A propos d’un cas de dermatose améliorée par le zinc chez une jeune chienne


Auteur : Marie-Christine Cadiergues
The RoyalVeterinaryCollege, Queen MotherHospital,
Hatfield AL97TA, United Kingdom.

École Nationale Vétérinaire
31076 Toulouse cedex 3
France.


Commémoratifs et anamnèse

Une chienne femelle, croisée Berger Allemand et Berger Belge Malinois, âgée de 10 mois est présentée à la consultation pour une dermatite péri-oculaire suppurée et des plaques squameuses sur les babines. Elle a été adoptée à la S.P.A. 3 mois auparavant et vit avec deux autres chiens et un chat en villa avec jardin. Elle est alimentée avec un aliment sec du commerce bas de gamme auquel est rajouté un complément minéral vitaminé (Pet-Phos® Croissance Poudre Ca/P=2, Laboratoires Sogeval) en raison d’un état général jugé insuffisant par les propriétaires à l’adoption. L’état général et l’état pondéral se sont améliorés, des boiteries épisodiques sont signalées. Deux mois après l’adoption, des lésions prurigineuses suppuratives, érythémateuses et œdémateuses apparaissent au niveau des pavillons auriculaires ce qui motive une consultation chez un confrère. Une antibiothérapie locale (Cortanmycétine® Crème, Hoechst Roussel Vet) et générale (Marbocyl ® 80 mg, Vétoquinol) ainsi que des applications locales d’Hexomédine® (Théraplix S.A.) sont prescrites pendant deux semaines. Les lésions sèchent, l’œdème diminue, mais d’autres lésions apparaissent autour des yeux et dans les espaces inter-digités . Suite à l’arrêt des Traitements, une aggravation des lésions est notée. L’animal se gratte très fréquemment. Les autres animaux du foyer ne présentent aucune lésion, aucune contamination humaine n’est relevée.

Examen clinique

Examen clinique général

L’animal est en état d’entretien moyen, apathique. L’appétit est diminué depuis 3 jours. Le propriétaire ne rapporte pas de commémoratifs de diarrhée ou de vomissements ni d’augmentation de la quantité d’eau bue ou d’urine émise. L’animal est en hyperthermie (39,6°C), ses muqueuses sont très congestionnées, son temps de remplissage capillaire, ses fréquences cardiaques et respiratoires apparaissent normales. La cavité orale ne présente pas d’anomalie. Une adénomégalie marquée des nœuds lymphatiques superficiels est notée.

Examen dermatologique

L’animal présente une dermatose sévère concernant la tête, les membres et l’abdomen. Des plages squameuses, circulaires, au sein desquelles les poils sont encore présents, siègent autour des yeux (Photo 1), sur les babines (Photo 2), sur le chanfrein, à la base des pavillons auriculaires (Photo 3), au niveau des ars et de l’aine ainsi qu’aux extrémités des quatre membres (Photo 4). La périphérie des lésions est particulièrement érythémateuse. De plus, en périphérie oculaire, on note une suppuration importante (Photo 1).

cas-de-dermatose-amelioree-par-le-zinc-chez-une-jeune-chienne1Photo 1
cas-de-dermatose-amelioree-par-le-zinc-chez-une-jeune-chienne3Photo 2
cas-de-dermatose-amelioree-par-le-zinc-chez-une-jeune-chienne2Photo 3
cas-de-dermatose-amelioree-par-le-zinc-chez-une-jeune-chienne4Photo 4

 

Hypothèse diagnostique

Les éléments recueillis lors de l’interrogatoire du propriétaire et de l’examen clinique (animal de grand gabarit, en phase de croissance, alimenté avec un aliment bas de gamme, supplémenté avec un complément minéral-vitaminé, dermatose prurigineuse, squameuse, érythémateuse en périphérie) nous conduisent à suspecter un syndrome juvénile de dermatose répondant à l’administration de zinc.

Examens complémentaires

Les calques cutanés révèlent la présence de nombreux coques en position extra et intra-cellulaire. L’examen en lumière de Wood, le trichogramme puis la culture fongique se sont révélés négatifs.

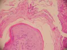
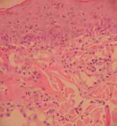
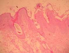
Les biopsies cutanées effectuées à l’aide d’un biopsy-punch au niveau des lésions des babines et de l’ars, (photos 5,6 et 7) montrent une dermatite superficielle périvasculaire hyperplasique avec

  • hyperkératose ortho et parakératosique superficielle et infundibulaire (Photo 5)
  • acanthose épidermique diffuse irrégulière (Photo 6)
  • squamo-croûtes avec nombreuses colonies bactériennes et pustules sous-cornées
  • spongiose basale diffuse d’intensité légère
  • infiltration inflammatoire superficielle périvasculaire d’intensité marquée, avec lymphocytes, histiocytes, quelques mastocytes et très nombreux polynucléaires éosinophiles (Photo 7)
  • folliculite
  • absence d’éléments pathogènes figurés à l’hémalun-éosine et après réaction au P.A.S.

cas-de-dermatose-amelioree-par-le-zinc-chez-une-jeune-chienne5Photo 5
cas-de-dermatose-amelioree-par-le-zinc-chez-une-jeune-chienne6Photo 6cas-de-dermatose-amelioree-par-le-zinc-chez-une-jeune-chienne7Photo 7

 

Diagnostic

L’examen histopathologique confirme l’hypothèse clinique de dermatite liée au zinc avec surinfection. L’éosinophilie, quoique décrite dans ce type d’affection, n’exclut pas toutefois la possibilité d’un état allergique sous-jacent.
L’ensemble de ces observations permet donc de conclure à l’existence d’un syndrome juvénile de dermatose répondant à l’administration de zinc.

SI VOUS ETES VETERINAIRE : Pour lire la suite de cet article, veuillez vous enregistrer en haut à droite. Merci
Retour en haut