Auteur : Xavier Langon – Août 2015
Clinique vétérinaire de Camargue
34400 Lunel
Motif de consultation
Un chien cocker est consulté pour une dermatose alopéciante évoluant depuis 1 mois.
Commémoratifs et anamnèse
Un cocker femelle stérilisée, noir et blanc, âgée de 11 ans, est présenté à la consultation pour alopécie évoluant depuis 1 mois (photo 1). L’animal vit en maison sans congénère et est nourrit avec un aliment industriel de qualité. Il est à jour de sa vaccination et correctement traité contre les parasites internes et externes. Son passé pathologique est composé d’otites récurrentes à Malassezia. Un an auparavant, à la même période hivernale, une alopécie a été relevée par son propriétaire, mais n’avait pas fait l’objet d’une consultation de par son caractère moins prononcé. Son propriétaire ne rapporte aucune lésion le concernant.
Photo 1 : vue générale de l’animal.
Examen clinique
L’animal présente un bon état général et un léger embonpoint. Une otite érythémato-cérumineuse est relevée à droite (nombreuses colonies de Malassezia à l’examen microscopique d’un étalement de cérumen). La dermatose est cliniquement caractérisée par une alopécie exclusivement cantonnée aux zones noires dorso-lombaires (photos 2).
Un état séborrhéique est présent (photo 3).
Photo 2a : Vue d’ensemble de la face dorsale de l’animal.
Photo 2b : Vue rapprochée de la lésion dorso-lombaire.
Photo 3 : Vue rapprochée de la lésion dorso-lombaire. Noter l’état kératoséborrhéique
Hypothèses diagnostiques
La symptomatologie et l’anamnèse nous amènent à envisager plusieurs hypothèses :
- Dysplasie des follicules pileux noirs
- Dermatophytie
- Démodécie
- Dermatite par Allergie aux Piqûres de Puces
- Dysendocrinie (hypothyroïdie, syndrome de Cushing, hyper-œstrogénisme)
Examens complémentaires
Les raclages cutanés ne mettent pas en évidence de Demodex.
Le trichogramme, l’examen en lumière de Wood et la culture fongique infirment l’hypothèse fongique.
En revanche trichogramme montre des lésions pilaires : les poils sont déformés (dysplasie pilaire) et des agrégats de mélanine de forme irrégulière sont présent dans le cortex et la médulla des poils (photos 4)
Photos 4a et 4b : Observation microscopique (x400) d’une trichoscopie: noter les agrégats de mélanine.
Les valeurs de T4/TSH, les taux d’œstrogène/ progestérone/ testostérone sont dans la fourchette des valeurs usuelles, le RCCU infirme l’hypothèse d’hypercorticisme.
Plusieurs biopsies sont réalisées :
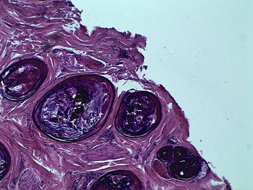
L’épiderme est d’épaisseur normale. Au sein des unités folliculo-sébacées, on observe des anomalies discrètes à modérées de la répartition du pigment mélanique se traduisant par des amas pigmentaires globuleux, déformant la kératine libre péripilaire, les tiges pilaires et les gaines épithéliales, ainsi que les bulbes folliculaires. Ceux-ci sont entourés de nombreux mélanophages. Les annexes glandulaires sont normalement représentées, le cycle folliculaire apparaît normal à sub-normal. Le derme n’est pas inflammatoire. Des remaniements inflammatoires péri-folliculaires sont focalement visibles sur une biopsie (photo 5).
Photo 5 : Observation microscopique (x400) d’une biopsie cutané :
noter les amas pigmentaires déformant la kératine.
Diagnostic
Dermatose non inflammatoire alopéciante caractérisée par des anomalies de la répartition du pigment mélanique. Cet ensemble lésionnel conforte la suspicion clinique de génodermatose de type dysplasie des follicules pileux noirs.
Traitement et suivi
La gestion thérapeutique est composée de deux axes : symptomatique (contrôle des troubles de la kératinisation) avec des shampooings kératomodulateurs antiseptiques (Douxo Séborrhée®), et systémique par supplémentation en mélatonine. L’action de cette dernière molécule n’est pas bien comprise mais apporte des résultats encourageants dans 50% des cas.
Le suivi repose sur un examen dermatologique mensuel puis saisonnier.
A 1 mois, aucune modification n’est relevée mais progressivement la repousse pilaire est notable jusqu’à obtention d’un pelage homogène à 6 mois (photo6). A defaut d’un suivi de plus de 6 mois, il ne nous est pas possible de savoir si l’animal rechute en hiver.
Photo 6 : Vue d’ensemble du pelage à 6 mois.
Noter l’amélioration clinique et la faible persistance de l’état kératoséborrhéique.
Discussion
La Dysplasie Folliculaire des Poils Noirs (DFPN) est une génodermatose du chien. Ce constat impose au clinicien d’informer le propriétaire (particulier comme éleveur) de la nécessité du retrait de reproduction des animaux atteints afin d’éradiquer cette entité.
Les alopécies génétiques constituent le groupe de génodermatoses le plus fréquemment rencontré chez le chien, même si elles demeurent encore sous-diagnostiquées et méconnues. Une des raisons est sans doute attribuable au caractère non morbide de ces affections purement esthétiques.
Cette dermatose concerne un grand nombre de races dont le dobermann, le schipperke, le setter gordon, le saluki, le beagle, le jack russel terrier, le bearded colley, le cavalier king charles, l’épagneul papillon français… et le le cocker spaniel américain.
L’étiopathogénie est encore aujourd’hui mal comprise. Elle semblerait être un trouble primitif du fonctionnement pilaire, peut-être consécutif à un déficit en Melatonin Stimulating Hormone, les cellules de la matrice du poil étant alors exposées à la toxicité des précurseurs de la mélanine. Cette hypothèse s’appuie sur la prédominance de poils télogènes et du trouble de la croissance pilaire (dysplasie)… ainsi que la présence d’amas libres de mélanine. Une autre hypothèse serait un trouble de la conduction ionique (Ca2+) par déficit enzymatique (protéine kinase C) expliquant la persistance des mélanophages. Si l’origine génétique ne fait aucun doute, chez le dobermann, un allèle dl récessif par rapport au locus d (locus de dilution) et à pénétrance variable et incomplète, jouerait un rôle important dans l’Alopécie des Robes Diluées (ARD). Or il est considéré que la DFPN et l’ARD sont deux expressions cliniques différentes d’une même génodermatose…
Cette affection apparaît le plus souvent tôt dans la vie des chiots (à 4 semaines), et les zones noires sont totalement alopéciques à 1 an d’âge. Dans le cas présent, aucune manifestation clinique n’a été relevée par le propriétaire avant l’âge de 10 ans.
Cliniquement, l’alopécie n’affecte que les zones noires. Les poils présentent un aspect incurvé, tordus ou crochetés. Un squamosis et des comédons reflétant un trouble de la cornéogénèse sont constants. Un pyodermite superficielle secondaire est parfois signalée, accompagnée d’un prurit.
Le diagnostic fait appel au trichogramme et aux biopsies. A la trichoscopie, de très nombreux agrégats mélaniques sont observés dans la médulla et le cortex pilaires. Les poils apparaissent déformés (« dysplasie pilaire »). L’examen anatomopathologique de biopsies cutanées est évocateur mais non pathognomonique, les dermatoses endocriniennes pouvant présenter les mêmes caractéristiques. Sont relevées des lésions d’hyperkératose orthokératosiques folliculaires (bouchons cornés), parfois accompagnées d’atteintes plus modérées de l’épiderme, une dysplasie folliculaire avec prédominance de follicules en phase télogène et une distribution de la mélanine en amas dans l’épiderme, l’épithélium folliculaire, les cellules de la matrice et la tige des poils. De nombreux mélanophages péribulbaires et périfolliculaires sont également notés.
Le diagnostic différentiel inclue la démodécie, une dermatophytie, l’hypercorticisme, l’hypothyroïdie, des dysendocrinies sexuelles ou alopécie X, ainsi que les autres dysplasies folliculaires.
Le pronostic est réservé d’un point de vue dermatologique – esthétique (absence de traitement spécifique), mais bon pour la qualité de vie de l’animal.
Le traitement fait appel à une gestion symptomatique du territoire cutané, associant des shampooings kératomodulateurs, des antiseptiques et des émolliants. La pyodermite secondaires doit être prise en charge. Les acides gras essentiels peuvent contribuer à la restauration de la barrière cutanée.
La mélatonine à 3-6 mg/animal biquotidien a été préconisée avec des résultats partiels (50% des cas montrent une repousse subtotale des poils dans les zones noires).
Bibliographie
- Miller J.W.H. Follicular dysplasia in adult black and red doberman pinschers. Vetrinary dermatology 1990 ;1 :181-7.
- Scott DW, Miller R, Griffin CE. Dermatologic therapy. In: Muller and Kirk’s Small Animal Dermatology. 2001, 6th ed. Philadelphia: WB Saunders.
- Gross T.L., Ihrke P.J., Walder E.J., Affolter V.K. Skin diseases of the dog and cat. CLinical and histopathologic diagnosis. 2005, 2nd ed. London : Blackwell Science.
- Brignac M.M., Foil C.S., Albagad F.A.K., et al. Microscopy of color mutant alopecia. Von Tscharner C, Halliwell RE, eds. Advances in Veterinary Dermatology, 1990 vol1. Philadelphia : Baillière Tindall.
- Paradis M. Melatonin in the treatment of canine pattern baldness. Advances in Veterinary Dermatology. C. Von TSCHARNER. Oxford, Butterworth Heinemann. 1998 Volume 3: p 511 – 512.








