Auteur : Xavier Langon – Janvier 2012
Clinique vétérinaire de Camargue
34400 Lunel
Motif de consultation
Un chat européen est référé pour une dermatose croûteuse de la truffe évoluant depuis un mois.
Commémoratifs et anamnèse
Un chat européen mâle castré roux et blanc, âgé de 10 ans, est présenté à la consultation pour une lésion nasale crouteuse apruritique (photo 1). L’animal vit en appartement sans congénère, présente un léger excès pondéral et reçoit une alimentation industrielle de bonne qualité (VDIET CAT OBESITY® et VDIET CAT URINARY HIGH DILUTION®). Il est à jour de ses vaccinations, les Traitements antiparasitaires sont correctement réalisés. Son passé pathologique est vierge en dehors d’un syndrome urologique félin associé à des struvites à l’âge de un an et demi. La dermatose crouteuse est apparue un mois auparavant, et prolifère sans Traitement.
Photo 1 : Examen à distance du chat
Examen clinique
Le chat présente un bon état général. La lésion nasale est ulcéro-crouteuse rostrale droite sans atteinte du territoire pileux (photos 2 et 3). Aucune autre lésion dermatologique n’est relevée.
Photo 2 : Vue rapproché craniale de la truffe: lésion ulcéro-croûteuse localisée
Photo 3 : Vue rapprochée latérale de la truffe.
Hypothèses diagnostiques
La symptomatologie et l’anamnèse nous amènent à envisager plusieurs hypothèses :
- le carcinome épidermoïde (bien que l’exposition aux UV soit réduite chez ce chat vivant en appartement)
- un autre néoplasme
- une pox-virose ou une herpes-virose
- un pemphigus foliacé
- un trouble comportemental
Examens complémentaires
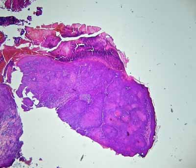
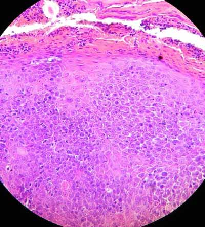
Les calques cutanés réalisés après retrait des croutes révèlent une réaction inflammatoire non spécifique avec surinfection bactérienne. L’analyse histopathologique de deux biopsies de la truffe, réalisée par Frédérique DEGORCE du LAPVSO, montre un épiderme hyperplasique et hyperkératosique recouvert d’un magma crouteux séro-cellulaire, à partir duquel prolifèrent des cordons épithélieux anastomosés et ramifiés, formant une prolifération épithéliale à localisation dermique associée à une stroma-réaction inflammatoire marquée. Les cordons cellulaires montrent un agencement pavimenteux et plan de cellules épithéliales polyédriques unies par des ponts épineux, avec kératinisation individuelle et collective (globes cornés). L’activité mitotique, l’anisocaryose et les atypies cyto-nucléaires sont faibles. Aucune image d’embolisation ni d’effraction vasculaire n’est constatée (photos 4, 5 et 6). L’analyse virale par PCR de prélèvements de truffe est négative.
Photo 4 : Observation microscopique (x40) d’une biopsie de la truffe.
Noter l’épiderme hyperkératosique recouvert d’une séro-croute,
et la formation épithéliale proliférante dans le derme.
Photo 5 et 6 : Observation microscopique (x400) d’une biopsie de la truffe.
Noter l’agencement pavimenteux et plan des cellules épithéliales polyédriques.
Diagnostic
Carcinome épidermoïde bien différencié






