Juin 2012
Auteurs :
Frédérique Degorce-Rubiales1 – CES de Dermatologie Vétérinaire, DESV d’Anatomie Pathologique Vétérinaire, Spécialiste en Anatomie Pathologique Vétérinaire
Agnès Poujade1 – DESV d’Anatomie Pathologique Vétérinaire, Spécialiste en Anatomie Pathologique Vétérinaire
Isabelle Mougeot2 – Docteur vétérinaire
Sandrine Michel2 – Docteur vétérinaire
Ulrick Siquier2 – Docteur vétérinaire
1LAPVSO – 129 Route de Blagnac – 31201 Toulouse cedex 2 – www.lapvso.com
2Royal Canin – 650 Av de La Petite Camargue, 30470 Aimargues
Avertissement
Le cas clinique présenté est un cas de dermatopathologie, aussi l’anamnèse, l’examen clinique, l’examen dermatologique et les examens complémentaires réalisés, se limiteront aux données présentes sur la feuille de commémoratifs reçue avec les prélèvements histologiques.
Commémoratifs
Une chienne Schnauzer nain, âgée de 4,5 an est présentée à la consultation pour une hyperthermie (40,6°C), un œdème cutané et une dermatite papuleuse-pustuleuse suintante sur le dos et l’encolure. Ces lésions dermatologiques sont apparues 24 Heures après un toilettage par épilation (Photo 1). L’animal a manifesté un vomissement fécaloïde. On constate 24heures plus tard, lors de la tonte de l’animal, que la peau a tendance à s’ulcérer sur les flancs et les cuisses. Des papules situées en face externe des cuisses, sourd un liquide séro-hémorragique. L’animal est anesthésié pour la réalisation de biopsies cutanées profondes. L’animal présente un arrêt cardiaque lors de l’induction. En dépit d’une réanimation, il décède. L’autopsie révèle du sang dans la cavité abdominale, un aspect violacé des intestins, du mésentère et du pancréas, une rate blanchâtre et un foie bombé. Des prélèvements de peau, de foie, de rein et de poumon sont realisés pour analyse histologique. Un antibiogramme est effectué sur écouvillon cutané.
Remerciements aux Drs Jean Granel, Jean-Pierre Beaufils, Philippe Jumelle, Clinique vétérinaire – Vigné Bas – 30420 Calvisson.

Photo 1 : Après la tonte de l’animal, on note un érythème généralisé, une dermatite papulo-croûteuse,
suintante qui s’étend sur les faces dorsale et latéro-externes. Des ulcérations, à fond hémorragique
sont présentes sur les flancs et la face externe des cuisses. La peau est œdématiée.
Hypothèses cliniques
- Septicémie d’origine probablement digestive.
Examen histologique
Biopsies cutanées
Sur l’une des biopsies, l’épiderme et les structures annexielles sont nécrosées ainsi que de larges plages de fibres de collagène dans le derme profond (Fig6). Dans le derme périannexiel, on observe une discrète hypercellularité diffuse sous la forme de cellules pycnotiques (Fig2,3,13,14). En profondeur, dans l’hypoderme, on observe une dilacération des septa conjonctifs interlobulaires et des adipocytes par un matériel sérofibrineux, parsemé d’une poussière nucléaire entourant parfois des structures vasculaires, artériolaires et veineuses, de moyen calibre dont la lumière est occupée par un thrombi fibrineux et dont les cellules endothéliales apparaissent vacuolisées (Fig7,8,9). Sur les autres biopsies, l’épiderme montre des lésions de dégénérescence réticulaire (Fig3,4,5). Cet aspect est associé à un décollement épidermique multifocal(Fig2,3). Le derme superficiel est œdémateux (Fig3,4,5). Au sein des unités annexielles, on observe plusieurs follicules pileux dont la gaine épithéliale folliculaire externe, est plissée sur toute sa longueur. La tige pilaire présente dans le canal pilaire est elle-même circonvolutée, fracturée, la cuticule effritée (Fig2,10,11,12) . Le cycle folliculaire est normal, la phase anagène prédomine. Autour des structures annexielles, on observe de petits foyers de taille variable, nécrotiques, avec une poussière cellulaire et probablement un matériel fibrinoïde (Fig13,15). On perçoit encore la silhouette de certaines structures vasculaires dont la lumière semble obstruée de thrombi. On en retrouve, dans les septa conjonctifs interalvéolaires, des lobules adipeux. A noter, que sur l’une des biopsies, se trouvent incluses dans le tissu adipeux, des tiges pilaires tortueuses. Dans plusieurs territoires dermiques nécrotiques, on observe, au fort grossissement à l’objectif à immersion, des silhouettes vasculaires tapissées de reliquats de cellules endothéliales, au cytoplasme vacuolisé avec chromatolyse nucléaire. En périphérie, les fibres de collagène prennent un aspect coagulé, basophile. Elles montrent une multitude d’éléments bacillaires associés à des dépôts acidophiles, probablement fibrinoïdes (Fig16).
Autres organes transmis
rate réactionnelle, foie congestionné avec congestion centrolobulaire plus prononcée, foyer de congestion dans la médullaire rénale, pneumonie interstitielle chronique discrète, non spécifique.
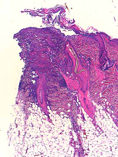
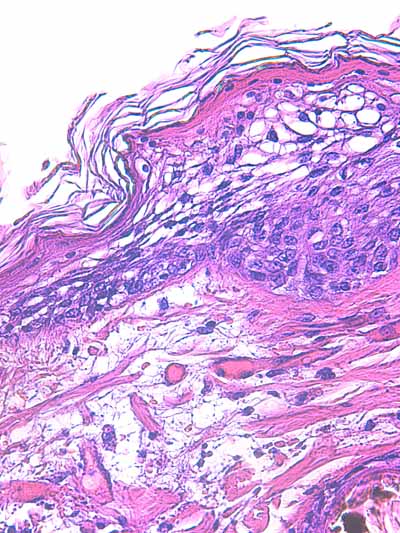
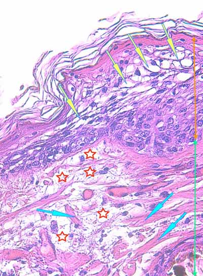
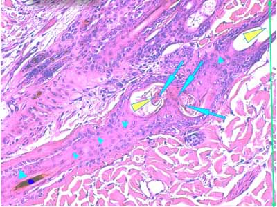
Photo 2 (Hémalun Eosine X 40) : biopsie réalisée en marge d’un ulcère.
L’épiderme, fragilisé, se détache artéfactuellement et se désolidarise du derme superficiel.
Le derme montre une plage cellulaire dense qui s’étend du derme superficiel jusqu’au derme profond.
En contact avec cette plage, se trouve un follicule pileux dont la tige pilaire est fragmentée
et circonvolutée dans son fourreau épithélial.
Légendes de la Photo 2 :
- Pointe de flèche orange : ulcère
- Ovale jaune : plage cellulaire inflammatoire s’étendant du derme superficiel au derme profond
- Flèche turquoise : follicule pileux dont la tige pilaire est fragmentée et circonvolutée dans son fourreau épithélial
- Flèches jaunes : épiderme fragilisé qui se détache du derme
- Double flèche orange : épaisseur épidermique
- Double flèche verte : épaisseur dermique
- Double flèche bleue : épaisseur hypodermique
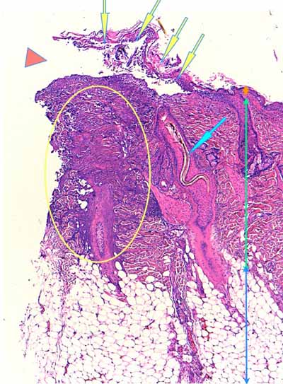
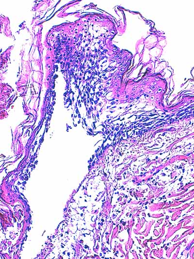
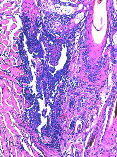
Photo 3 (Hémalun Eosine X 100) : l’épiderme se désengrène, une vésicule
sous-épidermique se forme. Le derme superficiel est œdémateux. Deux plages cellulaires dermiques
sont en étroit rapport avec des annexes folliculo-sébacées, dont une apparaît rompue.
Légendes de la Photo 3 :
- Ovales jaunes : plages cellulaires inflammatoires dans le derme périannexiel
- Flèche turquoise : follicule pileux rompu en rapport avec une plage inflammatoire
- Flèches jaunes : épiderme fragilisé qui se désengrène du derme
- Double flèche orange : épaisseur épidermique
- Double flèche verte : épaisseur dermique
- Double flèche bleue : épaisseur hypodermique
- Flèche orange : une vésicule sous-épidermique se forme
Photo 4 (Hémalun-Eosine X400) : l’épiderme montre des lésions d’œdème cellulaire
et de ballonnisation des acanthocytes, aboutissant à une dégénérescence réticulaire.
Le derme superficiel est œdémateux. Les fibres de collagène sont dilacérées par l’œdème.
Légendes de la Photo 4 :
- Flèches turquoises : fibres de collagène du derme
- Flèches jaunes : œdème et ballonnisation des acanthocytes épidermiques = dégénérescence réticulaire de l’épiderme
- Double flèche orange : épaisseur épidermique
- Double flèche verte : épaisseur dermique
- Étoiles rouges : œdème dermique
Photo 5 (Hémalun-Eosine X200) : l’épiderme, siège d’une dégénérescence réticulaire,
se détache et se désolidarise du derme superficiel, donnant naissance à une vésicule.
Légendes de la Photo 5 :
- Pointes de flèches turquoises : plancher de la vésicule sous-épidermique
- Ovale jaune : œdème et ballonnisation des acanthocytes épidermiques = zone de dégénérescence réticulaire de l’épiderme, qui fragilisé se détache du derme formant une vésicule sous-épidermique
- Double flèche orange : épaisseur épidermique
- Double flèche verte : épaisseur dermique
- Étoiles rouges : œdème dermique
- Flèches jaunes : fibres de collagène du derme
- Flèche turquoise : vésicule sous-épidermique
Photo 6 (Hémalun-Eosine X100) : on observe une nécrose de liquéfaction de l’épiderme.
Le derme est relativement silencieux, mais abrite des follicules pileux dont la
tige pilaire apparaît multi-fracturée, dont la gaine externe est fissurée ou dont
la membrane basale et la gaine fibreuse sont épaissie avec absence de gaine épithéliale externe.
Légendes de la Photo 6 :
- Pointes de flèches turquoises : couche cornée de l’épiderme (stratum corneum)
- Ovale jaune : follicules pileux anormaux
- Ronds marrons : nécrose de liquéfaction de l’épiderme
- Double flèche orange : épaisseur épidermique
- Double flèche verte : épaisseur dermique
- Double flèche bleue : épaisseur hypodermique
- Étoiles rouges : tiges pilaires fracturées
- Flèche jaune : reliquats de gaine épithéliale externe du follicule pileux
- Étoile verte : membrane basale épaissie du follicule pileux
- Flèche turquoise : fissuration supra-basale au sein de la gaine épithéliale folliculaire externe
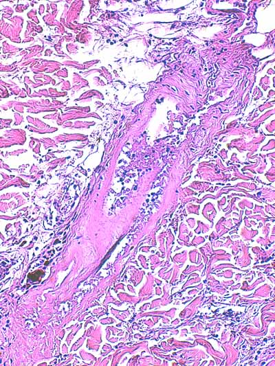
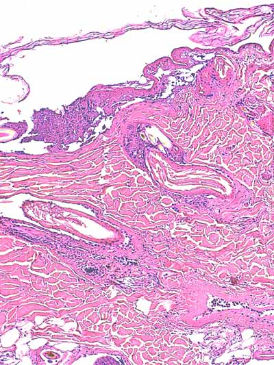
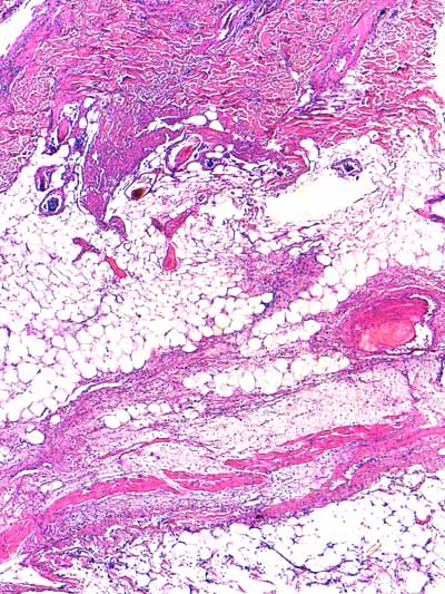
Photo 7 (Hémalun-Eosine X40) : l’hypoderme et le muscle peaucier sont dilacérés
par l’œdème et un infiltrat cellulaire diffus. Un vaisseau sanguin de moyen calibre contient un thrombus fibrineux.
Légendes de la Photo 7 :
- Flèches turquoises : muscle peaucier
- Flèches juanes : œdème et infiltrat neutrophilique dilacérant l’hypoderme et le muscle peaucier
- Ovale turquoise : la lumière d’une veine de moyen calibre est obstruée d’un thrombus fibrineux
- Double flèche verte : épaisseur dermique
- Double flèche bleue : épaisseur hypodermique
- Étoiles bleues : follicules pileux
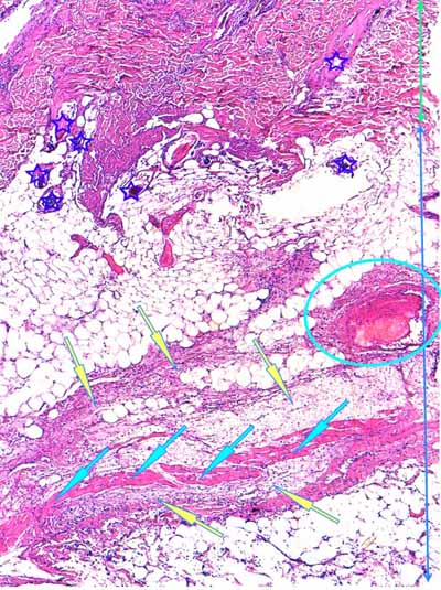
Photo 8 (Hémalun-Eosine X100) : le muscle peaucier présente des zones de nécrose
de liquéfaction. Les lobules adipeux de l’hypoderme et les myofibrilles du muscle peaucier
sont dilacérés par un infiltrat exsudatif de granulocytes neutrophiles. La lumière
d’une veine de moyen calibre est obstruée par un thrombus fibrineux.
Légendes de la Photo 8 :
- Flèches jaunes : zone de nécrose de liquéfaction du muscle peaucier
- Flèches turquoises : œdème et infiltrat neutrophilique dilacérant les adipocytes des lobules adipeux de l’hypoderme
- Pointe de flèche turquoise : adipocyte
- Ovale turquoise : veine de moyen calibre
- Ronds verts : endothélium de la veine
- Ronds noirs : media de la veine
- Ronds bleus : adventice de la veine
- Double flèche bleue : hypoderme
- Étoile rouge : thrombus fibrineux ostruant la lumière de la veine
- Étoiles bleues : myofibrilles du muscle peaucier
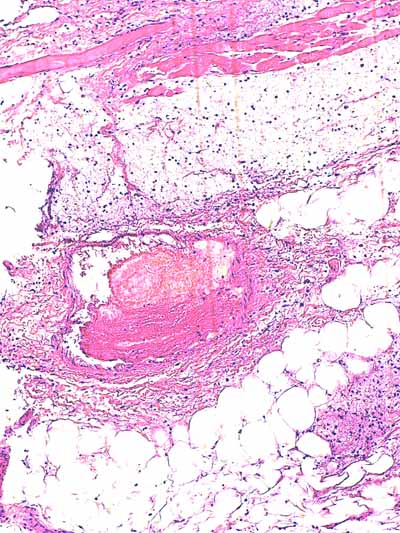
Photo 9 (Hémalun-Eosine X200) : une artériole hypodermique de moyen calibre
montre une vacuolisation de ses cellules endothéliales et un épaississement
de sa media et de son adventive. Sa lumière abrite un fragment de
thrombus fibrineux. L’hypoderme environnant est œdémateux.
Légendes de la Photo 9 :
- Flèches jaunes : vésiculation de l’espace sous-endothélilae et des cellules endothéliales
- Flèches turquoises : œdème et infiltrat neutrophilique dilacérant les adipocytes des lobules adipeux de l’hypoderme
- Pointe de flèche turquoise : adipocyte
- Ovale rouge pointillé : artériole de moyen calibre
- Ronds verts : endothélium de l’artériole
- Ronds noirs : media de l’artériole
- Ronds bleus : adventice de l’artériole
- Double flèche bleue : hypoderme
- Étoile rouge : thrombus fibrineux ostruant la lumière de l’artériole
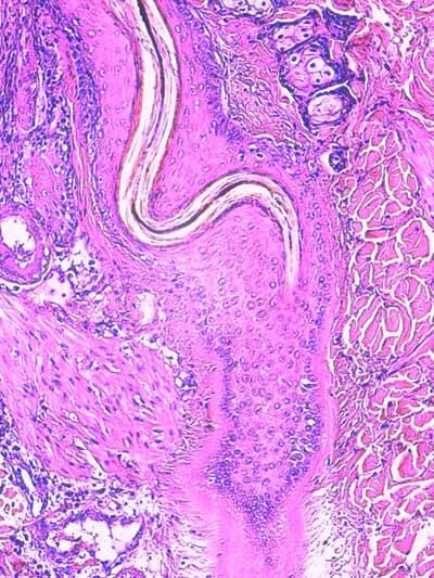
Photo 10 (Hémalun-EosineX200) : vue rapprochée d’un follicule pileux anormal :
la tige pilaire est déformée, circonvolutée, la cuticule est délitée. La membrane
basale épaisse semble indiquer un follicule pileux en phase catagène.
Légendes de la Photo 10 :
- Ronds verts : cuticule du poil effritée
- Ronds bleus : tige pilaire circonvolutée
- Étoile vide rouge : glande sébacée
- Étoile pleine rouge : vaisseau sanguin
- Double flèche verte : derme
- Pointe de flèche juane : gaine épithéliale extrene plicaturée
- Triangles turquoises : memebrane basale épaisse du follicule pileux
- Flèche juane : œdème de la gaine conjonctive du follicule pileux
- Rond jaune: muscle arrecteur du poil

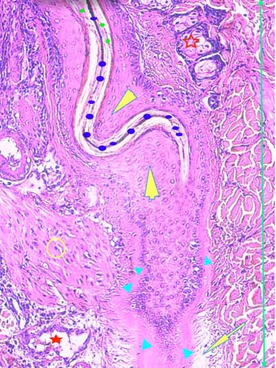
la gaine conjonctive et la membrane basale sont épaissies, fracturées et la gaine
épithéliale externe est nécrosée. des amas pigmentaires subsistent.
On notera l’œdème qui dilacère les fibres de collagène du derme environnant.
Légendes de la Photo 11 :
- Double flèche verte : derme
- Flèche pointillée turquoise : gaine conjonctive du follicule pileux, rompue, plicaturée
- Triangles turquoises : membrane basale du follicule pileux, épaissie
- Pointe de flèche jaune : cala pilaire avec reliquats de gaine épithéliale externe nécrosée (liquéfaction)
- Étoiles rouge : œèdeme et infiltart dermique de granulocytes neutrophiles
- Ronds noirs et rond bleu : amas pigmentaires, reliquats du bulbe ou de la tige pilaire (rond bleu)
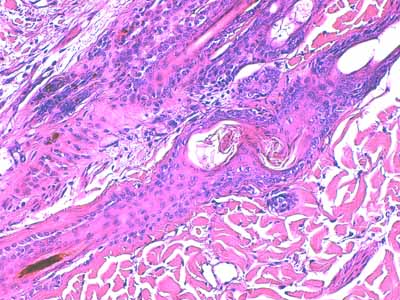
Photo 12 (Hémalun-Eosine X40) : vue rapprochée d’un follicule pileux anormal :
la tige pilaire est fracturée dans son fourreau épithélial lui-même déformé.
Légendes de la Photo 12 :
- Double flèche verte : derme
- Flèche turquoise : tige pilaire fracturée
- Pointe de flèche jaune : canal pilaire
- Triangles turquoises : gaine épithéliale externe du follicule pileux
- Rond bleu : reliquat pigmenté de tige pilaire
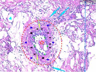
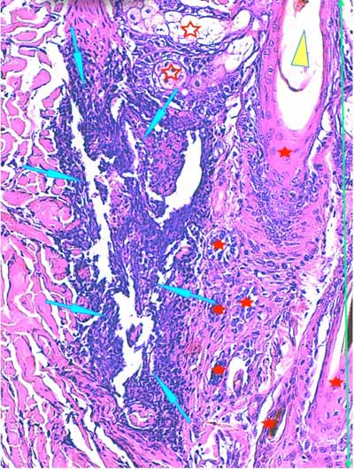
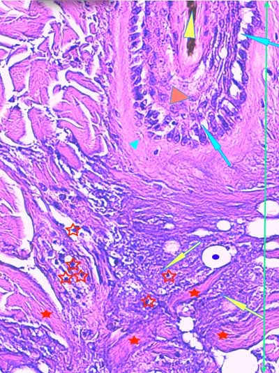
Photo 13 (Hémalun-Eosine X200) : dans le derme, on remarque des plages
cellulaires inflammatoires, peuplées de granulocytes neutrophiles,
en étroit rapport avec les unités annxielles folliculo-sébacées.
Légendes de la Photo 13 :
- Étoiles rouges vides : glandes sébacées
- Étoiles rouges pleines : follicules pileux
- Pointe de flèche jaune : canal pilaire
- Flèches turquoises : plage cellulaire inflammatoire peuplée de cellules pycnotiques et de granulocytes neutrophiles
- Double flèche verte : derme
Photo 14 (Hémalun-Eosine X100) : à la jonction dermo-hypodermique,
un bulbe folliculaire anormal est en rapport direct avec une plage cellulaire inflammatoire.
Légendes de la Photo 14 :
- Étoile rouge vide : adipocyte
- Étoiles rouges pleines : vaisseaux sanguins (une erreur au milieu à droite = adipocyte)
- Pointe de flèche jaune : reliquat de bulbe pilaire fracturé et désolidarisé du reste du follicule pileux
- Flèches turquoises : plage cellulaire inflammatoire peuplée de cellules pycnotiques et de granulocytes neutrophiles, en étroit rapport avec le reliquat de bulbe folliculaire
- Double flèche verte : derme
- Double flèche bleue : hypoderme
Photo 15 (Hémalun-Eosine X) : vue rapprochée d’une plage cellulaire inflammatoire
dermique en rapport avec un follicule pileux. Cette plage est formée de granulocytes
neutrophiles pycnotiques et d’un matériel basophile qui dilacèrent les fibres de collagène
du derme périannexiel. On notera un aspect de fissuration supra-basale
de la gaine épithéliale externe compatible avec un dengènement débutant.
Légendes de la Photo 15 :
- Étoiles rouges vides : granulocytes neutrophiles
- Étoiles rouges pleines : fibres de collagène
- Pointe de flèche jaune : tige pilaire
- Flèches turquoises : fissuration supra-basale au sein de la gaine épithéliale folliculaire externe
- Triangle orange : gaine épithéliale externe du follicule pileux
- Triangle turquoise : membrane basale épaissie du follicule pileux
- Flèches jaunes : matériel granuleux basophile au sein de la plage cellulaire inflammatoire du derme, qui dilacère les fibres de collagène
- Double flèche verte : derme
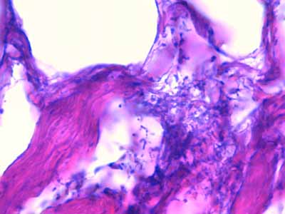
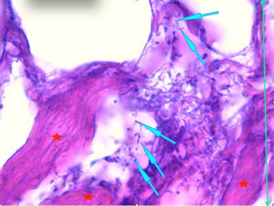
Photo 16 (Hémalun-Eosine X1000, objectif à immersion) : vue rapprochée au fort
grossissement, d’une plage cellulaire inflammatoire dermique en étroit rapport avec
un follicule pileux : le matériel basophile semble contenir des silhouettes en bâtonnets,
compatibles avec des bacilles bactériens.
Légendes de la Photo 16 :
- Étoiles rouges pleines : trousseaux de fibres de collagène
- Flèches turquoises : silhouettes en bâtonnets suggérant des bacilles bactériens libres dans le derme et formant le matériel granuleux des plages cellulaires inflammatoires
- Double flèche verte : derme
Diagnostic histologique
Le tableau histologique regroupe des lésions de nécrose du derme, du muscle peaucier et de l’hypoderme, une infiltration du derme et de l’hypoderme par des granulocytes neutrophiles, des lésions de vascularites et de thrombose de veines et artères associés à la présence de micro-organismes dans le derme et l’hypoderme. Il suggère des lésions de dermo-hypodermite bactérienne profonde en rapport avec des lésions initiales des annexes folliculaires (fracture et déformation des tiges pilaires et des follicules pileux, présence de tiges pilaires nues anormalement incluses dans l’hypoderme). Les autres organes ne présentent pas de lésions élémentaires d’intérêt diagnostique.
Antibiogramme & bactériologie sur écouvillon cutané
La culture bacériologique est postive après 24H et révèle Pseudomonas aeruginosa sensible à la marbofloxacine.
Remerciements au Dr G. Meynaud, Laboratoire EURL G. Meynaud – 31240 Saint-Jean
Discussion
Les dermo-hypodermites bactériennes nécrosantes profondes (DHBNP) (ancienne dénomination fasciites nécrosantes) sont des infections bactériennes cutanées du derme et de l’hypoderme, s’accompagnant de nécrose, avec atteinte de l’aponévrose superficielle et associent ou non une atteinte musculaire (myonécrose, gangrène gazeuse). On les oppose aux dermo-hypodermites bactériennes non nécrosantes (anciennes dénominations érysipèle et cellulites superficielles), qui concernent la peau sans atteindre l’aponévrose superficielle.
La pénétration de bactéries à travers une brèche cutanée est à l’origine de cette infection. Les bactéries se multiplient ensuite localement dans les tissus, parfois jusqu’aux fascia musculaires et provoquent une nécrose tissulaire qui résulte de plusieurs facteurs : effet cytotoxique de toxines et d’enzymes bactériennes, microthromboses vasculaires extensives s’accompagnant parfois d’un trouble de l’hémostase avec coagulation intra-vasculaire disséminée (CIVD) et d’une compression des fascia par l’œdème.
Les germes incriminés chez l’Homme sont essentiellement les streptocoques du groupe A, colonisant la peau de façon intermittente. D’autres germes sont retrouvés avec une incidence beaucoup plus faible : staphylocoque doré, seul ou associé à un streptocoque; bacilles à Gram négatif (entérobactéries : E. coli, Klebsiella) associés à des staphylocoques dorés, à des streptocoques hémolytiques ou microaérophiles dans les « gangrènes synergistiques » en particulier chez les diabétiques; plus rarement, Pasteurella multocida après morsure ou griffure animales (chat, chien); Neisseria meningitidis avec dissémination hématogène. Les DHBN à E. coli, Pseudomonas aeruginosa, Xanthomonas maltophilia ou à mycobactéries atypiques sont retrouvées chez les immunodéprimés et les diabétiques. La détection des germes anaérobies est difficile. Leur responsabilité doit être soupçonnée lorsque la bactériologie est négative ou à flore polymorphe, en présence de gaz ou d’une odeur fétide, ainsi qu’en cas de porte d’entrée muqueuse.
Chez l’homme le type de bactérie en cause et la localisation des lésions modulent la sévérité de l’infection. La prise en charge est pluri-disciplinaire associant chirurgien, radiologue, microbiologiste et anésthésiste-réanimateur, urgentiste et il est fondamental qu’elle soit précoce. La mortalité reste élevée.
La prise en charge intensive de la réanimation du choc septique est fondamentale. L’antibiothérapie doit être adaptée au spectre du type d’infection en cause.
P. aeruginosa est un germe gram-négatif opportuniste de la flore cutanée et digestive, capable de se multiplier à des températures élevées et se complaît dans les milieux humides. comme l’eau y compris dans de fortes concentrations de chlore. Pour que Pseudomonas aeruginosa devienne pathogène, l’organisme doit présenter une rupture de la barrière cutanée ou muqueuse, secondaire à un traumatisme (coupure, égratignure, abrasion, etc…), à une brûlure, à une intervention chirurgicale, ou médicale (intubation, cathétérisme urinaire…).
Pseudomonas aeruginosa fabrique d’autre part une endotoxine qui participer au développement d’une septicémie.
Chez l’Homme, les individus âgés, immunodéprimés ou présentant une maladie débilitante intercurrente comme un diabète ou une néoplasie sont particulièrement sensibles à une infection à P. aeruginosa.
Dans le cas de cet animal, compte-tenu des lésions folliculaires observées, souvent en étroit rapport avec les plages inflammatoires et bactériennes, on peut suspecter, le toilettage par épilation qu’il a subi 24H avant la présentation des symptômes, comme étant à l’origine de la pénétration cutanée du germe, germe qui pouvait être présent à la surface du tégument ou dans un shampooing ou dans l’eau si l’animal a fait l’objet d’un shampooing ou bain avant ou après son toilettage (antécédent non relaté dans les commémoratifs).
L’épilation consiste à coincer entre le pouce et le couteau à épiler du toiletteur le poil, puis à tirer d’un coup sec en retirant en théorie les poils morts (en phase téléogène,) sans effraction de l’épiderme. Les couteaux à épiler peuvent nénamoins blesser l’épiderme et si l’on tire trop violemment la touffe de poils emprisonnés et/ou si celle-ci est trop volumineuse, on peut arracher des poils en phase anagène avec traumatisme du bulbe et parfois saignement.
Les DHBNP sont des urgences thérapeutiques. Elles nécessitent chez l’Homme, une prise en charge médico-chirurgicale qui repose sur trois objectifs prioritaires : le traitement de l’état septique, la prescription d’une antibiothérapie appropriée, la décision avec le chirurgien des modalités du geste chirurgical initial.
Chez l’Homme la présentation clinique des DHBNP est une douleur initiale sans forcément de signes cutanés, associée à une fièvre élevée. L’état général est très atteint. Puis apparaît un érythème cutané, puis la peau se modifie devient lisse, enflée, brillante. Enfin, des bulles séreuses, puis hémorragiques apparaissent et il se manifeste une anesthésie cutanée qui signe la gangrène. La crépitation cutanée est fréquente dans les infections polymicrobiennes et dans les gangrènes gazeuses.
Le pronostic vital est parfois mis en jeu chez l’Homme, surtout chez les patients ayant une pathologie préexistante. La mortalité varie de 16 à 30% selon les séries publiées. Le choc septique et l’embolie pulmonaire sont les deux causes de mortalité les plus fréquentes. L’âge, un diabète, une artériopathie, le retard à l’hospitalisation, le retard de l’antibiothérapie ciblée et au geste chirurgical sont les principaux facteurs de mauvais pronostic.
Bibliographie
- Conférence Consensus. Érysipèle et fasciite nécrosante : prise en charge. Société française de dermatologie et Société française de pathologie infectieuse de langue française. Tours, 26 janvier 2000, Med Mal Infect, 2000;30:241-245.
- Green RJ, Dafoe DC, Raffin TA. Necrotizing fasciitis. Chest 1996;110:219-229 3. ARONOFF DM, BLOCH KC. Assessing the relationship between the use of nonsteroidal antiinflammatory drugs and necrotizing fasciitis caused by Group A streptococcus. Medicine 2003 ;82 :22(-35
- Eke N. Fournier’s gangrene: a review of 1726 cases. Br J Surg 2000;87:718-728
- Mathieu D, Neviere R, Teillon C, Chagnon JL, Lebleu N, Wattel F. Cervical necrotizing fasciitis: clinical manifestations and management. Clin Infect Dis 1995; 21:51-56
- Paty R, Smith AD. Gangrene and Fournier’s gangrene. Urol Clin North Am 1992;19:149-162
- Elliott DC, Kufera JA, Myers RA.Necrotizingsofttissueinfections.Riskfactorsformortality and strategies for management. Ann Surg 1996;224:672-683
- Hirn M. Hyperbaricoxygen in the treatment of gas gangrene and perineal necrotizing fasciitis. A clinical and experimental study. Eur J Surg Suppl 1993;1-36
- McHenry CR, Piotrowski JJ, Petrinic D, Malangoni MA. Determinant sof mortality for necro-tizing soft-tissue infections. Ann Surg 1995;221:558-563; Discussion 563-555





























