Un cas de dermatomyosite


Auteur : Christian Collinot  – Juin 2011
Clinique vétérinaire du ROC
117, avenue du maréchal LECLERC
86100 CHATELLERAULT


Commémoratifs 

Fidji est un chiot mâle Berger Belge Tervueren de 3 mois. Il vit à la campagne, est en cours de vaccination. Il est régulièrement déparasité (APE et API). Il est nourri avec une alimentation industrielle pour chiot de bonne qualité. 

Anamnèse 

Au cours de la visite vaccinale, le vétérinaire note des lésions essentiellement faciales. Des raclages cutanés sont négatifs et il nous est transféré pour la suite du diagnostic.

Examen général 

L’examen général est bon, il n’est pas noté d’amyotrophie. Il n’y a pas de dysphagie ni de perturbation dans la prise de boisson. Le chiot est turbulent sans fatigue apparente.

Examen dermatologique 

Les lésions siègent au niveau de la face. On note une dépigmentation associée à une alopécie.

cas-de-dermatomyosite1

Photo 1 : alopécie et dépigmentation de la face

Les zones atteintes sont le tour des yeux,

cas-de-dermatomyosite2

Photo 2 : lésions autour des yeux

Le bord des lèvres,

cas-de-dermatomyosite3

Photo 3 : lésions du bord des lèvres

cas-de-dermatomyosite3bis

Photo 3 bis : dépigmentation au niveau des lèvres

Le chanfrein.

cas-de-dermatomyosite4

Photo 4 : lésions du chanfrein

De plus, la peau est ou atrophiée ou légèrement lichénifiée, avec plus ou moins un aspect cicatriciel,

cas-de-dermatomyosite5

Photo 5 : peau atrophiée, ou lichénifiée selon les endroits

On note la présence de squames et de squames-croûtes très compactes adhérentes à la peau autour des yeux,

cas-de-dermatomyosite6

Photo 6 : squames  autour des yeux

Sur le chanfrein, avec des images linéaires,

cas-de-dermatomyosite7

Photo 7 : squames compactes sur le chanfrein

Ou une forme plus en amas, comme autour de yeux sur la face externe des pavillons auriculaires, sur l’oreille gauche, elles soulignent le tatouage (alors que sa cicatrisation préalable avait eu lieu sans problème).

cas-de-dermatomyosite8

Photo 8 : squames en paquets oreille gauche,

cas-de-dermatomyosite9

Photo 9 : squames en paquets oreille droite

Enfin, une petite lésion dépigmentée nodulaire est notée sur la truffe.

cas-de-dermatomyosite10

Photo 10 : lésion de la truffe. 

Diagnostic différentiel

Nous sommes en présence de lésions faciales d’un très jeune chien avec une alopécie, une dépigmentation, une dystrophie (atrophie/ lichénification/ squames-croûtes très compactes). Les lésions du bord des lèvres et la lésion de la truffe ne sont pas en faveur d’une démodécie (pas de follicules) et un premier examen a déjà envisagé cette hypothèse (raclage négatif). Le même raisonnement  pour une dermatophytose, zones sans follicules sauf pour microsporum persicolor. Une pyodermite est possible mais là aussi très atypique. Une maladie auto-immune type lupus érythémateux discoïde est évoquée, mais elle apparaît bien tôt (3 mois) et en plein hiver bien gris pour une maladie photo aggravée. Une maladie génétique comme l’épidermolyse bulleuse est possible mais l’atteinte réduite à la face et un manque d’ulcération n’est pas dans le schéma classique. Le résultat de brûlures physiques ou chimiques a été évoqué, mais rien, dans un recueil de commémoratifs minutieux, ne permet d’étayer cette hypothèse. Enfin, et même si la race n’est pas décrite comme prédisposée, une dermatomyosite semble avoir le pattern qui correspond le mieux à celui observé. Pour être complet, évoquons, la cellulite vaccinale post rabique, mais le vaccin a été effectué par le vétérinaire le jour de la première consultation, alors que les lésions étaient déjà présentes.

Examens complémentaires

Compte tenu du raisonnement, des biopsies s’imposent. Il n’en reste pas moins que les examens de première intention peu coûteux et de réponse rapide sont effectués. Les raclages, calques, trichogramme n’apportent pas d’élément de réponse. Un DTM est ensemencé et on a pris le soin d’une attente plus longue pour le cas ou M. persicolor se développerait.

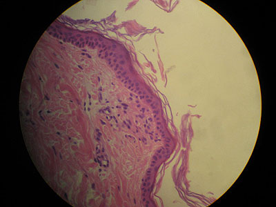
Des biopsies sont examinées au LAPVSO :

« L’épiderme montre une hyperplasie modérée sous forme d’une acanthose régulière associée à une hyperkératose ortho et très ponctuellement parakératosique. L’assise basale est le siège d’une exocytose discrète de quelques petits lymphocytes, éventuellement associés à la présence de rares corps apoptotiques et de discrets foyers de dégénérescence hydropique des cellules de l’assise basale.

cas-de-dermatomyosite11

Photo 11 : biopsie cutanée

 Il s’agit donc d’une discrète dermatite d’interface pauci cellulaire.

cas-de-dermatomyosite12

Photo 12 : biopsie cutanée

Par endroits, la jonction dermo-épidermique est manifestement fragilisée avec apparition de fentes et tendance à la disjonction dermo-épidermique. Des lésions élémentaires similaires, mais exprimées avec beaucoup moins d’intensité, intéressent les infundibula. Le derme montre une discrète mucinose diffuse, la présence, en situation périvasculaire et périannexielle à sub-lichénoïde, d’un infiltrat cellulaire discret essentiellement lymphocytaire. Des lésions de folliculite d’interface murale lymphocytaire sont également, ponctuellement, notées.  Dans l’ensemble, les unités folliculo-glandulaires sont normalement développées, mais il existe une tendance à l’atrophie des follicules pileux avec, en particulier, atrophie des gaines épithéliales. En profondeur, l’infiltrat est volontiers angiocentré, quelques cellules inflammatoires mononuclées peuvent être présentes dans les parois vasculaires.

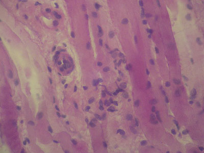
Ponctuellement, le muscle peaucier est visible. Ses fibres sont atrophiées, montrant des images d’hypercontraction. Les septa interfibrillaires sont assez abondamment infiltrés par des petits lymphocytes matures.

cas-de-dermatomyosite13

Photo 13 : biopsie cutanée, muscle peaucier

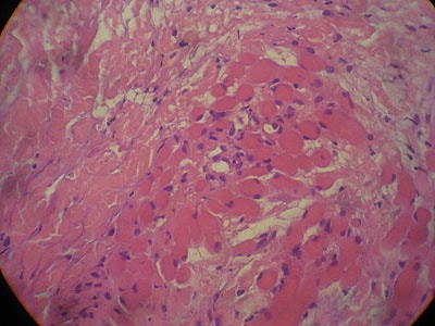
cas-de-dermatomyosite14

Photo 14 : agrandissement fibres muscle peaucier (PAS)

Absence d’élément figuré pathogène parasitaire et fongique.

Conclusion : dermatite d’interface lymphocytaire pauci-cellulaire associée à une discrète folliculite d’interface lymphocytaire pauci-cellulaire, atrophiante et à un infiltrat cellulaire inflammatoire angiocentré et des lésions de myosite interstitielle mononuclée. »

Diagnostic 

Même s’il ne s’agit pas d’une race prédisposée, la clinique et l’histologie sont en faveur d’une dermatomyosite, sans atteinte musculaire importante ni amyotrophie à l’heure du diagnostic.

SI VOUS ETES VETERINAIRE : Pour lire la suite de cet article, veuillez vous enregistrer en haut à droite. Merci
Retour en haut