Janvier 2013
Auteurs :
Frédérique Degorce-Rubiales1 – CES de Dermatologie Vétérinaire, DESV d’Anatomie Pathologique Vétérinaire, Spécialiste en Anatomie Pathologique Vétérinaire
Agnès Poujade1 – DESV d’Anatomie Pathologique Vétérinaire, Spécialiste en Anatomie Pathologique Vétérinaire
1LAPVSO – 129 Route de Blagnac – 31201 Toulouse cedex 2 – www.lapvso.com
Avertissement
Le cas clinique présenté est un cas de dermatopathologie, aussi l’anamnèse, l’examen clinique, l’examen dermatologique, les examens complémentaires réalisés et les données sur le traitement entrepris, se limiteront aux données présentes sur la feuille de commémoratifs reçue avec les prélèvements histologiques.
Commémoratifs
Un chien courant, âgé de 3 ans, est présenté à la consultation pour une pododermatite quadripodale, avec alternance, en face palmaire et plantaire, de zones de fissuration et perte de la couche cornée et de zones d’épaississement de la couche cornée. La peau velue autour de coussinets présente une alopécie, un érythème et un aspect suintant. Les lésions sont prurigineuses. Les congénères partageant les mêmes chenil et cour sont atteints de façon similaire. L’animal ne présente ni diarrhée ni symptômes respiratoires.
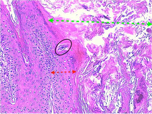
Examen histologique
Des biopsies cutanées sont réalisées sur les zones de peau velue alopécique et érythémateuse ainsi que sur les coussinets.
On observe une hyperplasie de l’épiderme et de la gaine épithéliale folliculaire externe en région infundibulaire, hyperplasie irrégulière associée à une alternance d’ortho et de parakératose. Les abouchements folliculaires sont dilatés, obstrués d’un matériel kératosique et pustulo-croûteux, les pustules étant riches en éosinophiles (Photo 1,2,3,4,5,6). On peut observer, au sein de l’épiderme et des abouchements folliculaires, des lésions pustuleuses dessinant de petits trajets entourés de structures épithéliales fissurées avec rupture des desmosomes intercellulaires avec un aspect focalement nécrolytique (Photo 4,7,8,9,10,11,12).
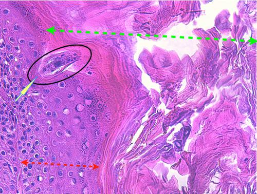
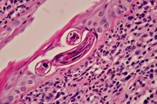
Dans le derme, on note des lésions très exsudatives et inflammatoires centrées sur les annexes folliculaires et sudorales. Il s’agit de remaniements inflammatoires à forte prédominance éosinophile avec en général obstruction des lumières annexielles par l’infiltrat (Photo 13,14,15). Ici et là, sur certaines coupes, notamment sur la réaction au PAS, on observe de petits éléments vermiformes, ronds, cylindriques non segmentés, à cuticule lisse, intraluminaux ou intra-pariétaux au sein des follicules pileux (Photo 16,17,18,19,20,21,22,23) ou des glandes sudorales apocrines épitrichiales (Photo 24 & 25), évoquant des helminthes.
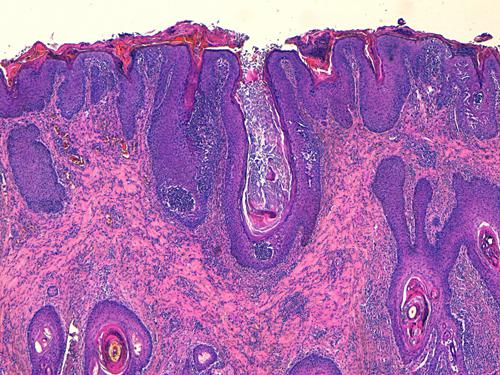
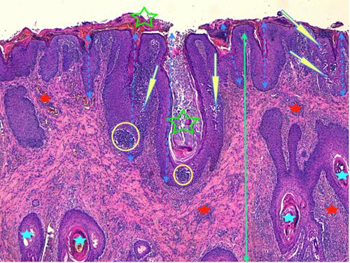
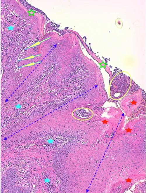
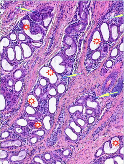
Aspect histologique d’une dermatite pustulo-croûteuse, avec de sévères lésions de folliculite, de furonculose etd’hidrosadénite, à forte composante éosinophilique, avec présence d’éléments vermiformes en situation intra-folliculaire ou intra-sudorale.

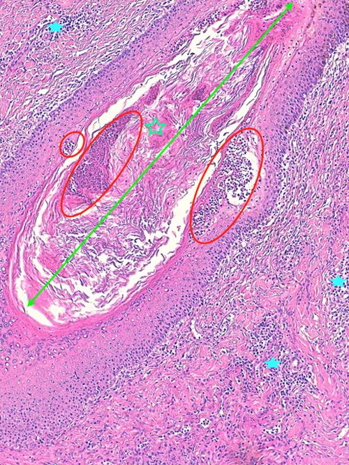
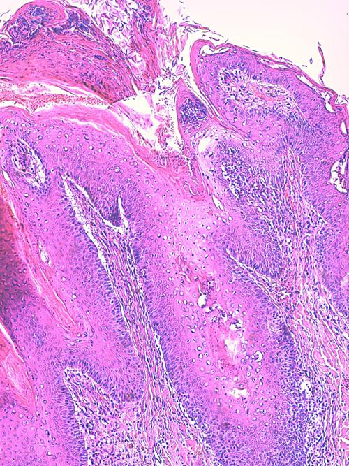
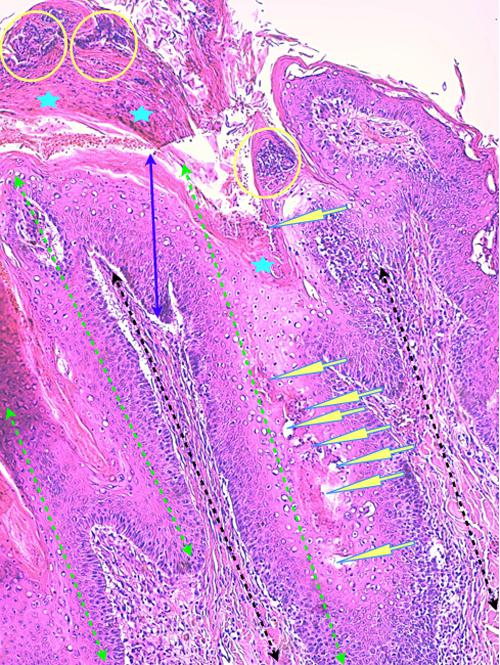
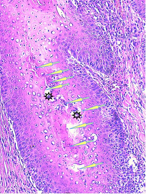
Photo 1 (Hémalun Eosine X 40) peau velue: L’épiderme et les infundibula folliculaires
sont hyperplasiques et hyperkératosiques. Les infundibula folliculaires sont le siège de pustules luminales et
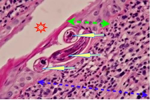
pariétales, avec des fissurations linéaires parallèles au grand axe des follicules.
Le derme montre un inflammation péri-vasculaire et folliculo-centrée à diffuse.
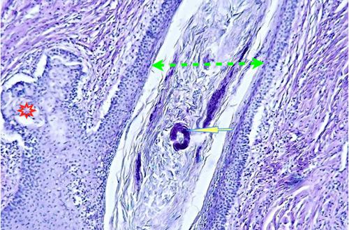
Légendes de la Photo 1 :
- Double flèche bleue pointillée : grand axe des infundibula folliculaires à gaine épithéliale hyperplasique
- Double flèche verte : derme
- Ovales jaunes : pustules dans la paroi des follicules pileux
- Flèches jaunes : fissures linéaires dans la paroi des follicules pileux qui sont parallèles au grand axe des infundibula folliculaires
- Étoiles vertes évidées : lumière d’un follicule pileux hyperkératosique occupée par de la kératine et couche cornée hyperkératosique
- Étoiles rouges pleines : infiltrat dermique périvasculaire, périannexiel à diffus
- Étoiles turquoises pleines : lumière de follicules pileux obstruée de débris inflammatoires
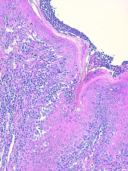
Photo 2 (Hémalun Eosine X 100) peau velue : Vue rapprochée de la Photo 1,
sur un infundibulum folliculaire criblé de pustules pariétales microloculaires.
On note une hyperkératose orthokératosique de l’infundibulum adjacent.
Légendes de la Photo 2 :
- Double flèche bleue pointillée : grand axe des infundibula folliculaires
- Double flèche verte : derme
- Étoiles rouges pleines : erreur (!)
- Ovales jaunes : pustules folliculaires pariétales (folliculite murale)
- Étoiles vertes évidées : lumière des follicules pileux, à gauche parakératosique, à droite orthokératosique
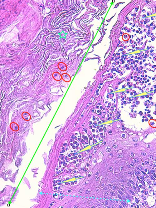
Photo 3 (Hémalun-Eosine X100) peau velue : Les infundibula folliculaires sont le siège d’une acanthose irrégulière et d’une hyperkératose (avec alternance d’ortho et de parakératose). Leur abouchement est souvent obstrué d’un matériel pustuleux. Leur gaine épithéliale externe présente des lignes de fissuration et de lyse des attaches desmosomiales des cellules épithéliales, dans lesquelles s’immiscent des granulocytes.
Légendes de la Photo 3 :
- Double flèche bleue pointillée : grand axe des infundibula folliculaires
- Ovales jaunes : pustules obstruant l’ostium ou l’infundibulum
- Flèches jaunes : fissuration linéaire dans la gaine épithélilae externe d’un follicule parallèle au grand axe de l’infundibulum
- Étoiles vertes évidées : hyperkératose orthokératosique
- Étoiles rouges pleines : hyperkératose parakératosique
- Étoiles turquoises pleines : infiltrat inflammatoire dermique périvasculaire à diffus
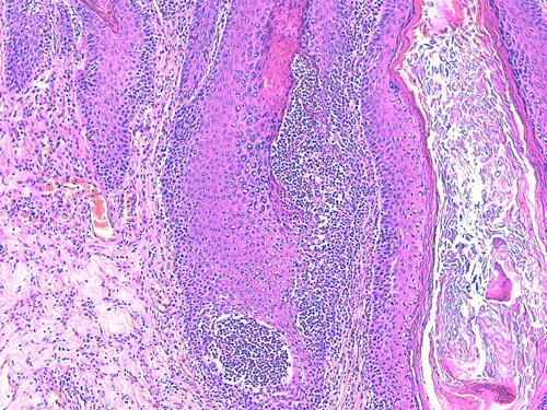
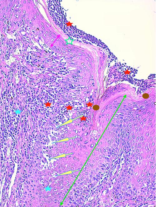
Photo 4 (Hémalun-Eosine X200) peau velue : Vue rapprochée de la Photo 3 montrant
la zone de fissuration de la gaine épithéliale externe d’un infundibula folliculaire avec lyse des
attaches desmosomiales intercellulaires et afflux de granulocytes éosinophiles donnant
naissance à des micro-pustules pariétales multiloculaires.
Légendes de la Photo 4 :
- Double flèche verte : grand axe de l’infundibulum folliculaire
- Double flèche rose : épiderme
- Flèches jaunes : fissuration de la gaine épithéliale externe avec lyse des attaches desmosomiales intercellulaires et afflux de granulocytes éosinophiles
- Ronds marrons : parakératose
- Étoiles rouges : micro-pustules pariétales multiloculaires (folliculite murale) et luminales obstruant l’abouchement folliculaire
- Étoiles turquoises : à gauche infiltrat inflammatoire dermique (au milieu en bas, erreur)
- Étoile vertes : orthokératose
Photo 5 (Hémalun-Eosine X100) peau velue : Les infundibula folliculaires peuvent contenir
dans leur lumière, obstruée de kératine, des granulocytes, mais c’est surtout leur gaine épithéliale
externe qui est le siège de micro-pustules multiloculaires.
Légendes de la Photo 5 :
- Double flèche verte : lumière de l’infundibulum folliculaire
- Étoiles turquoises : infiltrat inflammatoire dermique périannexiel
- Étoile verte : kératine intra-folliculaire
- Ronds rouges : pustules folliculaires luminales et parétales (folliculite murale et luminale)
Photo 6 (Hémalun Eosine X 200) peau velue : Vue rapprochée de la Photo 5 montrant
une gaine épéithéliale folliculaire externe criblée de micro-pustules éosinophiliques multiloculaires.
Légendes de la Photo 6 :
- Étoile verte : kératine dans la lumière folliculaire infundibulaire
- Ronds rouges : granulocytes éosinophiles dans la paroi ou dans la lumière folliculaire
- Double flèche verte : lumière et grand axe de l’infundibulum folliculaire
- Double flèche pointillée turquoise : gaine épithéliale folliculaire externe (paroi de l’infundibulum)
- Flèches jaunes : micro-pustules éosinophiliques pluriloculaires pariétales (folliculite murale)
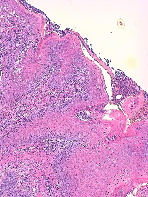
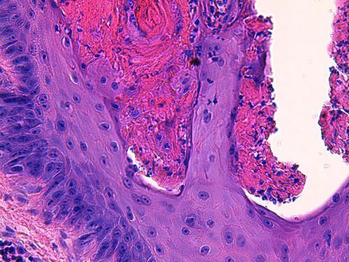
Photo 7 (Hémalun Eosine X 100) peau d’un coussinet : on note une acanthose irrégulière et une hyperkératose de l’épiderme. La couche cornée contient des amas bactériens bleutés. On remarque des zones de nécrose à l’emporte-pièces qui apparaissent comblées d’un matériel fibrino-hémorragique et leucocytaire. Ces zones de nécrose ont un grand axe parallèle à celui des crêtes épithéliales de l’épiderme.
Légendes de la Photo 7 :
- Double flèche verte pointillée : trajets nécrotiques au sein de l’épiderme du coussinet, dont le grand axe est parallèle au grand axe des crêtes épithéliales de l’épiderme
- Double flèche rose : épiderme (grand axe d’une crête épithéliale)
- Double flèche jaune pointillée : derme
- Flèches jaunes : l’épiderme ulcéré et les trajets nécrotiques sont tapissés et remplis d’un matériel fibrino-hémorragique et leucocytaire
- Étoiles vertes évidées : colonies bactériennes cocciformes
- Pointes de flèche turquoises : ulcération de l’épiderme
- Étoiles turquoises pleines : couche cornée parakératosique
- Étoiles jaunes pleines : lumière du canal excréteur d’une glande sudorale atrichiale du coussinet (portion intra-épidermique du canal)
Photo 8 (Hémalun Eosine X 400) peau d’un coussinet : Vue rapprochée de la Photo 7 montrant
une zone de nécrolyse des cellules épidermiques, formant une zone grossièrement linéaire “creusant”
le massif épidermique et comblée d’hématies, de granulocytes, de débris cellulaires pycnotiques et d’un matériel fibrinoïde acidophile.
Légendes de la Photo 8 :
- Double flèche verte : zone de nécrolyse épidermique (grand axe perpendiculaire à la surface épidermique)
- Flèches jaunes : matériel hématique et fibrino-leucocytaire remplissant les zones de nécrolyse
- Étoiles vertes évidées : cellules inflammatoires lysées (granulocytes)
- Pointes de flèche turquoises : elles délimitent les zones nécrolytiques
- Étoiles blanches évidées : cellules épithéliales pycnotiques
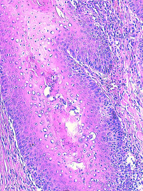
Photo 9 (Hémalun Eosine X 100) peau velue : La couche cornée montre une
stratification de micro-pustules, notamment aux abouchements folliculaires.
Le grand axe d’un infundibulum folliculaire montre une
zone linéaire tortueuse de fissuration et de nécrolyse.
Légendes de la Photo 9 :
- Double flèche pointillée verte : grand axe des infundibula folliculaires
- Double flèche bleue : épiderme
- Double flèche noire : derme
- Ovale jaune : pustules obstruant les abouchements follicualires à l’épiderme
- Flèches jaunes : fissurations linéaires tortueuses cheminant le long des infundibula folliculaires
- Étoiles turquoises pleines : parakératose
Photo 10 (Hémalun Eosine X 400) peau velue : Vue rapprochée de la Fig10 montrant
la zone d’abouchement d’un follicule pileux à l’épiderme, obstruée d’un matériel pustuleux,
riche en granulocytes éosinophiles ainsi qu’un aspect focalement
fracturé de la portion cornée de l’infundibulum folliculaire.
Légendes de la Photo 10 :
- Rond jaune : pustules obstruant l’abouchement follicualire à l’épiderme
- Étoiles rouges : hématies
- Étoiles noires : granulocytes éosinophiles
- Flèches jaunes : trajet fissuraire dans la couche kératinisée de l’infundibulum folliculaire
Photo 11 (Hémalun Eosine X 200) peau velue : Vue rapprochée de la Fig10 montrant
dans le grand axe de l’infundibulum folliculaire une zone linéaire tortueuse de fissuration
et de nécrolyse des cellules épithéliales, comblée de débris nécrotiques et de granulocytes.
Légendes de la Photo 11 :
- Étoiles noires : granulocytes éosinophiles
- Flèches jaunes : trajet fissuraire linéaire tortueux cheminant le long du grand axe de l’infundibulum folliculaire
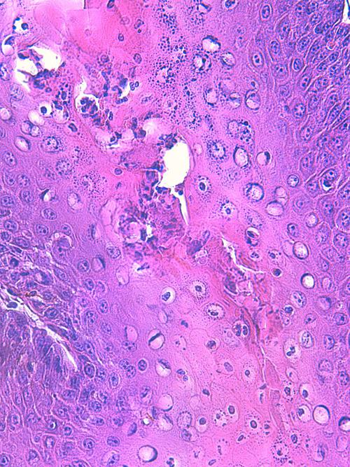
Photo 12 (Hémalun Eosine X 400) peau velue : Vue rapprochée de la Fig11 montrant la zone linéaire tortueuse de fissuration et de nécrolyse des cellules épithéliales, comblée de granulocytes. La zone de fracture et de lyse chemine depuis la portion kératinisée de l’infundibulum, jusque dans sa portion cellulaire granuleuse. Les cellules épithéliales, autour de cette zone, montrent une ballonisation nucléaire, le noyau étant refoulé en périphérie d’une vacuole unique sous la forme d’un croissant de lune basophile, leur noyau se fracture, leur cytoplasme devient très acidophile mais garde ses contours anguleux.
Légendes de la Photo 12 :
- Étoiles noires : granulocytes éosinophiles
- Flèches turquoises : zone nécrolytique du trajet fissuraire (aspect acidophile)
- Flèches jaunes : ballonisation nucléaire des kératinocytes de la gaine folliculaire, le noyau en croissant de lune est refoulé en périphérie de la membrane nucléaire
- Pointes de flèche turquoise : kératinocytes dont le noyau est pycnotique
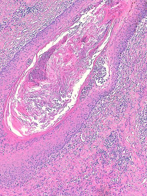
Photo 13 (Hémalun Eosine X 100) peau velue : dans le derme, de nombreux
follicules pileux sont rompus doannant naissance à des foyers furonculeux.
Légendes de la Photo 13 :
- Étoiles noires : infiltrat inflammatoire dermique et effondrant le follicule pileux
- Double flèche pointillée noire : gaine épithéliale externe du follicule pileux
- Ronds marrons : tige pilaire
- Flèches jaunes : rupture du follicule pileux (furonculose)
Photo 14 (Hémalun Eosine X 100) peau velue : Dans le derme, les pelotons de
glandes sudorales épitrichiales sont entourés de manchons inflammatoires
associant principalement granulocytes éosinophiles et plasmocytes.
Légendes de la Photo 14 :
- Étoiles rouges : lumière des glandes sudorales apocrines épitrichiales
- Flèches jaunes : infiltrat inflammatoire dermique en manchons péri-sudoraux
Photo 15 (Hémalun Eosine X 40) peau velue : Dans le derme, les pelotons de glandes
sudorales épitrichiales sont entourés de manchons inflammatoires associant principalement
granulocytes éosinophiles et plasmocytes. Leur lumière peut contenir des débris de granulocytes.
Légendes de la Photo 15 :
- Flèche turquoise : granulocyte éosinophile
- Flèche jaune : plasmocyte
- Étoile turquoise pleine : cellule épithéliale glandulaire de la glande sudorale
- Étoile verte : cellule myoépithéliale de la glande sudorale
- Étoile turquoise évidée : cellules inflammatoires dans la paroi de la glande (hidrosadénite)
- Étoile rouge : débris inflammatoires dans la lumière glandulaire (hidrosadénite)
- Rond vert : délimite un peloton sudoral
Photo 16 (Hémalun Eosine X 200) peau velue : Mise en évidence d’un fragment
d’élément figuré vermiforme “fiché” dans la gaine épithéliale externe d’un infundibulum folliculaire.
Légendes de la Photo 16 :
- Double flèche verte : lumière de l’infundibulum folliculaire
- Double flèche rouge : gaine épithéliale folliculaire externe
- Ovale noir : section d’élément vermiforme “fiché” dans la paroi folliculaire
Photo 17 (Hémalun Eosine X 400) peau velue : Vue rapprochée de la Photo 17 montrant
un élément figuré vermiforme “fiché” dans la gaine épithéliale externe d’un infundibulum
folliculaire entre la couche cornée et la couche épineuse. A son point de pénétration,
on note la formation d’une encoche dans la gaine folliculaire.
Légendes de la Photo 17 :
- Double flèche verte : lumière de l’infundibulum folliculaire
- Double flèche rouge : gaine épithéliale folliculaire externe (GEE)
- Ovale noir : section d’élément vermiforme “fiché” dans la paroi folliculaire
- Flèche jaune : petit renfoncement de la GEE au “point d’impact” de l’élément vermiforme
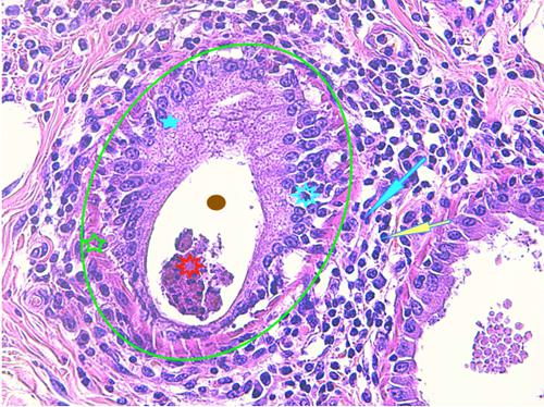
Photo 18 (Hémalun Eosine X 200) peau velue : Certains éléments vermiformes sont
inclus dans de petites logettes au sein de la paroi des follicules pileux,
ici un même élément vermiforme en coupe transversale et longitudinale.
Légendes de la Photo 18 :
- Étoile rouge : lumière du follicule pileux
- Double flèche verte : GEE
- Double flèche bleue : derme inflammatoire péri-folliculaire (infiltrat riche en granulocytes éosinophiles et en palsmocytes)
- Flèches jaunes : élément vermiforme rond cylindrique non segmenté
Photo 19 (Hémalun Eosine X 400) peau velue : Vue rapprochée de la Photo 18.
Ici un même élément vermiforme en coupe transversale et longitudinale :
élément rond cylindrique non segmenté à cuticule lisse et fine.
Il semble y avoir des cellules musculaires et une cavité centrale contenant des organes.
Légendes de la Photo 19 :
- Étoile verte : “matériel organique” dans la cavité centrale
- Flèches turquoises : cellules musculaires sous-cuticulaires
- Flèches jaunes : cuticule du ver
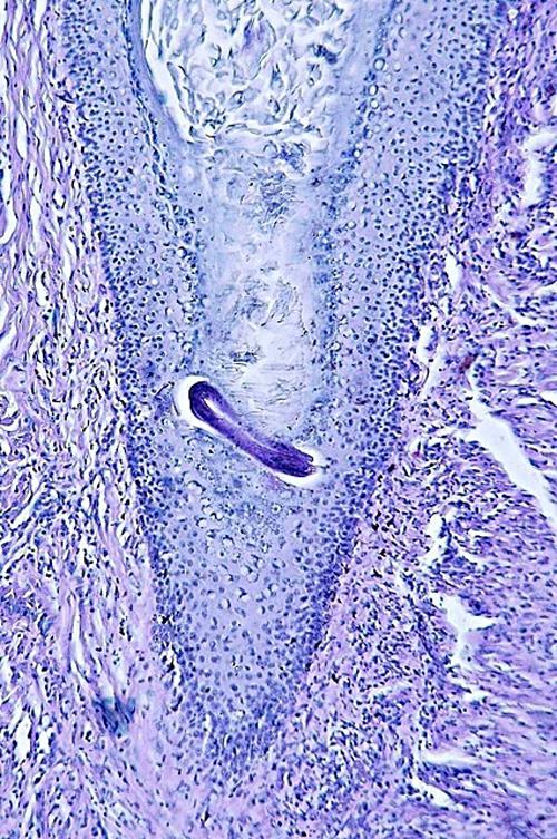
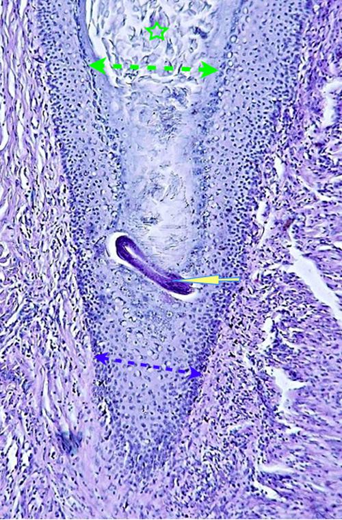
Photo 20 (Réaction au PAS X 100) peau velue : Un élément vermiforme inclus
dans une logette au sein d’un infundibulum folliculaire, en coupe longitudinale.
Légendes de la Photo 20 :
- Double flèche verte : lumière de l’infundibulum folliculaire
- Double flèche bleue : GEE
- Étoile verte : kératine
- Flèche jaune : élément vermiforme rond cylindrique non segmenté contenu dans une logette intra-pariétale
Photo 21 (Réaction au PAS X400) peau velue : Vue rapprochée de la Photo 20 montrant
un élément vermiforme inclus dans une logette au sein d’un infundibulum folliculaire, en coupe longitudinale.
Légendes de la Photo 21 :
- Double flèche verte : GEE infundibulaire (portion granuleuse avec grains de kératohyaline)
- Flèche jaune : cuticule lisse
Photo 22 (Réaction au PAS X 100) peau velue : Autre élément vermiforme,
en coupe longitudinale, dans la lumière d’un follicule pileux.
Légendes de la Photo 22 :
- Double flèche verte : lumière folliculaire (jonction infundibulum / isthme)
- Flèche jaune : élément vermiforme intra-luminal
- Étoile rouge : glande sébacée
Photo 23 (Réaction au PAS X 400) peau velue : Vue rapprochée de la Photo 22
montrant un élément vermiforme dans la lumière d’un follicule pileux.
Légendes de la Photo 23 :
- Flèche verte : “matériel organique” granuleux dans la cavité centrale
- Flèche jaune : cuticule
- Flèche turquoise : cavité centrale
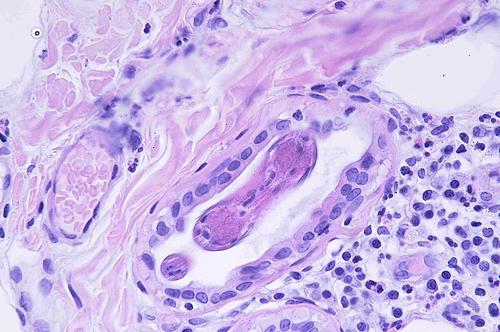
Photo 24 (Hémalun Eosine X200) peau velue : Certains éléments vermiformes
sont contenus dans la lumière des glandes sudorales apocrines
épitrichiales, ici un élément en coupe longitudinale tangentielle.
Légendes de la Photo 24 :
- Étoile rouge vides : vaisseaux sanguins (lumière de)
- Étoile rouge pleine : infiltrat inflammatoire dermique périsudoral
- Rond marron : collagène
- Étoiles turquoises : adipocytes
- Flèches juanes : glandes sudorales apocrines épitrichiales
- Flèche vertes : section d’un élément vermiforme rond
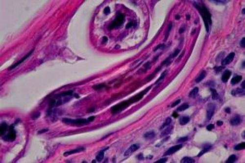
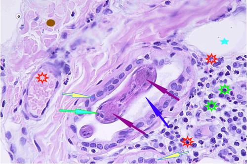
Photo 25 (Hémalun Eosine X 400) peau velue : Vue rapprochée de la Photo 24 montrant
un élément vermiforme dans la lumière d’une glande sudorale apocrine épitrichiale,
en coupe longitudinale tangentielle. On note un infiltrat inflammatoire
périsudoral riche en plasmocytes et en éosinophiles.
Légendes de la Photo 25 :
- Étoile rouge vides : vaisseau sanguin (lumière d’un) et granulocytes éosinophiles (infiltrat inflammatoire dermique périsudoral)
- Étoiles vertes : infiltrat inflammatoire dermique périsudoral, plasmocytes
- Rond marron : collagène
- Étoile turquoise : adipocyte
- Flèche jaune : glande sudorale apocrine épitrichiale
- Flèche bleue : lumière de la glande sudorale
- Flèche verte : cuticule du ver rond
- Flèche violette : cellules musculaires du ver rond
Diagnostic histologique
Dermatite à némathelminthes ankylostomidés
Discussion
Les dermatites à némathelminthes ankylostomidés peuvent dues :
• soit à des Helminthes libres colonisant accidentellement la peau par transmission indirecte par le milieu extérieur contaminé (passage des larves de stade 3 par voie percutanée) : Pelodera strongyloides, Rhabditis sp.,
• soit à des larves d’Helminthes authentiquement infestantes : Strongyloïdes stercoralis, Ancylostoma caninum, Uncinaria stenocephala…).
Ces éléments peuvent aussi être visualisés au moyen de raclages cutanés sur huile minérale (Helminthes libres), d’une coprologie et d’une coproscopie examen microscopique de la litière et de l’environnement proche du sujet à la recherche des larves L3 ou des adultes.
On doit également rechercher des facteurs épidémiologiques concordants : fréquentation de zones de couchage sur terre battue, sol humide, sable, litière végétale, avec mauvaises conditions d’hygiène et présence de matières organiques en décomposition comme des excréments ou de tout autre support propice au développement du cycle ainsi que d’éventuels signes digestifs associés ou consécutifs (Larves infestantes).
Dans le cas présenté la diagnose d’espèce n’a pas été réalisée, ni les examens complémentaires (coprologie, raclages cutanés, coproscopie).
Les animaux ont été vermifugés et le sol de l’enclos et des chenils a été nettoyé et désinfecté.
L’animal a guéri ainsi que ses congénères.
L’intérêt de ce cas est de détailler les lésions histologiques rencontrées, en se rappelant que les éléments figurés ne sont que très rarement visibles à l’examen microscopique des biopsies cutanées de peau lésée.
Il faut donc garder en mémoire tous les indices lésionnels qui permettent de suspecter cette forme de dermatite même en l’absence de détection d’élements figurés : topographie et composition cellulaire de l’infiltrat (infiltrat centré sur les annexes folliculaires et sudorales et souvent riche en éosinophiles), lésions élémentaires de l’épiderme et des infundibula folliculaires avec trajets fracturaires nécrolytiques et pustules éosinophiliques folliculaires pariétales…
Photo 26 : Dermatite érythémato-papuleuse asymétrique, avec alopécie diffuse assez bien délimitée et lésions de grattage (croûtes, excoriations) touchant les extrémités distales des membres chez un chien atteint de dermatite à Pelodera strongyloides ®Photo Dr P. Baiwir..
Bibliographie
- Bourdeau P. Cas de dermatite à rhabditidés (Pelodera strongyloides) chez un chien. Point Vet., 1984, 16(80), 5-10.
- Colby E.D., McGREW L.S. Rhabditis strongyloides alopecia in a dog. Vet. Med. Small Anim. Clin., 1976, 71(10), 1426.
- Horton M.L. Rhabditic dermatitis in dogs. Mod. Vet. Pract., 1980, 61(2), 158-159.
- Willers W.B. Pelodera strongyloides in association with canine dermatitis in Wisconsin. J. Am. Vet Med. Assn., 1970, 156(3), 319-320.

















































