Un cas de cellulite juévenile chez un Pinsher


Auteur : Xavier Langon – Janvier 2014
Clinique vétérinaire de Camargue
34400 Lunel


Motif de consultation

Un pinscher nain est consulté pour une dermatose oedémateuse faciale d’apparition subite avec atteinte de l’état général.

Commémoratifs et anamnèse

Un pinscher nain, mâle, âgé de 3 mois, est présenté à la consultation pour apathie, anorexie, et dermatose cutanéo-muqueuse évoluant depuis quelques jours (photo 1). L’animal vit en appartement sans congénère. Il est nourrit avec un aliment industriel de supermarché. Il est à jour de sa vaccination et correctement traité contre les parasites internes et externes. Son passé pathologique est vierge. Son propriétaire ne rapporte aucune lésion le concernant.

cas-de-cellulite-juevenile-chez-pinsher1_1

Photo 1 : vue générale de la face.
Noter l’atteinte exclusivement cutanéo-muqueuse

Examen clinique

L’animal présente un bon état général et une légère hyperthermie (39,2°C). Les lésions cutanées sont toutes identiques, bilatérales et symétriques : œdème, érythème, papules, pustules, alopécie. La dermatose est faiblement prurigineuse. La topographie lésionnelle concerne les jonctions cutanéo-muqueuses labiales, palpébrales, auriculaire droite, ainsi que le fourreau (photos 2).

Un cas de cellulite juévenile chez un Pinsher

Photo 2a : Vue rapproché de la blépharite.

Un cas de cellulite juévenile chez un Pinsher

Photo 2b : Vue rapprochée de la chéilite.

Un cas de cellulite juévenile chez un Pinsher

Photo 2c : Vue rapproché de l’otite.

Un cas de cellulite juévenile chez un Pinsher

Photo 2d : Vue rapprochée de l’œdème du fourreau.

Hypothèses diagnostiques

La symptomatologie et l’anamnèse nous amènent à envisager plusieurs hypothèses

  • Une cellulite juvénile
  • Une pyodermite superficielle
  • Une démodécie
  • Une dermatophytie

Examens complémentaires

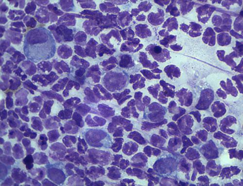
L’hypothèse fongique est invalidée par la trichoscopie et la culture fongique négatives. Les raclages cutanés ne mettent pas en évidence de Demodex. Les calques cutanés révèlent la présence de très nombreux polynucléaires neutrophiles associés à des macrophages. Aucune bactérie n’est notée sur le calque (photo 3).

Un cas de cellulite juévenile chez un Pinsher

Photo 3 : Observation microscopique (x1000) d’un calque cutané :
noter la présence de nombreux polynucléaires neutrophiles,
de macrophages et l’absence de bactéries.

Diagnostic

Cellulite juvénile.

SI VOUS ETES VETERINAIRE : Pour lire la suite de cet article, veuillez vous enregistrer en haut à droite. Merci
Retour en haut