Un cas de dermatophytose atypique


eric-florantAuteur : Eric FLORANT – Septembre 2012
Ces de Dermatologie – Ex chargé de consultation de dermatologie ENVA
Clinique vétérinaire Les Sablons
78370 Plaisir


Motif de consultation

Un Golden Retriever nous est présenté pour une dermatose extensive

Commémoratifs et anamnèse

Ce chien mâle de 7 ans vit en maison, et n’a pas d’antécédents médicaux et en particulier dermatologique. Les premières lésions sont apparues dans les jours qui ont suivi un séjour dans un chenil. Il s’agissait de 2 lésions au niveau du cou, ressembleant, d’après le vétérinaire traitant, à des lésions de dermatite pyotraumatique (hot spot) traitées par une injection de corticoides agissant 5 jours, des antibiotiques (cefalexine) pendant 10 jours et une application d’un lait à base de corticoides et antibiotique. Le chien est revu 2 semaines après par son vétérinaire pour une récidive (les lésions précédentes avaient disparu), toujours au niveau du cou et à nouveau après un séjour dans le même chenil. Un traitement est prescrit à nouveau avec de la cefalexine pendant 2 semaines et des corticoides par voie orale pendant 1 semaine. Deux semaines après, le chien nous est présenté à la consultation car de nouvelles lésions sont apparues à d’autres endroits.

Examen clinique

L’examen général est bon. Le chien présente des lésions localisées sur le cou (latéralement et ventralement), sur le bas du thorax, l’abdomen et sur les membres. Il s’agit de collerettes épidermiques érythémateuses avec des ulcérations et des croûtes, d’autres lésions sont plus épaisses de type plaques (épaississement de la peau) recouvertes de croûtes, certaines sont très purulentes et sanieuses. Sous les croûtes, la peau apparaît très érythémateuse et exulcérée. (photos EF 1 à EF 8)

dermatophytose-atypique1 EF1

dermatophytose-atypique2EF2

dermatophytose-atypique3EF3

dermatophytose-atypique4EF4

dermatophytose-atypique5EF5

dermatophytose-atypique6EF6

dermatophytose-atypique7-jpegEF7

dermatophytose-atypique8-jpegEF8

 

Hypothèses diagnostiques

Face à un tel tableau clinique, les hypothèses suivantes sont possibles : pyodermite secondaire, érythème polymorphe, pemphigus, dermatophytie, pyodémodécie, mastocytome multicentrique d’évolution aiguë.

Examens complémentaires

Calques cutanés : présence de polynucléaires neutrophiles dégénérés avec des coccis phagocytés
Trichogramme : RAS
Raclages cutanés : négatifs
Examen à la lampe de wood : négatif
Les premiers résultats montrent qu’il y a une pyodermite profonde, mais étant donné l’aspect des lésions et les commémoratifs du chien, nous conseillons au propriétaire de réaliser d’emblée des biopsies en vue de réaliser une histologie.
Un traitement antibiotique est prescrit en attendant les résultats des biopsies.
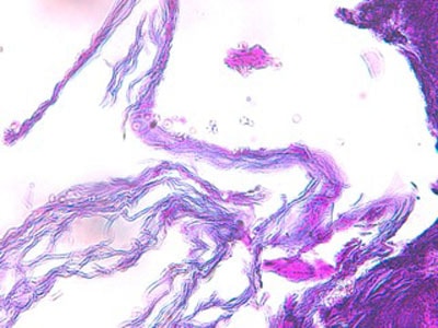
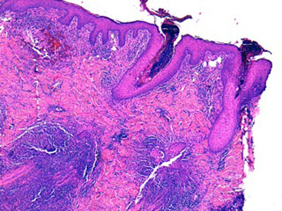
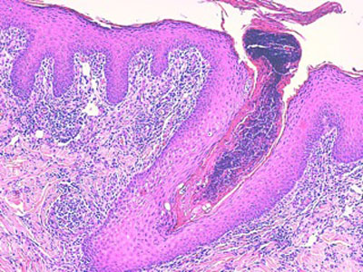
Histologie : L ‘épiderme et les infundibula folliculaires sont hyperplasiques, sièges d’une acanthose régulière d’intensité modérée, associée à une hyperpigmentation et à une hyperkératose tantôt orthokératosique, tantôt focalement parakératosique d’intensité modérée. La couche cornée est ainsi épaissie, croûteuse, stratifiée. L’épiderme et les structures infundibulaires, sont le siège d’une régulière exocytose de petits lymphocytes et plus rarement de neutrophiles. Dans le derme, les sacs folliculaires sont rarement rompus et les glandes sudorales font l’objet de remaniements inflammatoires chroniques, plasmocytaires. Au sein de la kératine libre péri-pilaire et au sein de la couche cornée de l’épiderme, on observe de rares hyphes mycéliennes PAS positives.

dermatophytose-atypiqueh1-jpegEFH1

dermatophytose-atypiqueh2-jpegEFH2

dermatophytose-atypiqueh3-jpegEFH3

Diagnostic

Ce chien présente donc des lésions de mycose superficielle à filaments très kératinophiles associée à des lésions de pyodermite profonde
Mycologie : la mycologie réalisée à l’ENVA permettra l’identification d’un Microsporum canis

SI VOUS ETES VETERINAIRE : Pour lire la suite de cet article, veuillez vous enregistrer en haut à droite. Merci
Retour en haut