Un cas de mycosis fongoide chez un chien


Auteur : Christian Collinot  – Février 2011
Clinique vétérinaire du ROC
117, avenue du maréchal LECLERC
86100 CHATELLERAULT


Anamnèse

Merlin est un chien mâle de race Terre Neuve de 8 ans. Il est correctement vacciné et reçoit  régulièrement des APE et API. Il est nourri avec une alimentation industrielle de bonne qualité. Il a fait une piroplasmose à un an et une autre à six ans. A cinq ans, sa bouche a fait connaissance avec des chenilles processionnaires et la guérison s’est effectuée sans séquelles. Il n’a aucun passé dermatologique.

Commémoratifs

Il est vu une première fois en décembre pour des lésions mimant des hot spots, accompagnées d’un squamosis important sur le dos et de lésions croûteuses sur le ventre et les membres. Suite à un diagnostic de suspicion de pyodermite, un traitement à base de quinolone est institué. Les propriétaires ont choisi l’utilisation d’enrofloxacine à 10% (présentation buvable pour animaux de ferme hors AMM d’espèces pour le chien) à la dose de 5mg/kg/j soit 3,5ml de la solution associée à des shampooings à la chlorhexidine. Le traitement n’a donné aucun résultat et le chien devient  de plus en plus algique. Malgré les soins généraux et locaux, le suintement et une odeur forte sont de plus en plus présents.

Examen clinique

Merlin a perdu du poids, il s’alimente irrégulièrement et est algique notamment lors de manipulations. Par contre l’examen général ne révèle rien de particulier.

Examen dermatologique

De loin, ce sont les lésions ventrales qui attirent l’œil en premier. La peau est érythémateuse et les poils sont collés, résultat d’exsudat mais aussi du mâchonnement et du léchage.

cas-de-mycosis-fongoide-chez-chien1

Photo 1 : lésions plus visibles ventralement

Les lésion sont réparties sur tout le corps, pattes, dos, tête et ventre, même, si n’étant pas alopéciantes, elles restent beaucoup plus discrètes sur le dos où l’on trouve principalement des squames-croûtes.

On visualise directement les lésions sur le ventre et les cuisses où le poil est moins dense.

cas-de-mycosis-fongoide-chez-chien2

Photo 2 : lésions du ventre

Les poils sont collés, la peau est le siège des lésions érythémateuses.

cas-de-mycosis-fongoide-chez-chien3

Photo 3 : poils collés et lésions érythémateuses

La peau semble infiltrée par des cordons qui sont ulcérés par endroits. On voit des zones hyperpigmentées.

cas-de-mycosis-fongoide-chez-chien4

Photo 4 : cordons érythémateux avec ulcération, zones hyperpigmentées

Le suintement est important et agglomère les poils.

cas-de-mycosis-fongoide-chez-chien5

Photo 5 : poils agglomérés par le suintement

On retrouve les mêmes lésions partout sur le corps.

cas-de-mycosis-fongoide-chez-chien6

Photo 6 : lésions croûteuses d’un antérieur

cas-de-mycosis-fongoide-chez-chien7

Photo 7 : après tonte de la patte, infiltration et ulcérations

cas-de-mycosis-fongoide-chez-chien8

Photo 8 : lésions corporelles après tonte

cas-de-mycosis-fongoide-chez-chien9

Photo 9 : résumé des lésions

En résumé (photo 9) : infiltration en cordons érythémateux plus ou moins arciformes ou en plaques (flèche rouge), avec ulcérations sur ces zones infiltrées (flèche bleue) associées à un exsudat formant des croûtes agglomérant le poils (flèche jaune) et hyperpigmentation (flèche noire).

Des lésions infiltrées plus nodulaires sont présentes sous la truffe,

cas-de-mycosis-fongoide-chez-chien10

Photo 10 : infiltrations nodulaires sous la truffe

Et le bord des  lèvres est complètement infiltré.

cas-de-mycosis-fongoide-chez-chien11

Photo 11 : lèvres infiltrées

On retrouve aussi des infiltrations du bord de la paupière.

cas-de-mycosis-fongoide-chez-chien12

Photo 12 : infiltration du bord de la paupière

Hypothèses diagnostiques :

  • Maladie auto-immune
  • Processus néoplasique dont lymphome épithéliotrope
  • Érythème polymorphe majeur
  • Pyodermite infectieuse
  • Érythème nécrolytique migrant

Examens complémentaires

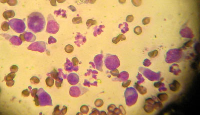
Des calques cutanés sont effectués. Deux lectures différentes en zone ulcérée croûteuse :

  • prédominance de polynucléaires neutrophiles et de nombreux coques extracellulaires mais aussi intracellulaires, présence d’histiocytes et de quelques cellules mononuclées en amas.
  • Par pression sur un cordon érythémateux : présence de cellules mononuclées de type lymphocytes  ou  lymphoblastes en grande quantité.

cas-de-mycosis-fongoide-chez-chien13

Photo 13 : présence de cellules mononuclées sur la calque

Cinq biopsies au punch de 6 sont effectuées :

  • plaque ulcérée
  • plaque érythémateuse
  • plaque érythémato-ulcéro-croûteuse
  • cordon érythémateux en relief
  • plaque hyperpigmentée.

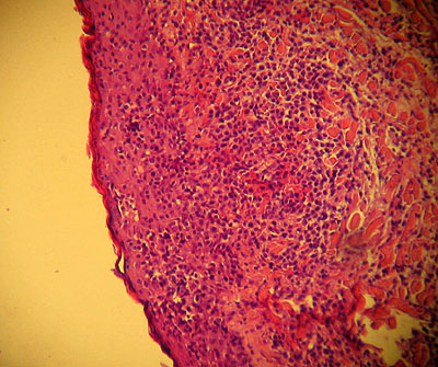
Compte rendu du LAPVSO : Cinq biopsies cutanées sont examinées selon différents niveaux de section et après réaction au PAS. On observe un épiderme faiblement hyperplasique, siège d’une hyperkératose orthokératosique modérée et d’une exocytose assez régulière, multifocale à diffuse, intéressant également l’infundibulum folliculaire. Il s’agit d’une exocytose de cellules mononuclées qui a tendance à former des collections cellulaires intra-épithéliales de type « micro-abcès de Pautrier. Il s’agit surtout d’une exocytose de petites cellules à fort rapport nucléo-cytoplasmique, au noyau plicaturé, convoluté, à chromatine pâle, piquetée autour de discrets nucléoles et à cytoplasme peu étendu, pâle en couronne. Ces éléments sont parfois mitotiques. Focalement, ils sont visibles à l’interface des glandes sébacées et dans la paroi des glandes sudorales. En outre, cet infiltrat quelque peu atypique et convoluté, mononucléé, se retrouve autour des vaisseaux du derme superficiel où il est associé à quelques cellules mastocytaires et plasmocytes.

Conclusion : la cytologie et l’architecture sont en faveur d’un lymphome T cutané de type cérébriforme, rappelant le mycosis fongoïde humain (au stade érythémateux principalement).

cas-de-mycosis-fongoide-chez-chien15

Photo 14 : histologie, infiltration par cellules mononuclées

cas-de-mycosis-fongoide-chez-chien14

Photo 15 : histologie « micro-abcès » de Pautrier

Diagnostic

Il s’agit d’un lymphome épithéliotrope

SI VOUS ETES VETERINAIRE : Pour lire la suite de cet article, veuillez vous enregistrer en haut à droite. Merci
Retour en haut