Un cas de granulome mycosique félin


Auteur : Pascal Jahan – Novembre 2009
CES Derm Vet
Contres (41)


Roucky, chat mâle entier âgé de 7 ans, est présenté à la consultation pour une masse nodulaire du chanfrein. Cette consultation est principalement motivée par l’inquiétude des propriétaires face à l’éventualité de transmission de l’affection à un nourrisson. Ces derniers évoquent d’emblée l’euthanasie de Roucky avec une angoisse non feinte.

Commémoratifs

Roucky vit en milieu rural et passe l’essentiel de son temps à l’extérieur. Il n’a jamais quitté le territoire national métropolitain.
Des abcès ayant régressé à des traitements aux Beta-lactamines constituent ses seuls antécédents pathologiques.

Anamnèse

L’évolution de la néoformation faciale est lente et régulière depuis un an. Deux traitements antibiotiques et une injection ayant entraîné une polyuro-polydipsie durant quinze jours n’ont pas modifié de façon appréciable la croissance du nodule. Un nodule satellite est apparu un mois avant la consultation. Depuis deux semaines ces deux masses sont ulcérées.

L’état général n’a jamais été altéré au cours de l’évolution de la dermatose. Aucune contamination humaine n’est rapportée.

Examen Clinique

Examen clinique général

Roucky pèse 4 kg.

L’examen clinique général révèle une hypertrophie discrète des nœuds lymphatiques rétropharyngiens comme seule anomalie détectable.
Aucun symptôme associé aux inflammations des voies respiratoires supérieures : jetage, toux, éternuements, n’est noté.
L’auscultation pulmonaire est normale.

Examen dermatologique

Deux lésions nodulaires alopéciques du chanfrein sont constatées. La lésion la plus volumineuse est située en partie basse du chanfrein, contiguë à la truffe. Son diamètre est d’environ 2.5 cm. Un large ulcère au fond suintant, au contour irrégulier est présent sur la zone la plus proéminente du nodule. Un deuxième nodule d’environ 7 mm de diamètre est situé à mi-distance des canthi oculaires internes et porte en son centre un petit ulcère couvert d’une croûte. La manipulation des lésions n’est pas douloureuse et fait sourdre par le fond des ulcères un liquide séreux sans grain. Il ne s’agit pas d’un mycétome.

cas-de-granulome-mycosique-felin-1Photo 1

Synthèse clinique

Nodules du chanfrein : ulcères, non suppurés, d’évolution lente

Cytoponctions et hypothèses diagnostiques consécutives

Démarche diagnostique

Les hypothèses diagnostiques initiales sont nombreuses car incluant l’ensemble des dermatoses nodulaires d’évolution lente d’étiologie : tumorale, bactérienne, mycosique.

La cytoponction est un examen complémentaire incontournable en cas de dermatose nodulaire. Par conséquent, il nous a paru judicieux de n’envisager les hypothèses diagnostiques qu’après les avoir restreinte par un examen cytologique préalable.

Cytoponctions

Des ponctions du gros nodule et des nœuds lymphatiques rétropharyngiens hypertrophiés sont réalisées sur le chat vigile avec une aiguille 0.5×16. Après étalement sur lame, nous effectuons les examens après séchage à l’air et coloration rapide (R.A.L. 555 N.D. – réactifs R.A.L.).

Cytologie lésionnelle

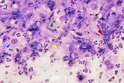
cas-de-granulome-mycosique-felin-2

Photo 2

Au sein d’une population de macrophages fréquemment plurinucléés et parfois spumeux, nous observons de nombreux éléments fongiques :

  • Des filaments hyalins non ramifiés de largeur constante: les hyphes septés,

  • Des corps ovoïdes à parois épaisses et réfringentes de 5 à 20 µm de diamètre dont l’affinité tinctoriale est très variable, libres ou intra-macrophagiques (spores ou levures).Certains présentent un bourgeonnement multipolaire sur une base étroite ou plus rarement sympodial. Aucune capsule n’est visible à leur périphérie,

  • Des chapelets formés de corps ovoïdes en enfilade: les pseudo-hyphes.

L’abondance de ces éléments figurés affirme le pouvoir pathogène du champignon.

Cytologie ganglionnaire

Quelques amas d’histiocytes épithélioïdes sont visibles au sein d’une population lymphocytaire normale. Aucun élément figuré fongique libre ou phagocyté n’est observé.

Hypothèses diagnostiques

Elles regroupent l’ensemble des mycoses, décrites en Europe, pouvant s’exprimer chez le chat sous forme d’un granulome et dont les caractères morphologiques en lésion (coexistence d’éléments levuriformes et d’hyphes septés) sont compatibles avec nos observations cytologiques (voir discussion : tableau 2)

Ainsi, ces caractères morphologiques sont incompatibles avec une sporotrichose ou une histoplasmose : zoonoses potentielles, décrites en Europe et présentes en lésion uniquement sous forme « levure ».

Néanmoins, seule l’observation des formes de reproduction en culture permet la diagnose d’espèce.

Implications

La cytologie, examen complémentaire immédiat, nous permet de limiter les hypothèses diagnostiques dans le cadre d’un nodule ulcéré. Nous pouvons ainsi répondre rapidement par la négative à l’interrogation angoissée des propriétaires : « Roucky est-il contagieux ? ».

Roucky ne sera pas euthanasié.

Examens complémentaires

Buts

  • Identification du champignon par culture.

  • Évaluation d’un éventuel déficit immunitaire.

  • Bilan d’extension: recherche de localisations systémiques du champignon.

Hématologie et biochimie

Les examens hématologiques et biochimiques sanguins et urinaires nous fournissent des valeurs usuelles..

cas-de-granulome-mycosique-felintableau1 Tableau 1 : Résultats des examens hématologiques et biochimiques.
Ces résultats sont conformes aux normes usuelles.

Virologie

Les tests de virologie sont négatifs pour le FeLV et le FIV (R.I.M. Witness-Synbiotics corp.).

Radiologie

Une radiographie du profil thoracique ne montre pas d’anomalie. Les radiographies des sinus et cavités nasales ne sont pas réalisées car les modifications de densité induites par la présence des nodules cutanés entraveraient leur interprétation. Leur mise en œuvre ultérieure, après chirurgie, ne révélera pas d’augmentation de densité des structures nasales et sinusales.

Cultures mycologiques

Un écouvillon stérile appliqué au centre de l’ulcère du plus gros nodule nous sert à ensemencer :

  • 2 milieux de Sabouraud adjuvés d’antibiotiques (Sabouraud dextrose + chloramphénicol 0.5 g/l + gentamycine 0.04 g/l – Sanofi diagnostic Pasteur),

  • ainsi que 2 milieux de même composition adjuvés de cycloheximide (id. + cycloheximide 0.1 g/l).

Un exemplaire de chacun de ces milieux est conservé à température ambiante (21 à 25°), l’autre est placé en étuve à 35°.

Un prélèvement similaire est confié à un laboratoire spécialisé (laboratoire de mycologie de l’institut Pasteur – Mme C. Aznar).

En 3 jours sur le milieu sans cycloheximide entretenu à 35°(7 jours à température ambiante) de nombreuses colonies duveteuses, blanches au verso ocre, sont présentes. Le cycloheximide inhibe la pousse du champignon. Ces colonies seront conservées durant 6 semaines.

Les examens microscopiques répétés des colonies prélevées par la méthode du drapeau de Roth montrent des filaments septés, fins, non pigmentés, sans forme de reproduction.

Nos observations concordent avec celles du laboratoire qui effectue des repiquages sur milieu de Sabouraud appauvri et milieu au malt sans provoquer de fructification.

Conclusion des examens complémentaires, et diagnostic

Nous aboutissons à un diagnostic de granulome mycosique

L’agent fongique incriminé se présente :

  • en lésion sous forme d’éléments hyalins levuriformes et filamenteux,

  • en culture sous forme de filaments hyalins septés inhibés par le cycloheximide.

L’absence de forme de reproduction interdit l’identification du champignon.

L’anamnèse, l’examen clinique général et les examens complémentaires usuels mis en œuvre rendent peu probable une localisation interne de la mycose et excluent les causes fréquentes d’immunodéficience acquise féline (rétroviroses, diabète sucré).

SI VOUS ETES VETERINAIRE : Pour lire la suite de cet article, veuillez vous enregistrer en haut à droite. Merci
Retour en haut