Septembre 2011
Auteurs :
Frédérique Degorce-Rubiales1 – CES de Dermatologie Vétérinaire, DESV d’Anatomie Pathologique Vétérinaire, Spécialiste en Anatomie Pathologique Vétérinaire
Agnès Poujade1 – DESV d’Anatomie Pathologique Vétérinaire, Spécialiste en Anatomie Pathologique Vétérinaire
1LAPVSO – 129 Route de Blagnac – 31201 Toulouse cedex 2 – www.lapvso.com
Avertissement
Le cas clinique présenté est un cas de dermatopathologie, aussi l’anamnèse, l’examen clinique, l’examen dermatologique et les examens complémentaires realisés, se limiteront aux données présentes sur la fiche de commémoratifs recue avec les prélèvements histologiques.
Commémoratifs
Un chien mâle, âgé de 3 ans présente une éclosion de néoformations en relief, exophytiques, dépigmentées, grisâtres ou blanchâtres sur la face interne et externe des babines (Photo 1).
Photo 1 : Les faces interne et externe des babines sont parsemées
de néoformations en relief, exophytiques, dépigmentées de quelques
millimètre à quelques centimètres de diamètre Photo Dr Luc Poisson.
Examens complémentaires
Exérèse de trois néoformations pour analyse histologique.
Examen histologique
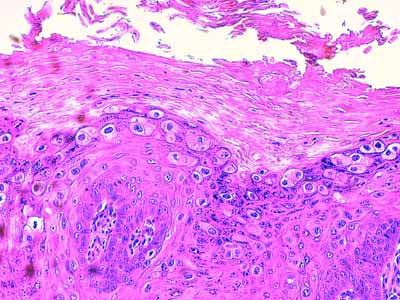
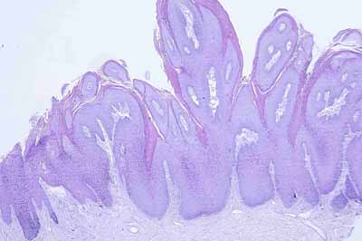
A l’examen histologique, on observe des néoformations verruqueuses, exophytiques, constituées d’un épiderme bien différencié, sévèrement hyperplasique, produisant à la surface du tégument, des projections digitées, longues et étroites (Fig 2). Cet épiderme est le siège d’une sévère hyperkératose orthokératosique ou parakératosique et d’une hypergranulose avec de volumineux grains de kératohyaline (Fig 3 &6). Sa couche basale est très développée, cellulaire, mitotique, hyperbasophile (Fig 4 & 5). Les acanthocytes sous-cornés sont vacuolisés (Fig 3 & 7). Ils montrent un cytoplasme bleuté, discrètement fibrillaire (Fig 6), ou vacuolisé, leur noyau parfois pycnotique étant entouré d’un halo clair. Il s’agit de koïlocytes (Fig 7). Certains montrent un noyau avec margination chromatinienne laissant un centre bleuté compatible avec une inclusion basophile (Fig 7). Dans le derme papillaire sous-jacent, on observe un infiltrat inflammatoire lympho-plasmocytaire d’intensité modérée. Absence d’image suspecte de malignité.
Diagnostic histologique
L’hyperplasie, l’hyperkératose, l’hypergranulose épidermique et la koïlocytose suggérant les effets cytopathogène d’un papillomavirus, l’examen histologique est en faveur de lésions de papillomatose squameuse virale.
Photo 2 (Hémalun Eosine X 100) : L’épiderme exprime une hyperplasie papillomateuse,
produisant à la surface du tégument, des projections digitées, longues et étroites,
parfois ramifiées (papilles). Cet épiderme est le siège d’une sévère
hyperkératose orthokératosique.
Légendes de la Photo 2 :
- Flèche double pointillée bleue : épaisseur épidermique / épiderme
- Flèche double pointillée rouge : derme
- Étoile rouge : hyperkératose épidermique
- Ovale noir : papille épidermique : l’épiderme émet à la surface du tégument des projections coniques digitées exophytiques et ramifiées (hyperplasie épidermique papillomateuse)
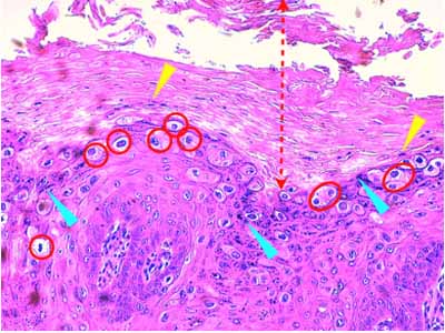
Photo 3 (Hémalun Eosine X 200) : L’épiderme hyperplasique émet des papilles coniques,
au sommet desquelles la couche cornée est très épaisse et (sur cette vue) parakératosique.
La couche granuleuse renferme de volumineux grains de kératohyaline.
Les acanthocytes sous-cornés sont vauolisés (koïlocytose).
Légendes de la Photo 3 :
- Double flèche pointillée rouge : couche cornée épaissie
- Pointe de flèche jaune : noyau résiduel de cornéocyte dans la couche cornée. La couche cornée est parakératosique
- Pointes de flèche turquoises : nombreux et volumineux grains de kératohyaline signant une hypergranulose de la couche des grains (stratum granulosum)
- Cercles rouges : koïlocytes : kératinocytes présentant un noyau entouré d’un halo clair
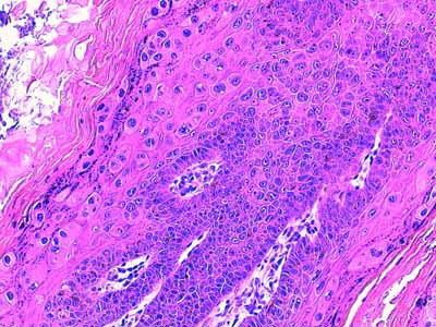
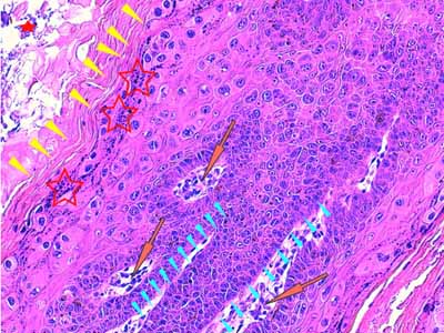
Photo 4 (Hémalun-Eosine X200) : L’épiderme hyperplasique émet
des papilles coniques, au plancher desquelles la couche basale
est très développée et hyperbasophile. Le derme papillaire
est le siège d’un infiltrat lympho-plasmocytaire modéré.
Légendes de la Photo 4 :
- Pointes de flèche jaunes : couche cornée hyperkératosique (parakératose)
- Étoiles rouges évidées : couche granuleuse hypergranuleuse abritant de nombreux et volumineux grains de kératohyaline
- Flèches oranges : derme papillaire siège d’un infiltrat lympho-plasmocytaire modéré
- Pointes de flèche turquoises : elles délimitent le contour du plancher d’une papille épidermique qui est formé d’une crête épithéliale densément peuplée de kératinocytes au noyau hyperchromatique
- Étoile rouge pleine : présence d’amas de bactéries bleutées cocciformes dans la couche cornée
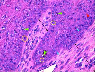
Photo 5 (Hémalun-Eosine X400) : Vue rapprochée de la couche basale et
des couches parabasales : on y remarque une anisocaryose et des Photos mitotiques.
Le derme papillaire est le siège d’un infiltrat lympho-plasmocytaire modéré.
Légendes de la Photo 5 :
- Pointes de flèche turquoise : mitoses (cellules épithéliales basales ou parabasales en mitose)
- Anisocaryose : certaines cellules basales ou parabasales (pointes de flèche vertes) ont un noyau plus volumineux que celui de leur voisine (cercles jaunes)
- Doubles flèches pointillées noires : derme inflammatoire
- Pointe de flèche rouge : les crêtes épithéliales apparaissent hypercellulaires, les noyaux s’entrechoquent, se superposent ou certaines cellules sont bi-nucléées
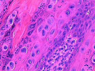
Photo 6 (Hémalun-Eosine X400) : Vue rapprochée d’une papille épidermique :
la couche épineuse héberge des acanthocytes au cytoplasme volumineux et distendu,
d’aspect pâle ou bleuté. Leur noyau est hyperchromatique et sa nucléolation marquée.
Légendes de la Photo 6 :
- Étoiles rouges : couche cornée hyperkératosique (orthokératose)
- Pointes de flèche turquoises : couche granuleuse hypergranuleuse abritant de nombreux et volumineux grains de kératohyaline
- Flèches oranges : derme papillaire siège d’un infiltrat lympho-plasmocytaire modéré
- Cercles jaunes : kératinocytes de la couche épineuse présentant un volumineux cytoplasme distendu et bleuté ainsi qu’un noyau plurinucléolé à chromatine mottée
Photo 7 (Hémalun-Eosine 400) : Vue au fort grossissement du sommet
d’une papille épidermique : présence de koïlocytes : kératinocytes dont le noyau,
parfois pycnotique, est entouré d’un halo clair ou d’espaces vacuolaires.
Légendes de la Photo 7 :
- Pointes de flèche vertes : noyaux pycnotiques
- Pointes de flèche rouges : noyaux à chromatine marginée et centre basophile compatible avec une inclusion intra-nucléaire
- Pointes de flèche turquoises : volumineux et nombreux grains de kératohyaline (hypergranulose)
- Pointe de flèche jaune : corps apoptotique
- Pointe de flèche bleue : lymphocyte satellite (satellitose)
- Cercles jaunes : koïlocytes : kératinocytes dont le noyau peut être pycnotique ou à chromatine marginée et entouré d’un halo clair ou de vacuoles cytoplasmiques
Nous ne connaissons pas le traitement qu’a reçu l’animal ni le résultat des autres éventuels examens complémentaires.
Discussion
Les papillomavirus (PV) sont reconnus comme pouvant induire chez le chien la papillomatose squameuse orale, les papillomes squameux cutanés exophytiques, les papillomes squameux cutanés inversés et les plaques cutanées virales (1). Il existe au sein des papillomavirus canins une grande variabilité phénotypique. On connaît à l’heure actuelle le COPV (Canine Oral PapillomaVirus), le CfPV-2 (Canis Familiaris PapillomaVirus 2), le CfPV-3, le CfPV-4, le CfPV-5, le CfPV-6, le CfPV-7 (2,3,4). Les CfPV-3, le CfPV-4, le CfPV-5 et un autre phénotype dont l’étude phylogénique est encore incomplète ont été retrouvés dans des lésions de type plaques cutanées virales (4,5,6). Le COPV, le CfPV-2 et deux autres virus apparentés à COPV mais dont l’étude phylogénique est incomplète ont été isolés de papillomes squameux cutanés inversés (7). Le Net et al (18) ont également décrit un PV donnant un papillome squameux inversé particulier où les kératinocytes infectés présentent une inclusion intra-nucléaire et une accumulation intra-cytoplasmique de tonofilaments kératinocytaires. Attention toutefois, le fait de trouver du matériel génétique de PV dans des lésions cutanées ne prouve pas systématiquement qu’ils sont à l’origine de ces lésions, car des PV ont été détectés dans la peau saine d’autres espèces(8,9,10), mais la détection de leur matériel génétique conjointement à la présence de lésions traduisant leur effet cytopathogène, le suggère clairement (7).
La papillomatose virale est une lésion bénigne qui survient classiquement chez le chien jeune (moins de 3 ans) (11). Elle est induit par le papillomavirus canin COPV (11). Elle est en général multicentrique et localisée à la tête et aux muqueuses buccale, pharyngée ou laryngée, mais peut être isolée (papillome unique) et de localisation variable. Elle présente une tendance à la régression spontanée en quelques semaines à quelques mois (4 à 8 semaines) (13). Une hypersensibilité à médiation cellulaire via des lymphocytes CD4+ est suggérée être à l’origine de cette régression chez l’Homme et le chien (13). Le pronostic est donc lié au nombre et à la localisation des lésions (12). Dans une colonie de chiens immunodéprimés une évolution progressive de papillomes viraux vers le développement de carcinomes épidermoïdes a néanmoins été décrite, survenant dans un délai de 3,5 ans et avec une évolution métastatique pour 75% des sujets de l’effectif (13), de même la transformation carcinomateuse de plaques cutanées virales chez des sujets immunodéprimés (sujets hypothyroïdiens ou recevant un traitement immunosuppresseur) (14,15,16) ou immunocompétents (1) sur une période de 20 mois à 3 ou 5 ans. Il est suggéré que l’infection cutanée par un papillomavirus agirait comme un promotteur du développement carcinomateux en inhibant ou réduisant l’apoptose des kératinocytes et en stimulant leur multiplication après que leur ADN a été endommagé par les rayons ultra-violets d’origine solaire. Les papillomavirus et l’exposition solaire agiraient donc comme des co-facteurs de la transformation carcinomateuse de l’épiderme (17).
Remerciements
Nos plus sincères et vifs Remerciements au Docteur vétérinaire Luc Poisson, Clinique vétérinaire des Acacias, 23-25 Avenue de la Libération, 45000 Orléans, pour son cliché photographique, sa confiance et sa permission d’exploiter ce cas sur Dermavet section histopathologie.
Pour en savoir plus
À consulter sur Dermavet
Un cas de papillomes squameux inversés chez un chien par Christian Collinot mai 2006
Bibliographie
- Munday JS, O’Connor KI, Smits B : Development of multiple pigmented viral plaquesand squamous cell carcinomas in a dog infected by a novel papillomavirus Veterinary Dermatology, 22, 104–110.
- Gross TL, Ihrke PJ, Walder EJ et al. Skin Diseases of the Dog and Cat: Clinical and Histopathologic Diagnosis, 2nd edn. Oxford: Blackwell Science, 2005: 567–74.
- Teifke JP, Lohr CV, Shirasawa H. Detection of canine oral papillomavirus-DNA in canine oral squamous cell carcinomas and p53overexpressing skin papillomas of the dog using the polymerase chain reaction and non-radioactive in situ hybridization. Veterinary Microbiology 1998; 60: 119–30.
- Lange CE, Tobler K, Ackermann M et al. Three novel caninepapillomaviruses support taxonomic clade formation. Journal of General Virology 2009; 90: 2615–21.
- Tobler K, Favrot C, Nespeca G et al. Detection of the prototypeof a potential novel genus in the family Papillomaviridae in associationwith canine epidermodysplasia verruciformis. Journal of General Virology 2006; 87: 3551–7.
- Tobler K, Lange C, Carlotti DN et al. Detection of a novel papillomavirusin pigmented plaques of four pugs. Veterinary Dermatology 2008; 19: 21–5.
- Lange CE, Tobler K, Brandes K, Breithardt K, Ordeix L, Von Bomhard W, Favrot C : Canine inverted papillomas associated with DNA of four different papillomaviruses. Veterinary Dermatology, 21, 287–291.
- Antonsson A, Erfurt C, Hazard K et al. Prevalence and type spectrum of human papillomaviruses in healthy skin samples collectedin three continents. Journal of General Virology 2003; 84: 1881–6.
- Antonsson A, Forslund O, Ekberg H et al. The ubiquity and impressive genomic diversity of human papillomavirus suggest a commensalic nature of the viruses. Journal of Virology 2000; 74: 11636–41.
- Antonsson A, Hansson BG. Healthy skin of many animal species harbours papillomaviruses which are closely related to their human counterparts. Journal of Virology 2002; 76: 12537–42.
- Goldschmidt MH, Kennedy JS, Kennedy DR et al. Severe papillomavirusinfection progressing to metastatic squamous cell carcinomain bone marrow-transplanted X-linked SCID dogs. Journal of Virology 2006; 80: 6621–8.
- Withrow & MacEwen’s Small Animal Clinical Oncology, 4Th edition, 2007, St Louis Saunders Elsevier by Withrow S.J. and Vail D.M. p 470.
- Goldschmidt MH, Kennedy JS, Kennedy DR et al. Severe papillomavirus infection progressing to metastatic squamous cell carcinoma in bone marrow-transplanted X-linked SCID dogs. Journal of Virology 2006; 80: 6621–8.
- Stokking LB, Ehrhart EJ, Lichtensteiger CA et al. Pigmented epidermalplaques in three dogs. Journal of the American Animal Hospital Association 2004; 40: 411–7.
- Callan MB, Preziosi D, Mauldin E. Multiple papillomavirusassociatedepidermal hamartomas and squamous cell carcinomas in situ in a dog following chronic treatment with prednisone and cyclosporine. Veterinary Dermatology 2005; 16: 338–45.
- Nagata M, Nanko H, Moriyama A et al. Pigmented plaquesassociated with papillomavirus infection in dogs: is this epidermodysplasia verruciformis? Veterinary Dermatology 1995; 6: 179–86.
- Munday JS, Kiupel M. Papillomavirus-associated cutaneous neoplasia in mammals. Veterinary Pathology 2010; 47: 254–64.
- Le Net JL, Orth G, Sundberg JP, Cassonnet P, Poisson L, Masson MT, George C, Longeart L. : Multiple pigmented cutaneous papules associated with a novel canine papillomavirus in an immunosuppressed dog.Vet Pathol. 1997 Jan;34(1):8-14.
- Yagci BB, Ural K, Ocal N, Haydardedeoglu AE: Azithromycin therapy of papillomatosis in dogs: a prospective, randomized, double-blinded, placebo-controlled clinical trial. Veterinary Dermatology, 2008, Vol 19, Iss 4, pp 194-198 .
- Biricik HS, Cabalar M, Gulbahar MY: Oral papillomatosis in a dog and its therapy with taurolidine. Acta Veterinaria Brno, 2008, Vol 77, Iss 3, pp 373-375.












