Auteur : Arnaud Muller – Octobre 2012
Dip ECVD, Spécialiste en Dermatologie Vétérinaire, CES Derm
Clinique Vétérinaire Saint Bernard
598 avenue de Dunkerque
F-59160 Lomme
www.clinvetsaintbernard.com
Les dermatoses virales constituent un domaine en pleine évolution en dermatologie des carnivores domestiques ; L’apport de nouvelles techniques d’investigation (microscopie électronique, immunohistochimie, biologie moléculaire) permet notamment la caractérisation de ces nouvelles dermatoses, qui reste toutefois rares et ne doivent pas être surdiagnostiquées (la mise en évidence d’un virus n’implique pas nécessairement sa responsabilité dans la survenue des lésions cutanées observées).
Anamnèse
Un chat mâle Européen de 4,5 mois nous est présenté pour des lésions faciales et corporelles extrêmement invalidantes, conduisant à une baisse majeure de l’appétit. Les symptômes sont apparus 3 semaines auparavant (signes généraux et cutanés)
Examens cliniques
L’examen clinique montre effectivement un chaton en mauvais état général, déshydraté et peu réactif, hyperthermique (40,7°C) et ne s’alimentant plus spontanément depuis 10 jours (poids de 1,2 kg). Un écoulement purulent bilatéral est observé au niveau oculaire et nasal ; l’examen de la cavité buccale révèle de nombreuses ulcérations de la langue et de la muqueuse buccale.
L’examen dermatologique met en évidence des lésions ulcéro-croûteuses de la face (région péri-oculaire, péri-labiale, menton, cou), de l’intérieur des cuisses et du ventre (Photos 1 à 9). Des zones alopéciques et croûteuses sont également retrouvées sur les membres (Photos 10 et 11).
Photos 1 à 3 : Atteinte faciale majeure (péri-oculaire, péri-labiale, truffe, pavillons auriculaires)
Photo 4 : Aspect de la face après tonte
Photo 5: Aspect du menton après tonte
Photos 6 et 7 : Lésions croûteuses sur l’abdomen et la face interne des cuisses
Photos 8 et 9 : Lésions abdominales multiples après tonte : aspect circulaire et érodé
Photos 10 et 11 : Alopécie et croûtes sur les membres
Compte tenu de l’anamnèse et de l’aspect clinique, l’hypothèse diagnostique principale est bien évidemment celle d’une herpesvirose respiratoire, buccale et cutanée, compliquée d’une surinfection bactérienne sévère. Une dermatophytie surinfectée ou une pyodémodécie doivent toutefois être éliminées.
Examens complémentaires
Divers examens complémentaires sont alors effectués :
- les calques cutanés montrent la présence de très nombreuses bactéries (cocci), en position extra et intracellulaire, au sein de polynucléaires neutrophiles activés.
- les raclages cutanés multiples sont négatifs
- le trichogramme ne met en évidence aucun élément parasitaire (dermatophyte, demodex)
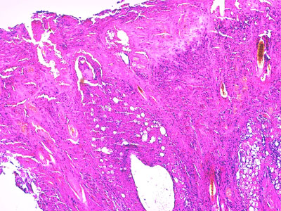
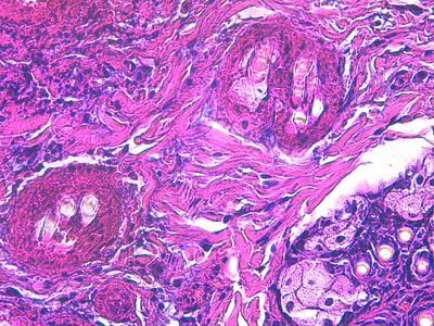
- l’examen histopathologique de deux biopsies cutanées (Photos 12 et 13) confirme l’existence d’une sévère dermatite nécrosante et ulcérative, avec lésions secondaires de pyodermite profonde, associées à une nécrose des annexes pilo-glandulaires. En dépit de l’absence de corps d’inclusion viraux nettement objectivables en position intra-nucléaire, l’aspect histopathologique est fortement évocateur d’une virose cutanée.
Photo 12 : Examen histopathologique de biopsies cutanées (LAPVSO)
Photo 13 : Examen histopathologique de biopsies cutanées (LAPVSO)
- la recherche virale par PCR dans la peau (prélèvement par cytobrosse et par biopsie cutanée) confirme la présence d’une forte charge virale en herpesvirus dans les prélèvements cutanés.
- La numération-formule sanguine est dans les valeurs usuelles
- Les tests sérologiques pour la leucose et le FIV sont négatifs
Diagnostic
L’aspect clinique, les lésions histopathologiques, ainsi que la positivité de la PCR permettent donc de conclure à une dermatite, une stomatite et une rhinite herpétique













