Un cas de dermatite granulomateuse stérile chez un chat


Auteur : Catherine Laffort-Dassot – Novembre 2012
Dip ECVD, CES Derm, DESV Derm
c.laffort@veterinaire-alliance.fr


Motif de consultation

Une chatte européenne non stérilisée de 2 ans est présentée à la consultation pour une dermatose alopéciante apparue brutalement 15 jours avant.

Anamnèse

L’animal a été adopté à l’âge de 3 mois chez un particulier. Elle vit seule, en appartement sans accès à l’extérieur. Son alimentation de type industriel est de bonne qualité. Elle n’a jamais voyagé. Ses vaccins et traitements antiparasitaires externes et internes sont à jour. Elle n’a pas d’antécédent médicochirurgical et ne présente pas de signes systémiques ou  d’altérations pouvant évoquer un trouble du comportement.

La propriétaire décrit initialement une zone alopécique linéaire sur la face dorsale de la queue.

Examen clinique

L’examen clinique général est normal.

L’examen dermatologique à distance montre des lésions localisées sur la queue.

L’atteinte caudale concerne la face dorsale de la racine jusqu’à l’extrémité. On note la présence d’alopécie, de lichénification, de squames et de croutes, et d’une couleur marbrée alternant érythème et hyperpigmentation (photo 1).

cas-de-dermatite-granulomateuse-sterile-chez-chat1

Photo 1 : alopécie, lichénification, hyperpigmentation de la face dorsale de la queue

Les lésions faciales regroupent un érythème et une alopécie sur la face latérale du nez et dans le canthus interne de l’œil droit (photo 2).

cas-de-dermatite-granulomateuse-sterile-chez-chat2

Photo 2 : érythème et hypotrichose faciale

Hypothèses diagnostiques

Les principales hypothèses diagnostiques regroupent dermatophytie, démodécie, alopécie aerata, pseudopelade, folliculite murale lymphocytaire, adénite sébacée, alopécie auto-induite (d’origine allergique ou moins probablement comportementale) et dermatite granulomateuse stérile.

Examens complémentaires

Les peignages et raclages n’ont pas révélé de parasites. L’examen en lumière de Wood et la culture mycologique sont restés négatifs, de même que le test FeLV/FIV.

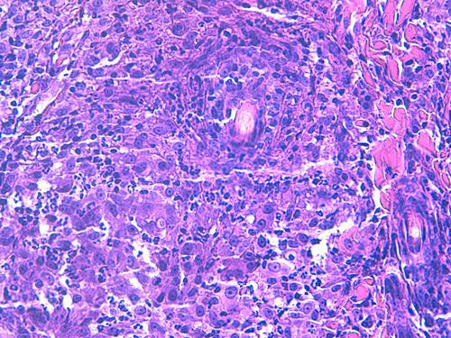
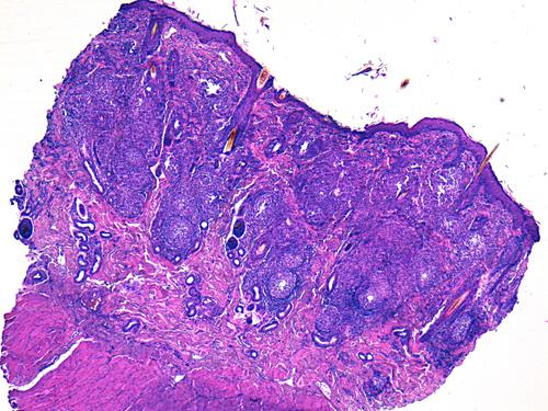
L’examen histopathologique de biopsies cutanées montre la présence d’un infiltrat dermique granulomateux de topographie périannexielle à diffuse d’intensité marquée, sans mise en évidence d’élément figuré après coloration HES, PAS et Fite-Faraco (photos 3 et 4).

cas-de-dermatite-granulomateuse-sterile-chez-chat3

Photo 3 : lésions dermiques nodulaires de topographie périannexielle
avec tendance à la coalescence, destruction
des annexes folliculaires et glandulaires.
Certains nodules sont centrés sur un espace clair. (HES, x100)

cas-de-dermatite-granulomateuse-sterile-chez-chat4

Photo 4 : infiltrat composé de macrophages, polynucléaires neutrophiles,
de lymphocytes centrés autour d’un reliquat de tige pilaire,
libre dans le derme (HES, x400)

Des biopsies pour trituration prélevées de façon aseptique, ont ensemencé des milieux de culture appropriés pour recherche d’infection bactérienne (aérobie ou anaérobie), fongique ou à mycobactérie. Ces cultures sont restées stériles.

SI VOUS ETES VETERINAIRE : Pour lire la suite de cet article, veuillez vous enregistrer en haut à droite. Merci
Retour en haut