Auteur : Christian Collinot – Avril 2010
Clinique vétérinaire du ROC
117, avenue du maréchal LECLERC
86100 CHATELLERAULT
Commémoratifs
Oxane est une chienne Boxer de 12 ans. Elle est parfaitement entretenue, régulièrement vaccinée y compris pour la piroplasmose. Elle reçoit régulièrement des API et APE et une nourriture mixte (croquettes et nourriture familiale). A l’âge de 7 mois (en novembre) elle fait une crise d’urticaire. Elle reçoit à plusieurs reprises des Traitements antihistaminiques (Zyrtec ND, tinset ND) associés à des Traitements topiques avec un shampooing doux calmant (Allermyl ND). Elle sera traitée à plusieurs reprises, à partir de l’âge de 3 ans pour des lactations de pseudogestation.
À 10 ans, elle subit une mammectomie associée à une ovario-hystérectomie, il n’y a pas d’analyse de pratiquée.
Anamnèse
À l’instar de ses habituelles petites irritations sur le ventre, se développe une plage suintante sur la cuisse gauche qu’elle lèche abondamment.
Photo 1 : Oxane Boxer femelle de 12 ans
Examen clinique
Examen général
L’état d‘embonpoint est correct et l’examen ne révèle rien en dehors des trois points suivants(exception faite des lésions entraînant la consultation)
- Une raideur de la démarche avec douleur au pincement en région lombo-sacrée.
- Une masse sous-cutanée sous l’avant-bras droit en dessous du coude.
- Une légère polyuro-polydypsie qui sera associée à une élévation de la créatinine.
Photo 2 : masse sous-cutanée sous le coude droit
Examen dermatologique
Le nodule du coude qui évolue de manière indolente depuis longtemps ne sera pas associé aux autres lésions.
On note
1.Trois zones ulcérées, une sur la cuisse gauche les deux autres, plus petites en arrière de la dernière mamelle inguinale du même côté.
Photo 3 : 3 zones ulcérées
Elles sont très douloureuses et le siège d’une léchage important. Elles sont suintantes, l’ulcération est majeure sur la plus importante.
Photo 4 : zones ulcérées et envahissement cutané périphérique
2.Autour de ces zones, on note un «maillage» érythémateux constitué d’infiltration en réseau, de papules et plaques. Des lésions identiques sont retrouvées en avant sur le ventre et se dirigeant vers l’intérieur de l’autre cuisse.
Photo 5 : plaques et papules sur le ventre
Photo 6 : lésions atteignant la cuisse droite
On note une plaque plus importante sur la cicatrice de mammectomie et l’empâtement de la dernière mamelle inguinale droite.
Photo 7 : empâtement mamelle inguinale et plaque sur la cicatrice
Hypothèses diagnostiques
Pour les lésions ulcérées
- Brûlure physique ou chimique,
- Pyodermite pyotraumatique
- Toxidermie
- Vascularite
- Néoplasmes cutanés (mastocytome, mycosis fongoïdes…) ou métastatiques (carcinomes, lymphomes…)
- Calcinose de Cushing
- Moins probablement compte tenu de la régionalisation pemphigus vulgaire, LED.
Pour les papules et plaques
- Origine dermique :
- urticaire, manifestations d’allergie
- érythème polymorphe
- prurigo
- Infiltration cellulaire :
- néoplasme cutané ou métastatique
Examens complémentaires
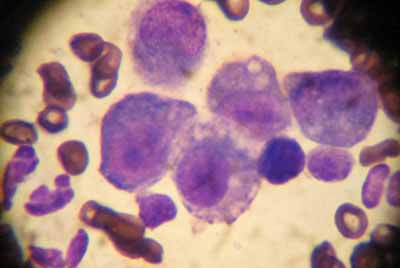
- Des biopsies sont programmées. En attendant des calques sur la zone ulcérée la plus large sont réalisées mais a minima compte tenu de la douleur occasionnée par la pression de la lame.
- Des cellules tumorales sont identifiées sur les calques avec un cytoplasme hyperbasophile et microvacuolaire et un noyau pourvu de volumineux nucléoles fortement évocateur d’un adénocarcinome.
Photo 8 : présence de cellules d’aspect tumoral
Diagnostic
Compte tenu du passé de mammectomie, de la présence d’une mamelle inguinale augmentée de taille et de la présence de cellules tumorales sur les calques, les propriétaires ont décliné la réalisation de biopsies.
Le Diagnostic retenu est celui de carcinomatose cutanée, dans notre cas, de métastases d’un probable adénocarcinome mammaire.








