Un cas de calcinose cutanée majeure secondaire à un macroadénome hypophysaire


eric-florantAuteur : Eric Florant – Mars 2014
Ces de Dermatologie – Ex chargé de consultation de dermatologie ENVA
Clinique vétérinaire Les Sablons
78370 Plaisir

 


Motif de consultation

Un bouledogue français mâle âgé de 5 ans nous est référé pour calcinose cutanée majeure par son vétérinaire traitant

Commémoratifs et anamnèse:

Ce chien sans antécédents a commencé 3 mois avant par des lésions cutanées dans le cou avec du prurit. Une pyodermite est constatée par le vétérinaire traitant. Un traitement antibiotique est prescrit mais n’améliore que partiellement les lésions. Lorsque le chien est revu 3 semaines après, étant donné l’extension des lésions, des biopsies sont réalisées, ainsi qu’un bilan sanguin, la propriétaire signalant une PUPD. Les biopsies montrent une calcinose cutanée importante et l’anatomopathologiste conseille de rechercher en particulier un hypercorticisme. Le vétérinaire traitant fait donc un bilan plus approfondi : bilan sanguin, analyse d’urines et échographie abdominale.

Le bilan sanguin indique une augmentation modérée des ALT (184), une urée et une créatinine basses, une calcémie et une phosphorémie normales, une réactivité surrénalienne avec un cortisol à 248.

L’analyse d’urines met en évidence une densité urinaire basse à 1,005.

L’échographie abdominale faite par le vétérinaire traitant ne montre pas d’augmentation des glandes surrénales

Après 3 mois d’évolution, avec des traitements locaux Cortizeme et Sulmidol, ainsi qu’un traitement à base d’amoxicilline acide clavulanique, la maladie s’aggravant, le chien nous est référé.

Examen clinique

Le chien a une atteinte de l’état général . Il a beaucoup maigrit, est fatigué, boit et urine toujours autant, et a un air triste.

Au niveau dermatologique, les lésions sont principalement localisées dans 2 zones : au niveau de la tête et du cou (tout autour), et à l’arrière du corps sur la face postérieure des pattes en particulier. Aucune lésion n’est remarquée au niveau du bas du corps (bas du thorax, abdomen et extrémités des pattes).

Ce sont avant tout des plaques très épaissies, pour certaines très larges et étendues. Elles sont irrégulières et érythémateuses, donnant comme un aspect de granulation blanches par endroits et avec des crevasses à d’autres endroits. Les lésions du cou sont purulentes avec un pus sanieux en grande quantité, quelques comédons sont visibles sur cetaines plaques (photos : elles ont été prises après 3 semaines d’un nouveau traitement antibiotique choisi après antibiogramme, ayant permis de bien assécher la plupart des lésions).

cas-de-calcinose-cutanee-majeure-secondaire-a-macroadenome-hypophysaire1
cas-de-calcinose-cutanee-majeure-secondaire-a-macroadenome-hypophysaire2
cas-de-calcinose-cutanee-majeure-secondaire-a-macroadenome-hypophysaire3
cas-de-calcinose-cutanee-majeure-secondaire-a-macroadenome-hypophysaire5
cas-de-calcinose-cutanee-majeure-secondaire-a-macroadenome-hypophysaire4

Diagnostic

Face à un tel tableau clinique, la calcinose cutanée est presque certaine. Certaines néoplasies sont aussi possibles. En l’occurrence, pour ce cas, les biopsies ayant déjà été faites, la calcinose a déjà été confirmée, les hypothèses sont émises par rapport aux étiologies des calcinoses : 

hypothèses

Arguments en faveur

Arguments contre

Examens complémentaires
à envisager

 

 

Hypercorticisme spontané

 

 

  • Cause la plus fréquente de calcinose cutanée étendue
  • Bouledogue français

 

 

 

  • Âge du chien
  • pas de polyphagie
  • Pas d’abdomen distendu, et pas à ce niveau de dystrophie et de comédons
  • pas d’élévation marquée des ALT et ALKP
  • échographie déjà faite en défaveur

 

 

  • Nouvelles analyses d’urines et sanguines
  • Nouvelle échographie abdominale
  • Et selon résultats scanner de l’hypophyse

 

Atteinte rénale avec hypercalcémie secondaire

 

 

  • Cause possible de calcinose cutanée
  • PUPD
  • densité urinaire= 1,005

 

 

  • pas d’hypercalcémie aux analyses précédentes 2 mois avant

 

  • Nouvelles analyses d’urines et sanguines
  • Test de restriction hydrique
  • Échographie abdominale +/-biopsies rénales

 

 

Syndrome paranéoplasique avec hypercalcémie secondaire

 

 

  • cause possible d’hypercalcémie

 

 

  • pas d’autres signes cliniques apparus après 3 mois d’évolution

 

  • Nouvelles analyses d’urines et sanguines
  • Nouvelle échographie abdominale

 

Autres causes d’hypercalcémie :

  • Addison
  • intoxications
  • dysfonctionnements parathyroidiens

 

  • Pas détaillé voir discussion

 

 

Examens complémentaires

  • Calques cutanés : Présence de nombreuses bactéries coccis de 2 types extra et intra-neutrophiliques
  • Raclages cutanés : pas de demodex
  • Analyses d’urines : densité à  1,005, qui remonte après une resctriction hydrique et administration de desmopressine (Minirin) à 1,010 en faveur d’un diabète insipide central.
  • Bilan sanguin complet subnormal et en particulier pas d’hypercalcémie
  • Antibiogramme pour traiter la pyodermite secondaire : présence d’un staphylocoque pseudintermedius et d’un streptocoque du groupe C
  • Échographie abdominale complète :
    • Mise en évidence d’une hypertrophie surrénalienne bilatérale harmonieuse très marquée (surrénale droite épaisseur de 15mm, surrénale gauche épaisseur de 9mm) associée à des lésions hépatiques de surcharge glycogénolipidique hépatique.
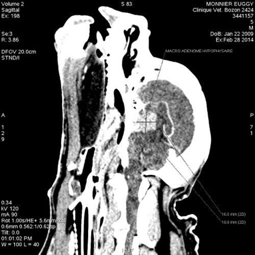
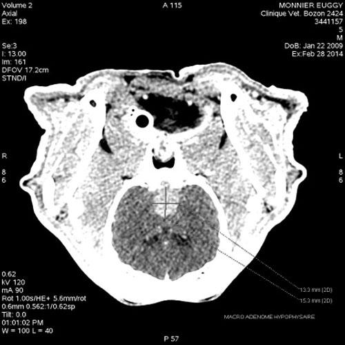
  • Scanner (réalisé par la Clinique Vétérinaire Bozon à Versailles) : (photos)
    • Mise en évidence d’un volumineux macroadénome hypophysaire de 19,2 x 15,3 x 13,3 mm

cas-de-calcinose-cutanee-majeure-secondaire-a-macroadenome-hypophysaire8
cas-de-calcinose-cutanee-majeure-secondaire-a-macroadenome-hypophysaire9

 

Diagnostic

Calcinose cutanée secondaire à un hypercorticisme provoqué par un  macroadénome hypophysaire entraînant également un diabète insipide.

SI VOUS ETES VETERINAIRE : Pour lire la suite de cet article, veuillez vous enregistrer en haut à droite. Merci
Retour en haut