Auteur : Pascal Jahan – Novembre 2009
CES Derm Vet
Contres (41)
Introduction
Jasmin, chat mâle castré de race siamoise, âgé de 7 ans est présenté à la consultation en janvier pour une affection croûteuse et douloureuse des doigts
Commémoratifs
Jasmin a libre accès au milieu extérieur dans un environnement rural en Sologne. Son alimentation est variée, principalement ménagère. Aucune contamination humaine n’est signalée.
Anamnèse
Depuis 3 semaines, le chat a renoncé à ses sorties pluriquotidiennes et ne se déplace presque plus. Par ailleurs, il mange et boit normalement. Depuis 2 semaines, des croûtes apparaissent à la base des griffes sur 3 membres, épargnant l’antérieur gauche.
Une antibiothérapie instituée par un confrère il y a 10 jours: (céfalexine 30 mg/kg/j en 2 prises quotidiennes) n’entrave nullement l’évolution de la dermatose.
Aucun médicament n’a été administré dans le mois qui précède l’apparition des symptômes.
Examen clinique
Examen clinique général
Jasmin pèse 5kg. L’examen général ne révèle aucune anomalie. La méforme rapportée par le propriétaire est inhérente à la douleur digitée.
Examen dermatologique
Les lésions sont croûteuses et concernent : 4 extrémités digitées réparties sur 3 membres, la truffe et, de façon plus discrète, le bord postérieur d’un pavillon auriculaire.

couverte d’une croûte fine, lisse, compacte et adhérente.
Le pourtour de cette lésion est érythémateux et discrètement hypopigmenté

au centre de laquelle une petite croûte agglutine les poils
Photo 3 : Les lésions podales sont des périonyxis douloureux :
érythémateux pour le doigt le moins atteint, exsudatifs
et couverts d’une croûte épaisse pour les atteintes majeures.
Les coussinets n’apparaissent pas modifiés, néanmoins, un simple
contact sur leur bordure déclenche une vive réaction de retrait.
Ces lésions ne sont pas prurigineuses comme l’attestent les croûtes intactes et l’absence d’abrasion des poils en périphérie.
Aucune atteinte muqueuse n’est décelée.
Synthèse clinique
Dermatose ulcéro-croûteuse non prurigineuse, douloureuse, affectant les extrémités digitées, la truffe, un pavillon auriculaire.
L’atteinte de la truffe, territoire exempt de follicules pileux, est un élément déterminant du choix des hypothèses diagnostiques.
Hypothèses diagnostiques
Elles regroupent : pemphigus foliacé (PF) et granulome éosinophilique atypique en y incluant l’hypersensibilité aux piqûres de moustiques. Quoique moins probables, pox virose et mycoses profondes sous-cutanées ou systémiques (sporotricose, rhodotorulose, cryptococcose, histoplasmose) sont à considérer. En effet ces 2 dernières hypothèses nous interdisent l’usage des corticoïdes.
Examens complémentaires
Virologie
Les tests de virologie sont négatifs pour le FELV et le FIV ( R.I.M. Witness-Synbiotics corp. ).
Mycologie
Des fragments de croûtes sont mis en culture sur milieu de Sabouraud adjuvé de Chloramphénicol et de Gentamycine. Des colonies peu abondantes de Alternaria sp. se développeront.
Quelques levures du genre Malassezia sont observables à l’examen microscopique direct de l’enduit noirâtre présent à la base des griffes affectées de périonyxis.
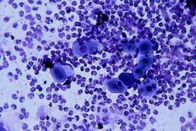
Cytologie

La cytologie est réalisée à partir d’un calque par impression de la lésion auriculaire et d’un périonyxis exsudatif.
Elle révèle : des polynucléaires neutrophiles intègres et des kératinocytes acantholysés pour la lésion auriculaire.
Anatomopathologie
Les biopsies réalisées au scalpel concernent la truffe et 2 lésions digitées. Les croûtes sont conservées.
Aucun des examens histologiques ne fournit une image spécifique des hypothèses diagnostiques. Il s’agit d’une dermatite localement ulcérative, périvasculaire superficielle, focalement périannexielle, à prédominance neutrophilique. Les colorations au P.A.S. ne révèlent pas d’éléments fongiques.
Conclusions des examens complémentaires
-
La grande concordance clinique, et tout particulièrement topographique, avec le pemphigus foliacé félin,
-
la présence de nombreux kératinocytes acantholysés dans l’exsudat d’une des lésions, nous incitent à privilégier cette hypothèse diagnostique.
Par conséquent, en concertation avec le propriétaire de Jasmin nous décidons d’instituer une corticothérapie immunosuppressive. L’arrêt du traitement, s’il est suivi de récidive nous permettra de biopsier des lésions précoces.

