Janvier 2011
Auteurs :
Frédérique Degorce-Rubiales1 – CES de Dermatologie Vétérinaire, DESV d’Anatomie Pathologique Vétérinaire, Spécialiste en Anatomie Pathologique Vétérinaire
Agnès Poujade1 – DESV d’Anatomie Pathologique Vétérinaire, Spécialiste en Anatomie Pathologique Vétérinaire
Kareen Boëdec1,2 – DESV d’Anatomie Pathologique Vétérinaire, Spécialiste en Anatomie Pathologique Vétérinaire
Yvic Boëdec3 – Docteur vétérinaire
1LAPVSO – 129 Route de Blagnac – 31201 Toulouse cedex 2 – www.lapvso.com
2Microvet – 5 Rue des Iris- 44270 Machecoul – www.microvet.fr
3Clinique Vétérinaire- 5 Rue des Iris – 44270 Machecoul
Avertissement
Le cas clinique présenté est un cas de dermatopathologie, aussi l’anamnèse, l’examen clinique, l’examen dermatologique et les examens complémentaires realisés, se limiteront aux données présentes sur la fiche de commémoratifs reçue avec les prélèvements histologiques.
Commémoratifs
Une chienne Cane Corso, non castrée, âgée de 3 ans présente depuis au moins 1 mois, une ulcération de la truffe située au centre du planum nasal (Photos 1 & 2).
Photo 1 : photo prise après la biopsie rétrospectivement
au diagnostic histologique
Photo 2: ulcère rectangulaire, à bords nets, situé en plein centre du philtrum nasal,
à fond hémorragique recouvert de croûtes adhérentes et cerné d’un discret liseré hypopigmenté
(photo prise après la biopsie rétrospectivement au diagnostic histologique).
Diagnostic différentiel
Une ulcération de la truffe peut amener à suspecter :
- Une néoplasie (carcinome épidermoïde, lymphome…),
- Une inflammation chronique d’origine infectieuse ou parasitaire (aspergillose, infection bactérienne profonde, leishmaniose),
- Un traumatisme chronique (corps étranger ou autre…),
- Une maladie auto-immune (lupus cutané…),
- Mais la localisation unique et très centrale sur le philtrum doit inciter à considérer l’artérite du philtrum nasal.
Examens complémentaires
Une biopsie cutanée est réalisée au trépan de 6 mm de diamètre (son emplacement se situe à la hauteur des résidus de fils de suture visibles sur la Photo 1).
Après l’acte biopsique, le site biopsié a longuement saigné, nécessitant l’hospitalisation de l’animal pendant 24 heures.
Examen histologique
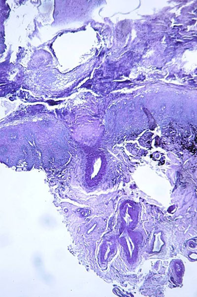
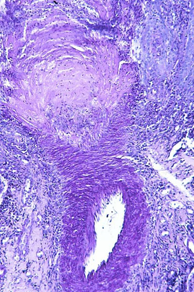
A l’examen histologique, on note la présence d’une ulcération épidermique focale, recouverte d’un enduit pustulo-croûteux pluristratifié fibrino-leucocytaire (Photo 3). Dans le plancher de cet ulcère, se trouve une artériole dont la paroi est rompue (Photos 4 & 5). Dans le derme, sous l’ulcère épidermique, on trouve de multiples silhouettes anormales de vaisseaux à paroi musculeuse de taille petite à moyenne : leur contour est irrégulier et leur pourtour inflammatoire (Photo 6). Leur paroi est épaissie : le tissu conjonctif sous-endothélial peut être anormalement proéminent et épaissi. On y trouve des myofibroblastes et des fibres de collagène. La media de ces artérioles est hyperplasique (hyperplasie musculaire lisse). L’épaississement sous-endothélial donne des images focales d’artérite oblitérante (Photos 7 & 8). On remarque très régulièrement un infiltrat inflammatoire à prédominance lympho-plasmocytaire, s’immisçant dans l’adventice et la media de ces vaisseaux (Photos 6,7,8). Ces structures des vaisseaux artériolaires n’étant habituellement le siège d’aucune diapédèse, la présence de cellules inflammatoires y est considérée comme anormale et signe des lésions d’artérite.
L’examen histologique est en faveur de lésions d’artérite dermique du philtrum nasal.
Photo 3 (réaction au PAS – X 25) : l’épiderme apparaît focalement ulcéré.
Sous l’ulcère, des vaisseaux dermiques anormaux sont présents, l’un forme le plancher de l’ulcère.
Légendes de la Photo 3 :
- Pointes de flèches rouges = délimitation de l’ulcère épidermique.
- Etoiles rouges = vaisseaux sanguins dermiques sous l’ulcère épidermique.
- Flèche double rouge = croûtes séro-cellulaires stratifiées à la surface de l’épiderme.
- Flèche double bleue = épaisseur épidermique.
- Flèche double turquoise = épaisseur dermique.
Photo 4 (réaction au PAS – X100) : au plancher de l’ulcère épidermique,
se trouve une artériole dermique à paroi musculaire épaisse.
Légendes de la Photo 4 :
- Pointes de flèches rouges = délimitation de l’ulcère épidermique.
- Etoile rouge = lumière vasculaire de l’artériole.
- Flèche double rouge = paroi musculaire de l’artériole (media).
Photo 5 (Hémalun-Eosine – X400) : vue rapprochée du plancher de l’ulcère épidermique,
permettant de visualiser la limitante élastique interne de l’artériole, sa media et son adventice.
Légendes de la Photo 5 :
- Flèche double rouge en pointillés = fond de l’ulcération épidermique, comblé par un exsudat fibrino-leucocytaire.
- Pointes de flèches rouges = elles indiquent une ligne acidophile onduleuse qui est la limitante élastique interne de l’artériole.
- Flèche double bleue = media de l’artériole.
- Etoiles rouges = infiltrat inflammatoire au sein de la media et de l’adventice du vaisseau sanguin artériolaire.
Photo 6 (Hémalun-Eosine – X100) : plus en profondeur,
sous l’ulcère épidermique, on retrouve des silhouettes vasculaires
artériolaires à paroi musculaire épaisse, irrégulière et inflammatoire.
Légendes de la Photo 6 :
- Étoiles turquoises : lumière des vaisseaux sanguins artériolaires.
- Étoiles rouges : infiltrat inflammatoire à prédominance de cellules lympho-plasmocytaires au pourtour des vaisseaux sanguins.
Photo 7 : (Hémalun-Eosine – X200) : vue rapprochée d’une artériole dermique.
L’épaisseur de son intima est irrégulière et anormalement augmentée.
Sa media est hyperplasique. Sa media et son adventice sont infiltrées de cellules inflammatoires.
Légendes de la Photo 7 :
- Étoile turquoise = lumière de l’artériole.
- Flèche double noire = intima de l’artériole.
- Flèche double bleue = media musculaire de l’artériole. Elle est épaissie (hyperplasie musculaire lisse).
- Flèche double turquoise = adventice de l’artériole.
- Pointe de flèche noire = cellule endothéliale – endothélium de l’artériole.
- Pointe de flèche rouge = limitante élastique interne de l’artériole.
- Étoiles rouges = infiltrat inflammatoire dans l’adventice et la media de l’artériole.
- Étoile noire = zone d’épaississement de l’intima et plus particulièrement du tissu conjonctif sous-endothélial de l’artériole.
Photo 8 (Hémalun-Eosine – X400) : vue rapprochée d’une artériole dermique.
Épaississement anormal de son intima. Inflammation de sa media et de son adventice.
Légendes de la Photo 8 :
- Étoile turquoise = lumière de l’artériole.
- Flèche double noire = intima de l’artériole.
- Flèche double bleue = media musculaire de l’artériole. Elle est épaissie (hyperplasie musculaire lisse).
- Flèche double turquoise = adventice de l’artériole.
- Pointe de flèche noire = cellule endothéliale – endothélium de l’artériole.
- Pointe de flèche rouge = limitante élastique interne de l’artériole (serpentin acidophile).
- Étoiles rouges = infiltrat inflammatoire dans l’adventice et la media de l’artériole.
- Étoile noire = zone d’épaississement de l’intima et plus particulièrement du tissu conjonctif sous-endothélial riche en myofibroblastes et en fibres de collagène. L’épaississement aboutit à une réduction de la taille de la lumière vasculaire (artérite oblitérante).
Traitement
La chienne reçoit un traitement à base de propentofylline (KARSIVAN NDV) molécule très proche de la pentoxyfilline (5 mg/kg matin et soir), en raison de ses propriétés rhéologiques autant qu’immunologiques, pendant 1 mois.
Évolution
Un contrôle clinique à 1 mois (Photo 9) puis à 2 mois (Photo 10) permet de constater la réduction de la surface de l’ulcère épidermique.
L’animal décède au domicile de ses propriétaires d’un syndrome de torsion / dilatation de l’estomac qui sera confirmé lors de l’autopsie de l’animal. Aucune autre lésion n’a été détectée lors de cet examen nécropsique.
Photo 9 : Contrôle à 1 mois.
Photo 10 : Contrôle à 2 mois.
Discussion
L’artérite du philtrum nasal est une entité clinique encore peu connue dans l’espèce canine.
Elle a été décrite chez cinq Saint Bernard (1, 4), un Schnauzer géant (1), un Newfoundland (2), un Basset Hound (4).
Elle se manifeste par le développement d’un ulcère profond, très bien délimité, de forme linéaire ou triangulaire, situé en plein centre du philtrum (1, 4). L’ulcère n’est ni douloureux, ni prurigineux (1,4). Il peut mesurer de 1 à 5 cm de long, de 2 à 15 mm de large et de 2 à 5 mm de profondeur (1,4).
L’âge d’apparition se situe entre 3 et 6 ans (1, 2, 4), sans que l’on puisse identifier d’évènement déclenchant.
Les chiens sont en bon état général et ne manifestent aucun autre symptôme en faveur d’une quelconque atteinte systémique (1,4). Les propriétaires signalent fréquemment des épisodes de saignements soit discrets, soit de saignement de type artériel, parfois sévère ayant pu nécessité une hémostase d’urgence (1, 4).
L’artérite serait due à une inflammation très chronique des artères nasales de moyen et gros calibre, évoluant à bas bruit (infiltrat neutrophile, lymphoplasmocytaire ou mixte) qui conduirait à une prolifération réactionnelle cicatricielle myofibroblastique et/ou musculaire lisse et à une densification de la matrice interstitielle (par des dépôts mucineux, par des ammas de collagène) dans les parois mêmes de ces vaisseaux (intima et media) (1, 2). Lorsque la maladie progresse, les parois artérielles s’épaissiraient, provoquant une occlusion partielle de la lumière vasculaire à l’origine d’une ischémie locale, d’une nécrose ou d’une ulcération de l’épiderme sus-jacent. Ces lésions vasculaires fragiliseraient également les parois vasculaires, qui seraient alors susceptibles de se rompre, provoquant des saignements plus ou moins sévères (1). La maladie ciblerait spécifiquement les vaisseaux artériels dermiques, de moyen à gros calibre, irriguant la truffe : branches latérales nasales des artères infra-orbitaires ou des artères maxillaires, branches rostrales septales des artères palatines ou combinaison variable de plusieurs ces vaisseaux (1). Cette pathologie partage des similitudes avec l’artérite temporale de l’Homme (Maladie d’Horton) qui atteint spécifiquement les vaisseaux à paroi musculaire lisse de la région temporale (1).
Torres et al. (1) ayant rencontré cette pathologie chez quatre Saint Bernard, dont trois étaient étroitement apparentés, ces auteurs ont suggéré l’éventualité d’un déterminisme héréditaire, mais l’âge tardif de survenue suppose l’intervention d’autres facteurs (1, 4) .
L’évolution est chronique avec survenue imprévisible d’épisodes d’ulcération plus sévère et de saignements.
Le traitement médical repose, soit sur l’administration de corticostéroïdes locaux ou systémiques au long court (1 à 1,5 mg/kg/j puis par jours alternés) (1, 4), soit sur la combinaison tétracycline / nicotinamide (20 mg/kg toutes les 8 heures) et d’acides gras essentiels (4), soit sur l’application locale de tacrolimus (4), soit sur l’administration de pentoxyfilline (TORENTAL NDH) (10 à 15 mg/kg, 2 à 3 fois par jour) (3). Une alternative thérapeutique à la pentoxyfilline est la propentofylline (KARSIVAN ND spécialité vétérinaire) molécule très proche (5 mg/kg matin et soir) (3). Pratschke et Hill (4) rapportent l’échec d’un traitement local à base de cyclosporine. Les antibiotiques locaux (mupirocine) peuvent constituer une bonne alternative à l’antibiothérapie générale lors de surinfection bactérienne de l’ulcère épidermique (4). Le but du traitement médical est d’améliorer et de stabiliser les lésions. L’action du traitement médical est lente et il ne faut pas attendre de résultats thérapeutiques avant quelques semaines (3). Pratschke et Hill proposent une alternative chirurgicale aux traitements immunomodulateurs au long court qui ne parviennent souvent qu’à une stabilisation de l’ulcère, mais non à sa disparition (4) : résection chirurgicale du philtrum et du plancher des narines jusqu’au cartilage (sur 1 cm d’épaisseur, ligatures des vaisseaux exposés lors de la dissection, reconstruction minutieuse du philtrum par apposition directe des marges dorsale et latérales avec suture d’ancrage dans la cartilage du septum nasal). Le traitement chirurgical peut lui-même être suivi d’une récidive, mais permet de ne recourir à aucun traitement médical qui doit souvent être poursuivi toute la vie durant de l’animal et de guérir l’ulcère avec des temps de rémission de 3 à 4 ans (4). Le traitement chirurgical peut être envisagé par exemple en seconde intention après échec des thérapeutiques médicales (4).
Nous avons choisi de présenter ce cas, pour attirer l’attention sur cette dermatose nasale qui pourrait être moins rare que ne le laisse supposer le faible nombre de cas décrits dans la litérature vétérinaire : en l’espace de 2 ans, nous en avons supecté 20 cas à l’examen histologique (et sur des bases cliniques d’ulcération unique centrale du philtrum nasal), dont plus de la moitié étaient des bergers allemands (13/20 cas) ou des races apparentées (2 bergers blancs américain ou suisse) et plus de la moitié des mâles. Le diagnostic histologique est parfois difficile car subtile, les lésions vasculaires pouvant être profondes et uniquement cicatricielles (4).
Références bibliographiques
- Torres SM, Brien TO, Scott DW. : Dermal arteritis of the nasal philtrum in a Giant Schnauzer and three Saint Bernard dogs. Vet Dermatol. 2002 Oct;13(5):275-281.
- Gross TL et al., chapitre 10 : Vascular diseases of the dermis in Skin diseases of the dog and cat. Clinical and Histopathological diagnosis, Gross TL et al. Editors, 2005, Blackwell Oxford.
- C. Favrot : vascularites et vasculopathies IV : traitement. Proceedings des XXIIIe Journées Annuelles du GEDAC, Reims, 3-4-5 avril 2009, pp 22-2
.















