Auteur : Christian Collinot – Février 2015
Clinique vétérinaire du ROC
117, avenue du maréchal LECLERC
86100 CHATELLERAULT
Commémoratifs
Roxane est une chienne croisée Épagneul noire et blanche de 10 ans, non stérilisée. Elle vit à la campagne, reçoit des APE et API et est vaccinée. Elle mange une alimentation industrielle de bonne qualité. Elle a été recueillie par ses actuels propriétaires dans le cadre de l’opération spéciale «doyens» et sa vie passée n’est pas documentée (une partie en refuge avant adoption).
Anamnèse
Adopté depuis trois mois, elle est présentée à son vétérinaire pour la première fois pour une pyodermite du ventre et de la vulve. Elle reçoit un Traitement antibiotique, anti-inflammatoire non stéroïdien et localement à base de pommade à la fucidine pendant 15 jours. Deux mois plus tard, elle est revue lors de la vaccination et les problèmes dermatologiques incitent le vétérinaire à référer le cas.
Examen général
L’examen général est correct.
Examen dermatologique
Des lésions sont présentes sur tout le corps, sauf les pattes, mais avec une présentation différente.
Sur un fond très squameux du dos, sont présentes des lésions rondes érythémateuses et squameuses en particulier au centre.
Photo 1 : dos très squameux
Photo 1bis : lésion squameuse du dos
Photo 2 : lésion érythémato-squameuse
Le ventre est en grande partie recouvert par des plaques érythémateuses, parfois ulcérées ou croûteuses, plus ou moins coalescentes, entourées par un épiderme hypo ou hyperpigmenté.
Photo 3 : vue général du ventre
Photo 4 : plaques rondes érythémateuses du ventre
Dans les zones plus poilues, on retrouve des lésions érythémateuses mais elles sont beaucoup plus ulcératives et suintantes et ne respectent pas l’architecture arrondie.
Photo 5 : zone poilue plus ulcérée et suintante
On retrouve dans la zone du périnée des lésions érythémateuses plus ulcératives de forme arciforme ou serpigineuse.
Photo 6 : lésions serpigineuses de la vulve
Photo 7 : lésions de la base de la queue et anus
La tête est le siège d’une otite externe bactérienne,

d’une infiltration érythémateuse des lèvres et de la base de la truffe,
Photo 9 : infiltration des babines
Photo 10 : infiltration de la base de la truffe
et d’une infiltration ou inflammation des paupières.
Photo 11 : lésions des paupières
Hypothèses cliniques
- Pyodermite
- Processus néoplasique (dont lymphome épithéliotrope)
- Erythème polymorphe
- M.A.I.
- Leishmaniose
- Érythème nécrolytique migrant
Examens complémentaires
Calques
Sur les parties suintantes, on retrouve une population bigarrée, riche en polynucléaires pour beaucoup altérés ou dégénérés avec présence de bactéries (beaucoup de coques, surtout extracellulaires).
Sur certaines parties ulcérées, on retrouve une population homogène de cellules rondes au cytoplasme basophile de type lymphocytaire avec des atypies et des noyaux parfois plurinucléolés avec des nucléoles de taille variée souvent importante.

Biopsies
5 biopsies sont réalisées et confiés au LAPVSO
- lésion de type dermite séborrhéique ronde du flanc
- lésion ulcérée
- lésion infiltrée des babines
- plaque érythémato-croûteuse du ventre
- plaque très squameuse
Compte rendu
Cinq biopsies cutanées sont examinées selon différents niveaux de section et après réaction au PAS.
Sur deux biopsies, l’épiderme est hyperplasique, montre une couche granuleuse bien développée, une hyperkératose orthokératosique, coiffe un derme superficiel fibroblastique avec des foyers inflammatoires entourant les annexes notamment des glandes sudorales apocrines épitrichiales rétentionnelles, des follicules pileux parfois kystiques ou comédonneux. L’une de ces biopsies montre dans la couche cornée des résidus squamo-croûteux abondants, dans le derme on trouve des reliquats cicatriciels périannexiels.
Une autre biopsie montre un aspect un peu similaire avec un épiderme focalement sévèrement ulcéré, l’ulcération laissant à nu le derme sous-jacent qui est le siège d’un tissu de granulation néovascularisé et d’un infiltrat inflammatoire à forte prédominance plasmocytaire. Dans l’épiderme adjacent, on observe quelques petits foyers d’exocytose basale de cellules mononucléées lymphocytaires mais sans nettes atypies.
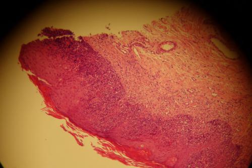
Sur deux autres biopsies, une d’entre elles a des annexes bien développées et un tissu musculaire strié bien visible (il pourrait s’agir pour l’une d’entre elles de la biopsie à localisation faciale). On observe sur ces biopsies, un aspect différent. L’épiderme est le siège d’une acanthose irrégulière d’intensité modérée et d’une hyperkératose parakératosique. Dans les couches les plus basales de l’épiderme, on observe un intense infiltrat cellulaire formé principalement de cellules mononucléées.
Photo 13 : infiltrat lymphoïde épidermotrope
Il s’agit d’une exocytose de cellules individuelles qui ont tendance toutefois à se collecter en petits micro-abcès. Ces cellules sont mononucléées, dotées d’un noyau plicaturé à chromatine pâle, à nucléolation discrète mais parfois multiple et faiblement apparente et à cytoplasme pâle peu abondant, polaire. Un certain nombre de ces cellules montre une Photo mitotique. Elles ont une taille et une forme variables. L’infiltrat occupe les deux tiers profonds de l’épaisseur épidermique. A la jonction entre l’épiderme sain et cet épiderme infiltré, on observe un grand nombre de cellules acidophiles plus ou moins rétractées, aux noyaux viables ou rétractés évoquant des corps apoptotiques. Un certain nombre d’entre eux sont entourés de quelques cellules mononucléées lymphocytaires satellites. Dans le derme, on trouve une vascularisation, une fibroplasie et un infiltrat qui reste périvasculaire et polymorphe. On observe également autour des annexes des manchons inflammatoires mais plutôt plasmocytaires avec une exocytose seulement très ponctuelle au sein de certaines annexes, sans jamais former une exocytose aussi massive que celle de l’épiderme.
Conclusion
L’aspect histologique est assez déroutant : sur deux biopsies, on observe surtout des lésions de dermatite chronique cicatricielle avec des lésions anciennes ou séquellaires de pyodermite profonde, l’une des biopsies étant ulcérée. Une biopsie montre un aspect intermédiaire et deux autres biopsies montrent une forte exocytose basale strictement intra-épidermique de cellules lymphoïdes atypiques associée à de nettes lésions de nécrose kératinocytaire et parfois de satellitose.
Diagnostic
Lymphome épithéliotrope
Recherches Connexes
lymphome chien, système lymphatique, espérance de vie, chien












