Un cas de parakératose héréditaire de la truffe chez un Labrador


Avril 2012
Auteurs :
Frédérique Degorce-Rubiales1 – CES de Dermatologie Vétérinaire, DESV d’Anatomie Pathologique Vétérinaire, Spécialiste en Anatomie Pathologique Vétérinaire
Agnès Poujade1 – DESV d’Anatomie Pathologique Vétérinaire, Spécialiste en Anatomie Pathologique Vétérinaire
Jacques Baudry, DMV – CES de Dermatologie Vétérinaire, Clinique vétérinaire de la République – 38 Avenue de la République – 50200 Coutances
Yvic Boëdec3 – Docteur vétérinaire

1LAPVSO – 129 Route de Blagnac – 31201 Toulouse cedex 2 – www.lapvso.com


Avertissement

Le cas clinique présenté est un cas de dermatopathologie, aussi l’anamnèse, l’examen clinique, l’examen dermatologique, les examens complémentaires réalisés et les données sur le traitement entrepris, se limiteront aux données présentes sur la feuille de commémoratifs reçue avec les prélèvements histologiques.

Commémoratifs

En avril 2011, un chien Labrador, âgé de 5 mois, de robe chocolat, est présenté à la consultation pour un aspect croûteux de la truffe s’aggravant depuis son acquisition par ses propriétaires (Photo 1 & 2). L’étalon dont il est issu présenterait les mêmes symptômes.

Un cas de parakératose héréditaire de la truffe chez un Labrador
Photo 1 : A l’âge de 5 mois,  on note l’accumulation de croûtes cornées, sèches et dures,
sur la portion dorsale du planum nasal, à la jonction cutanéo-muqueuse avec le chanfrein
©Photo Jacques Baudry.

Un cas de parakératose héréditaire de la truffe chez un Labrador
Photo 2 : A l’âge de 5 mois,  on note l’accumulation de croûtes cornées,
sèches et dures, fissurées, sur la portion dorsale du planum nasal,
à la jonction cutanéo-muqueuse avec le chanfrein
©Photo Jacques Baudry.

Hypothèses cliniques

  • Parakératose héréditaire du labrador
  • Pyodermite des jonctions cutané-muqueuses
  • Pemphigus foliacé
  • Lupus cutané
  • Leishmaniose

Examen histologique

• Des Biopsies cutanées sont réalisées sur la truffe en zone croûteuse

L’épiderme est le siège d’une acanthose irrégulière, modérée, avec un allongement des crêtes épithéliales, qui peuvent être ramifiées et fusionnées (Photo 3,4,5). L’épiderme est le siège d’une hyperkératose parakératosique diffuse sévère, se traduisant par la formation d’une couche cornée très épaisse avec accumulation multifocale de vésicules séro-cellulaires le plus souvent au sommet des papilles coniques, formées par l’épiderme de la truffe (Photo 3 & 5). On constate multifocalement une quasi absence de la couche granuleuse et une discrète exocytose de cellules inflammatoires neutrophiliques dans les couches les plus superficielles de l’épiderme (Photo 5). Dans les couches les plus profondes, on peut observer de rares corps apoptotiques et parfois des cellules lymphocytaires satellites. Le derme montre une incontinence pigmentaire et un infiltrat inflammatoire lichénoïde lymphoplasmocytaire d’intensité discrète (Photo 6 & 7).  Des kératinocytes isolés ou en groupe, peuvent montrer des lésions de dégénérescence hydropique ou une ballonnisation dans les portions superficielles de la couche épineuse et dans la couche cornée (Photo 5).

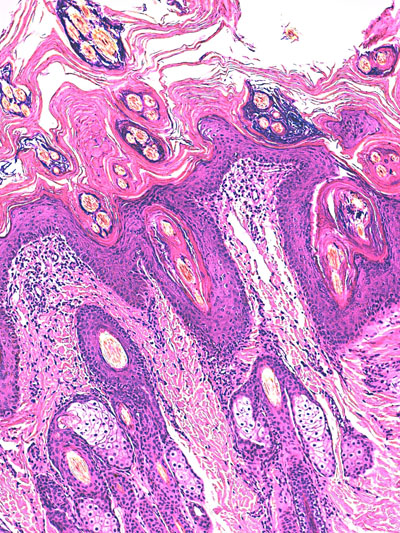
Un cas de parakératose héréditaire de la truffe chez un Labrador
Photo 3 (Hémalun Eosine  X 40) Truffe : L’épiderme de la truffe est hyperplasique
avec ramification et fusion des crêtes épithéliales. Il est sévèrement hyperkératosique
avec accentuation des papilles coniques. Le derme superficiel (papillaire) est œdémateux
et siège d’un discret infiltrat mononucléé en bande sous-épidermique et périvasculaire.
Le reste du derme est silencieux.

Un cas de parakératose héréditaire de la truffe chez un Labrador

Légendes de la Photo 3 :

  • Double flèche orange : couche cornée parakératosique
  • Double flèche bleue : épiderme depuis la couche basale jusqu’à la couche granuleuse
  • Double flèche verte : derme
  • Ovale jaune : la couche cornée épaissie, parakératosique montre la formation de papilles coniques
  • Flèche turquoise : dans la couche cornée, se forment des vésicules remplies d’un liquide séreux acidophile
  • Étoiles rouges évidées : œdème du derme superficiel (derme papillaire)
  • Pointes de flèche turquoises : infiltrat mononucléé lichénoïde
  • Étoiles rouges pleines : vaisseaux sanguins entourés d’un infiltrat mononucléé (périvasculaire)

Un cas de parakératose héréditaire de la truffe chez un Labrador
Photo 4 (Hémalun Eosine  X 200) Truffe : Les couches profondes de l’épiderme
de la truffe montrent une ramification et une fusion des crêtes épithéliales ainsi
qu’une dépigmentation. On note un discret infiltrat d’interface mononucléé
et une discrète incontinence pigmentaire du derme superficiel.

Un cas de parakératose héréditaire de la truffe chez un Labrador

Légendes de la Photo 4 :

  • Double flèche orange pointillée : épiderme, selon le grand axe d’une crête épithéliale
  • Double flèche verte : derme
  • Étoiles rouges pleines : portions pigmentées de l’épiderme
  • Étoiles rouges évidées : incontinence pigmentaire dans le derme
  • Double flèche orange : épaisseur épidermique
  • Pointes de flèche turquoises : infilrat mononucléé d’interface et lichénoïde

Un cas de parakératose héréditaire de la truffe chez un Labrador
Photo 5 (Hémalun-Eosine X200) Truffe, vue rapprochée de la couche cornée :
La couche cornée de la truffe est considérablement épaissie, siège d’une hyperkératose parakératosique,
avec un discret œdème intercellulaire (spongiose) et un œdème cellulaire marqué.
On observe une multitude de petites vésicules qui semblent se former à partir de cornéocytes
balonnisés, dont le cytoplasme est déformé par l’accumulation d’un liquide séreux acidophile
qui prend la réaction au PAS et qui est parfois teinté de débris de polynucléaires.

Un cas de parakératose héréditaire de la truffe chez un Labrador

Légendes de la Photo 5 :

  • Ovale jaune : couche cornée de l’épiderme avec zone parakératosique où la rétention nucléaire des cornéocytes est bien visible
  • Flèche turquoise : elle pointe un noyau de cornéocyte dans une zone parakératosique de la couche cornée
  • Flèches jaunes : œdème et ballonnisation des cornéocytes épidermiques dont le cytoplasme se charge d’un liquide séreux acidophile
  • Étoiles rouges : le liquide cytoplasmique peut se teinter de débris cellulaires, parfois issus de granulocytes neutrophiles

Un cas de parakératose héréditaire de la truffe chez un Labrador
Photo 6 (Hémalun-Eosine X1000 objectif à immersion) Truffe, vue rapprochée
de la jonction dermo-épidermique : Couche basale de la truffe. On note la présence
de rares corps apoptotiques basaux isolés et celle d’un infiltrat d’interface lymphocytaire, migrant
parfois dans les couches supérieures. Le derme superficiel montre une discrète incontinence
pigmentaire par la présence de mélanophages.

  Un cas de parakératose héréditaire de la truffe chez un Labrador

Légendes de la Photo 6 :

  • Double flèche bleue : couche granuleuse de l’épiderme
  • Double flèche orange pointillée : épiderme
  • Double flèche verte : derme
  • Flèches jaunes : lymphocytes, infiltrat lymphocytaire d’interface
  • Ovale jaune : corps apoptotique dans la couche basale de l’épiderme
  • Étoiles rouges : incontinence pigmentaire dans le derme (mélanophages)

Un cas de parakératose héréditaire de la truffe chez un Labrador
Photo 7 (Hémalun-Eosine X1000 objectif à immersion) Truffe, vue rapprochée
de la jonction dermo-épidermique : On note la présence d’un infiltrat d’interface lymphocytaire,
migrant parfois dans les couches supérieures de l’épiderme. Le derme superficiel montre une discrète
incontinence pigmentaire par la présence de mélanophages et un discret infiltrat lymphocytaire péri-vasculaire.

Un cas de parakératose héréditaire de la truffe chez un Labrador

Légendes de la Photo 7 :

  • Double flèche orange pointillée : épiderme
  • Double flèche verte : derme
  • Flèches jaunes : lymphocytes, infiltrat lymphocytaire d’interface
  • Étoiles rouges : incontinence pigmentaire dans le derme (mélanophages)
  • Pointes de flèche turquoises : infiltrat lymphocytaire dermique péri-vasculaire
  •  

Diagnostic histologique

Devant cet aspect clinique, cet aspect histologique, le jeune âge de l’animal et la race à laquelle il appartient, on évoquera l’hyperkératose parakératosique héréditaire de la truffe du Labrador.

Traitement

Application locale sur la truffe de crème crème Elasto®Pad.

Évolution

A l’âge de 12 mois, on note une aggravation des lésions de la truffe : des productions cornées, épaisses, adhérentes, dures et sèches s’accumulent sur la portion dorsale de la truffe et le philtrum est couvert également de croûtes rugueuses et sèchent. Des fissures qui saignent se forment du bord dorsal des narines vers le bord dorsal de la truffe. Le bord des narines est érythémateux et dépigmenté (Photo 8 & 9)

Un cas de parakératose héréditaire de la truffe chez un Labrador
Photo 8 : A l’âge de 12 mois,  on note l’accumulation de productions cornées,
sèches, dures et fissurées, sur les portions dorsale et médiane du planum nasal. On remarque
des fissurations ulcérées partant des narines vers le bord dorsal de la truffe, un érythème et
une dépigmentation du bord des narines. Disparition des dermatoglyphes
©Photo Jacques Baudry.

Un cas de parakératose héréditaire de la truffe chez un Labrador
Photo 9 : A l’âge de 12 mois,  on note l’accumulation de productions cornées,
sèches, dures et fissurées, sur les portions dorsale et médiane du planum nasal.
On remarque des fissurations ulcérées, qui saignent et partent des
narines vers le bord dorsal de la truffe
©Photo Jacques Baudry.

Examen histologique

  • De nouvelles Biopsies cutanées sont réalisées sur la truffe en zone croûteuse

Les lésions semblent plus inflammatoires, l’œdème du derme et des cornéocytes semblent plus sévère (Photo 10 à 15).

Un cas de parakératose héréditaire de la truffe chez un Labrador 
Photo 10 (Hémalun-Eosine X100) Truffe: L’épiderme est hyperplasique,
la couche granuleuse est réduite à absente, la couche cornée est très développée avec
rétention des noyaux des cornéocytes (parakératose) et œdème cellulaire conduisant
à la formation de petites vésicules intra-cornées contenant un liquide acidophile.
Le derme superficiel (papillaire) est odémateux et contient un discret infiltrat monononucléé péri-vasculaire.

Un cas de parakératose héréditaire de la truffe chez un Labrador

Légendes de la Photo 10 :

  • Double flèche pleine bleue : épiderme
  • Double flèche pointillée bleue : couche cornée parakératosique
  • Double flèche verte : derme
  • Pointes de Flèches jaunes : œdème du derme superficiel (derme papillaire)
  • Étoiles rouges : des cornéocytes ballonnisés ont un cytoplasme se chargeant de sérosités acidophiles
  • Étoiles jaunes : cornéocytes œdémateux, ballonnisés

Un cas de parakératose héréditaire de la truffe chez un Labrador
Photo 11 (Hémalun-Eosine X100) Truffe : L’épiderme est hyperplasique.
Le derme superficiel (papillaire) est odémateux et contient un discret
infiltrat monononucléé péri-vasculaire. On note une discrète incontinence pigmentaire.

  Un cas de parakératose héréditaire de la truffe chez un Labrador

Légendes de la Photo 11 :

  • Double flèche pointillée bleue : épiderme
  • Double flèche pointillée verte : derme
  • Pointes de Flèches jaunes : œdème du derme superficiel (derme papillaire)
  • Étoiles jaunes : incontinence pigmentaire du derme
  • Flèche turquoise : zone de parakératose survenant sans transition via une couche granuleuse (zone de parakératose agranuleuse)
  • Pointes de flèche turquoises : infiltrat mononucléé d’interface et lichénoïde

  Un cas de parakératose héréditaire de la truffe chez un LabradorPhoto 12 (Hémalun-Eosine X200) Truffe : La couche granuleuse est parfois
peu visible ou absente. La couche cornée est le siège d’une parakératose et présente
de petites vésicules qui semblent résulter d’un œdème cellulaire avec accumulation
de sérosités acidophiles parfois teintées de débris nucléaires.
On note une discrète spongiose (odème intercellulaire).

Un cas de parakératose héréditaire de la truffe chez un Labrador

Légendes de la Photo 12 :

  • Flèches jaunes : elles pointes des zones de discrète spongiose (œdème intercellulaire)
  • Étoile rouge : zone où la couche granuleuse est encore visible
  • Ovales verts : œdème du derme superficiel (derme papillaire)
  • Étoiles jaunes : œdème cellulaire des cornéocytes dont certains se chargent d’un liquide séreux acidophile parfois teintés de débris basophiles

Un cas de parakératose héréditaire de la truffe chez un Labrador
Photo 13 (Hémalun-EosineX400) Truffe : Des vésicules peuvent confluer pour
donner de petits lacs séreux dans la couche cornée. Il existe une exocytose de cellules inflammatoires,
granulocytes et lymphocytes, qui peuvent s’accumuler au sein de vésicules.
On note un infiltrat d’interface lymphocytaire et une incontinence pigmentaire dermique.

Un cas de parakératose héréditaire de la truffe chez un Labrador

Légendes de la Photo 13 :

  • Flèches jaunes : les cornéocytes œdémateux se rompent et des vésicules se forment et son chargées de cellules inflammatoires et de débris cellulaires
  • Flèche turquoise : ces vésicules confluent et forment de petits lacs séreux basophiles
  • Étoiles pleines rouges : exocytose de cellules inflammatoires au travaers de l’épiderme
  • Pointes de flèche turquoises : infiltrat lymphocytaire d’interface
  • Étoiles évidées rouges : incontinence pigmentaire du derme

Un cas de parakératose héréditaire de la truffe chez un Labrador
Photo 14 (Hémalun-Eosine X400) Truffe : Entre la couche épineuse et la couche cornée,
la couche granuleuse n’est souvent pas visible (parakératose agranulseuse).
La couche cornée parakératosique est parsemée de petites vésicules qui semblent résulter
d’un œdème cellulaire (dégénérescence hydropique des cornéocytes) avec accumulation
de sérosités acidophiles parfois teintées de débris nucléaires.
On note une discrète spongiose (œdème intercellulaire).

Un cas de parakératose héréditaire de la truffe chez un Labrador

Légendes de la Photo 14 :

  • Flèches turquoises : elles pointent des zones de spongiose (œdème intercellulaire)
  • Flèche jaune : elle pointe un noyau de cornéocytes retenu dans la couche cornée (parakératose)
  • Étoiles pleines rouges : zones où la couche granuleuse est encore perceptible par ses grains de kératohyaline
  • Étoiles jaunes : cornéocytes œdémateux, balonnisés, avec parfois accumulation et distension cytoplasmique par un liquide séreux acidophile

Un cas de parakératose héréditaire de la truffe chez un Labrador
Photo 15 (Hémalun-Eosine X400) Truffe : vue rapprochée de cornéocytes
balonnisés dans la couche cornée : leur cytoplasme est distendu par
un liquide acidophile, le noyau est présent et parfois ballonnisé.

Un cas de parakératose héréditaire de la truffe chez un Labrador

Légendes de la Photo 15 :

  • Étoiles jaunes : cornéocytes œdémateux, balonnisés
  • Étoile bleues : cornéocytes œdémateux, balonnisés, avec accumulation et distension cytoplasmique par un liquide séreux acidophile
  • Fléche jaune : elle pointe un noyau ballonnisé de cornéocyte œdémateux

Traitement

Application locale sur la truffe de crème Homéoplasmine® puis de Cotavance®, mais aggravation des lésions dès l’application de Cotavance®, conduisant à l’arrêt de son utilisation et le retour aux applications d’Homéoplasmine®.

Évolution

A l’âge de 14 mois,  on note une extension des croûtes sur le chanfrein. La peau du chanfrein est érythémateuse (Photo 16). A l’âge de 16 mois, on constate une aggravation des lésions de la truffe : elle est couverte sur sa portion dorsale par un véritable placard crouteux dur, adhérent (Photo 16,17 19). Il comporte toujours des fissures. Le chanfrein est squameux (Photo 18). Des squames sont présentes sur l’ensemble du corps (Photo 22). Le bord libre des oreilles est festonné et croûteux (Photo 20 & 21).

Un cas de parakératose héréditaire de la truffe chez un Labrador

Photo 16 : A l’âge de 14 mois,  on note une extension
des croûtes sur le chanfrein. La peau du chanfrein est érythémateuse
©Photo Jacques Baudry.

Un cas de parakératose héréditaire de la truffe chez un Labrador
Photo 17 : A l’âge de 16 mois, le chanfrein est squameux,
le bord dorsal de la truffe est fissuré
©Photo Jacques Baudry.

Un cas de parakératose héréditaire de la truffe chez un Labrador
Photo 18 : A l’âge de 16 mois , le bord dorsal de la truffe comporte
toujours des fissures, plus nettes, plus nombreuses et plus profondes
©Photo Jacques Baudry.

Un cas de parakératose héréditaire de la truffe chez un Labrador
Photo 19 : A l’âge de 16 mois, on constate une aggravation des lésions de la truffe :
elle est couverte sur sa portion dorsale par un véritable placard croûteux dur,
adhérent qui s’étend au philtrum. Il forme une véritable carapace
©Photo Jacques Baudry.

Un cas de parakératose héréditaire de la truffe chez un Labrador

Photo 20 : A l’âge de 16 mois, des squames sont présentes sur le bord libre des oreilles
©Photo Jacques Baudry.

Un cas de parakératose héréditaire de la truffe chez un Labrador

Photo 21 :  A l’âge de 16 mois, le bord libre des oreilles
apparaît festonné et croûteux.
©Photo Jacques Baudry.

Un cas de parakératose héréditaire de la truffe chez un Labrador
Photo 22 :  A l’âge de 16 mois, des squames sont présentes sur l’ensemble du corps.
Ici vu du tronc après tonte partielle
©Photo Jacques Baudry.

Examen histologique

De nouvelles Biopsies cutanées sont réalisées sur la truffe en zone croûteuse  ainsi que sur la peau velue du thorax en zone squameuse et sur le bord des oreilles.

  • Les biopsies du thorax (Photo 27,28,29,30), du chanfrein, du pavillon auriculaire (face externe & face interne), du bord du pavillon auriculaire, présentent un aspect lésionnel tout à fait similaire et celui de la truffe.
  • L’épiderme est le siège d’une acanthose irrégulière d’intensité modérée. Il présente une hyperkératose parakératosique compacte. La couche granuleuse semble par contre régulièrement bien visible et développée. Dans la couche basale de l’épiderme et parfois dans la couche suprabasale, on observe de petits éléments cellulaires acidophiles rétractés avec un noyau pycnotique suggérant des corps apoptotiques. On observe également une discrète exocytose multifocale de petits lymphocytes sans atypie à l’interface dermo-épidermique comme à l’interface de certaines annexes folliculo-sébacées. Le derme montre sinon un infiltrat inflammatoire de topographie périvasculaire, d’intensité discrète, un peu plus polymorphe, avec quelques mastocytes, lymphocytes, plasmocytes. Les annexes restent bien représentées. On n’observe pas d’élément figuré ni parasitaire ni fongique.
  • Sur le bord du pavillon auriculaire, l’hyperkératose atteint également les follicules pileux et apparaît très prononcée (Photo 23,24 25 & 26). L’atteinte inflammatoire d’interface est également multifocale mais plus nette.

On retrouve sur toutes les biopsies transmises un aspect tout à fait similaire à la truffe, sous la forme d’une dermatite hyperplasique, parakératosique, d’intensité modérée à marquée avec de discrètes lésions d’interface lymphocytaires multifocales.

Le tableau lésionnel est tout à fait comparable à ce qui a été observé sur la truffe et qui était en faveur d’une hyperkératose parakératosique héréditaire de la truffe du Labrador.

Un cas de parakératose héréditaire de la truffe chez un Labrador
Photo 23 (Hémalun-Eosine X40) Bord du pavillon auriculaire :
L’épiderme et les infundibula folliculaires sont hyperplasiques et sièges
d’une hyperkératose ayant tendance à engainer les tiges pilaires émergentes.
On observe un infiltrat cellulaire dermique péri-vasculaire.

Un cas de parakératose héréditaire de la truffe chez un Labrador

Légendes de la Photo 23 :

  • Étoiles vertes vides : infiltrat inflammatoire mononnucléé périvasculaire dans le derme superficiel
  • Étoiles bleues pleines : follicules pileux (tiges pilaires)
  • Ovales verts : hyperkératose des infundibula folliculaires ayant tendance à engainer les tiges pilaires émergentes.

Un cas de parakératose héréditaire de la truffe chez un Labrador
Photo 24 (Hémalun-Eosine X100) Bord du pavillon auriculaire :
L’épiderme et les infundibula folliculaires sont hyperplasiques et sièges d’une hyperkératose
ayant tendance à engainer les tiges pilaires émergentes. Les ostia folliculaires sont discrètement
évasés et de petites expansions papillaires peuvent se former à leurs marges.
On observe un infiltrat cellulaire dermique péri-vasculaire et d’interface.

Un cas de parakératose héréditaire de la truffe chez un Labrador

Légendes de la Photo 24 :

  • Étoiles vertes vides : infiltrat inflammatoire mononnucléé périvasculaire dans le derme superficiel
  • Étoiles bleues pleines : follicules pileux (tiges pilaires)
  • Ovales verts : hyperkératose des infundibula folliculaires ayant tendance à engainer les tiges pilaires émergentes.
  • Flèches jaunes : elles pointes de petites expansions papillaires qui se forment aux marges des ostia folliculaires
  • Ronds marrons : glandes sébacées

Un cas de parakératose héréditaire de la truffe chez un Labrador
Photo 25 (Hémalun-Eosine X 400)  Bord du pavillon auriculaire :
Aux marges des ostia folliculaires peuvent se former de petites expansions papillaires
tapissées d’une coiffe parakératosique. On note une hyperkératose
plutôt orhtokératosique des infundibula folliculaires.

Un cas de parakératose héréditaire de la truffe chez un Labrador

Légendes de la Photo 25 :

  • Étoiles bleues pleines : follicules pileux (tiges pilaires)
  • Ovales verts : hyperkératose des infundibula folliculaires ayant tendance à engainer les tiges pilaires émergentes.
  • Flèche jaune : elle pointe une petite expansion papillaire qui se forme à la marge d’un ostium folliculaire
  • Flèche turquoise : elle pointes la coiffe parakératosique qui surmonte la petite expansion papillaire qui se forme à la marge d’un ostium folliculaire
  • Pointes de flèche jaunes : fond des infundibula folliculaires un peu évasé et béant

Un cas de parakératose héréditaire de la truffe chez un Labrador
Photo 26 (Hémalun-Eosine X 400) Bord du pavillon auriculaire : Aux marges des ostia folliculaires peuvent se former de petites expansions papillaires tapissées d’une coiffe parakératosique. Ces expansions montrent une désorganisation des strates cellulaires avec de petits regroupements d’acanthocytes discrètement ballonnisés. On note une hyperkératose plutôt orhtokératosique des infundibula folliculaires. Les lamelles de kératine semblent être tapissées de fines goutelettes réfringentes (lipides?). Au niveau de l’émergence des expansions ostiales, on note une discontinuité de la couche granuleuse.

Un cas de parakératose héréditaire de la truffe chez un Labrador

Légendes de la Photo 26 :

  • Étoiles bleues pleines : zone épidermique où la couche granuleuse est présnete (grains de kératohyaline)
  • Ovales verts : zones de désorganisation des strates cellulaires épidermique avec de petits regroupements d’acanthocytes discrètement ballonnisés
  •  Flèches jaunes : elles pointent le bord d’une petite expansion papillaire qui se forme à la marge d’un ostium folliculaire
  • Flèche turquoise : elle pointes la coiffe parakératosique qui surmonte la petite expansion papillaire qui se forme à la marge d’un ostium folliculaire
  • Étoiles rouges : les lamelles de kératine (kératose folliculaire) semblent être tapissées de fines goutelettes réfringentes (lipides?).

Un cas de parakératose héréditaire de la truffe chez un Labrador
Photo 27 (Hémalun-Eosine X 40) Thorax : L’épiderme et les infundibula folliculaires sont hyperplasiques et sièges d’une hyperkératose ayant tendance à engainer les tiges pilaires émergentes. On observe un infiltrat cellulaire dermique péri-vasculaire à lichénoïde. Le reste du derme est silencieux.

Un cas de parakératose héréditaire de la truffe chez un Labrador

Légendes de la Photo 27 :

  • Flèches turquoises : hyperkératose épidermique et folliculaire
  • Étoiles bleues : follicules pileux
  • Étoiles oranges : glandes sébacées
  • Double flèche bleue : épiderme
  • Double flèche verte : derme

Un cas de parakératose héréditaire de la truffe chez un Labrador
Photo 28 (Hémalun-Eosine X 400) Thorax : L’épiderme hyperplasique, montre
une couche granuleuse bien développée et une couche cornée épaisse et parakératosique.
On remarque un infiltrat lichénoïde et d’interface lymphocytaire dans le derme superficiel
ainsi qu’une discrète incontinence pigmentaire.

Un cas de parakératose héréditaire de la truffe chez un Labrador

Légendes de la Photo 28 :

  • Flèches turquoises : elles pointes les noyaux des cornéocytes retenus au sein de la parakératose épidermique
  • Étoiles bleues : couche granuleuse de l’épiderme, bien visible et développée pour une zone de peau velue
  • Pointes de flèche jaunes : elles pointent des lymphocytes de l’infiltrat d’interface
  • Étoile orange : incontinence pigmentaire du derme
  • Double flèche bleue : épiderme
  • Double flèche verte : derme

Un cas de parakératose héréditaire de la truffe chez un Labrador
Photo 29 (Hémalun-Eosine X 400) Thorax :  On note un discret infiltrat
lymphocytaire d’interface au sein des unités annexielles folliculo-sébacées.

Un cas de parakératose héréditaire de la truffe chez un Labrador

Légendes de la Photo 29 :

  • Étoiles rouges vides : glande sébacée
  • Étoiles bleues : tige pilaire dans le sac folliculaire
  • Pointes de flèche jaunes : elles pointent des lymphocytes de l’infiltrat d’interface, à l’interface des annexes folliculo-sébacées
  • Ovale jaune : infiltrat inflammatoire lymphocytaire

Un cas de parakératose héréditaire de la truffe chez un Labrador
Photo 30 (Hémalun-Eosine X 1000 objectif à immersion) Thorax :
On note un discret infiltrat lymphocytaire d’interface et des corps apoptotiques
isolés  au sein de la gaine épithéliale externe d’un follicule pileux.

Un cas de parakératose héréditaire de la truffe chez un Labrador

Légendes de la Photo 30 :

  • Étoile bleue : lumière d’un follicule pileux hyperkératosique (orthokératose)
  • Rond jaune : corps apoptotique
  • Pointes de flèche jaunes : elles pointent des lymphocytes (infiltrat d’interface)

Diagnostic histologique

Les application de crème Homéoplasmine® sont poursuivies sur la truffe associées à la réalisation de shampooing à base de Sebolytic® et à l’application corporelle de spray hydratant Ermidra®.

Discussion

L’hyperkératose parakératosique héréditaire de la truffe du Labrador est une génodermatose dont les manifestations cliniques apparaissent vers l’âge de 6 à 10 mois sans prédisposition sexuelle ni prédisposition liée à la couleur du pelage. Elles se traduisent par la présence de squamo-croûtes marron à grisâtre avec épaississement de la truffe, dépigmentation et atténuation voire disparition des dermatoglyphes. On peut parfois constater une tuméfaction de la truffe et la présence de fissures. Une transmission autosomale récessive est suspectée et trois hypothèses pathogéniques principales sont évoquées :

  • soit une maladie d’origine immunitaire (réaction lymphocytaire de type cytotoxique envers l’épiderme) avec une prédisposition raciale et familiale,
  • soit un trouble primaire de la cornification, compliqué par une réaction de type cytotoxique envers l’épiderme,
  • soit une maladie plurifactorielle associant par exemple des facteurs génétiques, des anomalies de la maturation kératinocytaire et une réponse inflammatoire.

Il s’agit d’une maladie incurable le traitement ne permettant que de contrôler à moyen ou long terme les lésions de la truffe, il doit être modulé en fonction de l’évolution des lésions et consiste en l’application d’un dermocorticoïde fort (type Dermoval®) en phase d’attaque une fois par jour (port de gants obligatoire). Le relais par un dermocorticoïde moins puissant peut être envisagé ainsi que l’application d’Homéoplasmine® une fois par jour. Si la truffe présente de nombreuses fissures, on conseille des applications plus fréquentes d’Homéoplasmine®  2 à 3 fois par jour puis une fois par jour jusqu’à disparition des fissures puis seulement application d’un dermocorticoïde.

L’origininalité du cas présenté est l’extension des lésions à d’autres parties du corps comme la peau velue du tronc et les pavillons auriculaires.

Bibliographie

  1. Gilles Audrey : L’hyperkératose parakératosique de la truffe du Labrador. Thèse vétérinaire n°114, 2005, ENVL, Univers. Claude-Bernard LyonI, pp106.
  2. Page N., Paradis M., Lapointe JM, Dunstan RW : Hereditary nasal parakeratosis in Labrador Retrievers. Vet derm, 2003, 14, 103-110.
  3. Peters J, Scott DW, Erb HN, Miller WH : Hereditary nasal parakeratosis in Labradors Retrievers : 11 new cases and a retrospective study on the presence of serum (”serum lakes”) in the epidermis of parakeratotic dermatoses and inflamed nasal plana of dogs.Vet Derm, 2003, 14, 197-203.
  4. sBlackwell Science Ltd
  5.  
  6. Lorsque vous suspectez un trouble prmitif de la kératinisation chez un chien, pensez à en informer  l‘équipe de Catherine André et à leur faire parvenir :
  7. des prélèvements sanguins (5 ml sur tube EDTA) du chien atteint, ainsi que de chiens non atteint de même race (qui servent de témoins)
  8. la photocopie du pedigree (si disponible)
  9. la photocopie des résultats cliniques ou de l’analyse histologique
  10. si possible une biopsie de peau, dans des milieux spécifiques pour des analyses complémentaires (tubes fournis par nos soins, sur demande : tel 02 23 23 45 09 ou http://canidna.univ-rennes1.fr/index2.php). Envoyer les prélèvements à température ambiante.

Pour plus d’informations, vous pouvez écrire à cani-DNA@univ-rennes1.fr. ou vous rendre sur Canine genetics ou contacter Antagène www.antagene.com.

Retour en haut