Un cas de mastocytome multicentrique traité par la lomustine


Auteurs :  A. Muller(1), E. Guaguère (1), C.Muller (1), F. Degorce-Rubiales (2), P. Devauchelle (3), M. Delverdier (4) – Novembre 2002
(1) Clinique Saint-Bernard, 598 avenue de Dunkerque 59160 Lomme, France.
(2) LAPVSO, 129 route de Blagnac 31201 Toulouse, France.
(3) Centre de Cancérologie Vétérinaire, 7 avenue du Général de Gaulle 94700 Maisons-Alfort.
(4) Ecole Nationale Vétérinaire de Toulouse, 23 chemin des Capelles 31076 Toulouse, France
Cette présentation a fait l’objet d’un poster au congrès de l’ESVD à Nice en 2002


 

Présentation clinique

Une femelle Labrador de 3,5 ans nous est présenté du fait de l’apparition depuis un mois de nombreux nodules cutanés (environ 30), initialement localisés sur la face (chanfrein, pavillons auriculaires) puis gagnant d’autres zones corporelles (cou, abdomen ventral). Les lésions sont intradermiques, surélevées, souvent ulcérées et leur taille est variable (3 mm à 4 cm). Certaines sont coalescentes et forment alors de véritables plaques. Le prurit est modéré. L’état général de l’animal est bon.
Le diagnostic différentiel comprend le mastocytome cutané multicentrique, l’histiocytose cutanée, le granulome éosinophilique et la furonculose éosinophilique.

cas-de-mastocytome-multicentrique-traite-lomustine1at0
cas-de-mastocytome-multicentrique-traite-lomustine3aat0
cas-de-mastocytome-multicentrique-traite-lomustine2b

Examens complémentaires

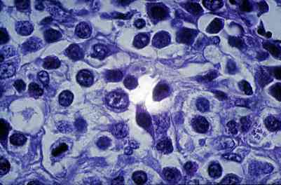
L’examen cytologique (calque par impression sur les lésions ulcérées et ponction à l’aiguille fine de nodules) montre essentiellement quelques mastocytes peu différenciés et des éosinophiles.
L’analyse histopathologique (biopsies de nodules par la technique de la côte de melon) révèle un mastocytome cutané de grade II (nombreux mastocytes atypiques avec des images de mitoses). Des zones de collagénolyse et de furonculose éosinophilique sont également notées (F. Degorce-Rubiales, LAPVSO). La nature de la tumeur est confirmée par l’existence d’une métachromasie avec une coloration au bleu de toluidine.
Enfin, une étude immunohistochimique réalisée à l’ENVT par le Pr Delverdier montre un index Ki-67 supérieur à 10%, ce qui assombrit le pronostic.

cas-de-mastocytome-multicentrique-traite-lomustine4a

Bilan d’extension

La cytologie ganglionnaire, les radiographies thoraciques et l’échographie abdominale ne montrent aucune anomalie. La Numération-Formule sanguine et le bilan biochimique sont également dans les valeurs usuelles.

SI VOUS ETES VETERINAIRE : Pour lire la suite de cet article, veuillez vous enregistrer en haut à droite. Merci
Retour en haut