’est possible que lorsque l’animal est stabilisé.
En l’absence de métastases, la repousse pilaire débute 4 à 6 semaines plus tard. La stimulation médullaire peut être tentée avec du carbonate de lithium (11 mg/kg q. 12h, p.o.) durant 5 à 6 semaines. Les effets secondaires potentiels sont des nausées, tremblements, troubles de l’équilibre. L’amélioration est alors progressive en 4 mois.
Pour en savoir plus
- Cowgill, L. D. (1992). “Pathophysiology and management of anemia in chronic progressive renal failure.” Semin Vet Med Surg (Small Anim) 7(3): 175-82.
- Fadok, V. A., C. D. Lothrop, Jr., et al. (1986). “Hyperprogesteronemia associated with Sertoli cell tumor and alopecia in a dog.” J Am Vet Med Assoc 188(9): 1058-9.
- Hall, E. J. (1992). “Use of lithium for treatment of estrogen-induced bone marrow hypoplasia in a dog.” J Am Vet Med Assoc 200(6): 814-6.
- Nieto, J. M., M. Pizarro, et al. (1989). “Canine testicular tumors in descended and cryptorchid testes.” Dtsch Tierarztl Wochenschr 96(4): 186-9.
- Nuttall, T. (1998). “What is your diagnosis? Sertoli cell tumor.” J Small Anim Pract 39(11): 509, 546.
- Peters, M. A., K. J. Teerds, et al. (2001). “Use of antibodies against LH receptor, 3beta-hydroxysteroid dehydrogenase and vimentin to characterize different types of testicular tumour in dogs.” Reproduction 121(2): 287-96.
- Romagnoli, S. E. (1991). “Canine cryptorchidism.” Vet Clin North Am Small Anim Pract 21(3): 533-44.
- Sanpera, N., N. Masot, et al. (2002). “Oestrogen-induced bone marrow aplasia in a dog with a Sertoli cell tumour.” J Small Anim Pract 43(8): 365-9.
- Spugnini, E. P., A. Bartolazzi, et al. (2000). “Seminoma with cutaneous metastases in a dog.” J Am Anim Hosp Assoc 36(3): 253-6.
- Suess, R. P., Jr., S. C. Barr, et al. (1992). “Bone marrow hypoplasia in a feminized dog with an interstitial cell tumor.” J Am Vet Med Assoc 200(9): 1346-8.
- Takiguchi, M., T. Iida, et al. (2001). “Malignant seminoma with systemic metastases in a dog.” J Small Anim Pract 42(7): 360-2.






