Un cas de mucinose cutanée chez un Shar Pei


Auteurs : Arnaud Muller et Éric Guaguereuller  – Août 2004
Clinique Vétérinaire Saint Bernard
598 avenue de Dunkerque
F-59160 Lomme
www.clinvetsaintbernard.com


Anamnèse

Un chien Shar Peï mâle de 8 mois nous est adressé pour une dermatose prurigineuse évoluant depuis 2 mois. Des lésions vésiculeuses et un érythème sont apparus 2 mois auparavant et aucun des traitements entrepris préalablement n’a permis d’amélioration notable (antibiothérapie pendant 1 mois, shampooings antiseptiques hebdomadaires, lotions hebdomadaires d’amitraze pendant 1 mois, selamectine 3 fois à 15 jours d’intervalle). Une alopécie sur le ventre, le cou et les membres s’est développée le deuxième mois. Le prurit présent dès l’apparition des lésions s’est accentué sur les 15 derniers jours. Le chien n’a aucun contact avec d’autres congénères et est correctement traité contre les puces.

Examen clinique

Examen général

Aucune anomalie

Examen dermatologique à distance

Révèle d’emblée un excès de plis cutanés et surtout un épaississement de la peau sur l’ensemble du corps, en particulier au niveau de la face (Photos 1 et 2) et des tarses qui apparaissent extrêmement gonflés (Photo 3).
De nombreuses zones alopéciques sont également aisément visibles sur la face, le ventre, le poitrail et les membres (Photos 2 et 3). Le prurit est sévère.

cas-de-mucinose-cutanee-chez-shar-pei1
cas-de-mucinose-cutanee-chez-shar-pei2

Photos 1 et 2 : Vues de face et de profil de la tête.
Noter l’alopécie et surtout le gonflement cutané majeur.

cas-de-mucinose-cutanee-chez-shar-pei3

Photo 3 : Gonflement cutané et plis importants,
provoquant une déformation des tarses.

L’examen dermatologique rapproché confirme l’épaississement cutané généralisé très important, tout particulièrement autour des yeux (Photo 4), à l’entrée des conduits auditifs (Photo 5) et au niveau des babines (Photo 6). Dans les zones alopéciques, l’examen rapproché met en évidence de très nombreuses papules et vésicules (Photo 7), dont la pression laisse soudre un liquide translucide et filant.

cas-de-mucinose-cutanee-chez-shar-pei4

Photo 4 : Épaississement cutané recouvrant les yeux

cas-de-mucinose-cutanee-chez-shar-pei5

Photo 5 : Obstruction du conduit auditif externe

cas-de-mucinose-cutanee-chez-shar-pei6

Photo 6 : Épaississement des lèvres

cas-de-mucinose-cutanee-chez-shar-pei7

Photo 7 : Multiples papules et vésicules sur la face externe de la cuisse

Cette dermatose alopéciante, papulo-vésiculeuse et s’accompagnant d’un épaississement cutané évoque en premier lieu une mucinose dermique, potentiellement compliquée de surinfections bactériennes (folliculite à l’origine des lésions alopéciques), mais une démodécie, une gale sarcoptique ou un processus allergique ne peuvent être totalement écartés. 

Examens complémentaires

  • Les calques cutanés montrent une surinfection bactérienne modérée (cocci en position extracellulaire et intracellulaire).
  • Les raclages cutanés ne mettent en évidence aucun élément figuré (demodex en particulier). Notons toutefois qu’un érythème extrêmement important apparaît dans les zones raclées (Photo 8).

cas-de-mucinose-cutanee-chez-shar-pei8

Photo 8 : Érythème apparu après un raclage cutané

  • L’examen cytologique du liquide prélevé dans une vésicule par ponction à l’aiguille fine ne permet la visualisation d’aucune cellule (liquide acellulaire).
  • Des biopsies cutanées sont réalisées. Le derme apparait luisant à l’œil nu sur le site biopsique (Photo 9).

cas-de-mucinose-cutanee-chez-shar-pei9

Photo 9 : Aspect luisant du derme (présence de mucine)

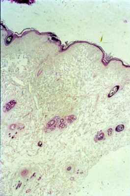
  • L’examen histopathologique révèle la présence dans le derme d’une substance pâle, basophile qui dissocie les fibres de collagène (Photo 10).
    Cette substance est identifiée comme de la mucine, ici en quantité beaucoup plus importante que ce qui peut être retrouvé physiologiquement chez le Shar Peï.
  • La dissociation du collagène et l’hydratation importante de la matrice extracellulaire provoque l’apparition d’espaces optiquement vides.
  • Des mastocytes sont présents en très grand nombre dans le derme, de même que quelques fibroblastes d’aspect étoilé (activité fibroblastique).

cas-de-mucinose-cutanee-chez-shar-pei10

Photo 10 : Examen histopathologique cutané. Mucinose dermique : noter la présence dans le derme d’une substance pâle et basophile qui dissocie les fibres de collagène, formant ainsi des espaces optiquement vides (cliché LAPVSO, HE X 20).

SI VOUS ETES VETERINAIRE : Pour lire la suite de cet article, veuillez vous enregistrer en haut à droite. Merci

Retour en haut