Un cas de dermatomycose de l’encolure


Auteur : Christian Collinot – Novembre 2010
Clinique vétérinaire du ROC,
117 avenue du Maréchal LECLERC,
86100 CHATELLERAULT


Commémoratifs

Palma est une chienne de race Schipperke de 11 ans faisant partie d’un élevage amateur de quatre chiens de la même race. Elle vit dans une grande propriété où elle se déplace librement à l’intérieur et à l’extérieur. Elle est, ainsi que ses congénères, parfaitement vaccinée et déparasitée (API et APE). Elle est nourrie avec une alimentation industrielle ce qui n’exclue pas quelques restes de table. Comme lice, elle a fait plusieurs portées, avec une crise d’éclampsie lors de la lactation à deux reprises. Sa dernière portée a eu lieu il y a trois ans. Une susceptibilité de la trachée, probablement d’origine génétique car retrouvée chez certains ascendants, collatéraux et descendants, la fait tousser et nécessite de temps à autre un traitement (antibiotique + antitussif non corticoïde ou/et corticoïde). Le dernier traitement de ce type (avec prednisolone) remonte à 7 mois.

Anamnèse

En mars apparaît une perte de poils importante sous la mâchoire inférieure et le cou. Les zones dépilées sont le siège de pellicules et ont tendance à une hyperpigmentation. Le bord des lésions est érythémateux, on note quelques papules et petites plaques. L’ensemble est prurigineux. Aucune contamination spécifique ou humaine n’est notée. Les raclages cutanés ne révèlent pas de parasites. Sur les calques, on note la présence de globules rouges et d’un nombre important de cellules histiocytaires. Un traitement à base d’un shampooing à la chlorhexidine et d’un antibiotique (céphalexine) est institué. Aucune amélioration et une extension centrifuge des lésions étant notées au bout de 15 jours, une réévaluation est décidée.

Examen clinique

Examen général

En dehors d’une toux déclanchable par la palpation de la trachée, l’état général est bon, avec un léger embonpoint.

Examen dermatologique

Les lésions concernent uniquement la zone de la mâchoire inférieure et du cou. Il n’y a aucune autre lésion sur le reste du corps.

dermatomycose-encolure1

Photo 1 : extension des lésions

La dermatose a commencé sous la mâchoire inférieure et s’étend sous le cou de manière centrifuge comme un feu de forêt. L’alopécie semble quasi-totale sur toute la zone lésionnelle, en fait on retrouve, en particulier des poils primaires qui ne sont pas tombés.

dermatomycose-encolure2

Photo 2 : alopécie incomplète

Les zones les plus anciennement atteintes sont très hyperpigmentées et lichénifiées. Des squames très adhérentes sont toujours présentes.

dermatomycose-encolure3

Photo 3 : lésions hyperpigmentées

dermatomycose-encolure4

Photo 4 : squames très adhérentes

La zone d’extension est érythémateuse et commence à se lichenifier.

dermatomycose-encolure5

Photo 5 : zone d’extension érythémateuse

Quelques papules ou petites plaques pourraient être identifiées mais cela semble plus un phénomène d’hyperplasie générale menant à la lichenification.

dermatomycose-encolure6

Photo 6 : agrandissement de la zone d’extension

Les squames ne sont pas encore présentes.

L’ensemble est prurigineux, et le grattage pourrait être le responsable de quelques excoriations et croûtes.

Hypothèses cliniques

Nous sommes en présence d’une dermatose prurigineuse d’extension centrifuge sous le cou. Les hypothèses parasitaires au sens large seront privilégiées, dont la malasséziose (dont le dessous du cou est une zone de prédilection), une dermatomycose, la démodécie, une pyodermite bactérienne et/ou une prolifération bactérienne de surface. Un contexte allergique, notamment de contact, est moins probable compte tenu de la progression centrifuge. Une alopécie de frottement par le collier d’une hypothyroïdie n’aurait pas un contexte aussi inflammatoire.

Examens complémentaires

1/ Les raclages et le scotch test ne montrent ni parasite ni envahissement pilaire, le trichogramme non plus.

2/ Les calques cutanés sont identiques aux précédents avec présence de globules rouges, polynucléaires et une quantité élevée de cellules de type histiocytaire. On ne note pas de présence bactérienne ni intra ni extracellulaire, ni de levure.

3 / Un examen en lumière de Wood est négatif.

4 / Trois biopsies sont effectuées sous anesthésie locale au punch de 6.

  • a : en zone périphérique érythémateuse
  • b : en zone hyperpigmentée squameuse proche de la marge érythémateuse
  • c : en zone plus ancienne éloignée de la marge de progression

Elles sont confiées au LAPVSO. Les lésions des trois biopsies sont décrites ensemble :
« L’épiderme est nettement hyperplasique, siège d’une acanthose très irrégulière, associée à une importante hyperkératose tantôt orthokératosique, tantôt parakératosique. La couche cornée est ainsi épaissie, croûteuse, stratifiée. L’épiderme est le siège d’une forte exocytose neutrophilique. Dans le derme, on observe un infiltrat lichénoïde palsmocytaire.

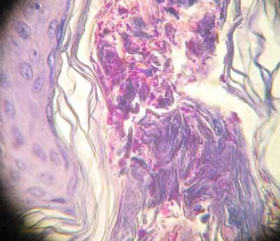
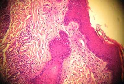
dermatomycose-encolure7

Photo 7 : biopsie

Au sein de la couche cornée, on observe des hyphes mycéliennes PAS positives, très ramifiées, souvent très faiblement PAS (coloration à l’Acide Périodique de Schiff).

dermatomycose-encolure8

Photo 8 : biopsie coloration PAS

Conclusion : Aspect histologique en faveur d’une mycose superficielle à filaments, associée à des lésions de pyodermite ».

Un ensemencement d’un DTM (Dermatophyte Test Medium), dans l’hypothèse d’une dermatomycose, est effectué le jour de la biopsie.
Des colonies blanches apparaissent avec un virage du rouge phénol le 9ème jour (à température ambiante).

dermatomycose-encolure9
Photo 9 : culture sur DTM (Fungassay ND)

Un prélèvement des colonies est effectué avec la technique du drapeau de Roth pour un examen au microscope.
On repère des microconidies très nombreuses en forme d’ampoule, des vrilles,

dermatomycose-encolure10

Photo 10 : microconidies en forme d’ampoule

dermatomycose-encolure11

Photo 11 : vrilles

Les macroconidies sont assez nombreuses, à paroi fine, en forme de massue.

dermatomycose-encolure12

Photo 12 : macroconidies en forme de massue

dermatomycose-encolure13

Photo 13 : nombreuses macroconidies

dermatomycose-encolure14

Photo 14 : DTM virage complet et colonies

Nous sommes en présence plus probablement d’un Trichophyton mentagrophytes. La différence en culture d’avec microsporum persicolor n’est pas facile à établir.

Diagnostic

Dermatophytose probablement due à Trichophyton mentagrophytes.

SI VOUS ETES VETERINAIRE : Pour lire la suite de cet article, veuillez vous enregistrer en haut à droite. Merci
Retour en haut