Un cas de parakératose granulaire


Auteur : Christian Collinot  – Août 2012
Clinique vétérinaire du ROC
117, avenue du maréchal LECLERC
86100 CHATELLERAULT


Commémoratifs

Sisko est un colley bleu mâle de 4 ans parfaitement entretenu. Il est vacciné et déparasité (APE, API) régulièrement. Il est nourri avec une alimentation industrielle classique mais de qualité. Il vit à la campagne (jardin) même s’il préfère la compagnie de ses maîtres et reste souvent à l’intérieur. Il n’a pas d’antécédent de santé significatif.

Anamnèse

 En mars, il est présenté à son vétérinaire car il a des plaques rouges sous les cuisses et sur le ventre. Un traitement de Predniderm ND (lait à la prednisolone) est prescrit.  Un mois plus tard, l’état de sa peau empire avec la présence de pustules. Le Predniderm est maintenu, appuyé par un shampooing à la chlorhexidine (Vetriderm Chlorhexidine ND) et d’une solution calmante (Dermacool ND) et  associé à un antibiotique per os à base de cephalexine (Rilexine ND) prescrit pour 20 jours. Quatre jours plus tard, sous la pression du propriétaire inquiet, une injection de cortisone est effectuée (nom de la molécule pas retrouvable dans les commémoratifs), suivie quatre jours après par de la prednisolone per os (Mégasolone ND) prescrite pour 5 jours. Le chien devenant très essoufflé et peu d’amélioration étant notée, ce chien est présenté à notre consultation 5 jours plus tard.

Examen clinique général

L’état général est bon, en dehors de la polyuro-polydypsie probablement cortico-induite.

cas-de-parakeratose-granulaire1Photo 1 : Sisko

Dermatologique

Les lésions sont strictement présentes sur les bourses, l’intérieur des cuisses et le ventre.

cas-de-parakeratose-granulaire2Photo 2 : Aucune lésion  visible en dehors
du ventre et intérieur des cuisses

Il s’agit de lésions papuleuses plus ou moins coalescentes recouvertes de grandes squames parfois très fines mimant par endroit un décollement épidermique (signe de Nikolsky) ou de croûtes. Le prurit reste intense malgré les traitements précédemment mis en place.

NB : Les illustrations ont été faites après tonte.

cas-de-parakeratose-granulaire3Photo 3 : Lésions uniquement ventrales

cas-de-parakeratose-granulaire4Photo 4 : Vue rapprochée

cas-de-parakeratose-granulaire8Photo 5 : Papules plus ou moins coalescentes

cas-de-parakeratose-granulaire7Photo 6 : Squames adhérentes

cas-de-parakeratose-granulaire6Photo 7 : Grandes squames décollées pouvant
mimer un signe de Nikolsky positif

cas-de-parakeratose-granulaire5Photo 8 : Lésions plus suintantes
et croûteuses des bourses

Hypothèses diagnostiques

Les lésions sont prurigineuses, elles sont localisées à la partie ventrale, une dermatite de contact est envisagée. Une forme atypique de parasitose (le chien vit à la campagne), un érythème polymorphe, une pyodermite ne sont pas exclues.

Examens complémentaires

Les raclages, trichogramme n’ont rien donné. Les calques sur les parties plus suintantes ont montré des polynucléaires et de nombreuses bactéries.

Quatre biopsies sont effectuées :

  1. Zone érythémato-squameuse
  2. Zone de papules coalescentes érythémateuses
  3. Zone érythémateuse
  4. Zone plus croûteuse

Compte rendu du LAPVSO :

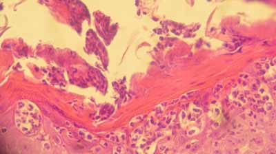
Quatre biopsies sont examinées selon différents niveaux de section et après réaction au PAS.

L’aspect lésionnel est similaire d’une biopsie à l’autre à des nuances d’intensité près.

L’épiderme est faiblement hyperplasique, émettant des crêtes épithéliales peu profondes, larges, festonnées.

Il montre une hypergranulose diffuse et une hyperkératose parakératosique diffuse, se traduisant par la formation d’une couche cornée parakératosique, diffuse très compacte, devenant superficiellement, sur certaines biopsies, pustuleuse, avec très en surface de cette couche cornée, possibilité d’accumulation d’un feutrage bactérien abondant.

cas-de-parakeratose-granulaire9Photo 9 : Hypergranulose et parakératose

cas-de-parakeratose-granulaire10Photo 10 : Vue rapprochée de l’hypergranulose
de la couche granuleuse

cas-de-parakeratose-granulaire11Photo 11 : Épiderme devenant pustuleux

Le derme en regard, paradoxalement, est peu inflammatoire…… sur une biopsie, on retrouve une lésion de folliculite. Pas de mise en évidence d ‘élément figuré ni parasitaire, ni fongique. On n’observe pas de lésion de vacuolisation hydropique des acanthocytes sous-cornés.

SI VOUS ETES VETERINAIRE : Pour lire la suite de cet article, veuillez vous enregistrer en haut à droite. Merci
Retour en haut